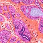
EBV阳性淋巴结T/NK细胞淋巴瘤(EBV+ NT/NKCL)与ALK阴性间变大细胞淋巴瘤(ALCL)在形态和免疫表型上高度相似,尤其当两者均表达CD30时,极易混淆。本文通过病例对比,深入探讨了EBER检测在鉴别这两种侵袭性淋巴瘤中的关键作用,强调准确诊断对于选择恰当治疗方案、改善患者预后的重要性。 Read More... "CD30阳性淋巴瘤诊断陷阱:如何用EBER检测区分EBV+ NT/NKCL与ALK阴性ALCL?"
免疫治疗期间出现糖皮质激素抵抗型免疫相关不良事件(irAEs)怎么办?本文详细解读了针对肠炎、肝炎、肺炎等严重副作用的二线治疗策略,包括英夫利昔单抗、维多珠单抗等药物的选择与应用,为患者和医生提供宝贵的个体化治疗参考,助您有效管理棘手的副作用。 Read More... "免疫治疗副作用难解?专家解读激素抵抗型irAEs治疗策略"
最新HER2CLIMB-05研究揭示,图卡替尼(Tukysa)联合曲妥珠单抗和帕妥珠单抗,作为HER2阳性转移性乳腺癌的一线维持治疗,能显著延长无进展生存期(PFS)。了解图卡替尼的详细疗效、副作用及购买信息,为治疗带来新希望。 Read More... "图卡替尼一线维持治疗新突破:显著延长HER2阳性乳腺癌患者无进展生存期"
分享一例33岁年轻女性初诊即为晚期HER2阳性乳腺癌伴脑转移的复杂病例。一线治疗进展后,二线采用德曲妥珠单抗(T-DXd)联合放疗取得显著疗效。本文详细记录了其完整诊疗过程与多学科专家讨论,为面临相似挑战的患者提供宝贵参考。了解前沿治疗方案,探索更多可能。 Read More... "德曲妥珠单抗显奇效:33岁HER2阳性乳腺癌脑转移患者治疗案例深度解析"
最新FRUSICA-2临床研究结果揭示,呋喹替尼联合信迪利单抗在治疗晚期或转移性肾细胞癌方面取得重大突破,无进展生存期显著延长至22.2个月。该组合疗法的客观缓解率高达60.5%,为二线治疗患者带来了新的希望。点击了解呋喹替尼的详细疗效数据、副作用管理以及可靠的代购渠道信息。 Read More... "呋喹替尼联合疗法显著延长晚期肾细胞癌PFS至22.2个月,二线治疗迎新突破"
最新临床研究显示,对于老年新诊断B细胞急性淋巴细胞白血病(ALL)患者,采用奥加伊妥珠单抗(Inotuzumab ozogamicin)联合博纳吐单抗(Blinatumomab)的无化疗方案,一年总生存率高达85%,为该患者群体提供了安全有效的新治疗选择。了解该方案的详细数据、副作用及药物购买信息。 Read More... "无化疗新希望:奥加伊妥珠单抗与博纳吐单抗方案显著改善老年B细胞白血病生存率"
肺癌放射治疗迎来新突破!本文详细解读早期、局部晚期非小细胞肺癌及小细胞肺癌的放疗进阶策略,探讨SABR、大分割等剂量模式如何提升疗效、降低毒性,并分析放疗联合免疫、靶向治疗的前景,为患者寻找更优治疗方案提供参考。 Read More... "肺癌放疗策略全解析:从早期到晚期,如何优化剂量与联合治疗?"
一项最新临床研究显示,靶向药阿帕替尼联合吉西他滨、顺铂及卡瑞丽珠单抗(“三联四药”方案)治疗晚期胆囊癌展现出显著疗效。该方案能将患者的中位无进展生存期从4.17个月显著延长至7.73个月,且安全性可控。对于寻求更有效治疗方案的胆囊癌患者,这无疑是一个充满希望的新选择。 Read More... "晚期胆囊癌新希望:阿帕替尼四药联合方案显著延长无进展生存期"
中枢神经系统(CNS)肿瘤,特别是胶质瘤,治疗迎来新希望。本文深入探讨CAR-T、免疫检查点抑制剂等前沿免疫疗法的最新进展、临床应用现状及未来方向。全面了解这些创新疗法如何对抗脑瘤,以及相关副作用的管理策略,为患者选择治疗方案提供重要参考。 Read More... "脑瘤免疫治疗新突破:CAR-T与PD-1抑制剂如何攻克CNS肿瘤?"
最新研究证实,靶向CD79B的ADC药物维泊妥珠单抗(Polatuzumab vedotin)能有效穿透血脑屏障,为中枢神经系统淋巴瘤(CNSL)患者带来新希望。临床前及病例研究均显示其显著疗效,部分患者实现完全缓解,且安全性良好。了解维泊妥珠单抗价格及购买渠道,探索CNSL治疗新选择。 Read More... "维泊妥珠单抗突破血脑屏障,为中枢神经系统淋巴瘤治疗带来新希望"
最新临床研究揭示,针对新诊断多发性骨髓瘤,以卡非佐米和来那度胺为基础的KRd四药联合方案展现出卓越疗效,实现了极高的微小残留病灶(MRD)阴性率。这一突破性进展或可帮助高危患者免于干细胞移植的风险,为治疗带来新选择。 Read More... "KRd四药方案挑战传统:多发性骨髓瘤治疗新进展,或可免于干细胞移植"
塔奎妥单抗(Talvey)治疗多发性骨髓瘤时会产生独特的皮肤、指甲和味觉障碍等副作用。本文将深入探讨这些不良反应的管理策略,包括如何通过保湿、类固醇药膏以及剂量调整来有效控制,并解释为何这些副作用可能预示着良好的治疗效果。了解如何安全有效地使用这款GPRC5D靶向新药。 Read More... "多发性骨髓瘤新药塔奎妥单抗(Talvey)副作用管理指南:皮肤与味觉问题全解析"
重磅!ASTRUM-006三期临床研究证实,斯鲁利单抗(Serplulimab)联合化疗作为早期胃癌的新辅助/辅助治疗,显著改善了患者的无事件生存期(EFS),并将复发风险大幅降低。这一突破为胃癌围手术期治疗提供了新选择,即刻了解斯鲁利单抗的最新疗效、价格及购买渠道。 Read More... "斯鲁利单抗联合化疗显著改善早期胃癌生存期,ASTRUM-006研究获积极结果"
淋巴瘤治疗迎来新时代,CD20双抗与CAR-T疗法哪个更安全?本文深度对比了两种前沿疗法在细胞因子释放综合征(CRS)和神经毒性(ICANS)方面的差异,专家详细解读了副作用的发生时间、严重程度及管理策略,帮助您做出更明智的治疗选择。了解更多关于这些创新疗法的详细信息。 Read More... "淋巴瘤治疗:CD20双抗与CAR-T疗法的副作用(CRS/ICANS)深度对比与管理"
塔拉妥单抗(Tarlatamab)作为治疗小细胞肺癌(SCLC)的创新双特异性抗体,其安全性备受关注。本文详细解读DeLLphi-301试验数据,全面解析塔拉妥单抗的常见副作用及实用管理方案,包括细胞因子释放综合征(CRS)等不良事件的应对策略,为患者提供关键用药参考。点击了解更多,并获取最新购药信息。 Read More... "小细胞肺癌新药塔拉妥单抗:副作用全面解析与管理策略"
T-DXd联合疗法能否改写HER2阳性乳腺癌一线治疗指南?ESMO候任主席深入解读Destiny-Breast09研究数据,探讨其对临床实践的深远影响,并分享了T-DXd在脑转移治疗中的策略以及2025年值得期待的乳腺癌研究进展。 Read More... "T-DXd冲击HER2阳性乳腺癌一线治疗:Destiny-Breast09研究能否改写ESMO指南?"
肺癌EGFR突变又有新亚型?本文详细解读罕见的EGFR PACC和ex20ins突变,分析其对靶向治疗的影响。了解伏美替尼等新药如何为PACC突变患者带来希望,以及ex20ins突变肺癌的最新治疗方案和药物选择。点击获取前沿诊疗资讯,为您的治疗决策提供参考。 Read More... "肺癌EGFR PACC与ex20ins突变怎么办?最新靶向药物与治疗策略解读"
DeLLphi-304三期临床研究证实,DLL3靶向新药塔拉妥单抗(Tarlatamab)为铂类化疗失败的小细胞肺癌(SCLC)患者带来新希望。该研究显示,塔拉妥单抗将中位总生存期延长至13.6个月,远超化疗,且安全性更佳。点击了解这款SCLC二线治疗新标准药物的详细数据、副作用及未来应用前景。 Read More... "塔拉妥单抗显著延长生存期!小细胞肺癌二线治疗迎来重磅突破"
FDA授予新型IL-2疗法WTX-124快速通道资格,用于治疗既往接受过免疫治疗的晚期或转移性皮肤黑色素瘤患者。基于1/1b期临床试验的积极数据,WTX-124展现出显著的抗肿瘤活性和可控的安全性,为治疗选择有限的患者带来了新希望。了解该药物的最新进展、疗效及未来前景。 Read More... "皮肤黑色素瘤新希望:IL-2疗法WTX-124获FDA快速通道资格,攻克耐药难题"
慢性淋巴细胞白血病(CLL)的治疗已进入新时代,靶向药物如维奈克拉(Venetoclax)正逐步取代传统化疗。本文将深入探讨CLL的最新治疗方案、药物选择原则以及如何根据分子特征制定个性化治疗策略,帮助您了解前沿疗法,做出更明智的决策。 Read More... "告别化疗:维奈克拉领衔慢性淋巴细胞白血病(CLL)靶向治疗新时代"
