最新研究揭示了全程新辅助治疗(TNT)如何有效对抗局部晚期直肠癌。研究发现,TNT能重塑肿瘤免疫微环境,激活并增加关键的CD8+ T细胞,增强其抗癌能力。这一发现为优化直肠癌治疗方案、提高患者完全缓解率提供了重要科学依据。了解前沿疗法详情。 Read More... "直肠癌治疗新突破:全程新辅助治疗如何激活免疫系统对抗肿瘤?"
新型TROP2靶向ADC药物德达博妥单抗(Dato-DXd)在多项实体瘤临床试验中展现出变革性潜力。本文深入解读TROPION系列研究,详细分析其在乳腺癌、非小细胞肺癌和膀胱癌中的疗效、生存数据及副作用。了解这款前沿药物如何为患者带来新的治疗希望,以及相关的购药信息。 Read More... "德达博妥单抗(Dato-DXd)临床数据汇总:在乳腺癌、肺癌和膀胱癌治疗中的疗效与前景"
2025年ESMO大会公布了非小细胞肺癌治疗的重大突破。新型ADC药物芦康沙妥珠显著改善EGFR突变患者的无进展生存期,奥希莫替尼联合局部治疗方案也带来新希望。此外,针对HER2突变的zongertinib和sevabertinib展现出优异疗效。了解这些前沿靶向药的最新数据、副作用及购买渠道。 Read More... "ESMO 2025肺癌前沿:芦康沙妥珠单抗与奥希莫替尼改写EGFR突变NSCLC治疗,HER2新药崭露头角"
TKI药物如普纳替尼的出现,彻底改变了Ph阳性急性淋巴细胞白血病(ALL)的治疗格局。本文深入探讨了TKI联合抗体疗法如何减少化疗和移植需求,分子检测在指导治疗中的作用,以及实现无治疗缓解的可能性。了解最新的治疗策略,为患者带来新希望。 Read More... "普纳替尼等TKI药物如何革新Ph阳性急性淋巴细胞白血病(ALL)治疗策略?"
2025年ESMO大会公布了肌层浸润性膀胱癌(MIBC)的两项重大突破。KEYNOTE-905研究证实,恩沃利单抗联合帕博利珠单抗可显著改善患者生存期,有望成为新标准。IMvigor011研究则表明,ctDNA检测能指导阿替利珠单抗的术后辅助治疗,精准识别获益人群。了解这些前沿疗法的最新数据、疗效及购买渠道。 Read More... "膀胱癌治疗新突破:恩沃利单抗联合疗法显著延长生存,或成新治疗标准"
一项2期临床试验正在探索放射性栓塞联合化疗药物卡培他滨和替莫唑胺治疗神经内分泌肿瘤肝转移的安全性和有效性。该研究旨在通过联合治疗方案,为患者带来更高或更持久的缓解率。了解这一创新疗法的详细设计、给药周期以及治疗前景,为您的治疗决策提供新思路。 Read More... "攻克神经内分泌肿瘤肝转移:详解放射性栓塞联合卡培他滨与替莫唑胺的创新疗法"
LODESTAR临床研究最新数据显示,PARP抑制剂卢卡帕利对携带HRR基因突变的晚期实体瘤患者具有治疗潜力。研究发现,HRD检测阳性患者的客观缓解率高达32%,而阴性患者则无缓解,这表明HRD状态是预测卢卡帕利疗效的关键。了解卢卡帕利价格及购买渠道。 Read More... "卢卡帕利治疗HRR突变实体瘤:LODESTAR研究揭示HRD检测是关键"
探索癌症研究的最新前沿动态!本文汇总了2025-2026年度针对黑色素瘤、白血病、乳腺癌、肺癌等多种癌症的重大科研奖项与基金资助。了解这些前沿临床研究如何为未来的靶向药开发铺平道路,为患者带来新的治疗希望。点击查看详情,洞悉抗癌领域的未来趋势。 Read More... "癌症研究新突破:一文看懂2025-2026年白血病、肺癌等领域最新科研资助"
癌症患者能用ChatGPT查询血液肿瘤的最新治疗方案吗?研究显示,AI在提供特定、前沿的血液恶性肿瘤信息方面存在局限,尤其是在靶向治疗和基因突变方面。患者获取信息时需谨慎,并与医生确认。了解如何正确使用AI工具,并从可靠渠道获取药物信息。 Read More... "警惕!用ChatGPT查询血液肿瘤靶向药信息?研究发现其准确性堪忧"
最新HARMONi-6三期临床研究结果显示,PD-1/VEGF双抗新药依沃西单抗联合化疗,作为晚期鳞状非小细胞肺癌的一线治疗方案,其无进展生存期显著超越了替雷利珠单抗联合化疗(11.1个月 vs 6.9个月),且安全性可控。了解依沃西单抗的最新疗效、副作用及购买信息。 Read More... "依沃西单抗一线治疗晚期鳞状NSCLC:PFS显著延长,优于替雷利珠单抗方案"
FDA重磅批准达雷妥尤单抗皮下注射剂(Darzalex Faspro)用于治疗高危冒烟型多发性骨髓瘤,标志着该疾病早期干预策略的重大转变。基于AQUILA研究,该疗法能显著降低51%的疾病进展风险,改善患者生存率。本文将深入解读其关键临床数据、疗效、潜在副作用,并为有购药需求的患者提供相关资讯。 Read More... "达雷妥尤单抗获批!高危冒烟型多发性骨髓瘤迎来早期治疗新曙光"
COMPETE III期临床试验亚组分析显示,放射性配体疗法药物177Lu-edotreotide在治疗SSTR阳性1/2级胃肠胰神经内分泌肿瘤(GEP-NETs)方面,相较于依维莫司展现出更优的无进展生存期和总缓解率。了解该疗法的最新研究数据、疗效详情以及如何获取。 Read More... "COMPETE研究新数据:177Lu-edotreotide治疗胃肠胰神经内分泌肿瘤,多亚组疗效优于依维莫司"
NK细胞是什么?它被誉为抗癌第一道防线,是人体内对抗肿瘤和病毒最强的免疫细胞。本文将深入解析NK细胞疗法的作用原理,探讨其在预防癌症、清除病变细胞、改善亚健康状态方面的巨大潜力。想了解更多前沿抗癌资讯吗?点击查看详情。 Read More... "NK细胞疗法全解析:揭秘人体第一道抗癌防线如何对抗肿瘤"
FDA最新批准达雷妥尤单抗(Darzalex Faspro)皮下注射剂型,用于治疗高危冒烟型多发性骨髓瘤。基于AQUILA临床试验的卓越数据,该疗法显著延长了患者的无进展生存期,为延缓疾病进展提供了全新选择。了解达雷妥尤单抗的疗效、副作用及购买信息。 Read More... "FDA批准达雷妥尤单抗新适应症:显著延缓高危冒烟型多发性骨髓瘤进展"
顶尖肿瘤专家深度解读2025年癌症治疗新趋势。本文汇集了乳腺癌、宫颈癌、食管癌、胰腺癌和卵巢癌的最新诊疗策略,探讨免疫治疗、靶向药物及整合医学如何改变治疗格局,为患者提供前沿的抗癌资讯与治疗选择。 Read More... "2025肿瘤治疗新风向:专家解读乳腺癌、宫颈癌、胰腺癌前沿疗法"
最新UTOPIA临床研究数据显示,新型膀胱灌注药物UGN-103(丝裂霉素)在治疗低级别、中危非肌层浸润性膀胱癌(NMIBC)方面取得了显著成果,3个月完全缓解率高达77.8%。这一积极数据为UGN-103的上市申请铺平了道路,有望为复发性膀胱癌患者带来新的治疗选择。了解UGN-103的详细疗效、副作用及未来前景。 Read More... "膀胱癌新药UGN-103三期研究报喜:完全缓解率高达77.8%"
丝裂霉素新制剂UGN-103在治疗复发性低级别、中危非肌层浸润性膀胱癌(LG-IR-NMIBC)的3期UTOPIA临床试验中展现出持久疗效。数据显示,其3个月完全缓解率高达77.8%,这一积极结果支持其向FDA提交新药申请。了解UGN-103的最新临床数据、疗效和未来上市前景。 Read More... "丝裂霉素新药UGN-103治疗膀胱癌3期临床:完全缓解率达77.8%"
阿曼的镰状细胞病(SCD)展现了独特的遗传多样性,包括特有的HbS-Oman基因型,这为全球SCD的诊断和治疗提供了宝贵经验。本文深入探讨了不同基因型对临床症状的影响,以及羟基脲等治疗方案在当地的应用情况,为患者和医生提供重要参考。 Read More... "深入了解镰状细胞病:来自阿曼的独特基因图谱与治疗启示"
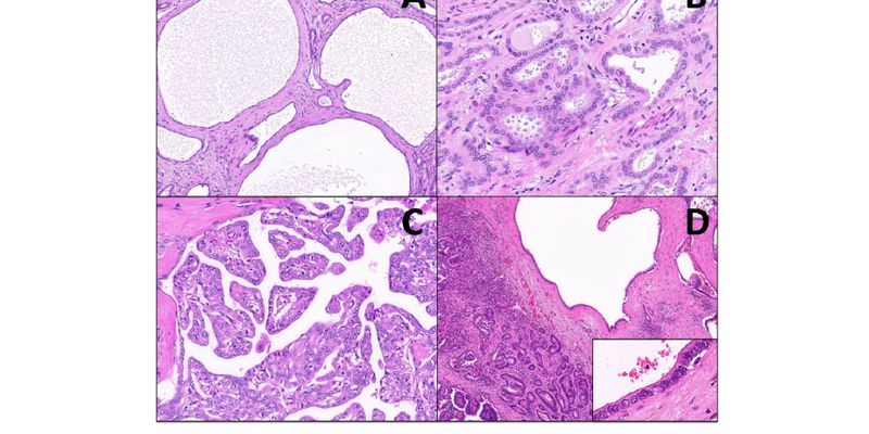
肾髓样癌(RMC)治疗迎来新希望!最新研究发现,TROP2是治疗这种罕见肾癌的关键靶点。靶向TROP2的药物戈沙妥珠单抗在临床试验中已显示出初步疗效,为患者提供了新的治疗选择。了解戈沙妥珠单抗的最新研究进展、疗效数据及其未来潜力。 Read More... "罕见肾癌新希望:研究揭示TROP2为肾髓样癌关键靶点,戈沙妥珠单抗疗效初显"
最新临床研究显示,KRAS G12D抑制剂GFH375在治疗既往接受过多种治疗的KRAS G12D突变胰腺癌(PDAC)患者中展现出显著疗效。数据显示,GFH375单药治疗的总缓解率达到40.7%,疾病控制率高达96.7%,为晚期胰腺癌患者带来了新的治疗希望。了解GFH375的详细疗效、副作用及未来前景。 Read More... "胰腺癌新突破!KRAS G12D抑制剂GFH375临床研究:疾病控制率高达96.7%"
