科学研究证实,坚持规律的体育锻炼不仅能增强体质,更能激活您体内的“抗癌开关”。本文深入解析运动如何通过激活NK细胞等免疫力量,有效降低肺癌、结直肠癌、乳腺癌等13种癌症风险。了解运动防癌的科学机制,将健康主动权掌握在自己手中。 Read More... "运动防癌的科学真相:激活免疫系统,有效降低肺癌、结直肠癌等多种癌症风险"
《细胞》杂志最新研究发现,分泌蛋白AOAH能显著增强多种癌症的免疫治疗效果,为黑色素瘤、肝癌、肾癌等难治性肿瘤带来突破性希望。本文将深入解析AOAH如何通过独特机制激活抗肿瘤免疫,克服免疫逃逸,并探讨其作为新型联合疗法的巨大潜力,为患者提供前沿治疗资讯与未来选择。 Read More... "《细胞》重磅发现:AOAH如何增强免疫疗法,为多种晚期癌症带来新希望?"
西安交大与剑桥大学在《Nature Cancer》发布突破性AI病理模型SMMILe。该模型无需昂贵人工标注,即可实现对乳腺癌、肺癌等多种癌症的大规模、自动化筛查与精准空间量化诊断,将分析效率从数十分钟缩短至1分钟,为癌症的早期发现和精准治疗策略制定带来革命性变革。 Read More... "《Nature Cancer》重磅:新型AI病理模型SMMILe问世,精准量化肿瘤,颠覆癌症诊断模式"
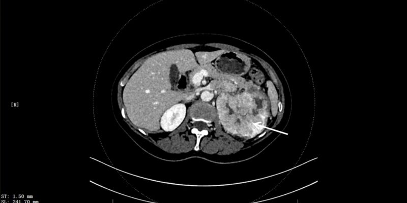
美国FDA授予新型PET显像剂ITM-94快速通道资格,为透明细胞肾细胞癌(RCC)的诊断带来新突破。临床数据显示,ITM-94能精准识别原发灶及常规影像难以发现的转移灶,且安全性高。了解这一创新诊断工具如何改变RCC的诊疗决策,并为其治疗药物ITM-91的开发铺平道路。 Read More... "透明细胞肾细胞癌(RCC)诊断新突破:ITM-94显像剂获FDA快速通道资格"
三级淋巴结构(TLS)是影响肿瘤免疫治疗成败的关键。本文深入解析TLS在肿瘤微环境中的形成、异质性及其抗癌作用,探讨其作为预测免疫疗法效果的生物标志物和未来治疗新靶点的巨大潜力,为寻求更有效免疫治疗方案的癌症患者提供前沿资讯。 Read More... "肿瘤免疫治疗新突破:揭秘三级淋巴结构(TLS)如何决定疗效成败?"
近半数癌症可被预防,而科学的早期筛查更是将癌症死亡率降低的关键。本文为您权威解读肺癌、乳腺癌、结直肠癌等20种常见恶性肿瘤的筛查“金标准”,覆盖高危人群识别与最佳筛查方案,助您把握健康主动权,将癌症扼杀在摇篮之中。 Read More... "2024癌症筛查终极指南:肺癌、乳腺癌等20种肿瘤的“金标准”方法全解析"
最新《自然通讯》研究揭示,基于液体活检的Galleri多癌种早期检测(MCED)在超10万人的真实世界数据中表现卓越。其癌症检出率达0.91%,癌症起源预测准确率高达87%,为癌症的早期筛查和诊断提供了革命性新工具。了解这项前沿技术如何改变癌症防治格局。 Read More... "一滴血筛查多种癌症?Galleri检测超10万例真实世界数据揭示其革命性潜力"
AFFINITY临床研究最新结果揭示,Aliya脉冲电场消融(PEF)技术在治疗转移性实体瘤方面展现出巨大潜力。该技术不仅能实现有效的局部肿瘤控制,还可能激活患者的全身免疫系统,为晚期癌症患者带来新的治疗选择。了解这项创新疗法的详细数据和未来前景。 Read More... "实体瘤治疗新篇章:脉冲电场消融术不仅有效控制肿瘤,更能激活全身免疫反应"
牛奶究竟是抗癌还是促癌?这一直是癌症患者关心的饮食难题。最新研究揭示了牛奶中半乳糖的双重作用:它能激活免疫T细胞抑制肿瘤,但过量摄入又可能增加风险。本文将深入解读科学争议,为您提供合理的饮用建议。 Read More... "癌症患者能喝牛奶吗?科学揭示半乳糖的双重效应:抗癌还是促癌?"
最新临床研究揭示了晚期肾癌(RCC)患者对免疫治疗产生耐药性的关键原因。研究发现,髓系细胞中的干扰素-γ(IFNγ)信号传导是导致免疫检查点抑制剂失效的核心机制。这一重大发现为开发新的生物标志物和治疗策略,以克服耐药性并为患者选择更有效的治疗方案带来了新希望。 Read More... "肾癌免疫治疗为何会失败?最新研究揭示髓系细胞是耐药关键"
PLUME II期临床试验数据显示,帕博利珠单抗(可瑞达)联合仑伐替尼(乐卫玛)治疗葡萄膜黑色素瘤展现出令人鼓舞的疗效。该方案显著提高了患者的无进展生存率,尤其是在既往接受过泰本妥法斯治疗的患者中,显示出潜在的协同作用。了解该联合疗法的最新数据、副作用及购买渠道。 Read More... "帕博利珠单抗联合仑伐替尼治疗黑色素瘤:PLUME试验揭示协同增效潜力"
肾髓样癌(RMC)治疗迎来新希望!最新研究发现,TROP2是治疗这种罕见肾癌的关键靶点。靶向TROP2的药物戈沙妥珠单抗在临床试验中已显示出初步疗效,为患者提供了新的治疗选择。了解戈沙妥珠单抗的最新研究进展、疗效数据及其未来潜力。 Read More... "罕见肾癌新希望:研究揭示TROP2为肾髓样癌关键靶点,戈沙妥珠单抗疗效初显"
2025年欧洲肿瘤内科学会(ESMO)年会公布了泌尿生殖系统肿瘤领域的重磅研究成果。本文汇总了前列腺癌、膀胱癌和肾癌治疗的五大突破性临床试验,包括Capivasertib和Enfortumab vedotin等新药的最新数据。点击了解这些可能改变临床实践的最新疗法及其对患者的意义。 Read More... "ESMO 2025泌尿肿瘤前沿:前列腺癌、膀胱癌、肾癌治疗迎来五大突破"
许多黑色素瘤患者在接受免疫治疗后肿瘤缩小,但不久后却面临复发和耐药的困境。最新研究揭示了癌细胞通过基因拷贝数变异逃避凋亡的“生存秘籍”。科学家提出,联合使用促凋亡药物或可有效预防肿瘤复发,为患者带来长期缓解的新希望。了解更多前沿抗癌资讯。 Read More... "黑色素瘤免疫治疗后为何会复发?新研究揭示耐药机制与预防策略"
肾癌免疫治疗为何会产生耐药?《Immunity》杂志最新研究揭示,关键不在肿瘤细胞,而在于被干扰素“策反”的髓系细胞。它们会抑制T细胞的杀伤功能,导致治疗失败。这一重大发现为预测和克服肾癌免疫疗法耐药提供了新思路,有望开发出更有效的联合治疗方案,为患者带来新希望。了解详情,寻找解决方案。 Read More... "肾癌免疫治疗为何无效?新研究锁定“内鬼”髓系细胞是耐药元凶"
2025年ESMO大会公布了泌尿生殖系统肿瘤治疗的重大突破。本文汇总了Enfortumab vedotin联合疗法在膀胱癌中的新数据,维迪西妥单抗在尿路上皮癌中的生存优势,以及卡博替尼、Lutetium Lu 177等药物在肾癌和前列腺癌中的最新临床研究进展。了解这些前沿靶向治疗方案的疗效、价格及购买渠道。 Read More... "ESMO 2025泌尿肿瘤前沿:膀胱癌、肾癌、前列腺癌靶向治疗新突破"
一位双侧肾癌患者通过基因检测,意外发现罕见的PALB2胚系突变。这一结果不仅揭示了其癌症的遗传性,增加了乳腺癌等其他癌症风险,更关键的是,它为使用奥拉帕利等PARP抑制剂进行精准靶向治疗提供了重要依据。了解PALB2突变如何改变肾癌治疗策略。 Read More... "双侧肾癌竟是遗传?PALB2基因突变揭示治疗新方向,奥拉帕利或成新选择"
PSMA(前列腺特异性膜抗原)是诊断前列腺癌的关键生物标志物,尤其在高级别和转移性前列腺癌中表达显著。了解PSMA阳性的意义,不仅有助于精准诊断,也为探索新型靶向治疗方案提供了重要依据。本文将为您详细解读PSMA在癌症诊疗中的作用与价值。 Read More... "PSMA阳性意味着什么?前列腺癌诊断与治疗的关键标志物解读"
最新LITESPARK-022研究揭示,对于肾切除术后的透明细胞肾细胞癌患者,帕博利珠单抗(可瑞达)联合贝尔舒凡(Welireg)作为辅助治疗,能显著改善无病生存期(DFS),优于帕博利珠单抗单药。了解这一突破性组合疗法的最新数据、疗效、安全性及未来应用前景,为患者提供新的治疗选择。 Read More... "肾细胞癌术后治疗新突破:帕博利珠单抗联合贝尔舒凡显著改善无病生存期"
最新研究首次揭示,在结节性硬化症(TSC)患者中,伴纤维肌瘤性间质的肾细胞癌(RCC FMS)可呈现血管母细胞瘤样形态。这一发现与TSC/MTOR基因突变密切相关,而非VHL基因变异,为该罕见肾癌的精准诊断和靶向治疗(如mTOR抑制剂)提供了新思路。了解详情,探索前沿治疗方案。 Read More... "罕见肾细胞癌新认知:TSC/MTOR突变驱动的血管母细胞瘤样特征及其治疗启示"
