什么是双相型乳头状肾细胞癌(BPRCC)?
乳头状肾细胞癌(PRCC)是第二常见的肾癌类型,约占所有肾癌的15%-20%。过去,医生们主要根据癌细胞的形态将其分为1型和2型。然而,随着研究的深入,科学家们发现了一个独特的亚型——双相型乳头状肾细胞癌(BPRCC)。这种罕见的肾癌亚型因其在显微镜下呈现出两种截然不同的细胞形态(即“双相”)而得名。一项最新的综合性研究,通过对10例BPRCC病例的深入分析,为我们揭示了其独特的临床、形态及分子遗传学特征,这对于未来开发更精准的治疗方案至关重要。

BPRCC的临床特征:它是一种惰性肿瘤吗?
根据这项研究,BPRCC展现出一些值得关注的临床特点:
- 发病年龄更早: BPRCC患者的中位年龄为48岁,比经典PRCC患者(通常在60-70岁发病)要早十多年。
- 肿瘤分期较低: 研究中的所有病例均为pT1期,属于早期肿瘤。
- 预后良好: 在中位长达55个月的随访期间,所有患者均未出现疾病进展或与癌症相关的死亡,显示出相对惰性的临床行为。
尽管如此,研究人员也指出,既往文献中曾报道过具有转移潜能的高分期BPRCC病例,甚至有病例表现出与侵袭性行为相关的“横纹肌样”特征。因此,对于BPRCC的惰性特征仍需谨慎看待,个体化的病情评估和随访至关重要。

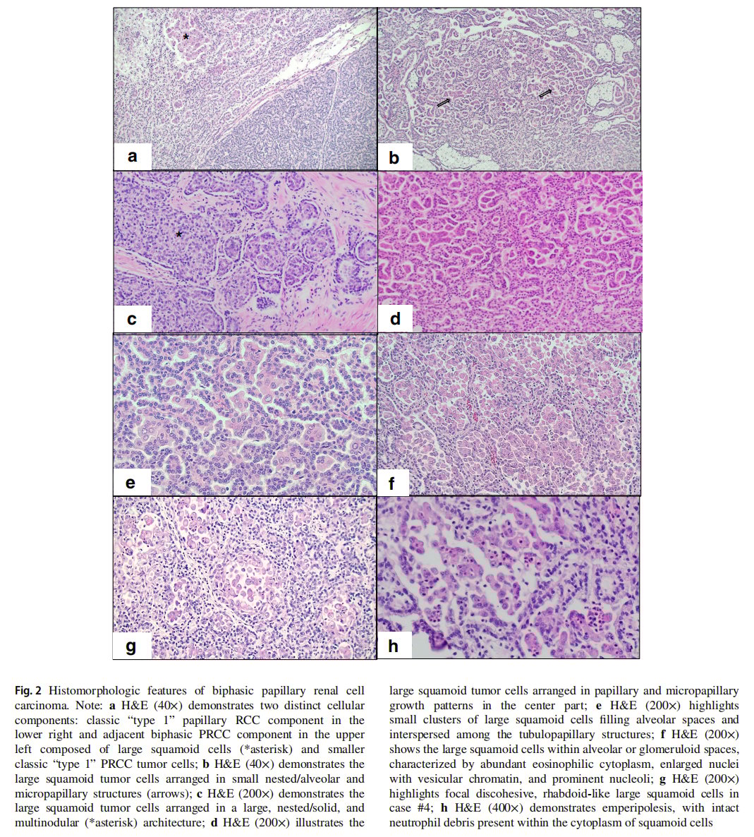
独特的双相形态:BPRCC在显微镜下有何不同?
BPRCC最显著的特点是其“双相”组织学结构。这意味着肿瘤由两种形态迥异的细胞群构成:
- 小细胞群: 这部分细胞与经典的“1型”PRCC细胞相似,体积较小,排列成乳头状或腺泡状结构。
- 大嗜酸性细胞群: 这部分细胞体积较大,胞质丰富,细胞核也更大,核仁明显,外观上有些类似鳞状细胞。
研究人员通过免疫组化染色技术发现,这两种细胞群不仅外观不同,其蛋白表达模式也存在显著差异,这可能暗示它们起源于肾单位的不同节段,从而形成了这种独特的双相分化模式。


揭示分子密码:BPRCC的核心基因突变有哪些?
分子层面的分析是本次研究的重点,它为我们揭示了BPRCC独特的遗传背景。虽然BPRCC和经典PRCC一样,都存在7号和17号染色体三体的典型变化,但二代测序(NGS)发现了更多独特的基因改变:
- MET基因变异: 部分病例中检测到MET扩增或MET突变,这是“1型”PRCC的典型特征之一。
- NOTCH通路富集: 一个非常显著的发现是,10例肿瘤中有9例检测到NOTCH1突变,提示NOTCH信号通路在BPRCC的发生发展中可能扮演着关键角色。
- 其他通路改变: 研究还发现了影响MAPK信号通路的改变(如MAP2K2突变)、FGFR4突变以及DNA损伤修复(DDR)通路相关基因的改变。
这些复杂的分子图谱表明,BPRCC虽然与经典PRCC有共同之处,但其独特的基因改变,特别是在NOTCH、MAPK和DDR通路上的富集,使其成为一个独立的分子亚型。理解这些复杂的基因信息可能让您感到困惑,如果您想深入了解特定基因突变对治疗方案的影响,可以随时咨询MedFind的AI问诊服务,获取专业的解读和建议。

这对肾癌患者意味着什么?
这项研究的发现,为BPRCC患者的诊断和治疗带来了新的启示。将BPRCC确立为一个独立的肾癌亚型,有助于病理医生做出更精准的诊断,避免混淆。更重要的是,其独特的分子特征为开发新的治疗策略指明了方向。
例如,MET、FGFR4等都是已知的药物靶点,而NOTCH通路和DDR通路的异常也为靶向治疗提供了潜在的可能性。虽然目前尚无专门针对BPRCC的靶向药物获批,但这些发现无疑是迈向精准治疗的重要一步。对于患者而言,进行全面的基因检测,明确肿瘤的分子特征,可能有助于医生制定更具个体化的治疗策略。
MedFind致力于为全球癌症患者提供前沿的治疗选择。我们提供专业的海外靶向药代购服务,确保您能及时获取所需的治疗药物。同时,欢迎您访问MedFind抗癌资讯板块,持续关注包括肾癌在内的各类癌症研究的最新进展。
