最新研究表明,GLP-1受体激动剂与癌症风险关联不大,为糖尿病和肥胖患者带来安心。这项涵盖近10万人的荟萃分析,深入探讨了GLP-1s对结直肠癌、胰腺癌、乳腺癌等多种癌症的影响,揭示其在某些情况下可能降低癌症死亡率。了解GLP-1s的最新安全性数据,以及未来研究方向,为您的健康决策提供科学依据。需要相关药品?访问MedFind,获取全球优质药品代购直邮服务。 Read More... "GLP-1受体激动剂与癌症风险:最新荟萃分析揭示关联性不大"
妇科肿瘤临床试验的分布是否公平?最新研究揭示,卵巢癌、子宫癌和宫颈癌患者获得的临床试验机会存在显著差异,这种不平衡可能直接影响不同种族患者获得创新疗法的机会。本文深入探讨了这一现象背后的原因,帮助您了解如何为自己或家人争取更多前沿治疗的可能。 Read More... "妇科肿瘤临床试验揭秘:为何卵巢癌新药多,而子宫癌、宫颈癌机会少?"
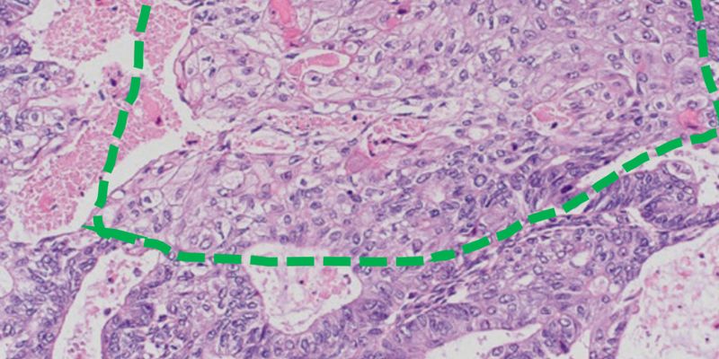
首例报道!子宫内膜癌中发现新型POLE基因突变p.(S461P),并呈现出罕见的“POLE突变+错配修复缺陷+p53异常”复杂分子表型。这项临床研究深入探讨了其致病机制,为子宫内膜癌的精准分子分型和预后判断提供了新见解,对未来治疗方案的选择至关重要。 Read More... "子宫内膜癌精准分型新突破:首例POLE新发突变揭示复杂分子表型,如何影响治疗与预后?"
本文深入剖析一例罕见的家族性林奇综合征病例,揭示了EpCAM、MSH2、PMS2和APC基因共突变与早发性结直肠癌的密切关联。通过全外显子测序(WES)技术,研究人员发现了新型大片段基因缺失,强调了全面基因筛查对于高风险家族早期诊断和预防的重要性。 Read More... "罕见基因共突变揭秘:林奇综合征家族为何易患早发性结直肠癌?"
全新III期临床研究DESTINY-Endometrial01正式启动,旨在评估德曲妥珠单抗(T-DXd)联合帕博利珠单抗等免疫疗法,作为HER2阳性、pMMR晚期或复发性子宫内膜癌的一线治疗方案。这项研究基于T-DXd已证实的卓越疗效,有望为患者开创更有效的治疗新标准。 Read More... "HER2阳性子宫内膜癌新希望:德曲妥珠单抗联合免疫疗法一线治疗III期研究启动"
科学研究证实,坚持规律的体育锻炼不仅能增强体质,更能激活您体内的“抗癌开关”。本文深入解析运动如何通过激活NK细胞等免疫力量,有效降低肺癌、结直肠癌、乳腺癌等13种癌症风险。了解运动防癌的科学机制,将健康主动权掌握在自己手中。 Read More... "运动防癌的科学真相:激活免疫系统,有效降低肺癌、结直肠癌等多种癌症风险"
家族中有人患癌,我也会得癌吗?本文详细解读了胰腺癌、卵巢癌、特定乳腺癌等遗传性癌症的基因检测必要性,明确指出哪些高风险人群应尽早进行检测,以评估患癌风险并采取预防措施。了解详情,为自己和家人的健康负责。 Read More... "家族中有癌症患者?专家解读:哪些人必须进行遗传性基因检测"
如何有效改善脑肿瘤与遗传性癌症患者的预后?专家深度解析:对于罕见的脑肿瘤,开发更先进的治疗方案是提升生存率的关键。而对于BRCA2突变相关的胰腺癌等遗传性癌症,积极进行家族筛查、实现早期诊断,是大幅提升患者生存率的核心策略。了解最新资讯,为治疗决策提供支持。 Read More... "专家解读:脑肿瘤靠新疗法,遗传性癌症靠早筛查,如何提升生存率?"
新型MUC18靶向ADC药物AMT-253在针对黑色素瘤的I期临床研究中展现出令人鼓舞的疗效与可控的安全性。数据显示,其客观缓解率达28.6%,为晚期实体瘤患者带来了新的治疗希望。了解AMT-253的最新临床数据、副作用及未来潜力。 Read More... "AMT-253临床新突破:MUC18靶向ADC药物为黑色素瘤治疗带来新希望,客观缓解率达28.6%!"
子宫内膜癌发病率持续上升,早期筛查与诊断至关重要。本文将为您详细解读革命性的CDO1/CELF4双基因甲基化检测技术。了解这种无创、高精度的早筛新方法如何克服传统检查的局限性,帮助您及早发现子宫内膜病变,守护女性健康。 Read More... "子宫内膜癌早筛新突破:无创CDO1/CELF4基因甲基化检测,精准捕捉早期病变信号"
卵巢癌患者必读:专家详解基因检测五大核心问题。本文深入解读卵巢癌的组织学分类、NCCN指南推荐的分子检测项目,并重点阐述BRCA1/2和HRD检测对PARP抑制剂治疗的指导意义,以及林奇综合征的筛查价值。了解最新诊疗策略,为精准治疗做好准备。 Read More... "卵巢癌基因检测全解析:BRCA/HRD检测如何指导PARP抑制剂治疗?"
近期肿瘤治疗领域迎来多项突破!美国FDA批准了帕妥珠单抗生物类似药用于HER2阳性乳腺癌,以及泽夫妥米用于治疗NPM1突变的复发/难治性急性髓系白血病。此外,软组织肉瘤和上皮癌领域也涌现出创新疗法。了解这些新药的最新疗效、价格及购买渠道,为您的治疗方案带来新希望。 Read More... "FDA最新批准:泽夫妥米攻克NPM1突变AML,帕妥珠单抗生物类似药为乳腺癌带来新选择"
近半数癌症可被预防,而科学的早期筛查更是将癌症死亡率降低的关键。本文为您权威解读肺癌、乳腺癌、结直肠癌等20种常见恶性肿瘤的筛查“金标准”,覆盖高危人群识别与最佳筛查方案,助您把握健康主动权,将癌症扼杀在摇篮之中。 Read More... "2024癌症筛查终极指南:肺癌、乳腺癌等20种肿瘤的“金标准”方法全解析"
最新研究警示:频繁使用化学直发剂,尤其是在青春期,可能显著增加子宫癌、胰腺癌、甲状腺癌及非霍奇金淋巴瘤的患病风险。本文深入剖析直发剂中的有害化学物质及其致癌机理,为爱美女性提供重要的健康参考,了解潜在风险,远离癌症威胁。 Read More... "直发剂致癌新证据:不只子宫癌,胰腺癌、甲状腺癌风险也飙升!"
FDA批准OncoMate MSI Dx作为伴随诊断,用于筛选适合接受帕博利珠单抗联合仑伐替尼治疗的MSS型子宫内膜癌患者。基于KEYNOTE-775研究的五年数据,该联合疗法显著提高了患者的生存率。了解该疗法的最新疗效、副作用及治疗选择。 Read More... "帕博利珠单抗联合仑伐替尼新进展:FDA批准伴随诊断,精准治疗MSS型子宫内膜癌"
PLUME II期临床试验数据显示,帕博利珠单抗(可瑞达)联合仑伐替尼(乐卫玛)治疗葡萄膜黑色素瘤展现出令人鼓舞的疗效。该方案显著提高了患者的无进展生存率,尤其是在既往接受过泰本妥法斯治疗的患者中,显示出潜在的协同作用。了解该联合疗法的最新数据、副作用及购买渠道。 Read More... "帕博利珠单抗联合仑伐替尼治疗黑色素瘤:PLUME试验揭示协同增效潜力"
最新研究揭示,不同激素避孕药对乳腺癌风险的影响存在差异。数据显示,含去氧孕烯的避孕药风险较高,而含屈螺酮的则未见风险增加。这项发现为女性,尤其是高风险人群,提供了重要的参考信息,以帮助她们与医生共同做出更安全、更明智的节育选择。了解详情,评估您的个人风险。 Read More... "并非所有避孕药都一样!最新研究揭示:部分激素成分或显著增加乳腺癌风险"
最新研究警示:高达40%的林奇综合征患者首发癌症并非结直肠癌或子宫内膜癌!这大大增加了漏诊风险,错失早期干预良机。了解林奇综合征更广泛的肿瘤谱,包括胃癌、卵巢癌等,对于早期诊断和制定精准治疗策略至关重要。立即了解详情,避免延误治疗。 Read More... "林奇综合征不只结直肠癌:研究揭示40%患者罹患其他癌症,早期筛查是关键"
传统IHC检测HER2阴性的妇科肿瘤患者是否就与德曲妥珠单抗无缘?最新案例研究揭示,即使IHC为阴性,通过NGS检测发现HER2突变的子宫内膜癌、卵巢癌和宫颈癌患者,使用德曲妥珠单抗治疗后仍能获得显著且持久的缓解。了解如何通过基因检测找到新的治疗希望。 Read More... "德曲妥珠单抗治疗妇科肿瘤:IHC阴性不等于无效,HER2突变是关键!"
最新《JAMA Oncology》研究揭示,激素避孕药与乳腺癌风险增加相关。一项涉及超200万女性的瑞典全国性研究发现,含有去氧孕烯或依托孕烯的避孕药,其风险显著高于含左炔诺孕酮的产品。本文深入解读该研究,帮助您在避孕选择上做出更明智的决定,全面评估健康风险。 Read More... "警惕!JAMA研究证实:部分激素避孕药显著增加乳腺癌风险"
