最新研究为多发性磨玻璃肺结节(GGO)患者带来新希望。研究表明,对于符合特定标准的低风险GGO,采取主动监测策略是安全有效的,5年总生存率高达100%,可避免不必要的手术和肺功能损伤。了解这一前沿诊疗策略,为您的健康做出更明智的决策。 Read More... "肺部磨玻璃结节一定要手术吗?最新研究证实:主动监测下5年生存率100%!"
MajesTEC-3三期研究证实,泰格司他(teclistamab)联合达雷妥尤单抗(daratumumab)治疗复发/难治性多发性骨髓瘤,能显著改善无进展生存期(PFS)和总生存期(OS),优于标准疗法。这一突破性组合有望成为该领域的新标准。了解更多关于此疗法的疗效、副作用及药物获取途径。 Read More... "MajesTEC-3研究突破:泰格司他新组合疗法显著延长多发性骨髓瘤患者生存期"
《新英格兰医学杂志》最新研究证实,对于早期宫颈癌患者,前哨淋巴结活检可安全替代传统的盆腔淋巴结清扫术。该方案不仅生存率不劣于传统手术,还能显著减少手术创伤、并发症和术中出血,甚至可能带来更高的癌症特异性生存率。了解宫颈癌治疗的最新进展。 Read More... "早期宫颈癌治疗新突破:NEJM研究证实前哨淋巴结活检可替代盆腔清扫,降低并发症"
免疫治疗是抗癌利器,但为何部分患者会出现耐药或无效?本文为您深度解读顶尖期刊《Cancer Cell》提出的肿瘤免疫逃逸“三C”新框架,揭示癌细胞如何通过伪装、胁迫和细胞保护三大策略躲避免疫攻击。文章还全面梳理了针对这些机制的前沿治疗药物和临床研究进展,为寻求突破性治疗方案的患者提供重要参考。 Read More... "破解免疫治疗耐药:深入解析肿瘤免疫逃逸的伪装、胁迫与保护机制"
最新研究揭示了结直肠癌转移的惊人机制:癌细胞通过释放外泌体miR-99a“遥控”成纤维细胞,创造促转移微环境。这一发现不仅为预测肠癌转移提供了新的血浆标志物,更指出了p70S6K作为潜在治疗靶点的重要性,为开发新药和治疗方案带来希望。了解前沿资讯,为抗癌之路增添信心。 Read More... "重磅发现:结直肠癌细胞通过外泌体“遥控”微环境,促进肿瘤转移,p70S6K成潜在治疗新靶点"
最新研究揭示,癌症患者在化疗期间急需的止吐药(如阿瑞匹坦、昂丹司琼)常遭遇复杂的医保报销限制。不同保险计划的政策差异巨大,可能延误治疗。了解这些潜在的购药障碍,以及如何为您的治疗选择最合适的药物和购买渠道,确保治疗顺利进行。 Read More... "癌症化疗必备的止吐药,为何在医保报销时困难重重?"
最新研究表明,一项创新的多学科协作项目成功将肺癌筛查率从32.8%提升至71.6%,实现了翻倍增长。更重要的是,该项目使近八成(77.8%)的肺癌患者得以在早期阶段确诊,极大地提升了治疗成功率。如果您是高危人群,了解如何参与肺癌筛查至关重要。 Read More... "肺癌筛查率翻倍!新研究揭示多学科协作模式如何提高早期诊断率"
得益于DOORwaY90研究的突破性成果,SIR-Spheres(Y-90树脂微球)正式获批用于治疗不可切除的肝细胞癌(HCC)。这项采用个性化剂量学的选择性内放射治疗(SIRT)技术,展现了高达98.5%的客观缓解率,为肝癌患者带来了全新的、高效的治疗选择。了解更多关于SIR-Spheres的治疗详情和获取渠道。 Read More... "肝细胞癌治疗新里程碑:SIR-Spheres凭借98.5%缓解率获批"
DUART研究显示,对于不适合化疗的III期非小细胞肺癌患者,度伐利尤单抗(Imfinzi)联合放疗展现出良好的疗效与可控的安全性。该方案显著延长了患者的无进展生存期和总生存期,为老年或体弱的NSCLC患者提供了一种全新的治疗选择。了解更多关于度伐利尤单抗的最新临床数据、副作用及购买渠道。 Read More... "无法化疗怎么办?度伐利尤单抗联合放疗治疗III期非小细胞肺癌疗效显著"
一项发表于《柳叶刀·肿瘤学》的回顾性研究显示,对于BRAF V600E突变的转移性非小细胞肺癌(NSCLC)患者,一线使用PD-1/PD-L1抑制剂(联合或不联合化疗)的中位总生存期显著优于BRAF/MEK抑制剂联合疗法(40.9个月 vs 25.2个月)。这一发现可能为该类患者的一线治疗选择提供新思路,了解更多治疗方案及药物获取途径。 Read More... "研究揭示:BRAF V600E突变非小细胞肺癌,一线免疫治疗生存获益超越靶向联合疗法"
ALBAN三期临床研究最新数据显示,对于高危非肌层浸润性膀胱癌(NMIBC)患者,在标准卡介苗(BCG)治疗中加入PD-L1抑制剂阿替利珠单抗(泰圣奇),未能显著改善无事件生存期(EFS)。尽管备受期待,但该联合疗法疗效未达预期,且副作用发生率更高。本文将为您深入解读该试验的详细数据、安全性分析以及对未来膀胱癌治疗策略的启示。 Read More... "阿替利珠单抗联合BCG治疗膀胱癌失败:ALBAN三期研究结果公布"
吴荻教授深度解析肿瘤治疗的双重革命。文章探讨了新型双靶点药物如何通过诱导细胞凋亡与衰老双重机制抗癌,并展望了CAR-T、TCR-T等基因细胞疗法在肺癌、黑色素瘤等实体瘤治疗中的巨大潜力。了解前沿疗法,为您的治疗决策提供新思路,探索更多个性化精准治疗选择,把握生命新希望。 Read More... "肿瘤治疗新突破:双靶点药物与基因细胞疗法如何革新癌症治疗?"
最新研究揭示,肠道菌群或成预测局部晚期肺癌患者巩固免疫治疗效果及放化疗肺毒性的新关键。研究发现,基线肠道微生物多样性及特定菌群(如Akk菌)的动态变化,与患者的无进展生存期和严重肺炎风险密切相关。想了解如何优化您的治疗方案?点击探索更多前沿抗癌资讯。 Read More... "肺癌免疫治疗效果如何?Cell子刊重磅发现:肠道菌群是关键预测指标!"
AMALEE临床研究揭示,对于HR+/HER2-晚期乳腺癌患者,使用400mg瑞波西利虽然总缓解率未达非劣效性,但无进展生存期与标准600mg剂量相当,且能显著降低中性粒细胞减少等副作用风险。这一发现为患者提供了更安全的剂量选择,有助于平衡治疗效果与生活质量。 Read More... "乳腺癌新选择:瑞波西利400mg剂量PFS媲美600mg,副作用显著降低"
EGFR突变肺腺癌患者免疫治疗效果为何不佳?本文特邀潘云建教授深入解读EGFR突变肺腺癌的免疫微环境特殊性,探讨其免疫逃逸机制与未来治疗新方向。文章还覆盖了肺磨玻璃结节的鉴别诊断与早期肺癌的微创治疗策略,为患者及家属提供全面的前沿抗癌资讯与治疗选择参考。 Read More... "专家解读:EGFR突变肺腺癌免疫治疗困境与未来出路"
为什么不同位置的结肠癌恶性程度和治疗难度差异巨大?最新研究揭示了其“地域”之谜!科学家首次精准定位了驱动不同结肠区段癌变的两种关键干细胞(NOX1和NPY1R),这一重大发现为开发区域特异性靶向药物和实现结肠癌的精准诊疗提供了全新思路,有望彻底改变未来的治疗模式,为患者带来新希望。 Read More... "结肠癌研究重大发现:锁定两种“元凶”干细胞,为精准治疗开辟新路"
“T+A”靶免联合方案(阿替利珠单抗联合贝伐珠单抗)已成为不可切除肝细胞癌一线治疗新标准。多项研究证实,该方案不仅显著延长生存期,更在维持患者生活质量、保护身体机能、缓解疼痛疲劳等症状方面远优于传统靶向药。了解“T+A”方案如何实现疗效与生活质量的双重获益,为您的治疗决策提供关键参考。 Read More... "阿替利珠单抗联合贝伐珠单抗:晚期肝癌一线治疗新标准,显著提升患者生活质量"
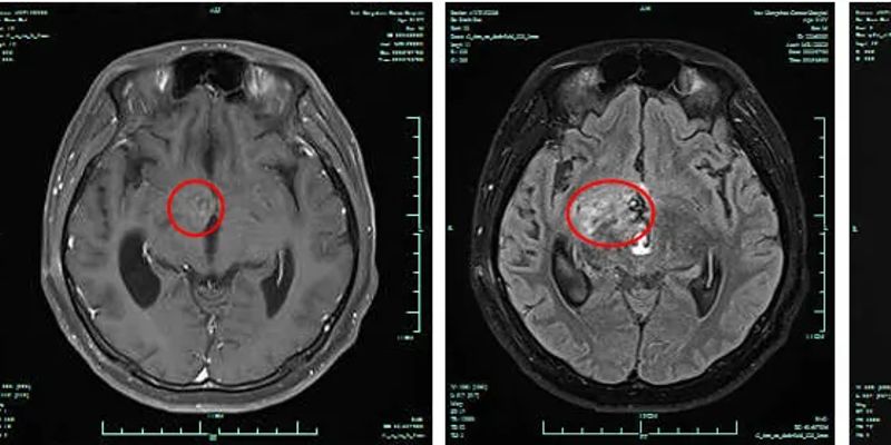
分享一例高级别神经胶质瘤患者的成功治疗经验。在标准治疗后疾病仍快速进展的情况下,采用替莫唑胺(Temozolomide)联合替尼泊苷(Teniposide)的化疗新方案,成功控制了肿瘤进展,实现了病灶稳定。了解这一为神经胶质瘤患者带来新希望的治疗选择,以及该方案的有效性与安全性。 Read More... "神经胶质瘤治疗新选择:替莫唑胺联合替尼泊苷化疗成功案例"
肿瘤术后复发是癌症治疗中的核心难题。《Cell》子刊最新研究带来突破性进展:一种新型溶瘤病毒水凝胶系统,在肿瘤切除后原位应用,可持续释放病毒以激活免疫反应,将“冷肿瘤”转为“热肿瘤”,从而有效控制并预防术后肿瘤的复发与转移。这一前沿疗法为癌症患者提供了新的康复希望。 Read More... "告别肿瘤术后复发?新型溶瘤病毒水凝胶疗法激活免疫,持久抗癌"
颠覆传统认知!最新研究揭示,中国不吸烟女性的肺癌风险竟可能超过长期吸烟者。本文将深入剖析厨房油烟、空气污染、二手烟以及EGFR等关键基因突变如何成为隐形杀手,并提供低剂量CT筛查等实用预防策略。立即了解为何肺癌不再是吸烟者“专利”,为自己和家人的健康筑起防线。 Read More... "警惕!中国不吸烟女性肺癌高发,厨房油烟与EGFR突变是主因吗?"
