间变性甲状腺癌(ATC)是一种恶性程度极高的罕见癌症。最新研究发现,部分ATC患者存在MET基因变异,这可能为治疗带来新希望。了解MET变异的类型、检测方法及潜在靶向药物,对于改善ATC患者预后至关重要。MedFind为您深度解析。 Read More... "间变性甲状腺癌(ATC)有救了?MET变异最新研究揭示靶向治疗潜力与用药选择"
美国癌症协会发布2026年最新癌症统计报告,揭示整体五年生存率已达70%,创历史新高。本文将深入解读报告数据,分析癌症发病率、死亡率趋势,并探讨哪些癌种生存率最高、哪些仍面临挑战,为患者和家属提供权威、实用的抗癌信息与应对策略。 Read More... "癌症生存率再创新高!美国最新报告深度解读:70%患者活过5年,我们该如何应对?"
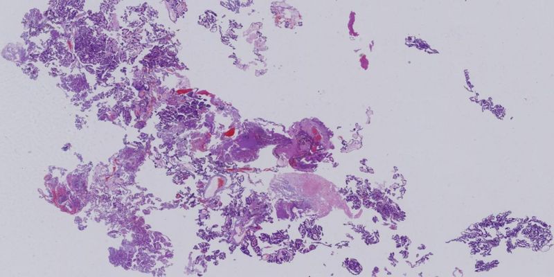
本文深入解析梅奥诊所如何通过多学科协作(MDT)成功治疗一例罕见、危及生命的甲状腺癌晚期病例。该肿瘤侵犯了患者的心脏和气道,治疗难度极高。了解复杂癌症的治疗挑战、MDT模式的优势以及国际顶尖医疗机构的集成护理能力,为患者寻求最佳治疗方案提供参考。 Read More... "罕见甲状腺癌侵犯心脏气道:梅奥诊所MDT团队如何成功挑战复杂手术与治疗方案"
罕见RET K666N胚系变异与家族性甲状腺髓样癌(MTC)的临床研究。了解RET K666N变异的年龄依赖性外显率、MTC筛查策略(降钙素、超声、FNAB)及靶向治疗选择。为携带者提供最新的遗传咨询和用药指导。 Read More... "罕见RET K666N变异与家族性甲状腺髓样癌(MTC):携带者如何筛查与靶向治疗选择?"
基于GLOBOCAN 2022与GBD 2021权威数据,本文深度解析全球头颈部肿瘤(包括甲状腺癌、鼻咽癌、口腔癌等)的发病率、死亡率及流行趋势。揭示不同性别、年龄和地区间的显著差异,强调中低HDI地区的高死亡率挑战,并预测至2040年的疾病负担,为患者提供早期筛查与治疗选择的参考。 Read More... "2024全球头颈部肿瘤发病与死亡趋势深度解析:甲状腺癌、鼻咽癌高发地区与未来预测"
一项针对4.8万多名年轻癌症患者(AYAs)的最新研究显示,近10%的非转移性癌症患者随后出现转移性复发,这与生存率显著降低相关。研究指出,肉瘤、结直肠癌、宫颈癌和乳腺癌的复发风险最高,凸显了对年轻幸存者提供定制化随访和后续治疗方案的必要性。 Read More... "年轻癌症患者(AYAs)转移复发风险有多高?最新研究揭示高危癌种与生存挑战"
武汉大学团队最新研究揭示了膀胱癌(BLCA)对一线化疗药物顺铂产生耐药性的关键机制。研究发现,CCPG1介导的网状自噬(Reticulophagy)活性升高是BLCA进展的驱动因素,并赋予癌细胞顺铂耐药性。CCPG1有望成为预测预后和克服膀胱癌耐药的潜在新靶点,为患者提供了新的治疗方向。 Read More... "膀胱癌顺铂耐药机制新突破:CCPG1介导的自噬如何影响治疗效果?"
最新研究表明,GLP-1受体激动剂与癌症风险关联不大,为糖尿病和肥胖患者带来安心。这项涵盖近10万人的荟萃分析,深入探讨了GLP-1s对结直肠癌、胰腺癌、乳腺癌等多种癌症的影响,揭示其在某些情况下可能降低癌症死亡率。了解GLP-1s的最新安全性数据,以及未来研究方向,为您的健康决策提供科学依据。需要相关药品?访问MedFind,获取全球优质药品代购直邮服务。 Read More... "GLP-1受体激动剂与癌症风险:最新荟萃分析揭示关联性不大"
深入了解中医药如何在甲状腺癌和乳腺癌这类“慢癌”治疗中发挥独特优势,有效缓解放化疗、靶向治疗等带来的副作用,显著提升患者生活质量。本文探讨中西医结合的“黄金互补”模式,助您全面抗癌,重获健康。若需海外新药支持,MedFind提供专业代购直邮服务。 Read More... "中医药在甲状腺癌与乳腺癌治疗中的“黄金互补”:缓解副作用,提升生活质量"
体检发现甲状腺结节4A级,是癌症吗?恶性概率有多高?本文将深入解读TI-RADS 4A分类,分析其2%-10%的恶性风险,并提供从穿刺活检到个体化治疗的科学应对策略,帮助您避免不必要的手术和恐慌,做出最适合自己的健康决策。 Read More... "甲状腺结节4A级是癌吗?恶性概率仅2-10%,一文读懂科学应对与治疗选择"
晚期癌症确诊不等于绝症!随着医疗技术进步,霍奇金淋巴瘤、部分白血病等恶性肿瘤即使在晚期也有很高的治愈希望。本文将深入探讨哪些晚期癌症可以实现长期生存甚至临床治愈,以及最新的治疗方案选择,为患者和家属点燃希望之光。 Read More... "晚期癌症并非绝路:深度解析淋巴瘤、白血病等四类有望治愈的恶性肿瘤"
甲状腺癌免疫治疗迎来重大突破!最新研究颠覆了甲状腺癌对免疫疗法不敏感的传统认知。研究首次证实,肿瘤内的T细胞能够识别并攻击癌细胞,这为免疫检查点抑制剂在甲状腺癌治疗中的应用开辟了全新道路,为那些寻求更有效治疗方案的患者带来了新希望。 Read More... "甲状腺癌免疫治疗新希望:研究证实T细胞可识别肿瘤,打破“耐药”魔咒"
美国FDA最新批准Oncomine Dx Target Test,用于精准筛选适合接受塞伐替尼(sevabertinib)治疗的HER2突变非小细胞肺癌患者。临床数据显示,塞伐替尼客观缓解率高达71%,为患者带来新希望。了解该药的详细疗效、副作用、价格及购买途径。 Read More... "塞伐替尼新里程碑:FDA批准伴随诊断,精准狙击HER2突变非小细胞肺癌"
中国NMPA批准首款泛实体瘤NGS伴随诊断试剂盒PanTRKare,用于精准筛选适合恩曲替尼(Rozlytrek)治疗的NTRK基因融合阳性实体瘤患者。这一里程碑事件为国内患者带来了靶向治疗新选择,了解恩曲替尼价格与购买渠道,开启精准抗癌之路。 Read More... "恩曲替尼伴随诊断获批!中国NTRK融合实体瘤患者迎精准治疗新篇章"
最新研究警示:频繁使用化学直发剂,尤其是在青春期,可能显著增加子宫癌、胰腺癌、甲状腺癌及非霍奇金淋巴瘤的患病风险。本文深入剖析直发剂中的有害化学物质及其致癌机理,为爱美女性提供重要的健康参考,了解潜在风险,远离癌症威胁。 Read More... "直发剂致癌新证据:不只子宫癌,胰腺癌、甲状腺癌风险也飙升!"
革命性癌症检测设备MasSpec Pen可在90秒内实时识别癌细胞,准确率超96%。这项技术正针对肺癌、甲状腺癌等实体瘤进行临床评估,旨在帮助外科医生在手术中更精准地切除肿瘤、降低二次手术风险,并有望提供即时预后信息,为患者带来新希望。 Read More... "90秒识别癌细胞!MasSpec Pen手术“神笔”如何精准狙击肺癌与甲状腺癌?"
深入了解罕见脑肿瘤——中分化松果体实质瘤(PPTID)的精准诊断与遗传风险。探索KBTBD4基因突变在确诊中的关键作用,以及DICER1基因变异如何影响家族癌症风险。获取前沿癌症资讯,或通过AI问诊了解您的个性化诊疗方案。 Read More... "KBTBD4基因突变:中分化松果体实质瘤(PPTID)精准诊断与遗传风险解析"
最新研究警示:高达40%的林奇综合征患者首发癌症并非结直肠癌或子宫内膜癌!这大大增加了漏诊风险,错失早期干预良机。了解林奇综合征更广泛的肿瘤谱,包括胃癌、卵巢癌等,对于早期诊断和制定精准治疗策略至关重要。立即了解详情,避免延误治疗。 Read More... "林奇综合征不只结直肠癌:研究揭示40%患者罹患其他癌症,早期筛查是关键"
一个18岁患者的下巴肿块,最初被误诊为血管畸形,最终确诊为罕见的PTEN错构瘤。这篇文章深入探讨了PTEN基因突变如何显著增加乳腺癌、甲状腺癌等多种癌症的风险,并强调了进行PTEN基因检测对于早期癌症筛查和主动健康管理的重要性。了解您的遗传风险,可能改变您和家人的未来。 Read More... "下巴肿块竟是癌症信号?警惕PTEN错构瘤与遗传性肿瘤风险"
警惕梳妆台上的“隐形杀手”!美国国立卫生研究院(NIH)紧急报告揭示,每3人就有1人使用的化学直发剂,竟与胰腺癌风险激增166%有关,同时甲状腺癌、淋巴瘤风险也显著升高。本文深入剖析甲醛等致癌成分的作用机制,并提供实用的预防建议,帮助您在追求美丽的同时守护健康。 Read More... "化学直发剂致癌风险揭秘:NIH研究发现胰腺癌风险飙升166%!"
