甲状腺癌,在多数人的印象中似乎是一种“善良的癌症”,预后相对较好。然而,在甲状腺癌家族中,却隐藏着一个恶名昭彰的“暴君”——甲状腺未分化癌(Anaplastic Thyroid Cancer, ATC)。它虽然罕见,却以其极高的侵袭性、快速进展和糟糕的预后,成为所有甲状腺癌中最凶险的一种。对于不幸罹患ATC的患者和家属而言,每一次病情进展都像一把悬在头顶的利剑,而肿瘤的转移,更是无数人难以逾越的治疗难关。面对这种“癌中之王”,我们不禁要问:为什么ATC如此难以控制?癌细胞为何能如此肆无忌惮地转移?
好消息是,科学研究的脚步从未停歇。近日,香港中文大学George Gong Chen教授和Michael Chi Fai Tong教授团队取得了一项突破性进展,首次揭示了血液和神经表达蛋白1(HN1)在甲状腺未分化癌转移中的关键作用机制。这项研究不仅为我们理解ATC的恶性生物学行为提供了全新视角,更重要的是,它为开发对抗这种致命癌症的新型治疗策略指明了方向,有望显著提升现有药物索拉非尼的治疗效果。这无疑为身处绝望中的ATC患者和家庭,点亮了一线新的希望之光。
甲状腺未分化癌(ATC):最凶险的甲状腺癌,转移是最大威胁
要理解这项研究的重大意义,我们首先需要认识甲状腺未分化癌(ATC)的凶险之处。甲状腺癌通常分为乳头状癌、滤泡状癌、髓样癌和未分化癌。其中,乳头状癌和滤泡状癌(统称分化型甲状腺癌)约占所有甲状腺癌的90%以上,它们的生长速度较慢,预后良好,通过手术、碘131治疗等手段,患者通常能获得长期生存。
然而,甲状腺未分化癌(ATC)是所有甲状腺癌中最具侵袭性、预后最差的类型。它虽然只占所有甲状腺癌的1-2%,但却导致了甲状腺癌相关死亡的绝大多数。ATC细胞生长速度极快,常常在短时间内侵犯周围组织,并迅速发生远处转移,尤其是肺、骨和脑。患者从诊断到死亡的中位生存期通常只有几个月。传统的治疗手段,如手术、放疗和化疗,对ATC的效果往往不尽人意。这意味着,寻找新的治疗靶点和策略,对于改善ATC患者的生存状况至关重要。
癌细胞的“变身”与“不死之身”:转移的秘密武器
癌症转移是一个复杂且多步骤的过程,而其中两个关键的“秘密武器”便是上皮-间质转化(EMT)和失巢凋亡抵抗(Anoikis Resistance)。
- 上皮-间质转化(EMT):正常情况下,上皮细胞(比如甲状腺细胞)紧密相连,形成组织结构。EMT是癌细胞的一种“变身”过程,它们会失去原有的黏附性,变得更像间质细胞,获得强大的迁移和侵袭能力,就像“脱缰的野马”一样,可以突破基底膜的束缚,进入血液或淋巴系统。
- 失巢凋亡抵抗:癌细胞在脱离原发肿瘤组织、进入循环系统进行转移时,会失去与细胞外基质(Extracellular Matrix, ECM)的正常连接。对于正常细胞而言,这种脱离会导致一种特殊的程序性细胞死亡,被称为“失巢凋亡”(Anoikis),就像“无家可归的细胞会选择自杀”一样。然而,具有失巢凋亡抵抗能力的癌细胞却能“逃避死亡”,它们即便脱离了“家园”,也能顽强地存活下来,并在新的地方安营扎寨,形成转移灶。这就像癌细胞获得了“不死之身”,能够顺利完成从原发灶到远处器官的“旅行”。
正是由于ATC细胞具有强大的EMT能力和失巢凋亡抵抗能力,才使得其转移如此迅速而广泛,成为治疗上的巨大挑战。因此,任何能有效抑制这两个过程的策略,都可能成为对抗ATC转移的关键。
揭秘“幕后黑手”HN1:为何驱动ATC失巢凋亡与转移?
正是针对ATC转移的巨大挑战,香港中文大学George Gong Chen教授和Michael Chi Fai Tong教授团队将目光聚焦在一个此前在失巢凋亡抵抗中作用尚未被完全揭示的蛋白——血液和神经表达蛋白1(HN1)。HN1是一种在血液和神经组织中表达的蛋白,已被证明在细胞黏附、信号传导以及细胞与基质相互作用中发挥重要作用,这些都是细胞存活和功能正常的关键。虽然HN1在其他癌症中被发现可以影响EMT,但它在失巢凋亡抵抗中的具体角色,尤其是对甲状腺未分化癌的影响,仍然是一个未解之谜。
这项研究首次填补了这一空白,明确指出HN1是促进ATC失巢凋亡抵抗和增强其转移能力的关键“幕后黑手”。
HN1如何调控Akt/Bim信号轴,让癌细胞“打不死”?
研究团队的核心发现之一是,HN1通过调控Akt/Bim信号轴来促进ATC的失巢凋亡抵抗。这听起来可能有些复杂,我们来简单解释一下:
- Akt:可以理解为癌细胞体内的“生命维持系统”或“生存开关”。当Akt被激活时,它会向癌细胞发送“活着、生长、分裂”的信号,同时抑制细胞的死亡。它就像一个“加油站”,不断为癌细胞提供生存所需的能量和指令。
- Bim:则是一种“死亡执行者”或“自杀按钮”。Bim是细胞内一种重要的促凋亡蛋白,它的作用是启动细胞的程序性死亡(凋亡)。当细胞受到损伤或处于异常状态(比如脱离了正常环境)时,Bim就会被激活,促使细胞走向死亡。
在这项研究中,研究人员发现,在甲状腺未分化癌细胞中,高表达的HN1就像一个“总指挥”,它会:
- 激活Akt:让癌细胞的“生命维持系统”始终处于高速运转状态,不断收到生存和增殖的信号。
- 抑制Bim:同时,“总指挥”HN1还会“关闭”或“削弱”Bim这个“自杀按钮”,让本该启动凋亡机制的Bim无法正常工作。
通过这种“一升一降”的双重调控,HN1成功地帮助ATC癌细胞获得了强大的失巢凋亡抵抗能力。这意味着,当ATC细胞脱离原发肿瘤,在血液或淋巴中“旅行”时,它们不再像正常细胞那样走向死亡,而是能够顽强存活下来,为远处转移铺平了道路。简而言之,HN1让ATC癌细胞变得“打不死”,从而为它们的嚣张转移行为提供了关键支持。
关键临床数据解析:HN1如何影响ATC的恶性进程?
为了验证HN1在甲状腺未分化癌(ATC)中的作用,研究团队进行了一系列严谨的实验,并取得了令人瞩目的结果。
ATC细胞的“不死”特性:失巢凋亡抵抗能力超强
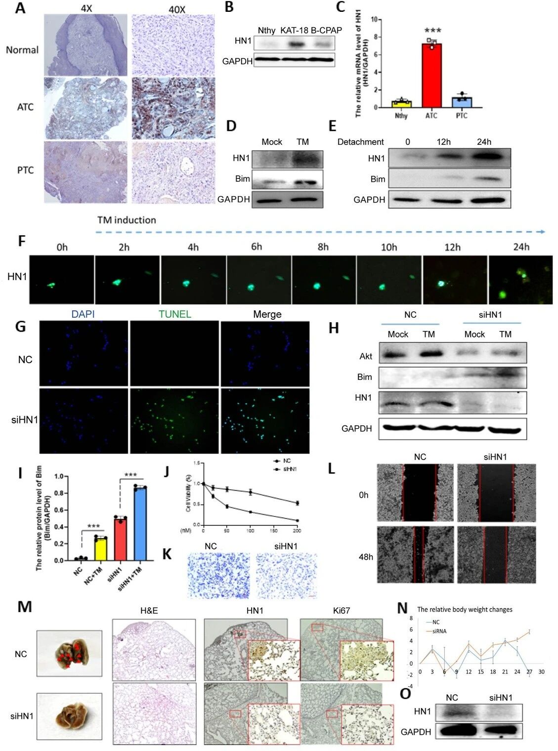
研究团队首先通过细胞活力实验,比较了正常甲状腺细胞、甲状腺乳头状癌细胞(B-CPAP)和甲状腺未分化癌细胞(KAT-18)对失巢凋亡诱导剂四硫代钼酸铵(TM)的敏感性。TM可以模拟细胞脱离基质后所受到的压力,诱导失巢凋亡。结果显示:
- ATC细胞(KAT-18)对TM的耐受性显著高于正常甲状腺细胞和乳头状癌细胞。
- 这明确表明,ATC细胞天生就具有比其他甲状腺细胞更强大的失巢凋亡抵抗能力,它们更难被诱导死亡,这也是其高度恶性的生物学基础。
这一发现再次印证了ATC的难治性,并强调了靶向失巢凋亡抵抗在ATC治疗中的重要性。
HN1的“帮凶”面目:高表达助长癌细胞嚣张气焰
随后,研究人员检测了HN1在不同甲状腺组织及细胞系中的表达情况。结果令人警醒:
- HN1在ATC组织及细胞系中呈现出显著高表达。这意味着,在最具侵袭性的甲状腺癌中,这个蛋白特别活跃。
- 更重要的是,在TM处理或悬浮培养(模拟细胞脱离基质的状态)后,HN1的表达水平进一步升高。这表明,当癌细胞面临可能导致失巢凋亡的压力时,它们会“主动”升高HN1的水平,利用它来保护自己,抵抗死亡。

图1 血液和神经表达蛋白1(HN1)促进甲状腺未分化癌的失巢凋亡抵抗
敲低HN1:逆转失巢凋亡,遏制转移的希望
为了直接验证HN1对ATC细胞失巢凋亡抵抗和转移能力的影响,研究团队利用siRNA技术,“敲低”(即降低)了ATC细胞中HN1的表达。结果发现:
- 失巢凋亡显著增加:当HN1被敲低后,KAT-18细胞在悬浮培养中的凋亡竟然增加了6倍以上!TUNEL染色(一种检测细胞凋亡的常用方法)也清晰地显示,凋亡细胞数量显著增多。这说明,一旦移除了HN1这个“保护伞”,ATC细胞就失去了其强大的“不死之身”,变得更容易走向死亡。
- 迁移和侵袭能力大幅削弱:HN1敲低还显著抑制了ATC细胞的迁移和侵袭能力。这就像给癌细胞戴上了“脚镣”,让它们无法再肆无忌惮地到处“旅行”和“破坏”。
- 体内转移得到有效抑制:最令人鼓舞的是,在小鼠尾静脉注射转移模型中,注射了HN1敲低细胞的小鼠,其肺部的转移结节数量显著减少,体重下降也得到减轻,肺组织中HN1的表达同样降低。这提供了强有力的体内证据,证明HN1确实在促进ATC的转移中发挥关键作用,而抑制它能够有效遏制转移。
揭示深层机制:Akt/Bim信号轴的关键作用
为了深入了解HN1发挥作用的分子机制,研究人员进一步检测了HN1敲低对Akt和Bim等信号蛋白表达的影响:
- 结果显示,HN1敲低导致了“生存开关”Akt的表达下降,而“死亡执行者”Bim的表达则显著上升。
- 这直接证实了此前提出的机制:HN1确实是通过调控Akt/Bim信号轴来抑制失巢凋亡,从而增强ATC细胞的存活和转移能力。
这些精密的实验数据共同描绘了一幅清晰的图景:HN1就像一个关键的“总开关”,控制着ATC细胞的生死与转移。靶向HN1,有望从根本上瓦解ATC的嚣张气焰。
新的希望:HN1与索拉非尼联手,打破治疗僵局
这项研究的另一个激动人心的发现是,抑制HN1不仅能直接对抗ATC的转移,还能显著增强现有药物的治疗效果。研究团队发现:
- HN1敲低显著增强了索拉非尼对ATC细胞的抑制效果。这意味着,当癌细胞中HN1的“保护作用”被削弱后,索拉非尼这个靶向药就能更好地发挥作用,更有效地杀死癌细胞。
索拉非尼是一种多靶点酪氨酸激酶抑制剂,已获批用于治疗放射性碘难治性分化型甲状腺癌,以及肝癌和肾癌。然而,对于高度恶性的甲状腺未分化癌(ATC),索拉非尼单药治疗的效果往往有限,患者常常会出现耐药性或疗效不佳的情况。而这项研究提示我们,如果能够同时抑制HN1,就可能打破ATC对索拉非尼的抵抗,大幅提升其治疗潜力。
这项发现具有重大的临床意义。它不仅仅是发现了一个新的靶点,更是提出了一种全新的治疗策略:将靶向HN1的疗法与现有的靶向药物(如索拉非尼)联合使用,可能产生协同增效的作用,从而为甲状腺未分化癌患者提供更有效、更持久的治疗方案。这为未来药物研发和临床试验指明了方向,有望将HN1抑制剂开发成与现有靶向药物联用的“增效剂”,共同对抗这种凶险的癌症。
MedFind能为您做什么?把握甲状腺未分化癌治疗新机遇
这项关于HN1与甲状腺未分化癌(ATC)转移机制的研究,无疑为ATC的治疗带来了新的曙光。它不仅让我们对这种恶性肿瘤的生物学特性有了更深入的理解,更重要的是,它提供了一个潜在的全新治疗靶点——HN1,以及一种有望增强现有药物(如索拉非尼)疗效的联合治疗策略。
对于焦虑的癌症患者和家属来说,每一次医学研究的突破,都意味着多一份生存的希望。然而,从实验室研究到临床应用,往往需要漫长的时间。更何况,许多前沿的治疗方法和新药,可能率先在海外上市或进行临床试验。
作为由癌症患者家属发起的信息共享平台,MedFind(https://medfind.link)始终致力于为广大癌症患者和家庭提供最新、最全面的抗癌资讯和药物信息。我们深知您在抗癌路上所面临的困境和焦虑,因此,我们愿意成为您获取希望和解决方案的桥梁:
- 抗癌药品代购与国际直邮:当未来针对HN1的靶向药物或更有效的联合治疗方案问世时,MedFind将第一时间为您提供这些海外新药的获取渠道。我们专业的国际直邮服务,确保您可以安全、便捷地获得所需的抗癌药品。
- AI辅助问诊:面对复杂的医学术语和海量的研究信息,您可能会感到困惑。我们的AI辅助问诊服务,可以帮助您梳理病情,理解最新的研究进展(如本篇关于HN1的研究),并根据您的具体情况提供个性化的信息支持。
- 抗癌资讯、诊疗指南和药物信息:MedFind将持续追踪全球最新的抗癌研究进展、权威诊疗指南和药物上市信息,确保您能及时了解像HN1这样的重要发现,为您的治疗决策提供科学依据。
请记住,您不是一个人在战斗。无论医学之路多么艰难,我们都希望您能保持信心。科学在进步,希望永存。MedFind与您同在,共同探索每一个可能带来生机的治疗方案。
如果您或您的家人正面临甲状腺未分化癌的挑战,或者对最新的抗癌药物和治疗方案有任何疑问,请不要犹豫,访问MedFind平台,让我们为您提供专业的支持和帮助。
