深度解析NCCN和CSCO指南,为您详细解读晚期头颈部肿瘤、鼻咽癌、唾液腺癌等各类头颈部肿瘤所需的分子检测项目,如PD-L1、FGFR等。了解如何通过精准检测指导靶向与免疫治疗,把握最新药物如厄达替尼、帕博利珠单抗的治疗机遇,为患者寻求更有效的生存策略。 Read More... "头颈部肿瘤治疗新突破:NCCN/CSCO指南下的分子检测与靶向免疫方案详解"
癌症治疗不仅是对生命的考验,更是对家庭经济的巨大挑战。本文深入探讨了肿瘤学领域的经济变化、新疗法如CAR-T带来的财务影响,以及如何应对高昂的医疗费用。MedFind将为您揭示医保政策、患者援助项目和实用自救策略,帮助患者及家属缓解经济压力,获得持续有效治疗。 Read More... "癌症治疗费用高昂?深度解析肿瘤经济学、医保政策与患者自救指南"
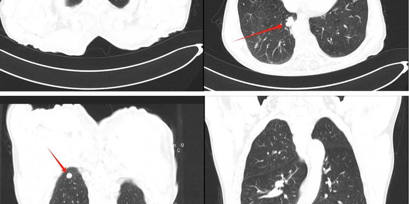
越来越多的人选择全身扫描来寻求健康保障和早期发现疾病。然而,这种看似先进的体检方式,可能带来不必要的健康焦虑、过度诊断,甚至引发一系列的后续检查和治疗。本文将深入剖析全身扫描的真实价值、潜在风险及对医疗系统的影响,帮助您理性看待和选择体检方式,避免盲目跟风,减轻身心负担。 Read More... "全身扫描是福是祸?深度解析“过度诊断”的陷阱与潜在风险"
一项全球多中心研究揭示,PRIME基因组学AI模型能精准预测非小细胞肺癌根治性治疗后的复发风险,通过整合ctDNA、基因突变等数据,为患者提供个性化风险评估与治疗指导,有望大幅提升预后,为肺癌患者带来新的希望。了解这一创新技术如何帮助您及家人,及早规划治疗策略。 Read More... "肺癌复发不再是未知!AI基因组学模型PRIME:精准预测风险,指引个性化治疗新方向"
肺癌筛查是早期发现肺癌的关键,但参与率一直不高。四川大学一项重磅研究揭示,中国患者在选择肺癌筛查时,对医院等级和权威性的看重,远超对费用和距离的考量。文章将深入解读这项研究发现,帮助我们理解公众深层就医偏好,并为优化筛查策略提供新思路,守护您的肺部健康。 Read More... "肺癌筛查为何“宁愿多跑路也要挤破头去三甲”?四川大学研究揭示国人就医深层偏好"
欧米伽-3、生酮饮食和间歇性禁食等营养趋势备受关注。本文深入解析这些热门饮食方案的科学证据、适用人群及潜在风险,帮助癌症患者和家属正确理解,做出明智的健康选择,避免盲从。 Read More... "欧米伽-3、生酮饮食、间歇性禁食:热门营养趋势,真相与谣言解析"
最新临床研究证实,由氨肽酶N(ANPEP)、聚合物免疫球蛋白受体(PIGR)、CA19-9和血小板反应蛋白-2(THBS2)组成的四种生物标志物血液检测组合,在胰腺导管腺癌(PDAC)的早期筛查中表现出远超CA19-9单项检测的准确性。这项突破性进展有望彻底改变胰腺癌的早期诊断格局,显著提升患者的五年生存率,为无数胰腺癌家庭带来新的希望。MedFind致力于分享此类前沿抗癌资讯,助力患者了解最新治疗进展与诊断技术。 Read More... "胰腺癌早期筛查迎来里程碑突破:四重生物标志物组合诊断准确率飙升,为患者争取生机!"
胰腺癌是恶性程度极高的癌症,但北京大学最新研究带来新希望。科学家发现一种特殊的癌相关成纤维细胞(csCAFs),它们并非肿瘤“帮凶”,反而是改善胰腺癌患者预后的“守护者”。这项突破性发现有望为胰腺癌治疗开辟新途径,帮助更多患者获得更长的生存期。 Read More... "胰腺癌治疗新希望:揭秘“好”的CAF细胞,改善患者预后!"
乳腺癌化疗期间,选择PICC还是输液港是许多患者的难题。复旦大学研究揭示,患者最看重的是维护频率、血栓和感染风险,并愿为此支付更高费用。本文深入解析两种“生命通道”的优劣,帮助您做出最适合自己的选择。 Read More... "乳腺癌化疗“生命通道”怎么选?PICC与输液港,患者最在乎的费用、风险与便利全解析"
针对腹膜后肉瘤患者,新辅助放疗能否有效缩小肿瘤、降低手术难度一直是关注焦点。一项最新研究显示,新辅助放疗后肿瘤RECIST缓解率极低,部分患者肿瘤甚至增大,可能增加手术风险。本文深入解读研究数据,帮助患者全面了解治疗选择。 Read More... "腹膜后肉瘤新辅助放疗效果不佳?最新研究揭示肿瘤缩小率与手术风险真相"
晚期甲状腺癌患者面临治疗困境,但精准的基因检测能帮助找到最适合的靶向药。最新研究揭示了甲状腺癌不同亚型的基因特征,并提出优化检测流程,显著提高靶向治疗可及性,为患者带来更多生存机会。了解如何通过分子检测,精准选择治疗方案,获取创新药物。 Read More... "甲状腺癌靶向治疗新希望:基因检测如何精准匹配药物,提升生存率?"
最新II期临床试验结果令人遗憾:帕博利珠单抗(可瑞达)在复发或转移性甲状腺髓样癌患者中未能显示显著疗效。即使预先使用免疫疗法GI-6207,也未改善治疗结局,试验提前终止。本文将深入解读该研究,为患者和家属提供客观、专业的治疗信息,了解甲状腺髓样癌的治疗现状。 Read More... "可瑞达(帕博利珠单抗)治疗甲状腺髓样癌效果不佳?最新临床研究解读"
GOBLET试验最新数据显示,对于晚期肛门鳞状细胞癌三线治疗患者,Pelareorep联合阿替利珠单抗(泰圣奇)方案客观缓解率达29%,中位缓解持续时间长达17个月,显著优于传统治疗。这一突破性进展为无药可用的患者带来了新的治疗选择和持久希望。 Read More... "肛门鳞状细胞癌三线治疗新突破:Pelareorep联合阿替利珠单抗带来持久缓解,患者迎来新希望!"
非小细胞肺癌(NSCLC)的治疗越来越依赖基因检测。本文深入解析了“反射检测”这一先进的分子检测策略,它如何帮助患者及时发现关键基因突变,确保获得最精准、最有效的靶向治疗方案,避免延误,提升治疗成功率。了解更多,为您的抗癌之路指明方向。 Read More... "非小细胞肺癌精准治疗:揭秘“反射检测”,如何确保您获得最佳用药?"
结直肠癌遗传风险不容忽视。最新研究揭示,通过对结直肠息肉进行DNA检测,即使血液检测正常,也能发现隐藏的APC基因嵌合等遗传突变。这为结直肠癌的精准诊断和早期预防提供了新策略,帮助患者及家属更早识别风险,采取有效干预。MedFind助您了解这项前沿技术,为健康保驾护航。 Read More... "结直肠息肉DNA检测:揭示隐藏遗传风险,精准预防结直肠癌新希望!"
中山大学团队研究发现,仑伐替尼通过新机制抑制PD-L1,并与钴离子纳米药物结合,显著增强抗PD-1对肝细胞癌的治疗效果。该创新策略有望克服免疫抑制,为晚期肝癌患者带来新希望,目前正积极进行临床前研究,未来或将改变肝癌治疗格局。 Read More... "肝癌治疗新策略:仑伐替尼联手纳米技术,深度解析免疫治疗新突破"
针对转移性去势抵抗性前列腺癌(mCRPC)患者,新型α放射性配体疗法AB001正在ARTISAN临床试验中评估。本文将深入解读AB001的作用机制、临床试验设计及初步进展,为患者和家属带来前沿治疗信息,探索mCRPC治疗新路径。 Read More... "转移性去势抵抗性前列腺癌新希望:AB001 α放射性配体疗法ARTISAN临床试验进展解读"
骨肉瘤肢体保留手术后,假体周围感染是严重并发症,影响患者肢体功能和生存。全球BOOM会议指出,当前感染管理存在巨大差异。本文将深入解读DAIR手术的标准化分类,揭示感染风险与化疗时机、肢体保留的关系,并强调多学科协作的重要性,帮助患者及家属了解最新进展,提升治疗效果。 Read More... "骨肉瘤肢体保留术后感染高发?全球专家共识:标准化管理是关键,提升患者生存质量!"
HERIZON-GEA-01临床试验揭示,扎尼达单抗联合化疗及替雷利珠单抗,作为HER2阳性晚期胃食管腺癌一线治疗,显著延长患者无进展生存期和总生存期,中位总生存期突破2年,为患者带来新的希望和更长的生命。本文详细解读其疗效、安全性及未来展望。 Read More... "HER2阳性胃癌新突破:扎尼达单抗联合疗法显著延长生存期,超越传统方案!"
本文深入解析梅奥诊所如何通过多学科协作(MDT)成功治疗一例罕见、危及生命的甲状腺癌晚期病例。该肿瘤侵犯了患者的心脏和气道,治疗难度极高。了解复杂癌症的治疗挑战、MDT模式的优势以及国际顶尖医疗机构的集成护理能力,为患者寻求最佳治疗方案提供参考。 Read More... "罕见甲状腺癌侵犯心脏气道:梅奥诊所MDT团队如何成功挑战复杂手术与治疗方案"
