FDA加速批准新药托沃拉非尼(Ojemda),为BRAF基因突变复发/难治性儿童低级别胶质瘤患儿带来突破性治疗选择。本文将深入解读托沃拉非尼的作用机制、FIREFLY-1临床试验的最新数据、如何管理常见的皮疹副作用,并为患儿家庭提供全面的用药指导和获取途径信息。 Read More... "托沃拉非尼(Ojemda):儿童BRAF突变胶质瘤新希望?FDA批准新药疗效、副作用与获取全解析"
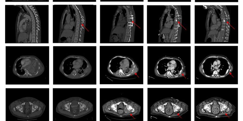
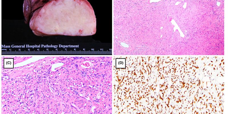
本文深入解析梅奥诊所如何通过多学科协作(MDT)成功治疗一例罕见、危及生命的甲状腺癌晚期病例。该肿瘤侵犯了患者的心脏和气道,治疗难度极高。了解复杂癌症的治疗挑战、MDT模式的优势以及国际顶尖医疗机构的集成护理能力,为患者寻求最佳治疗方案提供参考。 Read More... "罕见甲状腺癌侵犯心脏气道:梅奥诊所MDT团队如何成功挑战复杂手术与治疗方案"
深度解析黑色素瘤治疗前沿研究。针对现有疗法高复发率和耐药性挑战,科学家开发出内质网靶向纳米胶束TCPC。该策略通过强化内质网应激,诱导癌细胞凋亡,为难治性黑色素瘤提供了全新的治疗思路。了解纳米技术在抗癌领域的应用潜力,以及未来药物获取渠道。 Read More... "黑色素瘤治疗新突破:内质网靶向纳米胶束TCPC如何克服耐药性?"
JAMA Oncology发表的MELATORCH研究,首次证实了PD-1抑制剂特瑞普利单抗在中国晚期肢端黑色素瘤一线治疗中的卓越疗效。该研究对比了特瑞普利单抗与传统化疗达卡巴嗪的生存获益与安全性,为中国高发亚型黑色素瘤患者提供了新的标准治疗选择,并深度解析了药物机制、PFS数据及海外用药获取渠道。 Read More... "特瑞普利单抗(PD-1)一线治疗肢端黑色素瘤:MELATORCH研究疗效数据与用药选择解析"
深度解析癌症治疗新策略:铁死亡(Ferroptosis)机制与关键抑制因子FSP1。最新研究表明,FSP1是肺腺癌和转移性黑色素瘤的“非致癌基因成瘾”枢纽。本文详细解读FSP1靶点如何成为克服耐药性、诱导肿瘤细胞死亡的突破口,为患者提供前沿治疗方案和药物获取渠道的参考信息。 Read More... "FSP1成肺腺癌与黑色素瘤治疗新靶点:铁死亡机制解析与靶向药前景"
Nature重磅研究揭示,通过分离黑色素瘤中的“肿瘤反应性T细胞功能簇”,能捕获到传统方法遗漏的90%抗癌主力军。这一发现极大地提高了过继细胞治疗(ACT)的疗效,为黑色素瘤等实体瘤的免疫治疗带来革命性突破。 Read More... "黑色素瘤免疫治疗新突破:Nature揭示高效肿瘤反应性T细胞的精准捕获与应用潜力"
野生型胃肠道间质瘤(GIST)缺乏经典KIT/PDGFRA突变,治疗挑战大。本文深度解析两例携带新型FGFR2融合的GIST患者,探讨FGFR2作为潜在致癌驱动因素的机制,以及患者对标准伊马替尼治疗的良好反应。同时,文章强调NGS检测的重要性,并展望FGFR靶向抑制剂(如爱达替尼)在未来GIST治疗中的应用前景与获取渠道。 Read More... "野生型GIST新靶点:FGFR2融合驱动的胃肠道间质瘤如何治疗?伊马替尼疗效与靶向药选择深度解析"
SDH缺陷型胃肠道间质瘤(GIST)是一种罕见亚型,对伊马替尼反应差。本文深度解析SDH缺陷型GIST的分子机制、诊断挑战、手术与靶向治疗方案(舒尼替尼、瑞戈非尼等)的最新疗效数据,为患者提供海外用药选择与治疗指导。 Read More... "罕见SDH缺陷型GIST治疗新进展:伊马替尼无效?舒尼替尼/瑞戈非尼疗效与海外用药选择"
2025 ASCO 会议聚焦黑色素瘤最新治疗进展。本文深度解析BRAF突变靶免序贯与联合策略,肿瘤浸润淋巴细胞(TIL)疗法的长期生存数据,以及葡萄膜黑色素瘤新药(如DYP688、darovasertib联合crizotinib)的临床试验结果,为患者提供前沿治疗选择和用药指导。 Read More... "黑色素瘤最新治疗突破:BRAF靶免联合、TIL疗法与葡萄膜新药进展解析"
结直肠癌(CRC)远处转移是患者的主要死因。本文深度解读CRC基因组进化模式,揭示了转移灶的三种规律:分支、有序和播散转移。了解为何必须进行动态基因检测,R0切除手术时机的重要性,以及多学科协作(MDT)如何优化转移性CRC的治疗方案。同时探讨了晚期治疗的困境与未来新靶点探索,并强调了生活方式在CRC预防中的关键作用。 Read More... "结直肠癌转移新指南:基因组进化模式如何重塑肝转移治疗决策与R0切除时机"
基于郑州大学等团队在《Advanced Science》上的研究,本文深度解读了结直肠癌细胞在谷氨酰胺缺乏下,ACSL5如何调控葡萄糖代谢和氧化磷酸化,并揭示了ACSL5高表达与奥沙利铂化疗敏感性增强、预后改善之间的复杂机制。了解这一代谢重编程通路,有助于寻找新的结直肠癌治疗靶点和预测性生物标志物。 Read More... "结直肠癌治疗新靶点:ACSL5如何影响奥沙利铂化疗敏感性与患者预后?"
本文深度解析一例复杂的转移性结直肠癌(mCRC)病例,患者携带BRAF V600E、MET、NRAS等多基因突变,历经多线治疗后疾病进展。国际分子肿瘤委员会(MTB)如何基于全面的多基因检测结果,为患者制定埃万妥单抗、曲美替尼、瑞戈非尼等定制化联合治疗方案?了解难治性mCRC的最新靶向治疗策略、耐药机制及海外用药选择。 Read More... "转移性结直肠癌多基因突变怎么办?BRAF/MET/NRAS复杂突变患者的靶向治疗新策略与海外用药选择"
精准医学时代,癌症治疗正从传统模式向个体化精准治疗转型。本文深入探讨了如何通过早期全面分子检测、泛癌种靶向策略及真实世界证据,为胰腺癌、胶质母细胞瘤等难治性癌症患者匹配最佳药物,实现“对症下药”,了解最新治疗范式,为自己或家人寻求更优的生存机会。 Read More... "告别“一刀切”:精准医学如何重塑胰腺癌、胶质母细胞瘤等癌症的治疗未来?"
肝癌的精准治疗始于精准的病理诊断。本文特邀鲁海珍教授深入解读现代肝癌病理报告,剖析组织形态、免疫组化与分子检测的“三位一体”模式,并阐述GPC3、FGFR2等关键靶点如何指导靶向治疗,帮助患者和家属理解诊断背后的治疗选择,为寻求有效药物提供方向。 Read More... "肝癌精准治疗第一步:专家解读现代病理诊断如何锁定治疗靶点"
最新SJ901临床研究揭示,MEK抑制剂米达梅替尼(Mirdametinib)在治疗儿童及青少年复发性或进展性低级别胶质瘤方面展现出高达87%的卓越缓解率,且安全性与耐受性良好。本文将深入解读其疗效数据、副作用管理及推荐剂量,并为您提供获取该药物的可靠渠道信息。 Read More... "MEK抑制剂新突破:米达梅替尼治疗儿童低级别胶质瘤,缓解率高达87%!"
黑色素瘤患者在使用纳武利尤单抗或伊匹木单抗辅助治疗后复发,后续治疗该如何选择?最新CheckMate 238研究深入分析了早期与晚期复发患者的生存结局,揭示了复发时间对后续抗PD-1、伊匹木单抗或靶向治疗效果的影响。了解详情,为您的治疗决策提供关键数据支持。 Read More... "纳武利尤单抗治疗黑色素瘤复发:晚期复发者生存期更长,后续治疗如何选?"
胆道癌治疗进入精准时代,基因检测至关重要。本文深度解读NCCN指南,揭示HER2、MSI-H/dMMR、BRCA等关键靶点如何指导靶向与免疫治疗,助您精准选择泽尼达妥单抗、帕博利珠单抗等前沿药物,显著提升生存期。了解最新诊疗方案,为您的治疗决策提供科学依据。 Read More... "胆道癌精准治疗:NCCN指南解读,HER2/MSI-H等靶点药物选择必读"
最新《Nature》研究揭示了结直肠癌(CRC)对KRAS和BRAF靶向治疗产生耐药的关键机制。研究发现,MAPK信号驱动的上皮细胞可塑性使肿瘤细胞能够逃避药物攻击。本文深入解读该研究,探讨如何利用这一发现开发新的治疗策略,为面临耐药困境的结直肠癌患者带来新希望。 Read More... "结直肠癌靶向治疗耐药解密:《Nature》揭示MAPK信号如何让肿瘤“变身”逃逸"
新型MEK抑制剂PAS-004在针对MAPK通路驱动的晚期实体瘤(如RAS、NF1或RAF突变)的I期临床试验中展现出积极成果。第7队列研究证实了其良好的安全性、药代动力学和药效学特征,无剂量限制性毒性。了解PAS-004最新研究进展,为您的治疗寻找新希望。 Read More... "MEK抑制剂新突破:PAS-004 I期研究数据公布,为MAPK通路驱动的实体瘤带来新希望"
新型MEK抑制剂PAS-004在针对MAPK通路相关实体瘤(如BRAF突变黑色素瘤)的1期临床试验中展现了令人鼓舞的初步疗效和极佳的安全性。数据显示,该药物实现了71.4%的疾病控制率,且无严重副作用。了解PAS-004的最新研究进展、潜在疗效和未来应用前景。 Read More... "MEK抑制剂PAS-004一期数据公布:有效控制BRAF突变实体瘤,安全性极佳!"
