脑胶质瘤治疗困境:复发后何去何从?
脑胶质瘤是颅内最常见的恶性肿瘤,以其高复发率和高致残率给患者带来巨大挑战。尽管手术、放疗和化疗(如替莫唑胺)是标准治疗方案,但许多患者,特别是高级别胶质瘤患者,在接受一线治疗后仍会面临肿瘤复发或进展的困境。血脑屏障的存在更是限制了许多化疗药物进入脑部,导致治疗效果大打折扣。当标准治疗方案效果不佳时,患者和家属往往急于寻找新的有效治疗方案。如果您对脑胶质瘤的最新疗法或药物有任何疑问,可以咨询MedFind的AI问诊服务,获取专业的解答。
案例分享:替尼泊苷联合治疗扭转局面
近期,一项来自湖南省肿瘤医院的真实案例为复发性脑胶质瘤的治疗带来了新的启示。该案例展示了替尼泊苷(Teniposide)联合替莫唑胺(Temozolomide)方案在治疗中的显著疗效。
患者基本情况与一线治疗
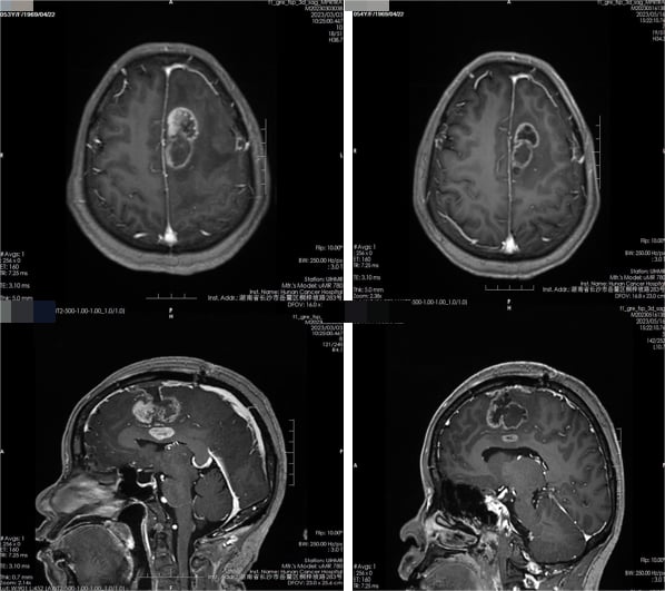
患者为一名54岁女性,确诊为脑胶质瘤(WHO IV级,胶质母细胞瘤)。她接受了标准的一线治疗方案:手术切除肿瘤,术后辅以放疗和同步口服替莫唑胺化疗。初期治疗效果良好,影像学检查显示肿瘤缩小,病情得到控制。

图1. 放疗前后脑MR平扫检查结果(左:治疗前;右:治疗后)
二线方案显神威:替尼泊苷联合替莫唑胺
然而,经过数月治疗,患者的病情出现进展。面对这一挑战,医生调整了治疗策略,在继续使用替莫唑胺的基础上,联合应用了化疗药物替尼泊苷。患者接受了“替尼泊苷+替莫唑胺”联合方案共4个疗程的治疗。
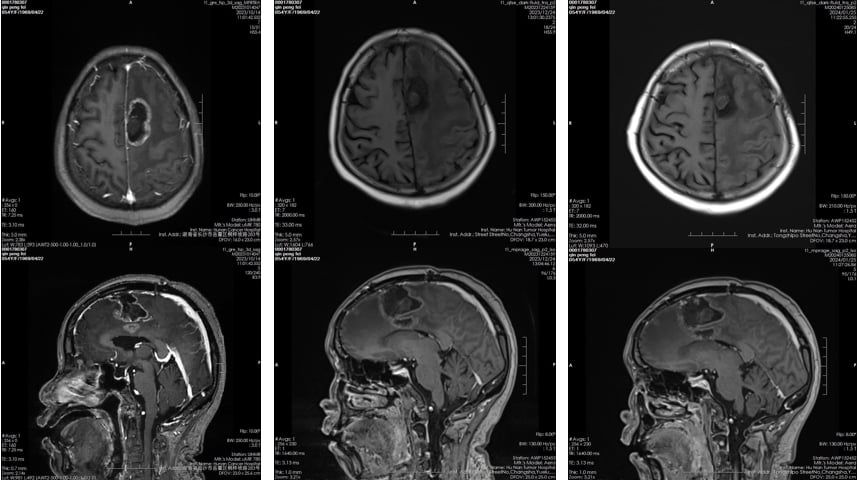
治疗结果令人鼓舞。后续的脑部MR检查显示,术区肿块及周边水肿均较前缩小,疗效评估为部分缓解(PR)。这表明,联合替尼泊苷的二线方案成功地控制了肿瘤的进展。

图2. 使用替尼泊苷联合方案前后脑MR对比(左:联合治疗前;中、右:联合治疗后)
为何“替尼泊苷 + 替莫唑胺”组合有效?
替莫唑胺是治疗胶质瘤的一线口服化疗药,但其穿透血脑屏障的效率有限,且部分患者会产生耐药性。而替尼泊苷作为一种亲脂性细胞毒类药物,具有两大突出优点:
- 高血脑屏障通过性: 替尼泊苷能更有效地穿过血脑屏障,直达颅内肿瘤部位,发挥抗肿瘤作用。
- 协同增效: 与替莫唑胺联合使用,可以弥补其不足,两者协同作用,更有效地杀伤肿瘤细胞。
《中国中枢神经系统胶质瘤诊断与治疗指南》也已指出,替尼泊苷是胶质瘤联合化疗的可选方案之一。寻找能够有效协同的药物至关重要。MedFind致力于提供全球最新的抗癌资讯,帮助患者了解更多前沿治疗方案。
为复发性脑胶质瘤患者带来的启示
该病例的成功经验表明,对于一线替莫唑胺治疗后进展的复发性脑胶质瘤患者,联合使用替尼泊苷是一种可行且有效的二线治疗策略。这一方案不仅为患者带来了显著的临床获益,也为临床医生提供了新的治疗思路。对于深陷复发困境的脑胶质瘤患者而言,这无疑是一个充满希望的新选择。如果您需要了解替尼泊苷等药物的海外代购渠道或价格,MedFind可以为您提供帮助。
