甲状腺未分化癌(ATC)是一种极为罕见且高度侵袭性的恶性肿瘤,其凶险程度令人担忧,患者中位生存期通常仅为短短数月。对于这类恶性程度高、进展迅速的癌症,寻找有效的治疗手段是临床上面临的巨大挑战,尤其当患者未能检测到常见的靶向治疗驱动基因突变时。
近年来,随着肿瘤分子生物学的深入研究,免疫治疗为癌症治疗带来了新的曙光。本案例报告了一例特殊的甲状腺未分化癌患者,她在缺乏可明确靶向基因突变的情况下,通过免疫检查点抑制剂替雷利珠单抗(Tislelizumab)单药治疗,取得了令人瞩目的完全缓解(CR)。这一成功案例为甲状腺未分化癌的治疗策略提供了新的视角。
病例详情:艰难的抗癌之路
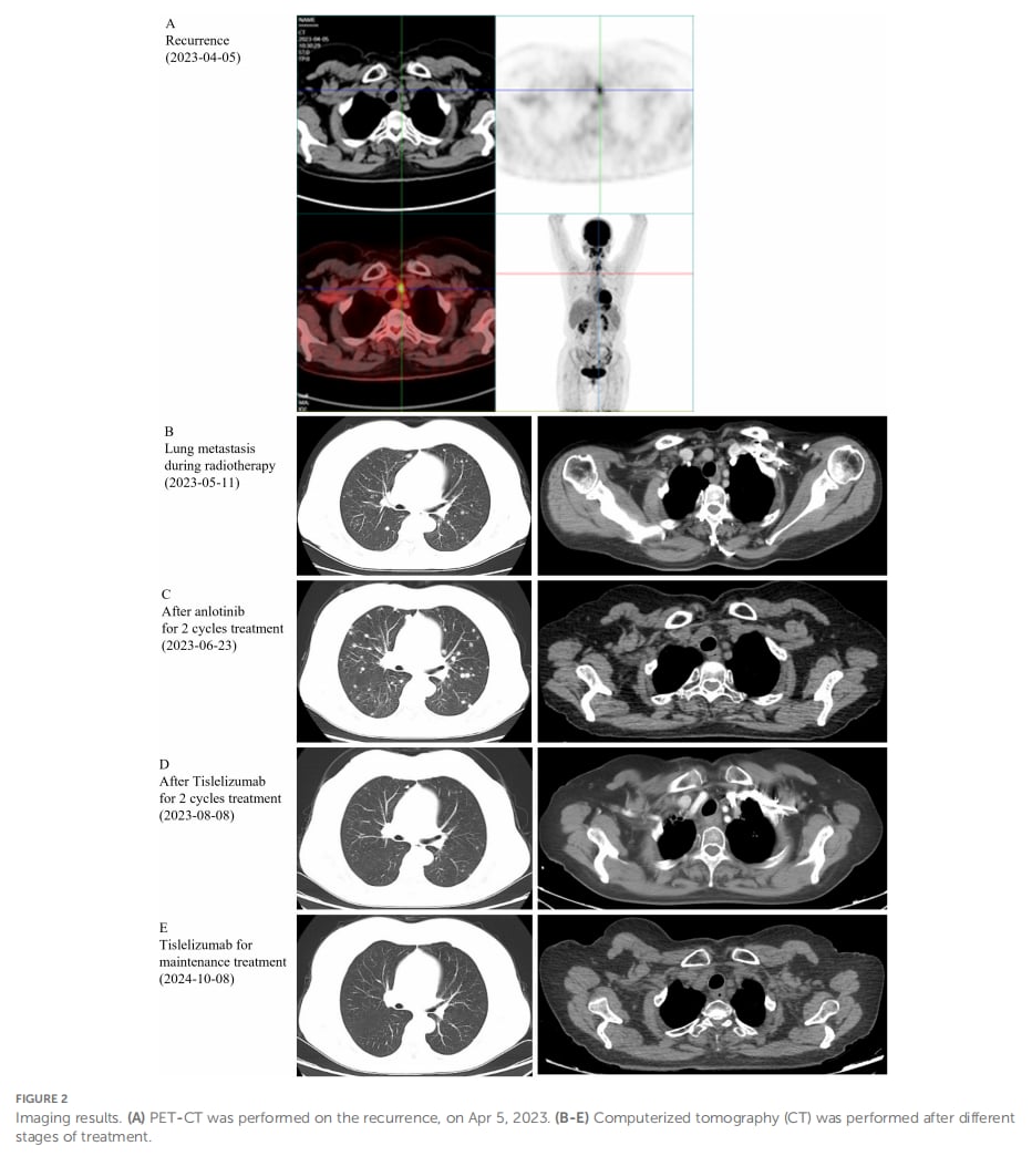
这位59岁的女性患者被诊断为甲状腺未分化癌,尽管接受了根治性手术,但疾病迅速复发并出现了肺转移。面对快速进展的病情,医生进行了全面的基因检测。Sanger测序结果显示,患者并未携带甲状腺癌中常见的TERT启动子或BRAF V600E基因突变,这意味着她不适合接受针对BRAF突变的靶向药物(如达拉非尼联合曲美替尼)治疗。
由于患者术后体能状态不佳,且对化疗和抗血管生成药物安罗替尼均无法耐受或治疗失败,治疗方案的选择变得异常困难。然而,免疫组化分析带来了新的希望:患者的肿瘤组织表现出PD-L1高表达(综合阳性评分CPS约60)。尽管全外显子测序(WES)显示肿瘤突变负荷(TMB)较低(2.98 mut/Mb),且微卫星稳定(MSS),检测到的其他突变(如NRAS Q61R、FSTL3、GON4L等)当时尚无对应的靶向药物,但基于PD-L1的高表达以及免疫治疗相对可控的不良反应,医生决定尝试使用PD-1抑制剂替雷利珠单抗进行单药免疫治疗。
替雷利珠单抗单药治疗:意想不到的疗效
令人欣喜的是,在接受替雷利珠单抗治疗后,患者颈部转移淋巴结及肺部转移瘤显著缩小,并持续缓解了14个月,最终达到了完全缓解的状态。更重要的是,在整个免疫治疗过程中,患者并未发生任何严重的免疫检查点抑制剂相关不良事件。
这一案例的成功,有力地证明了对于那些无法耐受或对传统治疗及靶向治疗不敏感、且缺乏常见靶向基因突变的甲状腺未分化癌患者,即使TMB较低,但若伴有PD-L1高表达,单药免疫治疗仍可能带来显著的临床获益,甚至实现完全缓解。
讨论:PD-L1在ATC免疫治疗中的价值
甲状腺未分化癌因其高度恶性、对传统放化疗不敏感等特点,一直是治疗的难点。虽然针对BRAF V600E突变的靶向治疗已获批,但仅适用于部分患者。免疫治疗作为一种全新的抗癌策略,在多种肿瘤中展现了潜力,但在甲状腺癌,尤其是ATC中的应用仍在探索中。
既往研究表明,尽管甲状腺癌常被认为是“冷肿瘤”,但部分ATC患者存在PD-L1表达,提示免疫治疗的可能性。本案例的成功,进一步支持了PD-L1作为预测ATC免疫治疗疗效的潜在生物标志物。即使在TMB较低的情况下,PD-L1高表达似乎也能预示患者对PD-1抑制剂的良好反应。
此外,本案例通过全外显子测序发现了患者携带NRAS Q61R等突变。虽然这些突变与免疫治疗疗效的关联尚需更多研究证实,但这一探索性的分析为理解ATC的分子特征和免疫治疗机制提供了宝贵线索。患者在长期免疫治疗中未出现严重不良反应,也可能与特定的基因变异有关,这同样是未来研究的方向。
值得一提的是,患者在接受免疫治疗前曾接受放疗。放疗与免疫治疗联合被认为可能产生协同抗肿瘤效应,通过诱导肿瘤免疫原性死亡和重塑肿瘤微环境来增强疗效。本案例中放疗后序贯免疫治疗是否产生了协同作用,仍需进一步研究来明确。
展望与患者支持
本病例报告为替雷利珠单抗单药治疗甲状腺未分化癌提供了重要的临床证据,尤其对于那些治疗选择有限的患者群体。它强调了在缺乏常见靶向突变时,PD-L1检测对于指导免疫治疗决策的重要性。
对于正在与甲状腺未分化癌或其他癌症抗争的患者和家属而言,了解最新的治疗进展、获取准确的药物信息至关重要。面对复杂的病情和多样的治疗方案,专业的指导和可靠的药物来源是抗癌路上的有力支撑。
如果您正在寻找关于甲状腺未分化癌、替雷利珠单抗或其他抗癌药物的信息,或者希望了解海外靶向药、仿制药的获取途径,MedFind平台可以提供帮助。您可以通过MedFind的抗癌资讯板块获取药物信息和诊疗指南;利用AI问诊服务进行初步的智能咨询;并通过海外靶向药代购服务,在合规框架下探索获取所需的药物。
虽然单病例报告存在局限性,但本案例的成功为甲状腺未分化癌的治疗带来了新的希望。未来需要更大规模的研究来进一步验证免疫单药治疗在ATC中的疗效和安全性,并深入探索预测免疫治疗反应的生物标志物。

▲图1 患者的病理和影像学结果

▲图2 影像结果

▲图3 案例总结

▲表1 患者的体系突变
参考文献:
Chai J, Lv J, Xiong J, Chen X, Luo S, Luo Z and Luo M (2025) A remarkable and durable response to tislelizumab treatment of an anaplastic thyroid carcinoma without targetable genomic alterations: a case report. Front. Immunol. 16:1544604. doi: 10.3389/fimmu.2025.1544604
