当癌症的阴影笼罩,尤其是面对晚期、多线治疗后仍进展的局面,患者和家属的内心无疑是焦灼而无助的。然而,医学的进步从未止步,新的治疗方案不断涌现,为生命带来新的希望。今天,MedFind将与您一同深入了解一例32岁年轻母亲与HER2低表达晚期乳腺癌抗争的真实案例,共同探讨在困境中如何寻找生机,特别是突破性药物德曲妥珠单抗(DS8201)如何力挽狂澜,以及如何通过MedFind平台获取这些创新药物。
晚期HER2低表达乳腺癌:不容忽视的挑战
乳腺癌是女性最常见的恶性肿瘤之一,其分型复杂,治疗策略也因之而异。在众多分型中,HER2低表达乳腺癌是一个相对“新”的概念,它介于HER2阳性与HER2阴性(即三阴性乳腺癌)之间,长期以来缺乏特异性的靶向治疗。这类患者约占所有乳腺癌患者的40%-50%,数量庞大,但治疗选择却相对有限,往往在内分泌治疗或化疗耐药后陷入困境。
什么是HER2低表达乳腺癌?
HER2(人表皮生长因子受体2)是一种在乳腺癌细胞表面表达的蛋白质。传统上,我们根据HER2的表达水平将其分为HER2阳性(IHC 3+或IHC 2+/FISH阳性)和HER2阴性(IHC 0或IHC 1+,或IHC 2+/FISH阴性)。而“HER2低表达”则特指HER2免疫组化(IHC)评分为1+,或IHC 2+但荧光原位杂交(FISH)检测为阴性的乳腺癌。这类患者的HER2表达量不足以从传统的抗HER2靶向药物(如曲妥珠单抗、帕妥珠单抗)中获益,但又并非完全不表达HER2,这为新型靶向药物的研发提供了空间。
诊断与分期:精准治疗的第一步
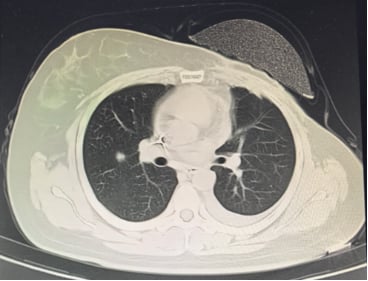
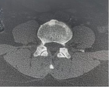
精准的诊断是制定有效治疗方案的基础。对于乳腺癌患者,除了常规的超声、钼靶等影像学检查外,病理报告中的免疫组化(IHC)结果至关重要,它能明确ER、PR、HER2以及Ki-67的表达情况。当HER2评分为IHC 2+时,还需要进一步进行FISH检测来确认HER2基因是否扩增。此外,对于晚期患者,全身CT、骨扫描、头颅MRI等检查能帮助医生全面评估疾病的转移情况,为后续的治疗决策提供依据。
案例回顾:一位年轻母亲的抗癌之路
这位32岁的女性患者,身高150cm,体重52.5kg,是一位拥有两个孩子的母亲。她在2022年2月被诊断为左乳癌pT2N3M0 IIIC期,初步查体显示左乳外侧有3.0*2.0cm肿物,质硬,边界不清。病理结果显示浸润灶3cm,II级,大量脉管癌栓,淋巴结12/40,ER(70%中+),PR(50%中+),HER2(2+),FISH阴性,Ki-67(30%)。这意味着她是一位HER2低表达的激素受体阳性乳腺癌患者,且淋巴结转移数量惊人,预示着较高的复发风险。
初始治疗与疾病进展
患者接受了规范的初始治疗:手术(左乳单切+SLNB+ALND),辅助化疗(AC-T*8周期),辅助放疗(患侧胸壁+锁骨上下区,50Gy/2Gy/25次),以及内分泌治疗(OFS+来曲唑)。2023年3月,为了强化治疗效果,医生为她加用了阿贝西利进行强化内分泌治疗。然而,尽管进行了积极治疗,疾病的进展依然迅速。2025年1月复查时疾病稳定,但仅两个月后,2025年3月强化内分泌治疗结束后,2025年4月复查就提示肺转移可能。胸部CT、骨扫描、头颅+腰椎CT等影像学检查均显示多发可疑病灶。最终,2025年5月的复查确诊为左乳癌术后肺、肝、左侧胸膜、骨转移,肝脏穿刺病理进一步证实为转移性腺癌,ER表达降至13%中+,PR阴性,HER2(2+),FISH阴性,再次确认HER2低表达。





一线治疗失败与转机
面对疾病的迅速进展和多发转移,患者入组了一项临床研究,接受一线治疗方案:OFS+注射用西罗莫司/安慰剂+氟维司群+地舒单抗。然而,仅一个周期后,患者胸闷加重,胸腔积液增多,肝病灶增大,被评估为进展,不得不退出临床研究。这无疑让患者和家属再次陷入绝望。


然而,医学的希望之光并未熄灭。在绝境中,医生为患者调整了二线治疗方案——使用德曲妥珠单抗(DS8201)。令人欣喜的是,经过5个周期的治疗,患者症状明显缓解,病情得到了有效控制。这个案例再次证明了创新药物在晚期癌症治疗中的巨大潜力。


DS8201(德曲妥珠单抗):HER2低表达晚期乳腺癌的“救星”
德曲妥珠单抗(DS8201,商品名Enhertu)是一种抗体偶联药物(ADC),它的出现彻底改变了HER2低表达晚期乳腺癌的治疗格局。它被誉为“魔法子弹”,能够精准打击癌细胞。
作用机制深度解析:ADC药物的精准打击
德曲妥珠单抗(DS8201)的工作原理非常巧妙:它由一个靶向HER2的单克隆抗体(曲妥珠单抗)和一个强效的拓扑异构酶I抑制剂(一种化疗药物)通过一个可裂解的连接子偶联而成。这意味着:
- 精准识别:抗体部分能够像导航系统一样,精准识别并结合到癌细胞表面少量表达的HER2受体上,即使是HER2低表达的癌细胞也能被识别。
- 高效递送:一旦结合,药物就会被癌细胞内吞。在细胞内部,连接子被裂解,释放出高活性的化疗药物。
- 旁观者效应:释放出的化疗药物不仅能杀死结合了药物的癌细胞,还能穿透细胞膜,杀死周围没有结合药物的癌细胞(即“旁观者效应”),从而更彻底地清除肿瘤。
- 减少毒性:由于化疗药物被精准递送到癌细胞内部,大大减少了对正常健康细胞的伤害,从而降低了全身性化疗的副作用。
这种独特的机制使得德曲妥珠单抗(DS8201)在HER2低表达乳腺癌治疗中展现出前所未有的疗效。
临床疗效数据:DS8201带来的希望
德曲妥珠单抗(DS8201)在HER2低表达晚期乳腺癌患者中的突破性疗效,主要得益于DESTINY-Breast04等关键临床研究。这些研究结果显示,与传统化疗相比,德曲妥珠单抗(DS8201)显著改善了患者的无进展生存期(PFS)和总生存期(OS),客观缓解率(ORR)也大幅提高。这意味着更多的患者能够看到肿瘤缩小,疾病得到更长时间的控制,甚至延长了生命。对于像本案例中这样多线治疗失败、疾病快速进展的患者,德曲妥珠单抗(DS8201)无疑是带来了巨大的生存希望。
常见副作用及管理建议
尽管德曲妥珠单抗(DS8201)具有精准打击的优势,但作为一种药物,它仍然可能引起一些副作用。常见的副作用包括:
- 骨髓抑制:可能导致白细胞、血小板下降,增加感染和出血风险。建议定期监测血常规,必要时使用升白针或输血支持。
- 胃肠道反应:如恶心、呕吐、腹泻等。可通过止吐药、止泻药及调整饮食来缓解。
- 疲劳:患者可能会感到持续疲倦。建议保证充足休息,适度活动。
- 脱发:部分患者可能出现脱发。
- 间质性肺病(ILD):这是德曲妥珠单抗(DS8201)一个需要特别关注但相对少见的严重副作用。患者可能出现咳嗽、呼吸困难、发热等症状。一旦出现,需立即就医,医生会根据情况暂停或终止用药,并进行相应治疗。患者在治疗期间应密切关注呼吸道症状,并及时告知医生。
患者和家属应充分了解这些潜在副作用,并在治疗过程中与医生保持密切沟通,及时报告任何不适,以便医生进行及时处理和调整。
晚期乳腺癌治疗策略:MDT多学科诊疗的智慧
本案例中的MDT(多学科诊疗)讨论环节,专家们从影像、放疗、内科等多个角度对患者的治疗进行了深入剖析,这正是晚期癌症治疗的精髓所在——集思广益,为患者制定最优化、个性化的方案。
淋巴结评估与放疗策略
在乳腺癌的初始诊断和治疗中,淋巴结的准确评估至关重要。河北医科大学第四医院CT磁共振科的许茜医生指出,超声在小淋巴结评估中价值更大,而核磁共振(MRI)虽然有覆盖范围限制,但对于能覆盖到的淋巴结,能提供更详细的形态学和功能学信息(如淋巴门、皮质厚度、强化曲线和ADC值),有助于判断淋巴结的性质。对于本案例中淋巴结转移数量惊人的情况,初始评估阶段若能结合核磁检查,或许能更早地发现问题。
河北医科大学第四医院乳腺血液放疗科的刘志坤医生则强调了淋巴结转移数目对放疗范围的影响。对于淋巴结转移较多的患者,放疗范围可能需要扩大至内乳淋巴引流区,甚至在特定情况下(如阳性淋巴结比例高、淋巴结与周围组织粘连严重)考虑腋窝淋巴引流区。这些精细化的放疗决策,旨在最大程度地清除癌细胞,降低局部复发风险。
内分泌治疗耐药后的选择:基因检测与靶向治疗
本案例患者在接受阿贝西利强化内分泌治疗后仍快速进展,提示内分泌治疗耐药。河北医科大学第四医院乳腺中心张丽娜医生和肿瘤内科李颖医生均强调了基因检测的重要性。对于CDK4/6抑制剂耐药后的患者,需要考虑:
- 再次组织活检:以观察分子分型是否发生变化,例如是否转变为三阴性乳腺癌,或者ER表达水平是否进一步降低。
- 基因检测:检测PIK3CA、BRCA等基因突变。如果检测到BRCA突变,可以考虑使用PARP抑制剂,如奥拉帕利(点击查看购买渠道与价格)或尼拉帕利(点击查看购买渠道与价格),这些药物在BRCA突变相关肿瘤中显示出良好疗效。
- PD-L1检测:如果ER表达水平较低,或转变为三阴性,可以考虑检测PD-L1表达情况,以评估免疫治疗(如帕博利珠单抗)的潜在获益。
- ADC药物:如本案例中使用的德曲妥珠单抗(DS8201),在HER2低表达患者中展现出卓越疗效。
这些检测结果将为后续的治疗方案提供关键依据,帮助医生为患者选择最适合的靶向药物或免疫治疗。
临床试验的伦理考量与患者选择
在患者面临经济压力和快速进展的情况下,是否入组临床试验是一个复杂的伦理问题。张丽娜医生指出,医生应充分告知患者常规治疗规范、预期疗效以及临床试验的潜在风险和获益。即使患者疾病进展迅速,但如果符合入组标准且患者有强烈意愿,医生在尊重患者选择的同时,也应持续评估患者对治疗的反应。本案例中患者在临床试验失败后,转用德曲妥珠单抗(DS8201)获得有效控制,也说明了即使是快速进展的患者,仍有可能从新的治疗中获益。
骨转移的综合管理
对于存在多发骨转移,尤其是承重骨转移的患者,李颖医生强调了骨科会诊的重要性。及时评估是否需要提前进行干预,如放疗、手术或骨水泥注射等,以预防截瘫等严重并发症,对于提高患者的生活质量和延长生存期至关重要。
如何获取DS8201及其他创新药物?MedFind为您导航
像德曲妥珠单抗(DS8201)这样的创新药物,往往在国外率先上市并应用于临床,而国内的审批和上市可能存在一定的时间差。这使得许多急需这些药物的中国患者面临获取难题。MedFind深知患者的焦虑与需求,致力于搭建一座桥梁,帮助患者获取全球最新的抗癌药物。
MedFind平台提供以下核心服务:
- 抗癌药品代购与国际直邮:我们与全球知名药企和药房合作,确保药物来源正规、品质可靠。患者可以通过MedFind平台便捷地购买到国内尚未上市或难以获取的创新抗癌药物,并通过国际直邮服务,将药物安全、高效地送达患者手中。
- AI辅助问诊:面对复杂的病情和众多的治疗选择,患者和家属往往感到迷茫。MedFind的AI辅助问诊系统,能够根据患者的病历资料,提供个性化的治疗建议和药物信息,帮助患者更好地理解病情,做出明智的决策。
- 抗癌资讯和药物信息:MedFind持续更新全球最新的抗癌研究进展、药物信息和治疗指南,确保患者能够及时获取最前沿、最权威的医学知识,为抗癌之路提供坚实的知识支持。
MedFind的使命,就是让每一位癌症患者都能及时获得最先进的治疗方案,不再因地域或信息壁垒而错失生的希望。如果您对德曲妥珠单抗(DS8201)或其他创新抗癌药物的获取有疑问,或者需要专业的用药咨询,请随时联系MedFind,我们将竭诚为您服务。
结语
这位32岁HER2低表达晚期乳腺癌患者的治疗历程,是一个充满挑战但也充满希望的故事。它再次证明,即使面对复杂的晚期癌症,医学的进步和多学科的协作,依然能够为患者带来转机。德曲妥珠单抗(DS8201)的成功应用,为HER2低表达乳腺癌患者打开了一扇新的大门。MedFind希望通过分享这样的案例,为广大癌症患者和家属带去信心和力量。请记住,您不是一个人在战斗,MedFind将始终与您并肩,共同探索生命的无限可能。更多用药详情,请咨询MedFind。
