小细胞肺癌脑转移的治疗挑战
小细胞肺癌(SCLC)是肺癌中侵袭性最强的一种亚型,约占所有肺癌病例的15%。其特点是生长迅速、早期就容易发生远处转移,尤其是脑转移。数据显示,高达50%的小细胞肺癌患者在病程中会遭遇脑转移的困扰,这不仅严重影响患者的生活质量,也使得预后变得极具挑战性,5年生存率仅为3%-5%。对于寻求如替尼泊苷等前沿治疗方案的患者,了解可靠的购药渠道至关重要。MedFind致力于提供海外靶向药代购服务,确保患者能及时获得所需药物。
病例回顾:从初治到脑转移复发
本文分享的是一位72岁男性患者的真实诊疗经历。该患者于2022年10月因呼吸困难、咳嗽等症状就医,最终确诊为局限期小细胞肺癌。
初次治疗:患者接受了三周期以依托泊苷联合顺铂为基础的化疗,并联用斯鲁利单抗。治疗效果显著,影像学评估为部分缓解(PR)。然而,在病情好转后,患者未能遵从医嘱完成后续治疗。
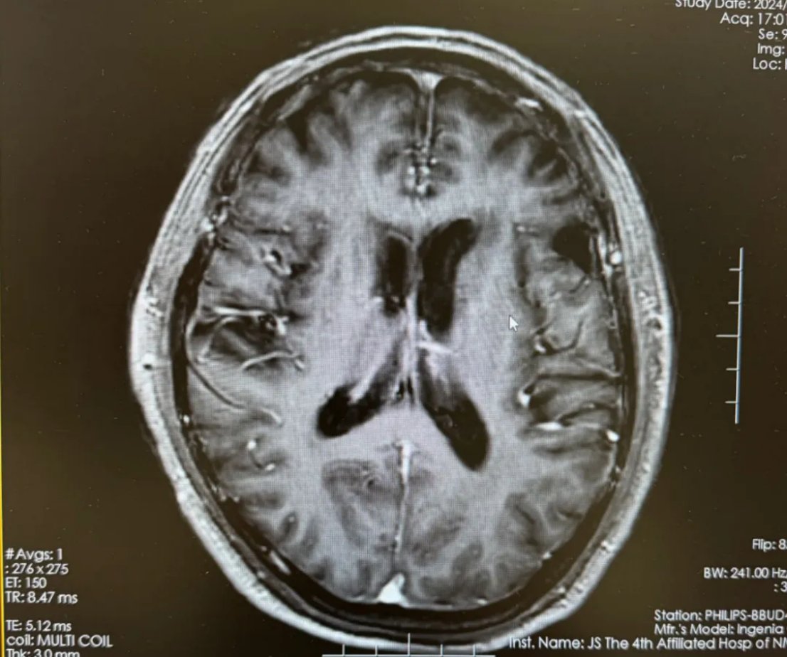
病情进展:2023年8月,患者出现头晕、行走不稳等神经系统症状。头部磁共振(MRI)检查证实了医生的担忧:左侧额叶出现了一个大小约3.8cm*3.2cm*3.5cm的占位性病变,诊断为小细胞肺癌脑转移瘤。

图1 脑转移确诊时磁共振影像
新希望:替尼泊苷联合方案显奇效
面对棘手的脑转移,医生为患者制定了新的治疗方案:替尼泊苷(Teniposide)联合伊立替康(Irinotecan)和恩沃利单抗(Envafolimab)。该方案旨在利用药物穿透血脑屏障的能力,直接攻击颅内病灶。
治疗过程顺利,效果令人振奋:
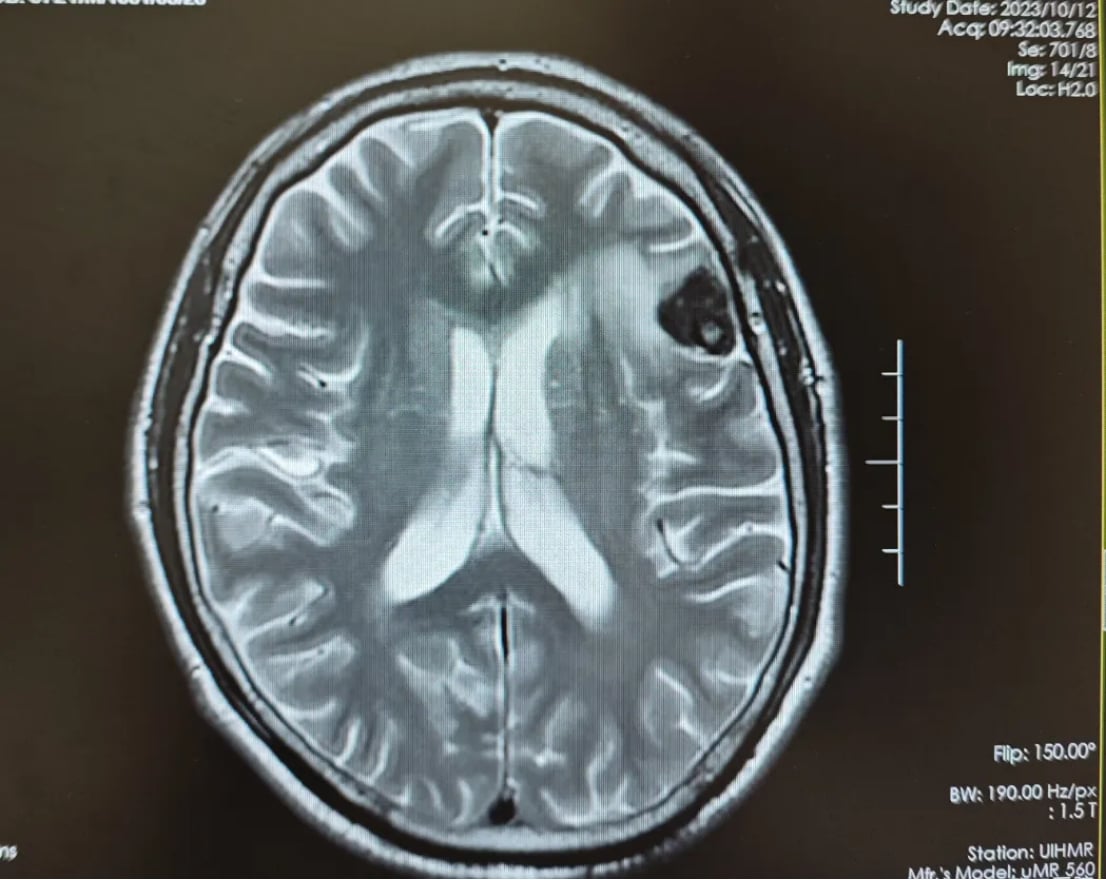
- 治疗2周期后:复查头颅MRI显示,脑内肿瘤已显著缩小至约1.7cm*1.7cm,周围水肿也明显减轻。
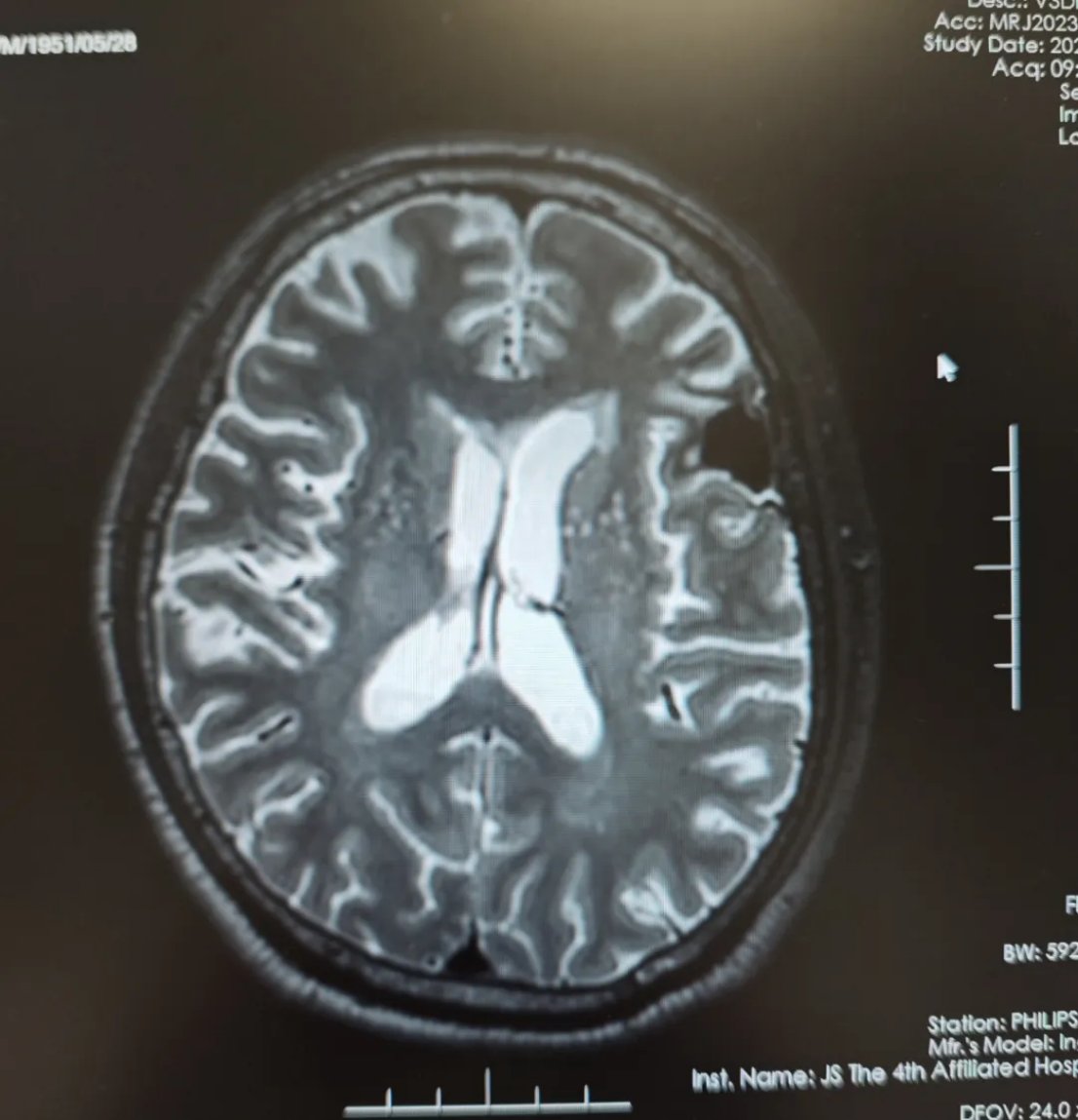
- 治疗4周期后:再次复查,病灶及水肿进一步缩小,病情得到有效控制,疗效评价为部分缓解(PR)。

图2 化疗2周期后复查影像

图3 化疗4周期后复查影像
该案例的成功,凸显了个性化治疗的重要性。如果您对自己的病情和治疗方案有疑问,可以尝试MedFind的AI问诊服务,获取专业的第二诊疗意见。
长期随访与病情稳定
尽管患者后续未完全遵循放疗计划,但在长达8个多月的随访期间,多次复查头部MRI均显示脑内病灶稳定,局部已形成软化灶,未见复发迹象。这充分证明了含替尼泊苷方案在控制小细胞肺癌脑转移方面的持久疗效。

图4 第三次随访影像,病情稳定
为何替尼泊苷对脑转移有效?
传统化疗药物因难以穿透血脑屏障,对脑转移瘤的治疗效果有限。而替尼泊苷是一种高度脂溶性的药物,这一特性使其能够更容易地穿过血脑屏障,在颅内达到有效的抗肿瘤浓度。它的作用机制是通过抑制DNA拓扑异构酶Ⅱ,导致肿瘤细胞DNA双链断裂,从而阻止其增殖和分裂。本案例的成功,正是得益于替尼泊苷这一独特的药理优势。
总结与展望
这个真实的成功案例为小细胞肺癌脑转移患者带来了新的治疗思路和希望。它表明,以替尼泊苷为核心的联合化疗方案,在治疗SCLC脑转移方面具有显著的疗效和良好的安全性。未来,随着对肿瘤分子机制的深入研究,探索更加精准、个体化的联合治疗方案,有望为小细胞肺癌脑转移患者带来更长的生存期和更高的生活质量。获取最新的癌症治疗资讯,包括药物研发和临床动态,对于制定最佳治疗策略至关重要。欢迎访问MedFind的抗癌资讯版块,了解更多前沿信息。
