白发与癌症风险的意外关联
您是否曾为镜中悄然出现的白发而烦恼,将其视为岁月流逝的无奈标记?一项发表于权威期刊Nature Cell Biology的突破性研究,可能会彻底改变您的看法。由东京大学西村惠美教授领导的团队发现,头发变白这一过程,实际上可能与预防一种高度危险的皮肤癌——黑色素瘤——有着密切的联系,这揭示了人体一种精妙的自我保护机制。
了解这些前沿的抗癌知识,对于癌症患者选择最合适的治疗方案至关重要。如果您有任何疑问,可以咨询MedFind的AI问诊服务。

DOI:10.1038/s41556-025-01769-9
压力下的双重命运:衰老分化 vs. 癌变风险
这场关于头发颜色与癌症预防的微观战争,主角是毛囊中的黑色素干细胞。正常情况下,它们分化为黑色素细胞,为我们的头发上色。然而,当这些干细胞遭遇不同类型的压力时,它们的命运将走向截然不同的两个方向。
1. “光荣牺牲”之路:辐射、化疗与白发
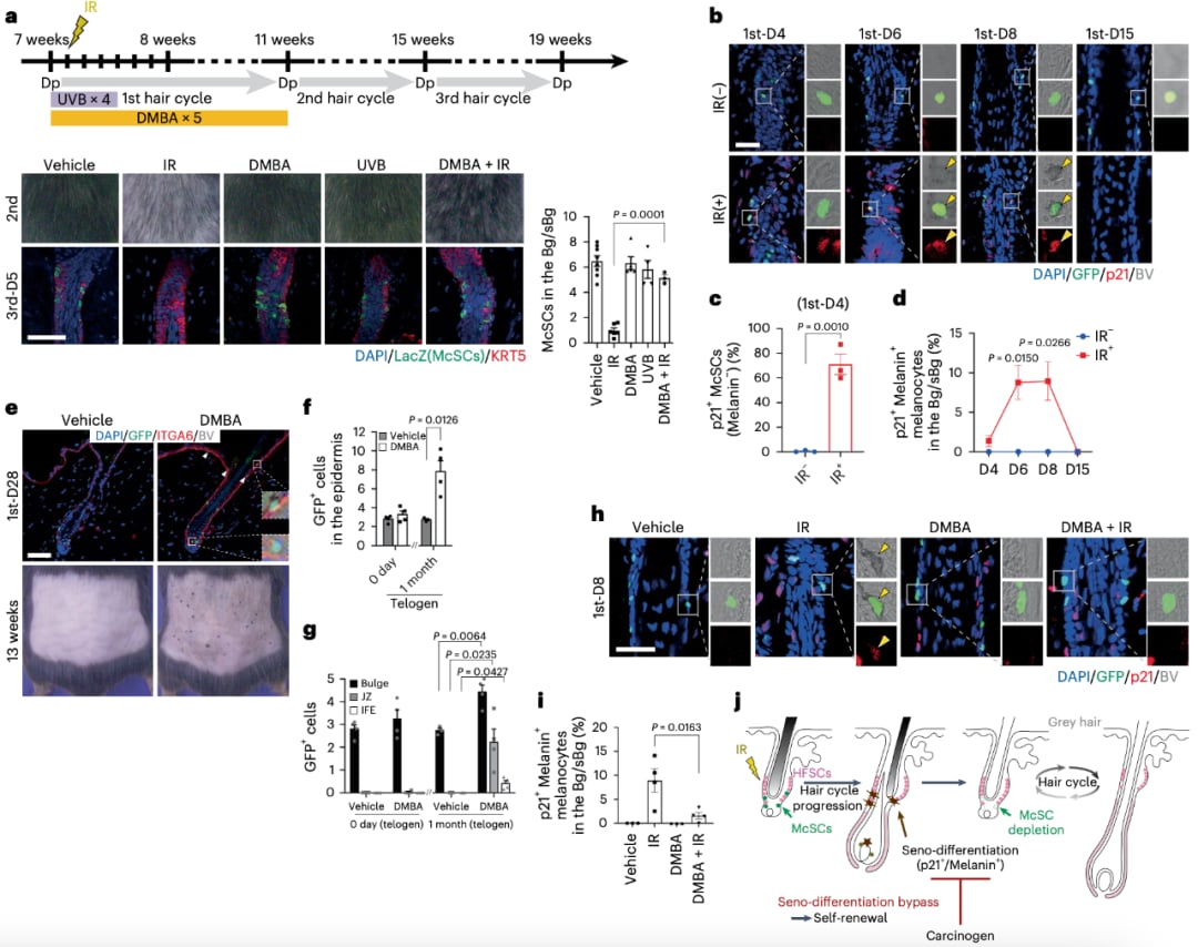
当身体面临如电离辐射或某些化疗药物等“细胞毒性压力”时,黑色素干细胞的DNA会受到严重损伤。研究发现,这些受损的干细胞并不会盲目增殖,而是启动了一个名为“衰老-分化”的特殊程序。
这意味着,它们在进入不可逆的衰老状态的同时,会加速分化为成熟的色素细胞,完成最后一次为头发上色的使命。随后,这些“衰老色素细胞”会被身体的清理机制安全地移除。这个过程虽然导致了干细胞库的耗竭和白发的出现,但却从源头上清除了潜在的癌变细胞,是一种积极的自我保护。

年龄和电离辐射诱导的黑色素干细胞耗竭以及随后的头发变白
2. “潜伏危机”之路:致癌物与黑色素瘤
然而,当压力源是紫外线(UVB)或DMBA(一种多环芳烃)等典型致癌物时,情况发生了惊人的逆转。这些致癌物非但没有促进白发生成,反而抑制了干细胞的耗竭。
在这些致癌物的影响下,受损的黑色素干细胞仿佛获得了“免死金牌”,它们会持续进行自我更新,甚至迁移到毛囊外的表皮区域,形成色素性病变,这大大增加了发展为黑色素瘤的风险。对于正在接受治疗的患者而言,理解这些副作用的深层机制有助于更好地管理治疗过程。MedFind提供各类抗癌资讯,帮助您全面了解您的治疗。

致癌应激如何拮抗头发变白和黑色素干细胞的耗竭
命运的开关:p53通路与KITL信号的博弈
为何不同压力会导致干细胞走向截然相反的命运?研究人员发现,关键在于两条信号通路的相互拮抗:
- 辐射与化疗:激活细胞内的p53-p21衰老信号轴,如同启动了“自毁程序”,强制清除受损细胞,最终导致头发变白,但降低了癌症风险。
- 致癌物:则通过激活干细胞周围微环境,使其大量分泌一种名为KIT配体(KITL)的信号蛋白。KITL发出的“生存指令”会覆盖p53的“自毁指令”,让受损细胞得以存活和增殖,虽然保住了黑发,却埋下了癌变的隐患。

致癌应激如何通过增加微环境中KITL的表达来影响黑色素干细胞
对癌症预防的启示
这项研究有力地证明,头发变白并非单纯的衰老现象,而可能是机体为了预防癌症而做出的“权衡之举”——牺牲局部的色素功能,换取长期的整体健康。实验证实,在预先经历辐射和白发的区域,后续黑色素瘤的发生率被显著抑制。
这一发现提醒我们,某些看似衰老的表象背后,可能隐藏着积极的生理保护过程。强行对抗某些衰老特征(如白发),或许会无意中增加其他疾病的风险。未来,通过精准调控干细胞微环境中的信号通路,有望引导潜在的癌变细胞走向无害化的衰老结局,为癌症预防开辟全新的道路。探索最新的癌症治疗方案和药物信息,是战胜疾病的关键一步。MedFind致力于为患者提供全球前沿的靶向药代购服务,为您带来更多希望。
