导语
一位41岁的女性,与乳腺癌抗争长达十余年。她的病情极为罕见和复杂:初诊时为“最毒”的三阴性乳腺癌,复发后竟转变为“三阳性”,并在历经多线治疗后,出现了严重的肺、骨、脑乃至脊髓转移,一度导致双下肢瘫痪。然而,在绝境之中,新的希望悄然降临。本文将通过详尽的病例回顾与专家讨论,为您揭示这场漫长战役中的关键转折与治疗启示。
病例简介:一场长达十余年的抗癌历程
这位患者的抗癌之路始于2013年,当时30岁的她被诊断为左乳浸润性导管癌。术后病理显示为三阴性乳腺癌(ER-, PR-, HER-2(1+)),这是一种预后相对较差的亚型。在接受了新辅助化疗、手术及放疗后,病情曾一度稳定。
然而,五年半后,癌症复发。2019年,检查发现右肺出现转移灶。令人意外的是,肺转移灶的穿刺病理结果显示,肿瘤的分子分型发生了惊人的转变:ER(+), PR(+), HER-2(2+),并通过FISH检测证实为HER-2基因扩增。这意味着,她的乳腺癌从“三阴性”变成了“三阳性”,为后续的靶向治疗和内分泌治疗打开了新的大门。对于如此复杂的病情,制定个体化治疗方案至关重要。如果您或您的家人也面临类似的困境,不妨尝试MedFind AI问诊服务,获取专业的第二诊疗意见。
多线治疗探索与严峻挑战
确诊为HER2阳性转移性乳腺癌后,患者开始了一系列漫长的多线治疗,展现了惊人的毅力:
- 一线治疗: 参与临床试验,使用HER-2单克隆抗体/曲妥珠单抗联合多西他赛,后改为联合内分泌治疗,获得了18个月的无进展生存期(PFS)。
- 二线治疗: 采用吡咯替尼联合卡培他滨方案,再次取得部分缓解(PR),PFS长达14个月。
- 三线治疗: 换用伊尼妥单抗联合长春瑞滨,同样达到了PR,PFS为18个月。
- 四线治疗: 疾病进展出现骨转移后,调整为伊尼妥单抗联合卡培他滨,病情稳定(SD)4个月。
- 五线治疗: 尝试ADC药物恩美曲妥珠单抗(T-DM1),但遗憾的是,治疗2个月后评估为疾病进展(PD)。
在五线治疗失败后,患者的病情急转直下。2024年3月,她出现了右下肢沉重感,并迅速发展为腹部以下感觉丧失、双下肢0级肌力(完全瘫痪)和大小便失禁。影像学检查证实,癌细胞已侵犯至脊髓,同时伴有脑转移,生命危在旦夕。

力挽狂澜:德曲妥珠单抗(T-DXd)的卓越表现
面对棘手的脊髓侵犯和多线耐药,医疗团队决定放手一搏,为患者采用了第六线治疗方案:德曲妥珠单抗(Trastuzumab deruxtecan, T-DXd, DS-8201),并辅以针对胸椎的精准放疗。
奇迹发生了。在使用德曲妥珠单抗治疗后,患者的症状得到了惊人的逆转:
- 神经功能恢复: 治疗3个月后,患者腹部以下感觉恢复,大小便功能恢复正常,双下肢肌力显著好转(左下肢4级,右下肢3级),已经能够扶墙行走。
- 肿瘤标志物下降: CA15-3从治疗前的79.13 u/ml降至正常范围内的29.3 u/ml。
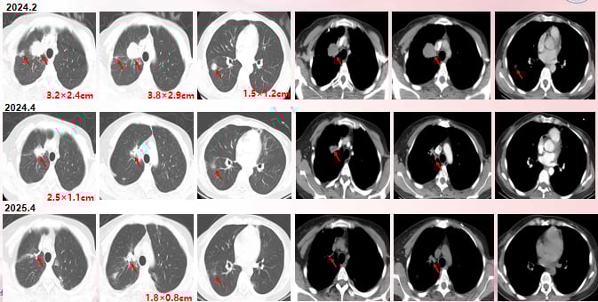
- 影像学缓解: CT和MRI复查显示,肺部、淋巴结等病灶显著缩小,达到了部分缓解(PR)。
德曲妥珠单抗在这一关键时刻力挽狂澜,不仅有效控制了全身的肿瘤负荷,更对中枢神经系统转移显示出强大的治疗潜力,极大地改善了患者的生活质量。对于海外前沿靶向药,患者可以通过MedFind海外靶向药代购平台等渠道获取,以确保治疗的延续性。

专家深度解读与未来展望
在MDT(多学科团队)病例讨论中,多位专家对该病例进行了深入分析:
关于分子分型转变
专家指出,从三阴性到三阳性的转变是本病例的关键特征。这提示我们,对于复发转移的乳腺癌患者,重新进行活检和病理分析至关重要,因为它可能彻底改变治疗策略。
关于三阳性乳腺癌的治疗
医生们强调,对于三阳性乳腺癌,内分泌治疗联合靶向治疗的地位日益重要。即使在化疗或ADC药物治疗取得稳定后,也应考虑适时转换为靶向联合内分泌的维持治疗方案,以实现对疾病的长期、缓慢控制。
关于脊髓转移的应对
影像科专家详细解读了MRI表现,认为病变来源于髓外硬膜下,压迫脊髓。肿瘤科专家则认为,全身治疗(如T-DXd)联合局部放疗是处理此类危重情况的有效策略。本病例的成功,也验证了这一组合的威力。
关于后续治疗建议
尽管T-DXd疗效显著,但患者近期影像提示肺部、骨骼和肝脏可能出现新发微小病灶。专家建议,后续治疗需密切监测颅内病灶情况,并综合评估患者全身状况,可考虑的选项包括更换ADC药物、联合小分子TKI药物或再次尝试靶向联合内分泌治疗。
总结
这个从三阴性到三阳性、从瘫痪到重新站立的真实案例,不仅展示了乳腺癌治疗的复杂性和长期性,更凸显了精准诊断、多学科协作以及创新药物(如德曲妥珠单抗)在晚期癌症治疗中的决定性作用。它告诉我们,即使身处绝境,科学的进步和不懈的努力也能创造生命的奇迹。更多关于乳腺癌前沿治疗的资讯,欢迎访问MedFind抗癌资讯板块。

