引言:攻克肺癌转移的挑战
癌症转移是导致患者死亡的主要原因,对于肺癌患者而言,如何有效控制和预防肿瘤细胞的扩散是治疗过程中的核心挑战。在血液中游离的“循环肿瘤细胞”(CTCs)被认为是癌症转移的“种子”。然而,一项发表于《Science Advances》的重磅研究揭示,这些癌细胞并非“单打独斗”,而是通过“抱团”形成CTC集群,从而极大地增强了其转移能力。这项由上海中医药大学等机构的科学家进行的研究,不仅揭示了肺癌转移的新机制,还验证了一款靶向药在抑制转移方面的巨大潜力。

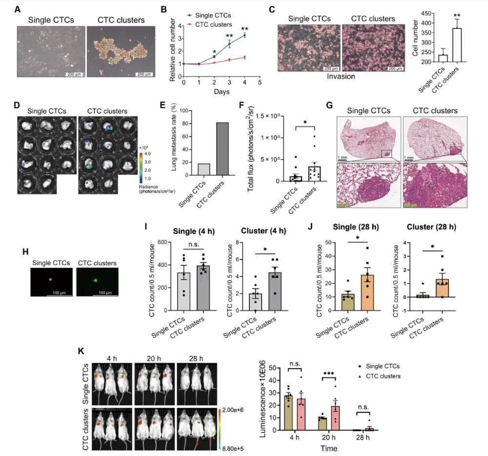
揭秘肺癌转移的“元凶”:CTC集群的超强破坏力
研究人员发现,单个的CTC在血液循环中其实很脆弱,容易凋亡。但当它们聚集成团(CTC集群)后,情况就截然不同了。这些“抱团”的癌细胞不仅能抵抗凋亡,其侵袭和定植能力也呈几何级数增长。
- 更强的转移能力:体内实验数据显示,CTC集群在小鼠肺部引发转移的效率比单个CTC高出惊人的450%。
- 更长的存活时间:CTC集群能在血液中存活更久,这为它们找到合适的“土壤”(远端器官)并生根发芽提供了更多机会。
因此,破坏CTC集群,使其“解体”,成为了预防和治疗肺癌转移的一个极具前景的新策略。

Src/FN1通路:驱动癌细胞“抱团”的关键引擎
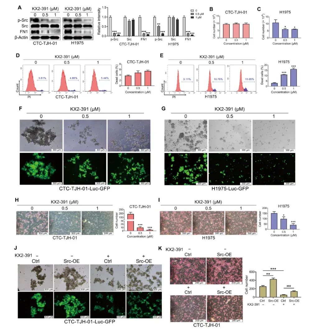
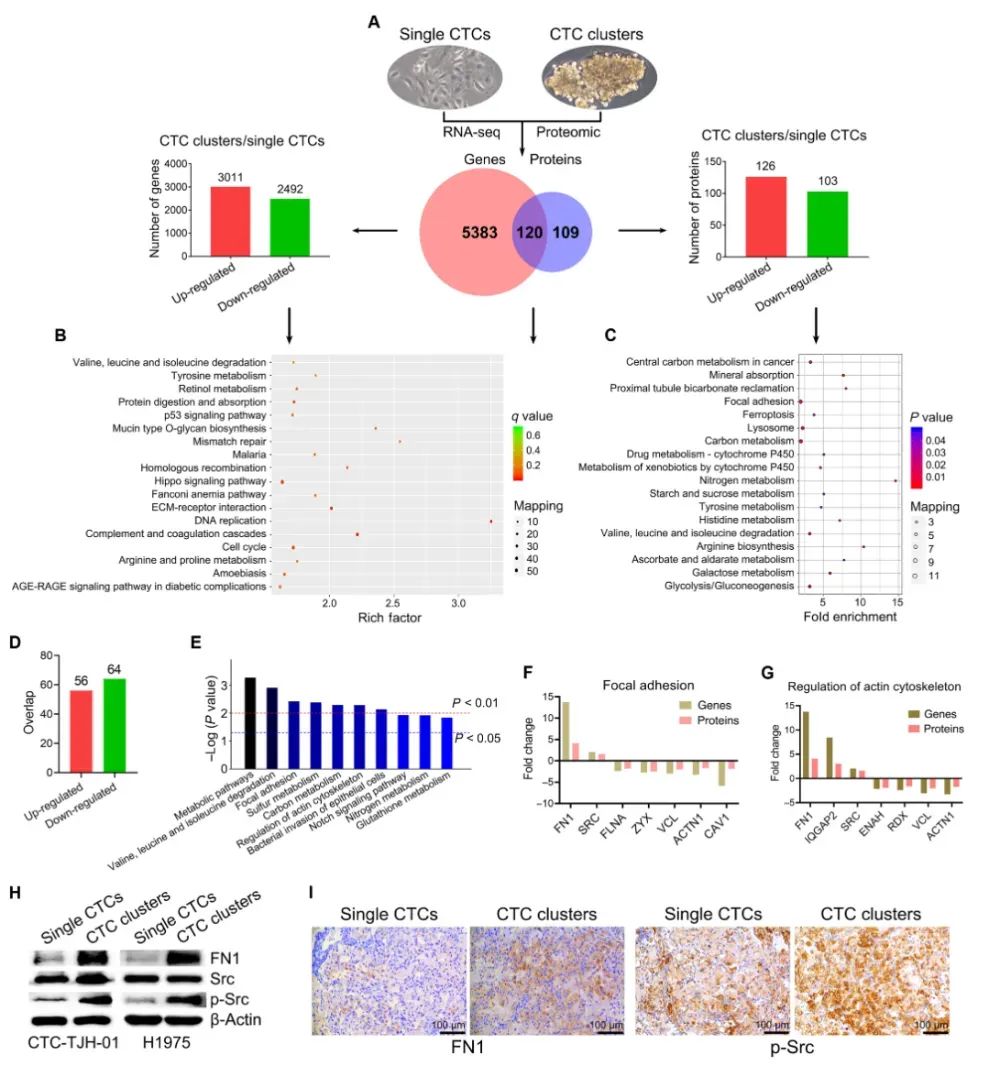
癌细胞为何会“抱团”?研究团队通过深入的转录组和蛋白质组学分析,成功锁定了背后的关键驱动机制——Src/FN1信号通路的激活。
- Src激酶:一种参与细胞黏附、迁移和生存等多种过程的关键蛋白。
- FN1(纤维连接蛋白):一种促进细胞间连接的“胶水”蛋白。
研究发现,在CTC集群中,Src和FN1的表达水平均显著上调。当研究人员通过技术手段抑制Src或FN1的活性时,CTC集群的形成和侵袭能力均受到显著抑制,反之则会增强。这证实了Src/FN1通路是维持CTC集群稳定性和侵袭性的核心。

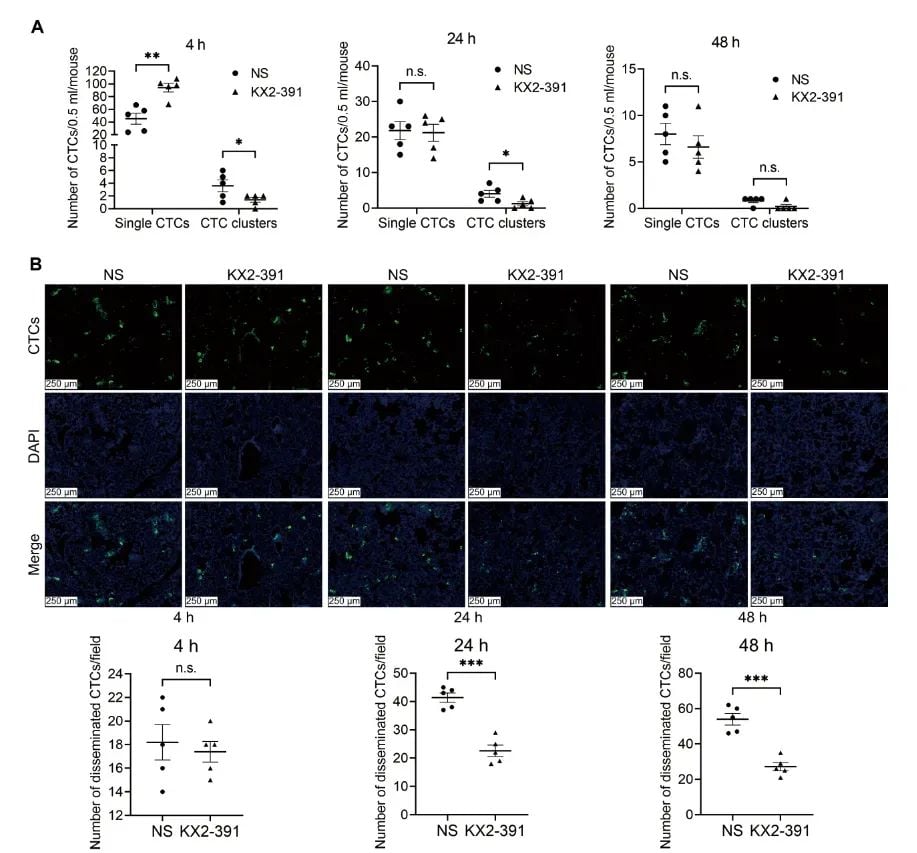
新型靶向药KX2-391:精准瓦解CTC集群,抑制肺癌转移
找到了关键靶点,下一步就是寻找能够精准打击的“弹药”。研究人员将目光投向了Src抑制剂 KX2-391。这款药物此前已在针对骨转移性前列腺癌和急性髓系白血病的临床试验中显示出潜力。
实验结果令人振奋:
- 体外实验:使用 KX2-391 处理后,肺癌细胞形成的CTC集群数量和紧密度显著下降,侵袭能力也大打折扣。
- 体内实验:在小鼠模型中,KX2-391 能够有效减少血液中的CTC集群数量,并显著抑制肺部转移灶的形成和生长。
这些数据强有力地证明,靶向药 KX2-391 能够通过抑制Src/FN1通路,有效“瓦解”癌细胞团伙,从而达到抑制肺癌转移的目的。

研究总结与展望
这项研究不仅为我们理解肺癌转移的复杂过程提供了新的视角,更重要的是,它验证了Src抑制剂 KX2-391 作为一种预防和治疗肺癌转移的潜在药物,为临床治疗提供了新的理论依据和方向。对于正在寻求前沿治疗方案的肺癌患者来说,靶向CTC集群可能成为未来对抗癌症转移的重要武器。
如果您希望了解更多关于 KX2-391 等前沿靶向药的最新研究进展、药物价格或海外代购渠道,MedFind将为您提供专业的资讯和支持服务,帮助您链接全球的治疗希望。

