引言:一种罕见且凶险的宫颈癌
宫颈小细胞神经内分泌癌(Small Cell Neuroendocrine Carcinoma of the Cervix, SCNCC)是一种非常罕见的妇科恶性肿瘤,仅占所有宫颈癌的0.5%至2%。尽管罕见,但其恶性程度极高,进展迅速,预后普遍不佳。研究表明,这种癌症与高危型人类乳头状瘤病毒(HPV),特别是HPV18型感染密切相关。本文将通过一个真实的病例,深入剖析宫颈小细胞神经内分泌癌的诊断、病理特征及治疗策略,为患者和家属提供有价值的参考信息。
病例回顾:一位38岁女性的诊断历程
患者为一名38岁女性,因近一个月内出现同房后少量阴道流血,并伴有分泌物增多及异味而就诊。关键检查结果如下:
- HPV检测:18型阳性。
- TCT检查:提示非典型鳞状上皮细胞,不排除高级别病变可能。
- 专科检查:发现宫颈肥大,外口可见菜花状肿物。
经过宫颈活检,病理科医生在显微镜下观察到了典型的癌变特征。
病理分析:揭示肿瘤的“真面目”
病理诊断是确诊宫颈小细胞神经内分泌癌的金标准。通过对活检组织的分析,我们能看到其独特的形态学和免疫组化特征。
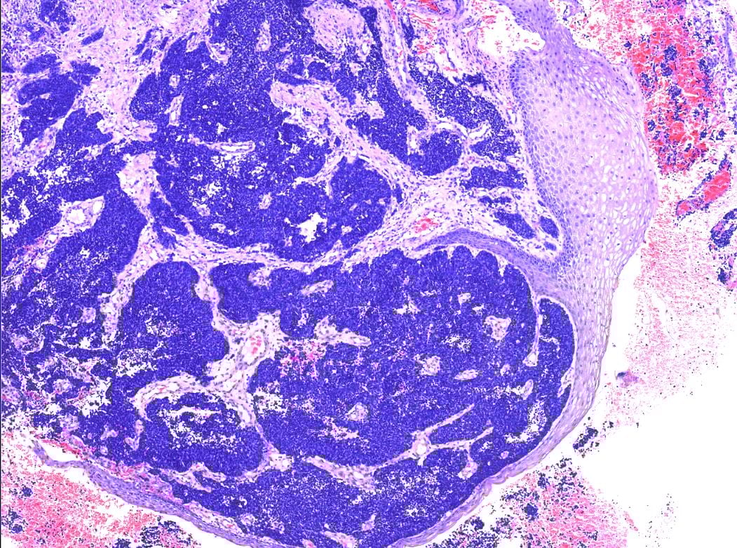
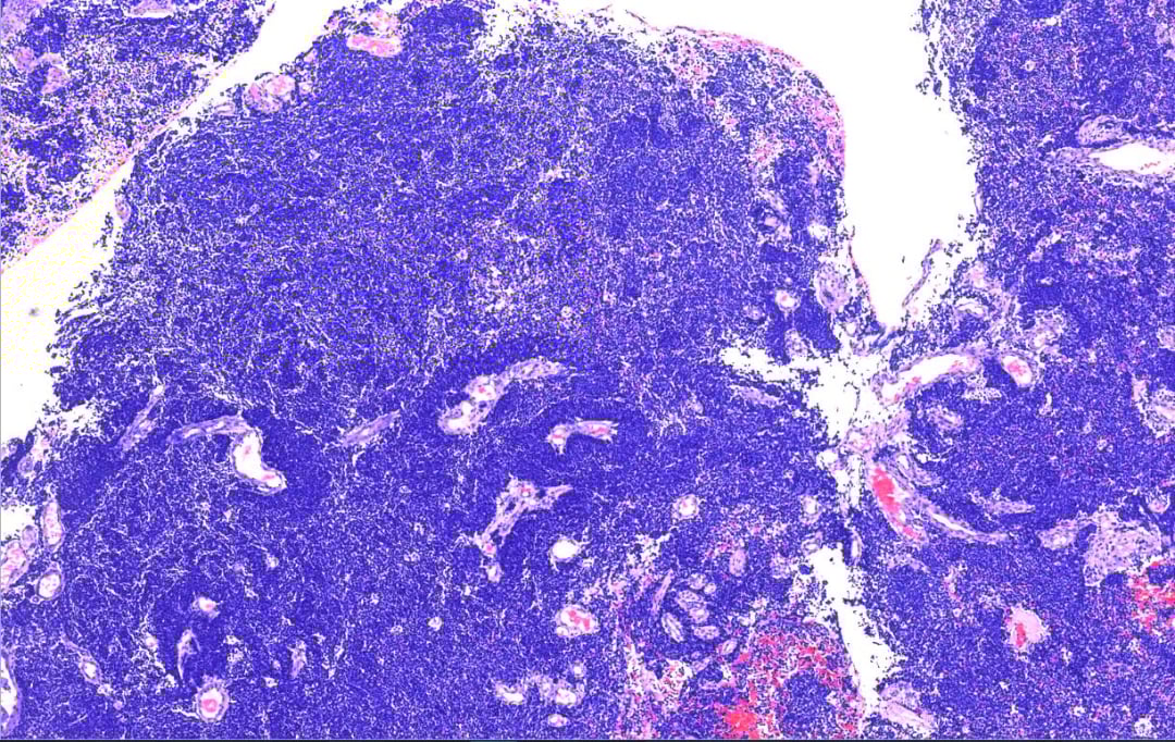
1. 组织学形态
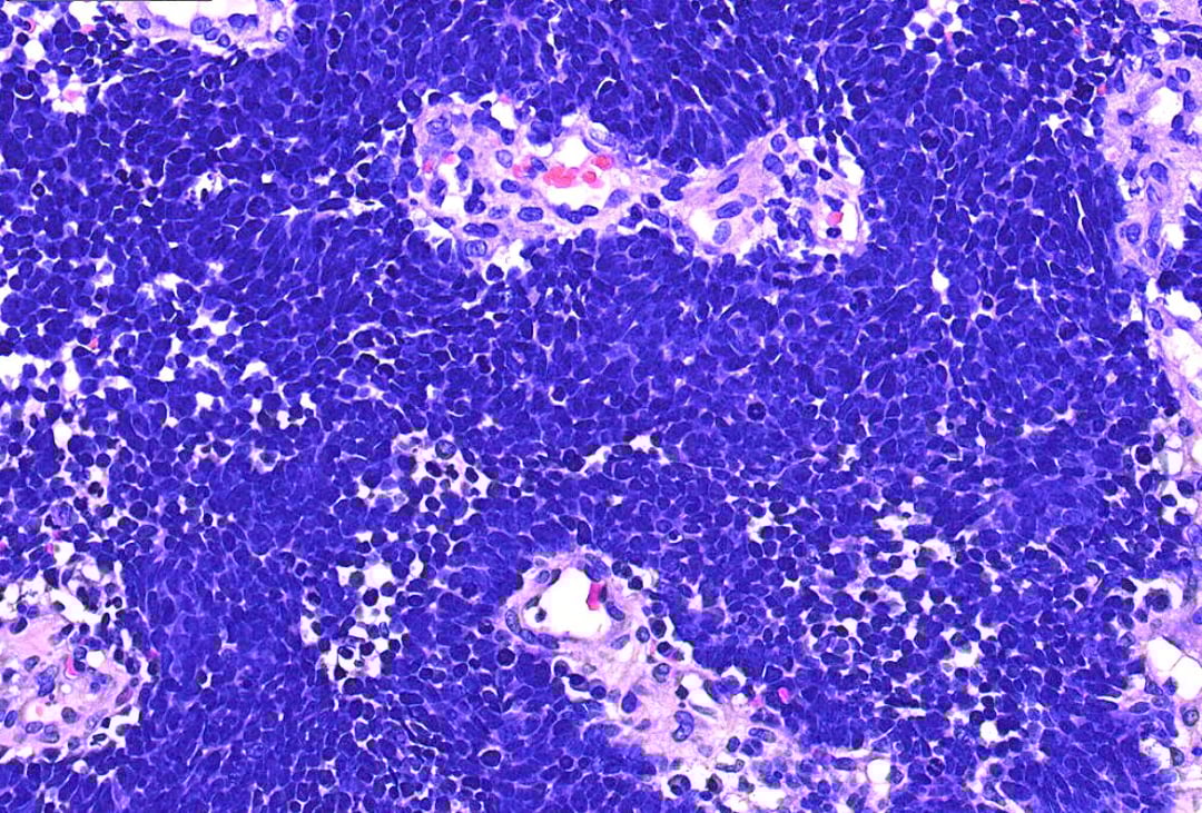
在显微镜下,肿瘤细胞位于正常的宫颈鳞状上皮下方,呈弥漫性浸润生长。这些细胞小而一致,细胞核大、细胞质少(高核浆比),核深染,排列成实性片状、巢状或梁状。此外,可见大量核分裂象和围血管生长,这些都是肿瘤侵袭性强的表现。

肿瘤位于正常宫颈鳞状上皮下方。

弥漫性浸润宫颈间质,呈实性片状,巢状及梁状排列,可见围血管生长。

高倍镜下,肿瘤细胞胞质稀少,核染色深,核仁不明显,核分裂象多见。
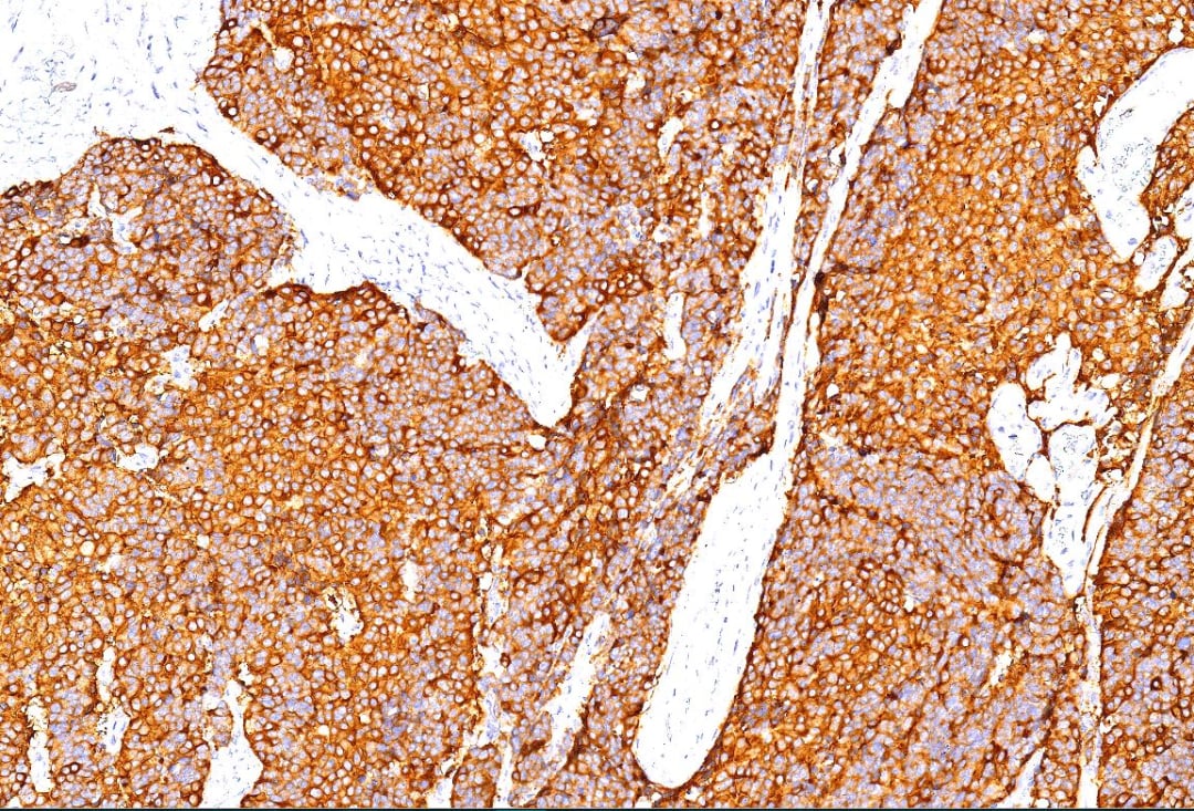
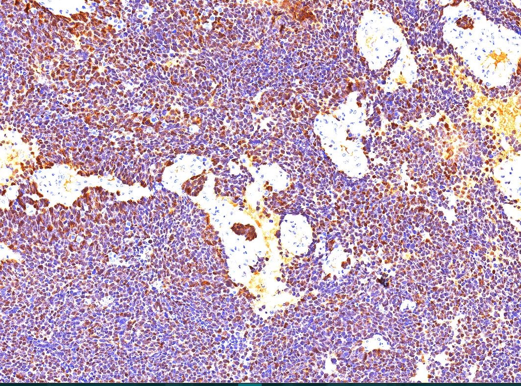
2. 免疫组化特征
免疫组化染色可以进一步确认肿瘤的神经内分泌来源。在本病例中,肿瘤细胞表达多种神经内分泌标志物,如 Syn(突触素)、INSM1、CD56 和 CgA(嗜铬粒蛋白A)。同时,p16 蛋白的强阳性表达,也印证了其与高危型HPV感染的相关性。值得注意的是,Ki-67增殖指数高达80%,这表明肿瘤细胞正在快速、不受控制地分裂,是其高度恶性的又一佐证。

肿瘤细胞Syn阳性。

肿瘤细胞INSM1阳性

肿瘤细胞p16阳性。
综合以上信息,最终的病理诊断为:宫颈小细胞神经内分泌癌,HPV相关性。
治疗策略与预后展望
宫颈小细胞神经内分泌癌的治疗极具挑战性。由于其高度侵袭性,早期就可能发生淋巴结和远处转移,导致约半数患者在初诊时已属晚期,预后不佳,局部晚期患者的中位生存时间可能不足一年。
目前的标准治疗方案通常是多模式联合治疗,包括:
- 手术治疗:对于早期患者,根治性手术是首选。
- 放化疗:手术后通常需要辅助放疗和/或化疗,以清除残余的癌细胞,降低复发风险。对于晚期患者,放化疗是主要的治疗手段。
- 新兴治疗:鉴于传统治疗效果有限,靶向治疗和免疫治疗为患者带来了新的希望。虽然目前尚无获批的针对性靶向药物,但针对相关通路(如血管生成)或基因突变(如RB基因缺失)的研究正在进行中。免疫检查点抑制剂在其他小细胞癌中已显示出一定疗效,其在宫颈小细胞癌中的应用也备受期待。
对于确诊这种罕见癌症的患者而言,获取最新、最全面的治疗信息至关重要。在选择治疗方案时,患者和家属常常面临诸多疑问,例如最新的靶向药物或免疫药物有哪些、不同药物的价格如何、以及在哪里可以购买到这些前沿药品。及时咨询专业的医疗服务平台,了解全球最新的药物资讯和获取渠道,可能为改善预后、延长生存期提供关键支持。
总结
宫颈小细胞神经内分泌癌是一种罕见但凶险的恶性肿瘤,与HPV感染密切相关。准确的病理诊断是制定有效治疗方案的基础。尽管预后充满挑战,但随着医学的进步,手术、放化疗结合靶向治疗和免疫治疗等综合性策略,正不断为患者带来新的曙光。对于患者来说,保持积极心态,与医生充分沟通,并积极寻求包括海外新药在内的所有可能治疗选项,是抗击疾病的关键一步。
