肝癌治疗困境:免疫耐药成为核心挑战
肝细胞癌(HCC),简称肝癌,是全球范围内高发的恶性肿瘤之一,在我国尤其呈现出严峻的疾病负担,新发与死亡病例数约占全球的一半。尽管外科手术是早期肝癌的主要治疗手段,但超过六成的患者在初诊时已属中晚期,失去了手术机会。更令人担忧的是,术后5年内仍有高达60%-70%的患者面临复发或转移的风险。
近年来,以PD-1/PD-L1免疫检查点抑制剂为代表的免疫治疗,联合抗血管生成药物(如“T+A”方案)已成为晚期肝癌的一线标准治疗。然而,这一方案的整体缓解率仅在20%-30%之间,许多患者会产生原发性或继发性耐药,导致治疗失败。如何克服肝癌免疫治疗耐药,已成为临床亟待解决的重大难题。对于寻求更多治疗选择的患者,了解全球最新的药物信息至关重要。MedFind致力于提供前沿的抗癌资讯,帮助患者把握每一个治疗机会。
Wnt信号通路:一个“不可成药”的经典靶点?
在探寻耐药机制的过程中,科学家们将目光投向了Wnt信号通路。这是一条在细胞生长、分化和凋亡中扮演关键角色的古老通路。在肿瘤中,Wnt通路的异常激活与多种实体瘤的发生发展密切相关,尤其是在肝癌中,超过30%的患者存在该通路关键基因(如CTNNB1)的突变。
然而,靶向Wnt通路开发新药的道路却充满荆棘。其核心蛋白(如β-catenin)位于胞内,缺乏传统小分子药物结合的“口袋”,导致药物难以设计。此外,Wnt通路对维持正常组织干细胞的稳定至关重要,非特异性地抑制它可能会引发严重的毒副作用,如骨髓抑制和肠道损伤。因此,Wnt通路一度被认为是“不可成药”的靶点。

柳暗花明:BCL9成为攻克肝癌耐药的新希望
近日,复旦大学附属中山医院的樊嘉院士、朱棣、杨欣荣及胡博教授团队在国际顶尖期刊《自然·通讯》(Nature Communications)上发表了一项突破性研究,为破解肝癌免疫治疗耐药提供了全新的思路和药物靶点。
研究团队将焦点锁定在Wnt通路中的一个关键共激活因子——BCL9。他们通过对159名中国肝癌患者的组学数据进行深入分析,发现Wnt通路核心基因突变频繁。更重要的是,在复发性肝癌患者中,BCL9基因存在高达65%的拷贝数扩增和7.5%的特异性体细胞突变。这些基于中国人群的扎实数据,证实了BCL9是具有“中国特色”的抗癌原创靶标。
进一步分析大型临床试验(如IMbrave150)数据后,团队发现,肿瘤组织中BCL9的表达水平与免疫检查点抑制剂(ICI)治疗的原发性耐药显著相关。这强烈暗示,BCL9不仅是预测疗效的生物标志物,更是一个极具潜力的药物干预靶点(Druggable Target)。

图1. BCL9与实体瘤PD-(L)1免疫治疗原发性耐药相关
揭秘BCL9如何打造“免疫沙漠”,导致治疗失败
为什么高表达的BCL9会导致免疫治疗失效?研究团队发现,BCL9通过重塑肿瘤免疫微环境(TIME),在肿瘤周围建立起一道免疫抑制的“壁垒”,形成所谓的“冷肿瘤”或“免疫沙漠”。
具体来说,BCL9高表达的肝癌组织中,能够杀伤肿瘤的CD8+ T细胞的活化水平和效应分子显著降低,而免疫抑制性基因的表达则相应增高。单细胞测序分析也证实,BCL9高表达与T细胞耗竭状态密切相关。在动物模型中,敲除肿瘤细胞的Bcl9基因后,肿瘤生长受到显著抑制,同时伴随着大量CD8+ T细胞的浸润。这表明,BCL9正是维持肝癌免疫抑制微环境、阻止免疫系统清除肿瘤细胞的“幕后黑手”。

图2. BCL9维持肝细胞癌的免疫抑制微环境并阻止免疫清除
靶向BCL9:双管齐下“唤醒”抗肿瘤免疫力
找到了问题的根源,下一步就是如何解决它。研究团队开发了一种名为hsBCL9Z96的新型小分子抑制剂,并深入探究了其逆转免疫耐药的双重作用机制。
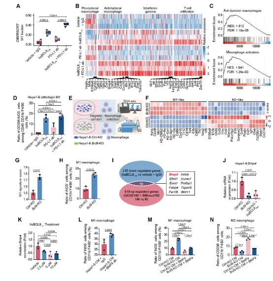
机制一:改造巨噬细胞,变“敌人”为“战友”
肿瘤相关巨噬细胞(TAMs)是肿瘤微环境中的关键角色,通常扮演着促进肿瘤生长的“帮凶”(M2型)。研究发现,抑制BCL9能够通过下调肿瘤细胞分泌的BMP4蛋白,将这些M2型TAMs“再教育”成具有抗肿瘤活性的M1型。这一转变,使得原本帮助肿瘤逃逸的巨噬细胞,转而成为攻击肿瘤的“友军”。

图4. 靶向BCL9通过BMP4依赖性途径将TAMs重编程为M1样表型
机制二:解除“别吃我”信号,增强吞噬与抗原呈递
肿瘤细胞非常狡猾,它们会在表面表达一种名为CD24的“别吃我”信号分子,以逃避巨噬细胞的吞噬。研究证实,BCL9能够正向调控CD24的表达。因此,使用hsBCL9Z96抑制BCL9后,肿瘤细胞表面的CD24水平下降,解除了这一“别吃我”的伪装。这使得巨噬细胞能够更有效地吞噬肿瘤细胞,并将其特征(抗原)呈递给T细胞,从而激活更强大的特异性抗肿瘤免疫反应。

图5. hsBCL9Z96靶向BCL9:重编程巨噬细胞表型并增强其吞噬与抗原呈递功能
临床前研究验证:新策略疗效显著
在多种临床前肝癌模型中,新型抑制剂hsBCL9Z96与抗PD-L1抗体联合使用,展现出了强大的协同抗肿瘤效应。尤其是在对免疫检查点抑制剂耐药的模型中,该联合方案显示出显著的改善作用,其疗效甚至优于当前一线“T+A”方案中的抗VEGF联合抗PD-L1策略。这一结果极大地鼓舞人心,预示着靶向BCL9有望成为克服肝癌免疫治疗耐药的全新有效策略。

图3. hsBCL9Z96联合抗PD-L1抗体的疗效优于抗VEGF联合抗PD-L1方案
总结与展望
复旦大学附属中山医院团队的这项研究,不仅深刻揭示了Wnt/β-catenin通路在肝癌免疫逃逸中的关键作用,更重要的是,他们从“不可成药”的困境中找到了BCL9这一全新且可行的药物靶点,并开发出具有潜力的候选药物。这一从基础研究到临床前验证的完整工作链,为广大肝癌患者,特别是那些对现有免疫治疗方案耐药的患者,带来了新的曙光。
虽然靶向BCL9的新药hsBCL9Z96仍处于早期研发阶段,距离临床应用尚需时日,但这项研究无疑为肝癌治疗领域开辟了一条全新的道路。我们期待这一创新策略能早日进入临床试验,为更多患者带来生存获益。在此期间,如果您对现有治疗方案或药物有任何疑问,MedFind的AI问诊服务可以为您提供个性化的信息支持。同时,如需了解已获批靶向或免疫药物的代购渠道和价格,我们也能提供专业的咨询服务。
