复发胶质母细胞瘤的治疗困境与新希望
胶质母细胞瘤(Glioblastoma, GBM)是成人中最常见且恶性程度最高的原发性脑肿瘤,其侵袭性强、复发率高,导致患者总体预后不佳,中位生存期通常不足两年。尽管手术、放疗和化疗的标准化治疗方案(Stupp方案)是目前的治疗基石,但绝大多数患者仍会面临肿瘤复发的严峻挑战。对于复发性胶质母细胞瘤(rGBM),目前尚无标准治疗方案,治疗难度极大,患者的生存前景也因此蒙上阴影。面对棘手的治疗难题,探索新的有效治疗方案至关重要。如果您对现有治疗方案有疑问或希望寻求更多可能,可以尝试MedFind的AI问诊服务,获取专业的第二诊疗意见。
本文将分享一例真实的rGBM患者案例,在经历多线治疗失败后,通过采用替尼泊苷(Teniposide)联合贝伐珠单抗(Bevacizumab)的创新方案,成功控制了疾病进展,为rGBM的治疗带来了新的启示。
患者的艰难抗癌历程
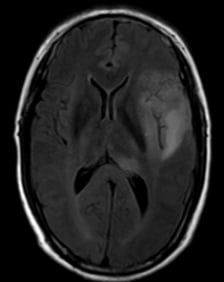
患者为一名50岁男性,因阵发性头晕头痛就诊。2021年7月,颅脑MRI检查提示左侧额颞叶及丘脑存在占位性病变,高度怀疑为胶质瘤。


图1. 初诊时颅脑MRI检查结果(2021.7.24)
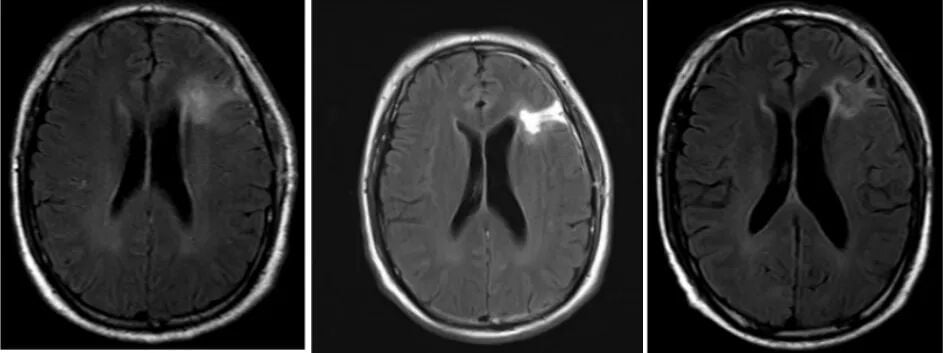
2021年8月,患者接受了左额颞岛叶胶质瘤切除术,术后病理证实为胶质母细胞瘤(WHO 4级)。随后,患者接受了标准的术后辅助治疗:从2021年9月至11月,进行了同步放化疗(放疗DT=60Gy/30f,同步口服替莫唑胺),之后继续替莫唑胺辅助化疗。初期治疗效果显著,复查MRI显示病变范围缩小。

图2. 标准治疗期间的影像学变化
一线治疗后复发与方案调整
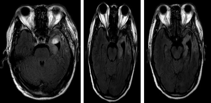
然而,好景不长。2022年1月,复查MRI提示疾病进展。医生调整方案,采用替莫唑胺联合贝伐珠单抗进行二线治疗。该方案在初期取得了良好效果,影像学评估为部分缓解(PR)并维持稳定。但后续因故治疗中断,至2023年3月,MRI再次确认肿瘤复发。

图3. 替莫唑胺联合贝伐珠单抗治疗期间的影像学变化
面对再次复发,患者尝试了增强剂量的替莫唑胺联合贝伐珠单抗方案,并接受了再程放疗。不幸的是,病情仍在进展。在寻找新方案的过程中,及时获取全球最新的药物资讯和诊疗指南对于患者至关重要。

图4. 再次复发后的影像学检查结果
挽救治疗新曙光:替尼泊苷联合贝伐珠单抗显奇效
2023年7月,在多线治疗失败、肿瘤再次增大的困境下,医生决定采用一种新的挽救治疗方案:替尼泊苷化疗(100mg d1-3, q3w)联合贝伐珠单抗靶向治疗(400mg q3w)。
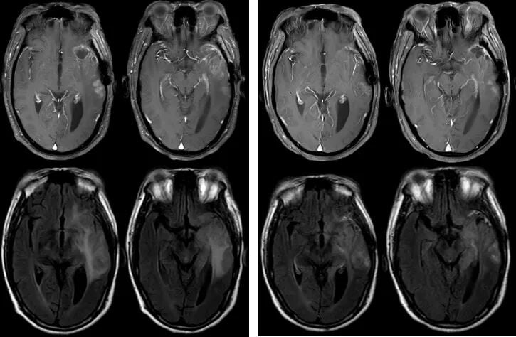
令人振奋的是,仅仅经过两个周期的治疗,2023年9月的复查MRI便显示,肿瘤强化范围较前略有缩小,疗效评估为疾病稳定(SD)。这意味着新方案有效遏制了肿瘤的生长。截至2023年12月,经过5个周期的治疗,患者病情持续稳定。

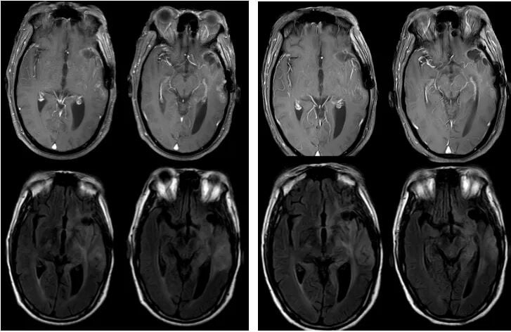
图5. 替尼泊苷联合贝伐珠单抗治疗后,病灶得到有效控制
总结与展望
本案例充分证明,对于经历多线标准治疗后仍然复发的胶质母细胞瘤患者,替尼泊苷联合贝伐珠单抗是一种极具潜力的挽救治疗选择。替尼泊苷作为一种能够有效穿透血脑屏障的化疗药物,与抗血管生成的靶向药贝伐珠单抗联用,起到了协同抗癌的作用,最终为这位走投无路的患者带来了新的生机。
这个成功的案例提示我们,即使面对rGBM这样的治疗难题,也不应放弃希望。积极探索和尝试新的治疗组合,可能为患者延长生存期、改善生活质量带来意想不到的转机。对于需要海外靶向药的患者,MedFind提供专业的药品代购服务,致力于帮助您跨越地域障碍,及时获取前沿的治疗药物。
