什么是肾脏血管平滑肌脂肪瘤(AML)?
肾脏血管平滑肌脂肪瘤(Angiomyolipoma, AML)是一种主要发生在肾脏的间叶性肿瘤。它由三种主要成分构成:异常增生的血管、不成熟的平滑肌和成熟的脂肪组织。尽管被归类为肿瘤,但绝大多数AML属于良性病变,生长缓慢,预后良好。这种肿瘤与一种名为“结节性硬化综合征”(Tuberous Sclerosis Complex, TSC)的遗传性疾病有很强的关联性。
AML的临床特征与高发人群
了解AML的临床特征有助于早期发现和诊断。以下是其关键信息:
- 与TSC的关联: 约有20%至40%的肾脏AML患者同时患有结节性硬化综合征(TSC)。TSC是一种遗传病,除了肾脏AML外,还可能表现为皮肤色素沉着、肾囊肿、心脏横纹肌瘤等多种症状。
- 发病年龄: 与TSC相关的AML患者发病年龄较早,通常在25-35岁之间。而散发性(不伴有TSC)的AML患者发病年龄则较晚,多见于45-55岁,且女性患者更为常见。
- 发病部位: 肿瘤主要位于肾实质或肾周围的软组织中,少数情况下可能累及区域淋巴结。
- 预后情况: AML通常为良性病程。通过手术完整切除后,患者预后普遍良好,复发或转移的情况极为罕见。
如果您对自身的症状或诊断报告有疑问,可以尝试使用MedFind的AI问诊服务,获取专业的分析和建议。
如何诊断肾脏血管平滑肌脂肪瘤?
AML的诊断主要依赖影像学检查和病理学分析。病理诊断是金标准,通过分析肿瘤组织的形态和分子标记物来最终确诊。
1. 大体病理特征
肉眼观察下,AML肿瘤通常没有完整的包膜,平均直径约为5-6厘米。肿瘤切面颜色呈淡黄色或多彩状,这主要取决于其脂肪、肌肉和血管成分的比例。由于血管结构异常,肿瘤内部常常伴有出血。
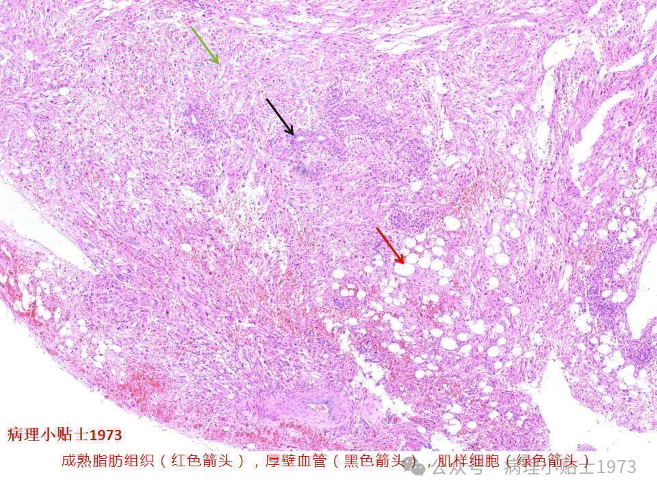
2. 镜下病理特征
在显微镜下,AML主要由以下三种成分构成:
- 成熟脂肪组织: 与正常的脂肪细胞相似。
- 厚壁血管: 血管壁厚而不规则,管腔大小不一,常伴有玻璃样变性。
- 平滑肌样细胞: 这些梭形或卵圆形的细胞呈片状或交叉束状排列,通常围绕在血管周围。
根据这三种成分的比例不同,AML可分为经典型、脂肪瘤样型、肌样型和血管瘤样型等亚型。在部分病例中,肌样细胞可能出现核深染、形态不规则等非典型特征,这种情况被称为非典型AML。


3. 免疫组化标记
免疫组化是一种特殊的染色技术,可以帮助病理医生识别肿瘤细胞的来源。AML的肌样细胞具有独特的免疫表型,同时表达色素细胞标记和平滑肌标记:
- 阳性标记物: HMB45、Melan-A (色素细胞标记);SMA、Desmin (平滑肌标记)。此外,脂肪细胞S100阳性,部分病例还可能表达TFE3。
- 阴性标记物: 通常不表达上皮细胞标记物CK。
诊断公式可以简化为:AML = 成熟脂肪组织 + 厚壁血管 + 肌样细胞 + 色素细胞标记阳性 + 肌源性标记阳性。






4. 分子遗传学特征
AML的发生与TSC基因突变密切相关。研究发现,大多数AML病例存在TSC1(约27%)或TSC2(约73%)基因的突变。这些基因为肿瘤抑制基因,其功能失活会导致细胞不受控制地增殖,从而形成肿瘤。
鉴别诊断要点
由于AML成分复杂,在病理诊断时需要与以下几种肿瘤进行区分:
- 高分化脂肪肉瘤: 一种恶性脂肪肿瘤,需要仔细观察有无非典型脂肪母细胞。
- 平滑肌瘤: 主要由平滑肌细胞构成,不含脂肪和异常血管,且HMB45等色素标记为阴性。
- 透明细胞肾细胞癌: 一种常见的肾脏恶性肿瘤,其细胞呈透明状,免疫组化表达不同。
准确的诊断对于制定正确的治疗方案至关重要。MedFind平台不仅提供靶向药代购服务,还汇集了大量前沿的药物信息和诊疗指南,帮助患者全面了解自己的疾病。
总结
肾脏血管平滑肌脂肪瘤(AML)是一种常见的肾脏良性肿瘤,由脂肪、平滑肌和血管三种成分混合而成。其诊断金标准是病理学检查,结合免疫组化(HMB45、SMA阳性)和分子检测(TSC1/TSC2突变)可明确诊断。虽然AML大多为良性,预后良好,但对于体积较大或伴有TSC的患者,仍需密切关注和规范管理。

