在癌症治疗的复杂旅程中,罕见肿瘤的诊断与治疗常常面临巨大挑战。当一种罕见的脑肿瘤——乳头状胶质神经元肿瘤(Papillary Glioneuronal Tumor, PGNT)——与脑动静脉畸形(Cerebral Arteriovenous Malformation, AVM)同时出现时,其复杂性更是倍增。这不仅考验着临床医生的诊断智慧,也促使我们深入探索其背后的分子机制。本文将带您了解一个突破性的病例报告,揭示SLC44A1::PRKCA基因融合如何成为诊断的关键,并为理解这两种罕见病变的共存提供了新的分子视角。
深入了解脑动静脉畸形与肿瘤共存的挑战
脑动静脉畸形(AVM)与颅内肿瘤在空间和时间上的共存极为罕见。以往的报告多集中于AVM与高级别胶质瘤的关联,而与低级别胶质瘤,如乳头状胶质神经元肿瘤(PGNT)的共存案例则更为稀少。这种共存现象究竟是巧合、肿瘤异常血管表型的表现,还是存在共同的潜在分子驱动因素?这一直是医学界关注的焦点。随着分子诊断技术的发展,我们现在能够更精准地定义这些病变,从而为揭示其深层联系提供了可能。
病例解析:10岁患儿的罕见诊断与成功治疗
本文首次详细报道了一例大型AVM与分子定义的乳头状胶质神经元肿瘤(PGNT)在空间和时间上共存的病例。一名10岁女童因持续头痛和恶心就诊,MRI检查显示左侧顶叶存在病变,并伴有明显的血管异常。数字减影血管造影(DSA)进一步证实了高流量动静脉畸形的存在。在遵循AVM手术原则成功切除病变后,组织病理学和基因测序结果令人瞩目。

▲摘自《2021年第五版WHO中枢神经系统肿瘤分类》

▲图1 术前轴向MRI影像

▲图2 术前动脉晚期DSA结果
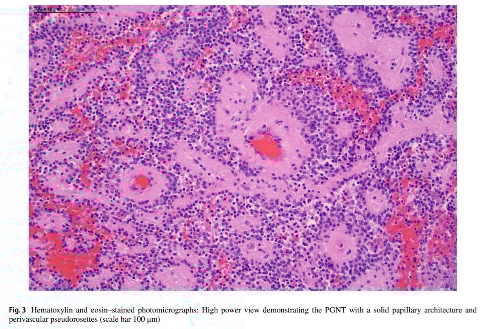
病理分析显示,肿瘤由相对单一形态的小上皮样细胞组成,具有血管周围假菊形团结构。更关键的是,全基因组测序检测到了SLC44A1::PRKCA融合,这正是乳头状胶质神经元肿瘤的特征性分子改变。这一发现不仅确诊了肿瘤类型,也为理解其与AVM的共存提供了分子层面的线索。

▲图3 HE染色高倍镜下显示PGNT具有实心乳头状结构和血管周围假菊形团

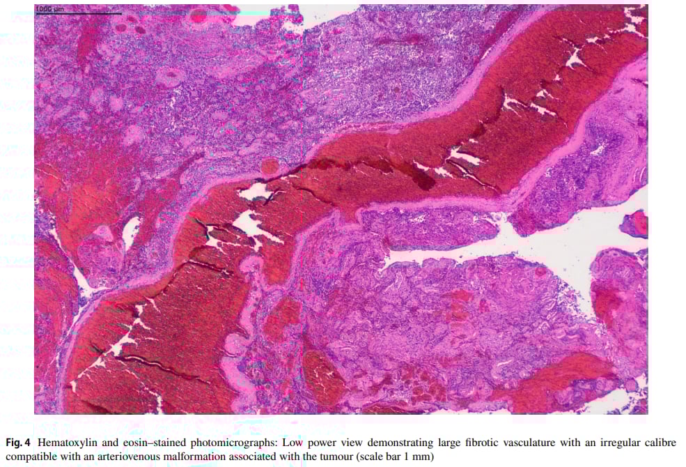
▲图4 HE染色低倍镜下显示具有不规则口径的大型纤维化血管,与肿瘤相关的动静脉畸形相符
分子机制揭秘:SLC44A1::PRKCA融合与MAPK通路
乳头状胶质神经元肿瘤(PGNT)是一种罕见的WHO 1级肿瘤,预后通常良好,但其分子特征对于精准诊断至关重要。SLC44A1::PRKCA融合被认为是PGNT的定义性分子特征。这种融合导致组成型活性的丝氨酸/苏氨酸激酶融合蛋白产生,即PKCα。PKCα在细胞分化和增殖中扮演关键角色,其活性升高与肿瘤发生密切相关。
更重要的是,PKCα通过与RAF-1相互作用,参与调节丝裂原活化蛋白激酶(MAPK)信号通路。MAPK通路不仅广泛参与包括胶质瘤在内的多种肿瘤病变的发生发展,也被证实与动静脉畸形的发病机制有关。近期研究表明,RAS/MAPK信号通路的激活是综合征性和散发性动静脉畸形的共同特征。因此,SLC44A1::PRKCA融合激活MAPK通路,可能正是解释乳头状胶质神经元肿瘤与脑动静脉畸形共存的共同分子驱动因素。
临床意义与未来展望:精准诊疗的希望
这一罕见病例的发现,强调了在诊断复杂颅内病变时,分子检测的重要性。通过NGS方法学(如实体瘤1560基因融合RNA检测),可以检测包括SLC44A1::PRKCA融合在内的多种基因融合变异,为患者提供更精准的诊断依据。此外,脑肿瘤460基因+染色体拷贝数变异检测(NGS+CNV-Seq方法学)还能预测可能获益的靶向、免疫及化疗药物,评估肿瘤遗传风险,辅助临床精准诊疗。
对于面临复杂癌症诊断和治疗挑战的患者而言,了解这些前沿的分子信息至关重要。虽然本文未提及针对SLC44A1::PRKCA融合的特定靶向药物,但对MAPK通路的深入理解,为未来的靶向治疗研究提供了方向。如果您或您的家人正面临癌症困扰,并希望了解更多关于靶向治疗药物、诊疗方案或寻求海外购药途径,MedFind可以为您提供专业的帮助。我们提供AI问诊服务,助您初步了解病情;同时,通过海外靶向药代购服务,帮助您获取全球前沿的抗癌药物,并提供丰富的抗癌资讯,助您在抗癌路上不再孤单。
