引言
当拿到一份复杂的病理报告时,许多乳腺癌患者和家属都会感到困惑。其中,“具有髓样特征的浸润性癌”是一个相对罕见但重要的诊断。这究竟是怎样一种乳腺癌?它的特点是什么?治疗和预后又如何?本文将通过一个真实的病例,为您深入浅出地剖析这一特殊的乳腺癌亚型。
病例分享:从发现肿块到明确诊断
一位39岁的女性因“发现右乳包块4天”而入院。初步的影像学检查提示,其右乳外上象限存在可疑的钙化灶,但由于背景强化明显,需要进一步检查来明确性质。


图1 乳腺X线成像显示可疑钙化灶
为了明确诊断,医生为患者施行了右乳病损切除术,并将切除的组织送往病理科进行详细检查。最终的病理诊断为:(右侧)乳腺具有髓样特征的浸-润性癌,伴中-高级别导管原位癌。
深入解读:具有髓样特征的浸润性癌
1. 什么是具有髓样特征的浸润性癌?
这是一种较为少见的乳腺癌组织学亚型,约占所有乳腺癌的1%~5%。过去,它被称为“髓样癌(Medullary Breast Carcinoma, MBC)”。由于其诊断标准严格且存在争议,2019年世界卫生组织(WHO)将其与非典型髓样癌等统一归类为“具有髓样特征的癌”。
它的主要病理特征包括:
- 镜下形态: 肿瘤边界清晰,呈膨胀性生长。癌细胞常常紧密地聚集成片(合体样生长),细胞核异型性明显,核分裂活跃。
- 显著特征: 肿瘤间质中有大量淋巴细胞、浆细胞浸润,这代表着机体对肿瘤产生了强烈的免疫反应。

图2 低倍镜下肿瘤边界清楚

图3 癌细胞呈实性片状,间质富含淋巴细胞
2. 免疫表型与分子特征
免疫组化是区分癌症亚型的重要手段。传统上认为髓样癌多为“三阴性乳腺癌”,即雌激素受体(ER)、孕激素受体(PR)和人表皮生长因子受体2(HER2)均为阴性。但越来越多的研究发现,部分病例也可以表达ER/PR或HER2。
在本案例中,免疫组化结果显示:
- 浸润性癌成分:ER(-),PR(-),HER2(3+),Ki-67(约30%+)
这意味着该患者的肿瘤属于HER2阳性类型。此外,这类肿瘤常常与BRCA1基因突变和p53基因突变相关,这对于评估遗传风险和指导后续治疗具有重要意义。

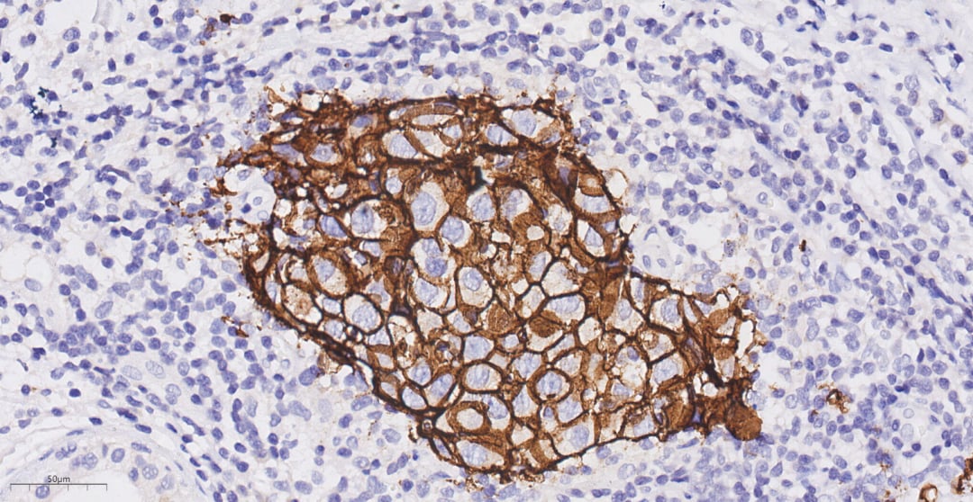
图4 免疫组化显示HER2为强阳性(3+)
如何与其他乳腺疾病进行区分?
由于其富含淋巴细胞的特点,具有髓样特征的浸润性癌需要与多种疾病进行鉴别,例如:
- 富于淋巴细胞的其他乳腺癌: 如浸润性导管癌,但后者通常边界不清,呈浸润性生长,缺乏典型的合体细胞生长方式。
- 淋巴瘤: 免疫组化可以轻松区分,癌细胞表达上皮标记(如CK),而淋巴瘤表达淋巴系统标记(如LCA, CD20等)。
- 乳腺炎症: 炎症缺乏具有恶性特征的上皮细胞。
准确的病理诊断对于制定正确的治疗方案至关重要。
治疗方案与预后展望
尽管目前没有专门针对“具有髓样特征的浸润性癌”这一特定亚型的靶向药,但其治疗会参照其免疫分型,遵循标准的非特殊浸润性乳腺癌治疗方案。治疗策略通常是手术、化疗、放疗、内分泌治疗和靶向治疗的综合应用。
例如,本案例中的患者为HER2阳性,因此抗HER2靶向治疗(如曲妥珠单抗、帕妥珠单抗等)将是其治疗方案中的关键部分。如果检测出BRCA1突变,PARP抑制剂也可能成为治疗选择。
一个有趣的现象是,尽管这类肿瘤在病理上看级别很高(细胞形态差、增殖快),但其预后通常好于同级别的普通浸润性导管癌。这可能归因于肿瘤内部大量的淋巴细胞浸润,表明身体的免疫系统正在积极地攻击癌细胞。这种强烈的免疫反应被认为是其预后相对较好的重要原因。研究显示,其10年总生存率可达到90%左右。
结语
具有髓样特征的浸润性癌是一种病理特征独特、预后相对较好的罕见乳腺癌亚型。准确的病理诊断和免疫分型(如ER, PR, HER2状态)是制定个体化治疗方案的基石。如果您或您的家人被诊断为这种类型的乳腺癌,请不要过分担忧。积极与您的主治医生沟通,全面了解病情,是迈向成功治疗的第一步。随着医学的进步,针对不同分子亚型的治疗手段将越来越精准,为患者带来更多希望。
