引言
当发现脚底或手掌上长出一个不痛不痒的“小疙瘩”或结节时,许多人会感到担忧,担心它是否是恶性肿瘤的征兆。实际上,这种情况很可能是一种良性的皮肤附属器肿瘤。本文将通过一个典型病例,为您详细解读一种常见的足底结节——小汗腺汗管纤维腺瘤,帮助您正确认识并处理这类皮肤问题。
病例回顾:一位年轻女性的足底结节
一位34岁的女性患者,因其足底出现一个灰褐色的圆形结节前来就诊。该肿物高于皮肤表面约0.3厘米,与周围皮肤边界清晰,触摸时感觉质地中等偏实。经过手术切除和病理检查,最终的诊断结果是什么呢?



病理诊断揭晓:什么是小汗腺汗管纤维腺瘤?
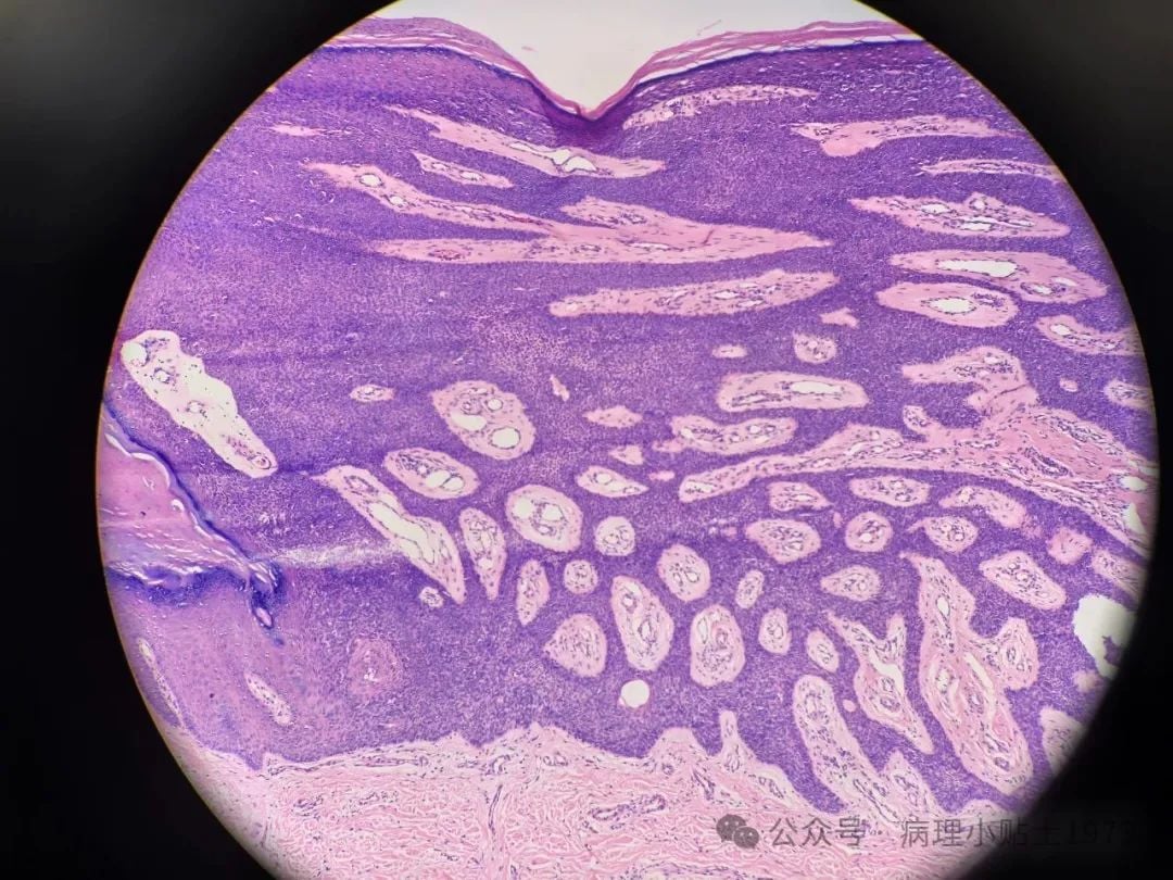
病理诊断结果显示,该足底结节为小汗腺汗管纤维腺瘤(Eccrine Poroma)。这是一种起源于小汗腺导管末端的良性皮肤肿瘤。
诊断要点分析:
- 临床特征: 患者为中青年女性,病变位于足底,这些都是小汗腺汗管纤维腺瘤的典型特征。这种肿瘤好发于手掌、足底等汗腺丰富的部位。
- 外观特征: 肿物“边界清楚”是良性肿瘤的重要标志,意味着它没有侵袭性地向周围组织生长。
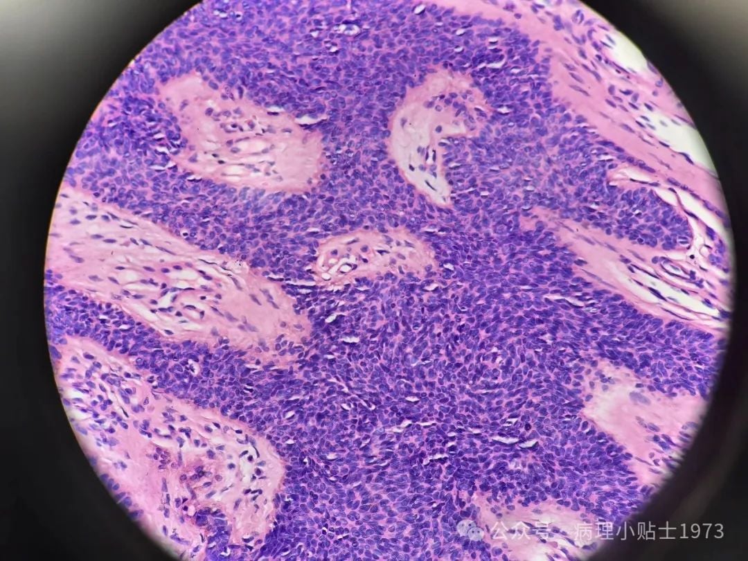
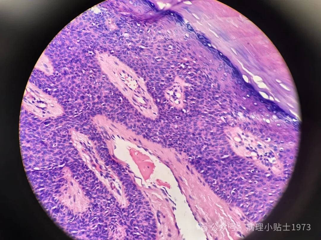
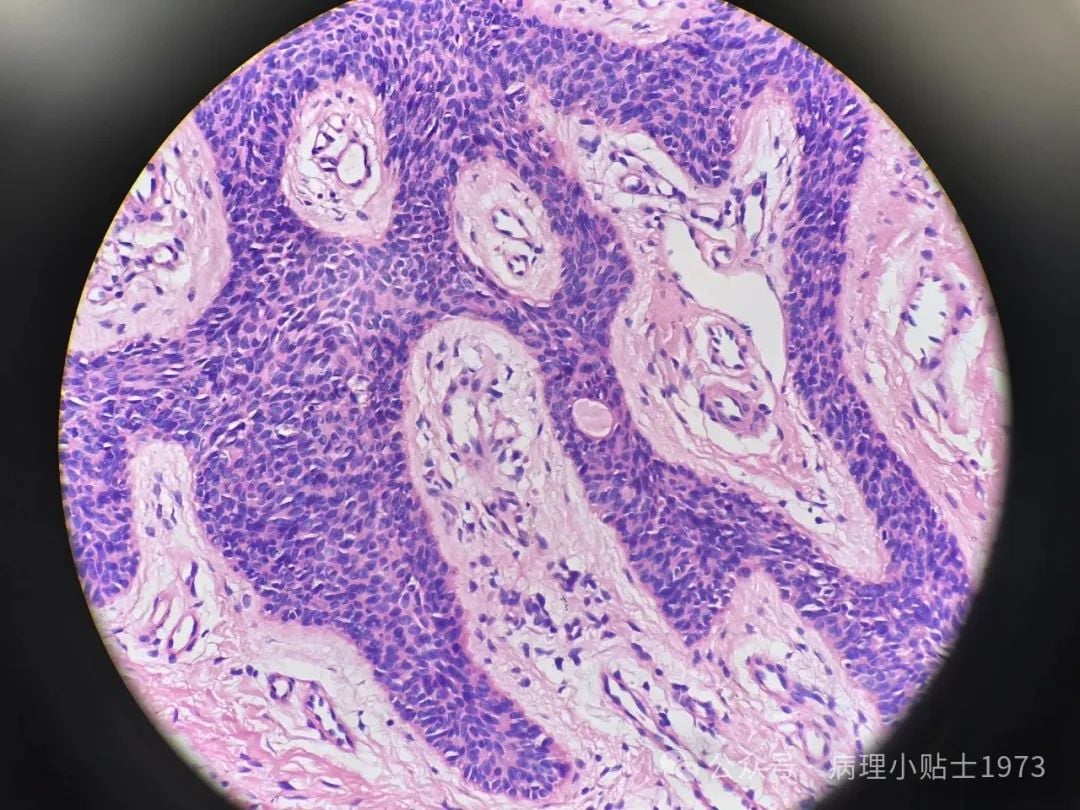
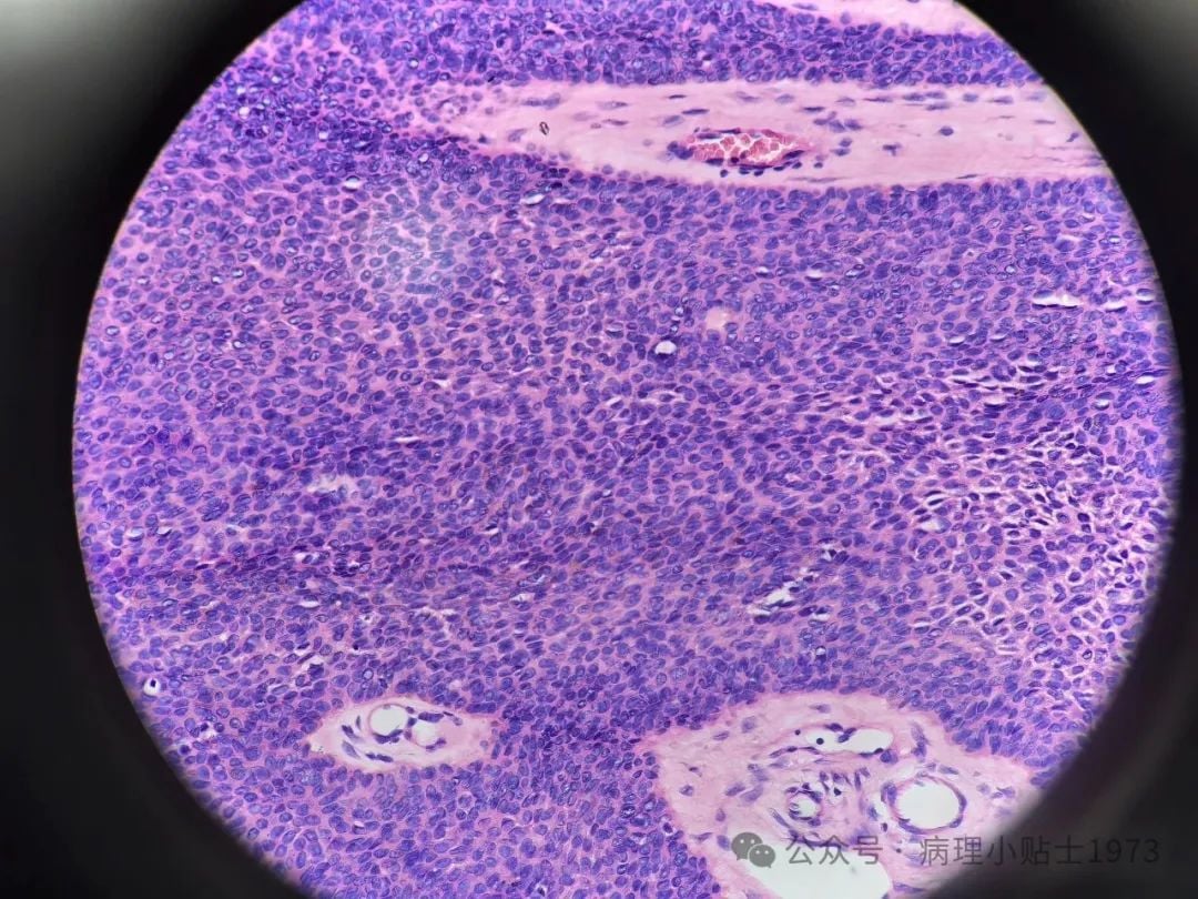
- 镜下观察: 在显微镜下,可以看到肿瘤由形态温和、大小一致的细胞构成,并形成了类似汗腺导管的结构。细胞没有明显的恶性特征,如异型性和快速分裂,这进一步证实了其良性性质。





如何与恶性皮肤肿瘤区分?
虽然小汗腺汗管纤维腺瘤是良性的,但在诊断时,医生需要将其与其他皮肤病变,特别是恶性肿瘤进行区分:
- 汗孔癌(Porocarcinoma): 这是小汗腺汗管纤维腺瘤的恶性对应物,但通常边界不清,可能伴有溃疡或坏死,且患者年龄偏大。
- 基底细胞癌: 一种常见的皮肤癌,但极少发生在足底,多见于阳光暴露部位,如面部。
- 寻常疣: 俗称“瘊子”,虽然外观可能相似,但病理结构完全不同,没有汗腺导管结构。
通过综合临床表现、发病部位和最终的病理检查,可以准确地做出诊断。







小汗腺汗管纤维腺瘤的治疗与预后
对于确诊的小汗腺汗管纤维腺瘤,标准的治疗方法是局部手术完整切除。由于这是一种良性肿瘤,其预后非常好。
- 复发风险: 完整切除后,复发率极低(小于5%)。
- 恶变风险: 恶变为汗孔癌的风险微乎其微(小于1%)。
总而言之,如果您在手掌或脚底发现类似的缓慢生长的无痛结节,不必过度恐慌。及时就医,通过专业诊断明确病变性质是关键。对于小汗腺汗管纤维腺瘤这类良性病变,简单的手术切除即可治愈,不会对健康造成长期影响。


