肺癌作为全球发病率和死亡率最高的恶性肿瘤之一,其精准诊断是制定有效治疗方案的基石。随着医学的进步,我们对非小细胞肺癌(NSCLC)的认识日益深入,尤其是那些具有独特病理和分子特征的罕见类型。本文将深入剖析一例特殊的肺癌病例,该肿瘤同时展现出腺癌和鳞癌的双向分化免疫表型,为肺癌的诊断与治疗带来了新的挑战,并探讨其对靶向药选择的潜在影响。
患者临床概况
一位66岁男性患者,因持续干咳和胸痛就诊。初期CT扫描发现左下肺胸膜下结节,直径约0.6cm,建议随访。一年后复查CT显示结节显著增大,呈不规则团块状,最大横截面约1.7×1.5cm,内部可见斑点状气体影,边缘不规则,周边有细短毛刺,邻近胸膜增厚。影像学高度提示恶性病变,经完善检查后进行了手术治疗。
病理形态学观察
手术切除的左下肺组织标本显示,胸膜下存在一灰白色肿块,大小约2.3×1.6×1.5cm,切面质硬,与周围肺组织分界不清。
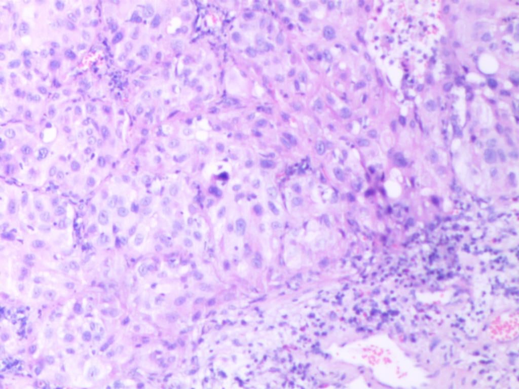
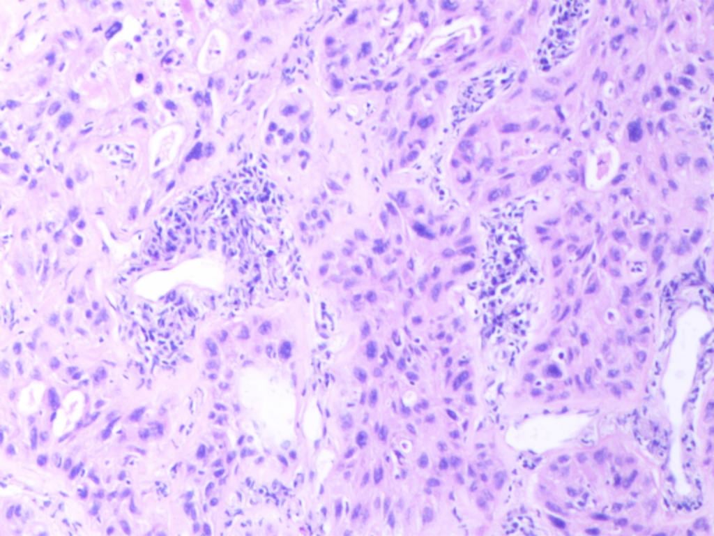
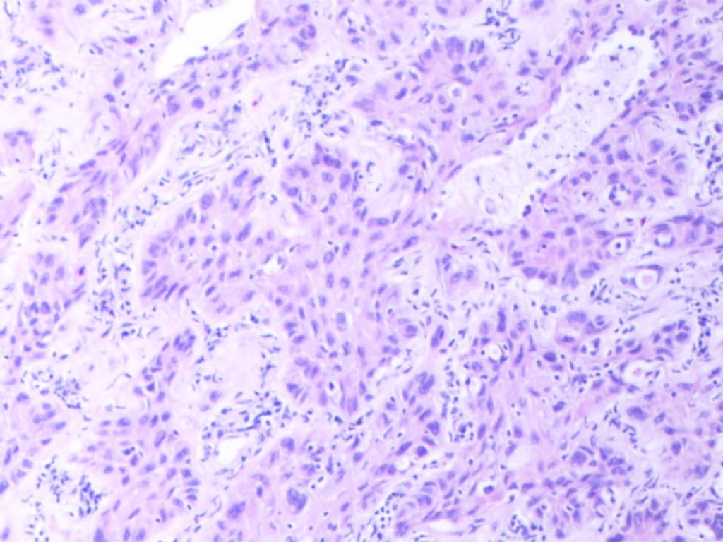
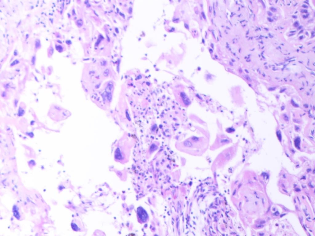
显微镜下,肿瘤表现为低分化非小细胞肺癌形态,伴有局灶性坏死,未见典型的腺泡、乳头或微乳头结构。瘤细胞呈实性巢团状排列(图A)。部分区域可见胞浆嗜酸性癌细胞排列成巢团或假腺样结构,提示腺样分化(图B)。另有区域肿瘤呈基底样癌样排列,弥漫散布着胞质略嗜酸性、类似角化或非角化型鳞状细胞癌的区域(图C),甚至可见微小的角化灶(图D)。

图A 肿瘤示低分化,呈实性巢团排列,缺乏鳞状分化或腺泡状结构(HEx100)

图B 低分化胞浆嗜酸性癌细胞排列巢团或假腺样结构,似腺样分化 (HEx100)

图C 肿瘤排列呈基底样癌样,似鳞样分化(HEx100)

图D 肿瘤细胞见微小的角化灶(HEx100)
免疫组织化学与分子遗传学特征
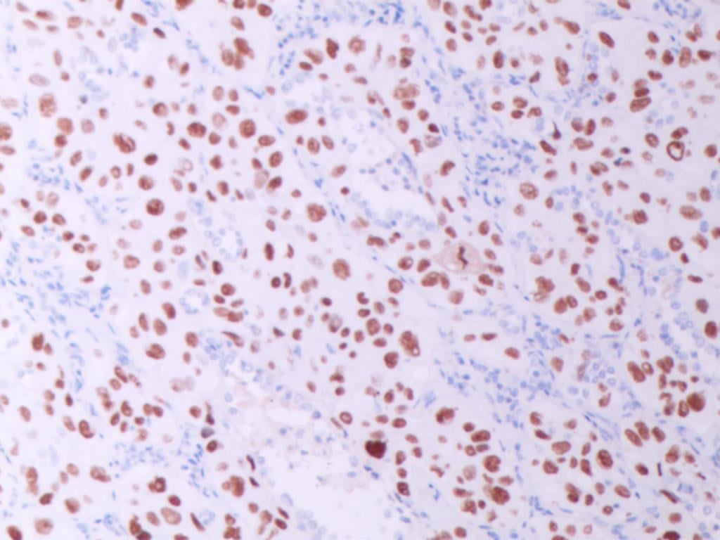
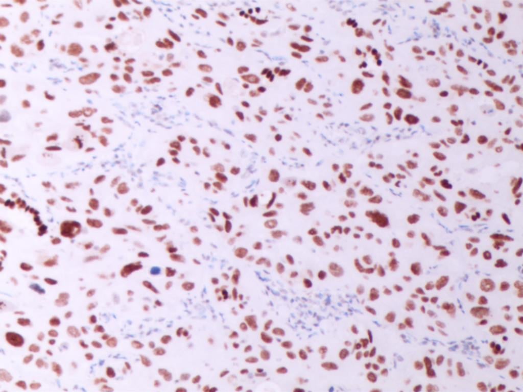
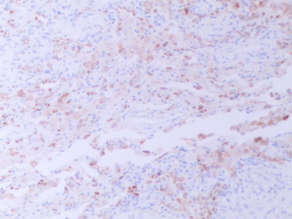
免疫组织化学(IHC)结果显示,肿瘤细胞同时弥漫性阳性表达CK5/6(图E)、p40(图F)、TTF1(图G)和NapsinA(图H)。而CK7、CgA、INSM1、syn、CD56、PAX8和CDX2均不表达。特殊染色黏液卡红灶性染色(图I)。

图E CK5/6弥漫阳性 (SPx100)

图F P40 弥漫性阳性 (SPx100)

图G TTF1 弥漫性阳性 (SPx100)

图H NapsinA弥漫阳性(SPx100)

图I 肿瘤细胞内/外无黏液(黏液卡红灶性染色 x100)
TTF1和NapsinA通常被认为是肺腺癌的特异性标志物,而p40和CK5/6则是肺鳞癌的特异性标志物。本病例中这四种标志物的弥漫性共表达极为罕见,提示肿瘤具有腺癌和鳞癌的双向分化特征。这种独特的免疫表型使得常规分类变得困难,最终诊断为“具有腺癌和鳞癌双向分化免疫表型特征的非小细胞肺癌”。
进一步的分子遗传学研究发现,这类TTF1/p40双表达的肺肿瘤具有独特的基因组特征,例如FGFR1、MYC、AKT1的扩增概率显著高于经典型腺癌或鳞癌;TP53、CDKN2A突变概率高于经典型腺癌;而KRAS突变、NKX2-1扩增概率则显著高于经典型鳞癌。这些分子层面的异常,为未来靶向药的研发和应用提供了重要线索。
诊疗挑战与预后考量
尽管分子遗传学和靶向基因治疗技术在肺癌诊疗中日益普及,但组织形态学特征仍是病理诊断的基石。本病例的特殊性在于其形态学上的低分化和免疫表型的双重性,使得诊断难度极大。世界卫生组织(WHO)最新的呼吸系统肿瘤分类建议,对于无明确形态分化但表达TTF1或p40的非小细胞肺癌,可分别归类为肺腺癌和肺鳞癌。然而,对于像本例这样TTF1/p40双阳性的罕见类型,目前尚无明确分类。
已报道的文献表明,这类TTF1/p40弥漫性共表达的肺肿瘤,其生物学行为比传统非小细胞肺癌更具侵袭性,肿瘤扩散能力更强,预后可能更差。因此,其治疗和预后共识尚需更多病例的积累和深入研究。本例患者术后接受了6个疗程的放化疗,目前定期复查,预后尚可。
鉴别诊断要点
在诊断过程中,需要与多种肺癌类型进行鉴别,主要包括:
- 肺实性腺癌: 主要由多角形、大而多形性的肿瘤细胞组成,呈片状、巢状分布,缺乏可识别的腺样结构。免疫组化通常显示CK7、TTF1、NapsinA阳性,而p40、CK5/6常阴性。
- 肺泡腔充填式生长的鳞状细胞癌: 肿瘤细胞局限于肺泡腔内生长,不破坏肺泡壁框架结构。免疫组化显示p40、CK5/6、P63弥漫强阳性,而癌巢周围存在TTF1和CK7阳性表达的肺泡上皮细胞。
本病例在常规形态学上与上述类型有重叠,因此,免疫组化是鉴别诊断的关键辅助手段。
MedFind:您的海外靶向药代购与抗癌资讯伙伴
面对复杂多变的肺癌类型,精准的病理诊断是制定个性化治疗方案,尤其是选择靶向药的关键。对于这类罕见且预后较差的非小细胞肺癌,患者往往需要寻求前沿的诊疗信息和海外购药途径。MedFind致力于为全球癌症患者提供专业的靶向药代购服务,确保患者能够及时获取所需的抗癌药,包括可能在国内难以获得的仿制药。同时,我们的AI问诊服务和抗癌资讯平台,能帮助患者更好地理解病情,探索更多治疗选择。
如果您或您的家人正面临类似的肺癌诊断困境,或在寻找合适的靶向药、抗癌药,MedFind提供一站式海外购药解决方案。通过我们的药品代购服务,您可以便捷地获取全球前沿的靶向药和高质量的仿制药,减轻经济负担。我们深知每位患者的治疗需求都是独特的,因此致力于提供个性化的支持和帮助。
参考文献:
[1]Joshi A, Mishra R, Desai S, et al. Molecular characterization of lung squamous cell carcinoma tumors reveals therapeutically relevant alterations[J]. Oncotarget, 2021, 12(6):578-588. DOI: 10.18632/oncotarget.27905.[PubMed链接]
[2]Tan AC, Tan D. Targeted Therapies for Lung Cancer Patients With Oncogenic Driver Molecular Alterations[J]. J Clin Oncol, 2022, 40(6):611-625. DOI: 10.1200/JCO.21.01626.[PubMed链接]
[3]Moes-Sosnowska J, Chorostowska-Wynimko J. Fibroblast Growth Factor Receptor 1-4 Genetic Aberrations as Clinically Relevant Biomarkers in Squamous Cell Lung Cancer[J]. Front Oncol, 2022, 12:780650. DOI: 10.3389/fonc.2022.780650.[PubMed链接]
[4]Zhou Z, Liu Z, Ou Q, et al. Targeting FGFR in non-small cell lung cancer: implications from the landscape of clinically actionable aberrations of FGFR kinases[J]. Cancer Biol Med, 2021, 18(2):490-501. DOI: 10.20892/j.issn.2095-3941.2020.0120.[PubMed链接]
[4]Nicholson AG, Tsao MS, Beasley MB, et al. The 2021 WHO Classification of Lung Tumors: Impact of Advances Since 2015[J]. J Thorac Oncol, 2022, 17(3):362-387. DOI: 10.1016/j.jtho.2021.11.003.[PubMed链接]
[4]Yatabe Y, Dacic S, Borczuk AC, et al. Best Practices Recommendations for Diagnostic Immunohistochemistry in Lung Cancer[J]. J Thorac Oncol, 2019, 14(3):377-407. DOI: 10.1016/j.jtho.2018.12.005.[PubMed链接]
[7]Kadota K, Nitadori J, Rekhtman N, et al. Reevaluation and reclassification of resected lung carcinomas originally diagnosed as squamous cell carcinoma using immunohistochemical analysis[J]. Am J Surg Pathol, 2015, 39(9):1170-1180. DOI: 10.1097/PAS.0000000000000439.[PubMed链接]
[8]Pelosi G, Bulloni M, Vescio M, et al. Coexpression of ΔNp63/p40 and TTF1 Within Most of the Same Individual Cells Identifies Life-Threatening NSCLC Featuring Squamous and Glandular Biphenotypic Differentiation: Clinicopathologic Correlations[J]. JTO Clin Res Rep, 2021, 2(11):100222. DOI: 10.1016/j.jtocrr.2021.100222.[PubMed链接]
