引言:膀胱癌诊断的复杂性
膀胱癌是泌尿系统常见的恶性肿瘤之一,其诊断和治疗依赖于精确的病理分型和分级。然而,某些特殊类型的膀胱癌,如伴有腺性分化的尿路上皮癌,给诊断带来了挑战。本文将通过一个具体病例,深入探讨非浸润性乳头状尿路上皮癌伴显著腺性分化的诊断要点和分级难点。
一、病例基本情况与初步检查
患者为一名58岁男性,因“反复血尿半月余”就诊。盆腔CT平扫及增强扫描提示:膀胱左侧壁可见一结节。
- 【基本资料】男性,58岁
- 【简要病史】反复血尿半月余。
- 【影像学发现】CT提示膀胱左侧壁结节。
血尿是膀胱癌最常见的早期症状之一,及时的检查对于早期发现至关重要。
二、病理学检查:揭示肿瘤真面目
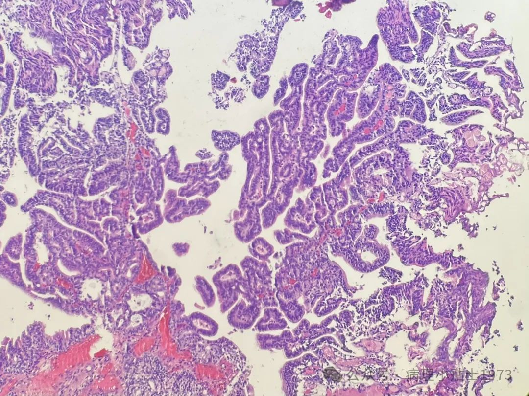
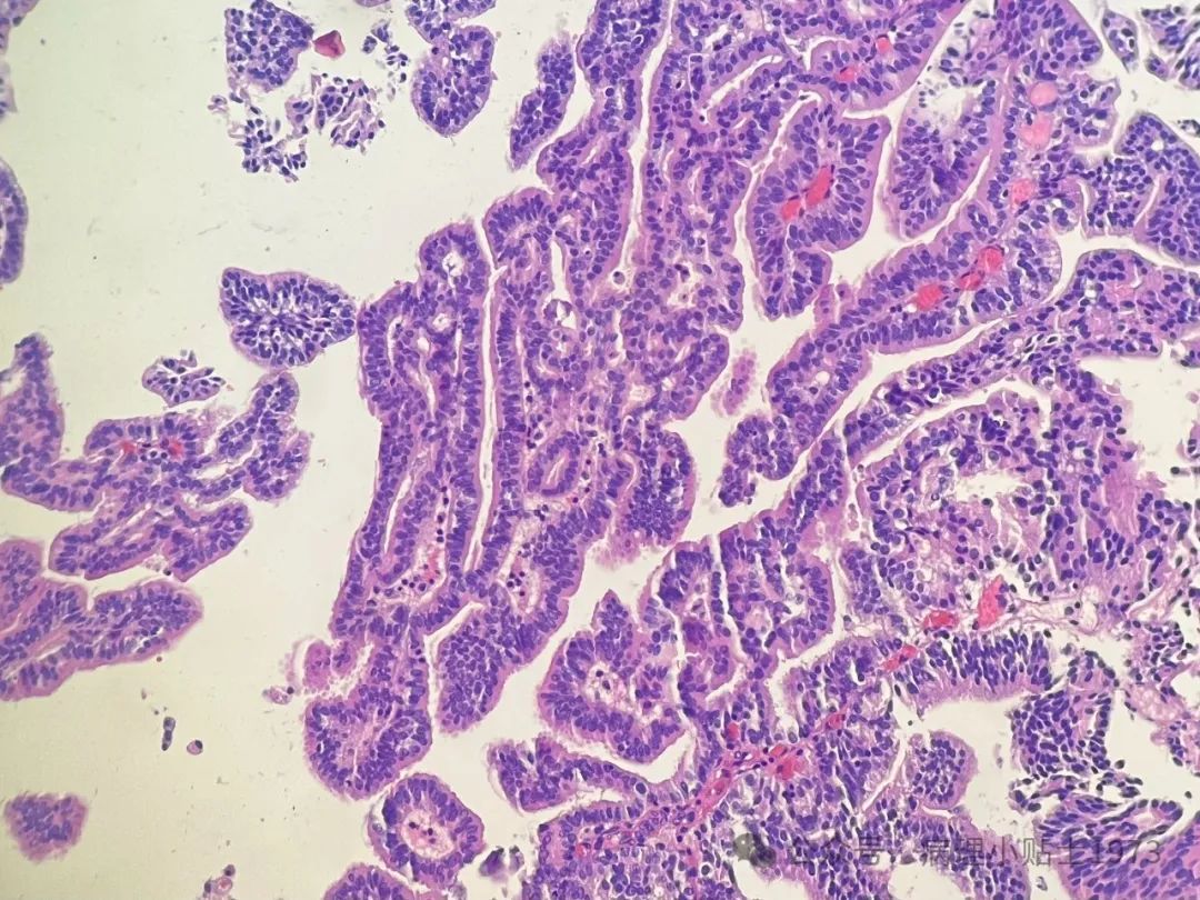
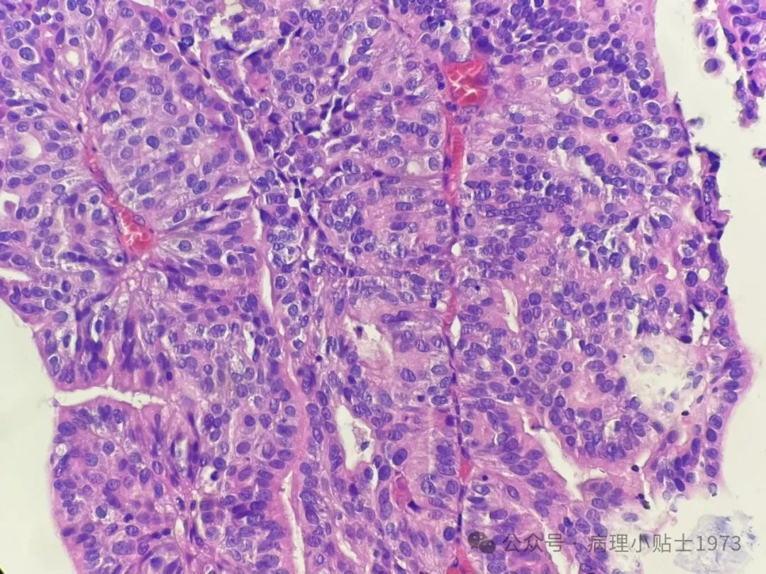
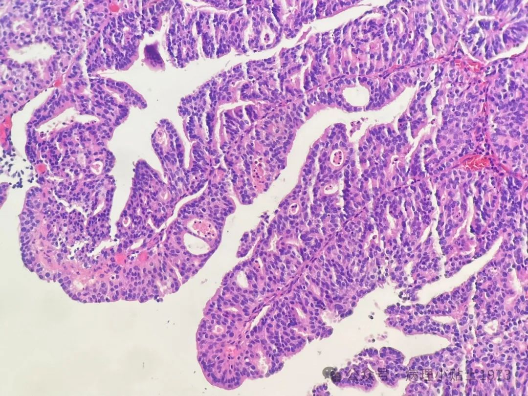
为了明确诊断,对患者膀胱内的病变组织进行了活检和病理检查。以下为显微镜下观察到的病理切片图像:







镜下观察显示,肿瘤呈现乳头状结构,符合尿路上皮癌的基本特征。但特殊之处在于,肿瘤组织中出现了显著的腺性分化区域。
三、诊断要点与分级探讨
基于患者年龄、发病部位、大体形态和镜下所见,最终病理诊断为:非浸润性乳头状尿路上皮癌伴显著腺性分化。
诊断思路与要点:
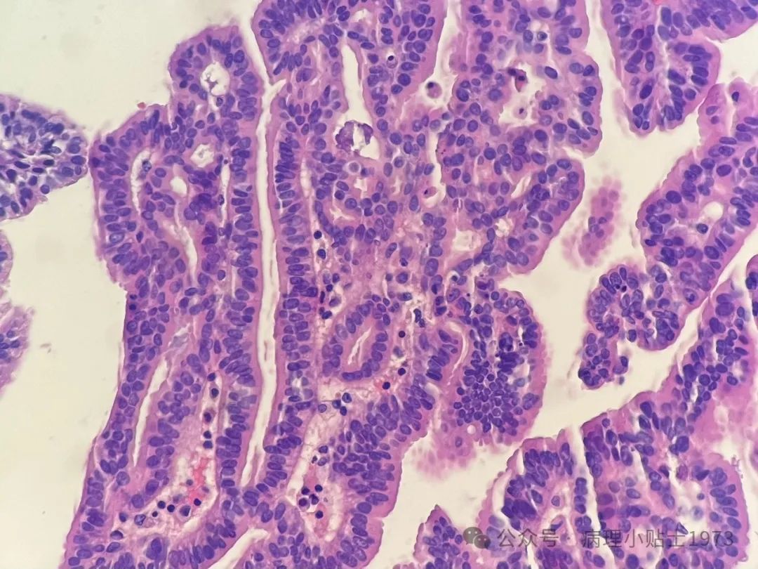
- 识别尿路上皮癌成分: 尽管存在显著腺性分化,但仔细观察仍能找到经典的复层排列的尿路上皮癌成分。这是区别于原发性膀胱腺癌的关键。尿路上皮癌可伴有多种变异型(异向分化),包括鳞状分化、腺样分化等。
- 腺性分化的意义: 伴有腺样分化的尿路上皮肿瘤通常提示高级别的可能性更大。需要与良性的腺性膀胱炎或囊性膀胱炎鉴别。
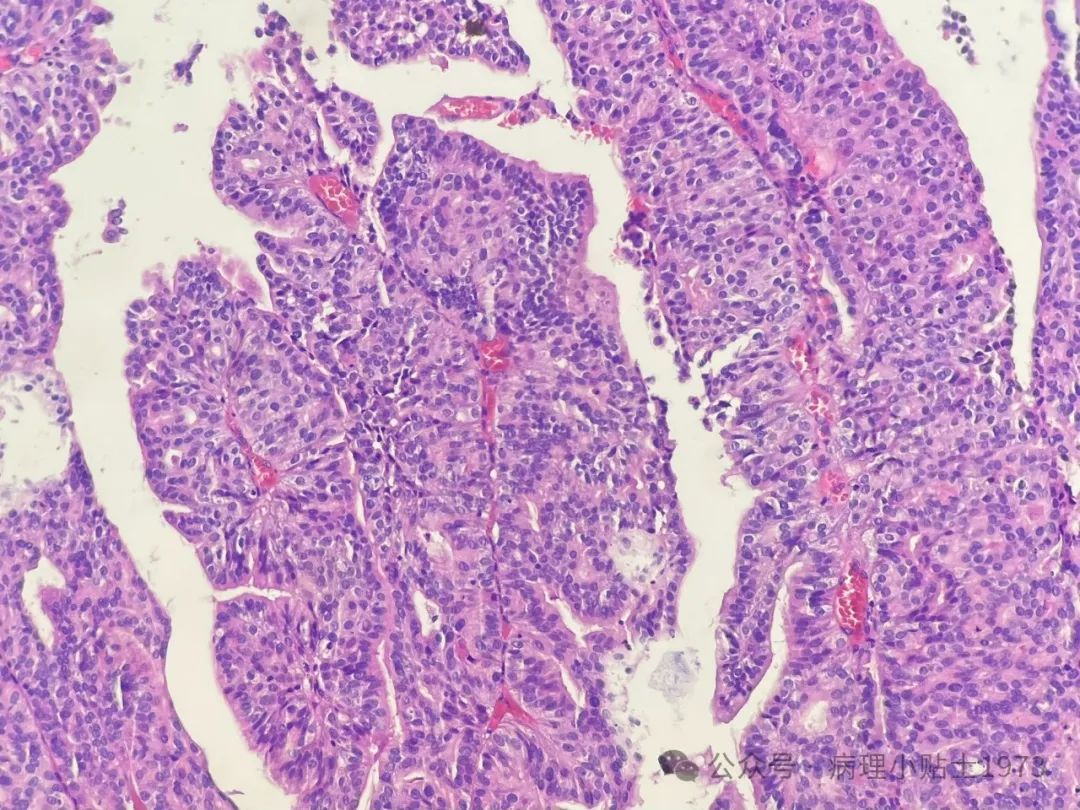
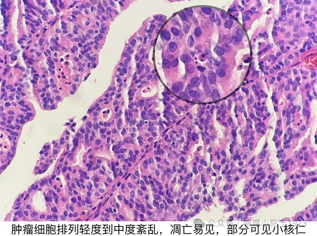
- 肿瘤分级的挑战: 本病例的肿瘤细胞极性轻度紊乱,核异型性为轻到中度,部分区域可见核仁,凋亡易见。免疫组化显示p16和CK20弥漫表达(常提示高级别),Ki67指数也较高。这使得按照传统的WHO 2004/2022标准将其归类为低级别还是高级别存在争议。
- 参考ISUP新分级系统: 国际泌尿病理学会(ISUP)提出了新的3级分级系统,并对含有高级别成分的非浸润性乳头状尿路上皮癌的诊断标准进行了讨论。例如,ISUP建议对于高级别成分占比在5%-50%的病例,诊断为低级别伴高级别成分,并注明比例;≥50%则直接诊断为高级别。WHO 2022则以5%为界限区分低级别伴局灶高级别成分和高级别。
- 综合判断: 结合本例广泛的腺样分化、免疫组化特征(p16, CK20, Ki67)以及细胞学特点(灶区核仁清晰、凋亡易见),尽管形态上可能未完全达到WHO标准的高级别,但根据ISUP分级,倾向于将其归入高级别非浸润性乳头状尿路上皮癌 (G2)。
理解复杂的病理报告可能令人困惑,如果您需要帮助解读诊断结果或寻求第二诊疗意见,可以考虑使用MedFind的AI问诊服务。
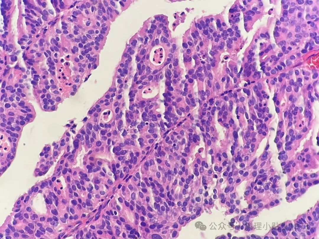
四、病理切片注解图示
以下图片进一步展示了病理诊断的关键特征:








五、结论与展望
本病例展示了非浸润性乳头状尿路上皮癌伴显著腺性分化的诊断复杂性。准确的病理诊断和分级对于指导后续治疗(如膀胱灌注化疗、手术范围等)和判断预后至关重要。随着对肿瘤生物学行为认识的深入和分级标准的更新,病理医生需要综合形态学、免疫组化等多方面信息进行判断。
对于患者而言,了解自身所患癌症的具体类型有助于更好地参与治疗决策。获取最新的抗癌资讯和诊疗指南,例如通过MedFind资讯平台,可以帮助患者和家属掌握更多信息。虽然本病例为非浸润性癌,但对于进展期或复发性膀胱癌,靶向治疗和免疫治疗已成为重要选择。若治疗中需要特定的靶向药物或仿制药,MedFind的海外代购服务或可提供相应的购药渠道选择和参考。
