导言:林奇综合征(Lynch Syndrome, LS)是一种遗传性疾病,显著增加携带者罹患多种癌症的风险,特别是结直肠癌和子宫内膜癌。该综合征由错配修复(MMR)基因的胚系突变引起,其中MSH2基因突变尤为关键。本文将介绍一项发现新型MSH2胚系突变的研究,揭示其与林奇综合征及相关癌症风险的联系,并探讨遗传咨询和早期筛查的重要性。
背景:林奇综合征与遗传风险
林奇综合征是一种常染色体显性遗传疾病,源于MLH1、MSH2、MSH6、PMS2及EPCAM等错配修复(MMR)基因的胚系突变。MMR系统负责修正DNA复制过程中的错误,维持基因组稳定。当MMR功能缺失(dMMR),会导致微卫星不稳定性(MSI-H),进而破坏基因组完整性,促进癌症的发生。临床上,通过免疫组化(IHC)检测MMR蛋白表达缺失或PCR检测MSI状态,已成为筛查MMR缺陷(特别是针对结直肠癌)的常规手段。MSI-H和dMMR是林奇综合征相关肿瘤的核心遗传标志。
除了结直肠癌风险急剧升高外,LS患者还易患子宫内膜癌、卵巢癌、胃癌、小肠癌、肝胆系统癌、泌尿道癌及皮肤癌等。对于女性LS患者而言,约40%–60%可能首先诊断出子宫内膜癌(EC),使其成为最常见的肠外前哨肿瘤。LS相关EC患者在初诊后10年内发生第二原发癌的风险约为25%,15年内风险高达50%。因此,识别EC患者中的LS对于妇科肿瘤的精准管理至关重要。早期诊断是改善林奇综合征预后的关键。目前,推荐对所有确诊EC的女性进行MMR普筛,以识别潜在的LS患者。结合家族史、MMR免疫组化、MSI检测及基因检测等多种方法,可以提高LS筛查的准确性。
MSH2或MLH1基因突变在LS患者中最为常见,分别占约40%和50%。在LS相关EC患者中,MSH2基因突变率更是高达50%–66%。了解具体的突变类型对于评估风险和制定个性化管理策略具有重要意义。如果您或家人有相关癌症史,考虑进行遗传咨询和基因检测可能有助于明确风险。
病例报告:从子宫内膜癌到MSH2新突变
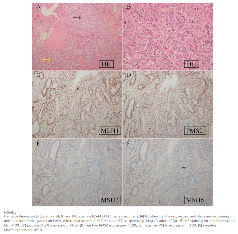
本研究报道了一名50岁女性患者,因异常阴道出血就诊,最终诊断为子宫内膜去分化癌IA期。免疫组化(IHC)检测显示,其肿瘤组织存在错配修复缺陷(dMMR),具体表现为MSH2和MSH6蛋白表达缺失(图1),而MLH1和PMS2蛋白表达正常。结合其显著的家族癌症史(母亲患子宫内膜癌,多位亲属患结直肠癌,图2),该患者高度疑似林奇综合征。
为了明确诊断并寻找致病的胚系突变,研究人员对患者的外周血样本进行了二代测序(NGS)基因检测。结果在MSH2基因的第2号外显子发现了一个此前未被报道的无义突变:NM_000251.2:exon2:c.354T>A(p.Y118*)。这个突变导致编码蛋白在第118位氨基酸(酪氨酸)处提前出现终止密码子,可能引起蛋白质截短或mRNA降解,从而导致MSH2蛋白功能丧失。这一发现为该患者的林奇综合征诊断提供了分子层面的证据。

▲图1 EC标本的HE和免疫组化结果 (显示MSH2/MSH6缺失)

▲图2 家族谱系 (显示多例结直肠癌和子宫内膜癌患者)

▲图3 先证者家系的NGS检测结果 (确认MSH2 c.354T>A突变)
基因检测与家族筛查
在先证者确诊后,研究人员对其家族成员进行了遗传分析。在参与检测的5名亲属中,均发现了相同的MSH2 c.354T>A突变(图3)。其中一名43岁的男性亲属(III-15)已被诊断患有结直肠癌,进一步印证了该突变与林奇综合征表型的关联。其余4名携带突变的年轻家族成员(年龄16-28岁)在检测时尚未表现出LS相关症状,但这并不意味着他们没有风险,而是可能尚未达到癌症高发年龄。这项家系研究有力地证明了MSH2 c.354T>A是一个极可能致病的突变,与典型的LS相关癌症(如子宫内膜癌和结直肠癌)相关。
临床意义与管理建议
确认MSH2等MMR基因的致病性胚系突变,对于携带者及其家庭成员的健康管理至关重要。
1. 癌症风险评估: 携带LS相关MMR基因突变的个体,其一生中罹患结直肠癌、子宫内膜癌、胃癌、卵巢癌等多种癌症的风险远高于普通人群。明确突变类型有助于更精确地评估个体化风险。
2. 癌症筛查与监测: 针对高风险人群,应制定强化的癌症筛查计划。
- 结直肠癌: 对于MSH2突变携带者,推荐从20-25岁开始,或比家族中最早确诊结直肠癌的年龄提前10年开始,每1-2年进行一次结肠镜检查。该家系最早确诊年龄为34岁,因此建议携带者从24岁起开始筛查。
- 子宫内膜癌/卵巢癌: 建议女性携带者警惕异常阴道出血等“预警症状”。每年进行经阴道超声和子宫内膜活检可能有助于早期发现。NCCN等诊疗指南建议,在完成生育后,可考虑行预防性子宫切除术及双侧附件切除术以降低风险,特别是对于MLH1或MSH2突变携带者,可在35岁左右考虑此手术。
3. 遗传咨询: 对所有检出致病突变的个体及其家庭成员提供遗传咨询至关重要,帮助他们理解遗传风险、筛查建议和预防措施。
4. 治疗相关性: 了解肿瘤的dMMR/MSI-H状态(林奇综合征相关肿瘤的常见特征)对于治疗选择也可能具有指导意义。例如,某些具有MSI-H特征的晚期癌症可能对免疫检查点抑制剂(一类靶向治疗药物)反应更佳。虽然本研究未涉及具体治疗方案,但明确遗传背景是实现精准医疗的第一步。
讨论与展望
本研究首次报道了MSH2基因的c.354T>A (p.Y118*)无义突变与林奇综合征相关子宫内膜去分化癌的关联。该病例及其家族研究结果强调了以下几点:
- 对于有林奇综合征相关癌症(尤其是早发性或多发性癌症)家族史的个体,以及肿瘤检测显示dMMR/MSI-H特征的患者,进行胚系基因检测具有重要价值。
- 发现新的致病突变有助于扩展我们对林奇综合征遗传基础的认识。
- 对确诊患者的家系成员进行级联筛查,可以识别出处于高风险状态的个体,从而实施早期干预和监测,有效降低癌症发病率和死亡率。
随着基因检测技术的普及和成本下降,以及对林奇综合征认识的加深,我们有望更早地识别高风险个体,并通过个性化的预防和筛查策略改善他们的健康结局。如果您对林奇综合征、相关癌症风险或遗传咨询服务有疑问,MedFind可以提供相关信息支持。
参考文献:
Zhong L, Wang W, Duan Y, Song L, Li Z, Yang K, Li Q and Yin R (2024) A new subtype of Lynch syndrome associated with MSH2 c.354T>A (p. Y118*) identified in a Chinese family: case report and literature review. Front. Genet. 15:1440179. doi: 10.3389/fgene.2024.1440179

