在乳腺癌的诊疗领域,“HER2阳性”往往被视为一种“幸运”的阴影——虽然它代表肿瘤侵袭性强,但由于有多种高效靶向药物的存在,患者通常能获得极佳的缓解率。然而,医学的复杂性在于,并非所有的HER2阳性肿瘤都遵循同样的“剧本”。最新的医学研究揭示了一个令人警醒的事实:一种名为乳腺黏液癌(MC)的罕见亚型,即使检测结果为HER2阳性,其对常规靶向治疗的反应也可能远低于预期。对于正处于焦虑中的患者家属而言,识别这种“伪装”的耐药亚型,是制定精准治疗方案、避免无效化疗的关键。
什么是乳腺黏液癌?它与普通乳腺癌有何不同?
乳腺黏液癌是一种相对少见的乳腺癌类型,其最显著的病理特征是肿瘤细胞“漂浮”在大量的细胞外黏液池中。根据黏液成分的比例,病理学上将其分为两类:
- 纯乳腺黏液癌(MC):肿瘤内的黏液成分占比超过90%。这类肿瘤通常生长缓慢,“性格”较为温和,多见于绝经后女性,且大部分为雌激素受体(ER)阳性、HER2阴性。
- 伴黏液特征的浸润性导管癌(MCF):黏液成分占比不足90%。这类肿瘤的临床表现更接近于普通的浸润性导管癌。
当这类原本“温和”的黏液癌遇上“凶狠”的HER2阳性,情况就变得复杂了。HER2阳性乳腺黏液癌非常罕见,在所有乳腺癌病例中占比仅约为0.06%至1%。
临床数据:黏液癌vs伴黏液特征导管癌的“冰火两重天”
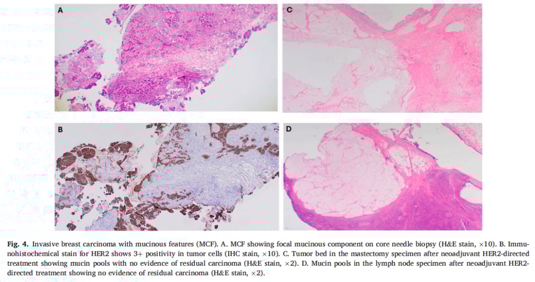
最近发表在《Annals of Diagnostic Pathology》上的一项研究,对比了11例HER2阳性且具有黏液特征的患者。结果发现,乳腺黏液癌(MC)与伴黏液特征的浸润性导管癌(MCF)在面对同样的抗HER2方案时,表现出了截然不同的治疗反馈。

1. 反应低迷:乳腺黏液癌(MC)组
研究中的4例HER2阳性MC患者,中位年龄仅42岁,远低于普通黏液癌的平均发病年龄(71岁)。她们接受了包含多西他赛(泰索帝, Docetaxel)、卡铂(Carboplatin)、曲妥珠单抗(赫赛汀, Trastuzumab)及帕妥珠单抗(帕捷特, Pertuzumab)的TCHP标准新辅助方案。
令人遗憾的是,手术后的病理评估显示,这些患者的乳腺病灶和转移淋巴结几乎没有明确的治疗反应。其中一名IV期患者在接受抗HER2治疗后,疾病甚至出现了进展。这表明,对于纯黏液癌患者,传统的抗HER2双靶方案可能遭遇严重的“闭门羹”。


2. 疗效优异:伴黏液特征的浸润性癌(MCF)组
与之形成鲜明对比的是,7例MCF患者中有6例接受了相同的TCHP方案,其中2例达到了病理完全缓解(pCR,即手术标本中找不到癌细胞),其余4例也仅有微小残留。这意味着,只要黏液占比不是特别高,靶向药物依然能精准“狙击”癌细胞。


为什么靶向药对黏液癌会“失灵”?
医学界目前对这种耐药现象提出了几种假说:
- 物理屏障:黏液癌中大量的细胞外黏液池可能形成了一道天然的“防火墙”,阻碍了大分子靶向药物(如曲妥珠单抗和帕妥珠单抗)渗透并抵达癌细胞表面的HER2受体。
- 蛋白干扰:研究发现,这类肿瘤细胞可能表达一种名为MUC4的蛋白,它会像盾牌一样干扰赫赛汀与HER2靶点的结合,从而导致药物无法发挥作用。
- 异质性问题:这类患者往往更年轻,且ER/PR双阳性。这种复杂的激素受体环境可能通过交叉对话机制,诱导了对靶向治疗的代偿性耐药。


MedFind深度解读:患者该如何应对?
面对这类罕见且具有挑战性的亚型,患者及家属不应盲目焦虑,而应采取更加精准的策略。MedFind建议,在确诊为HER2阳性乳腺癌后,务必关注以下几点:
1. 仔细阅读病理报告中的“黏液成分”
在治疗前的穿刺活检中,如果病理科医生提到了“黏液”,请务必询问黏液占比。如果占比超过90%(即纯黏液癌),传统的TCHP新辅助方案可能效果受限。此时,与医生讨论是否需要更紧密的影像学监测,或者调整治疗优先级显得至关重要。
2. 警惕新辅助治疗中的“不敏感”信号
如果在接受前两个周期的靶向治疗后,肿瘤体积没有明显缩小,应及时进行多学科会诊(MDT)。对于黏液癌,由于细胞密度低,传统的残余癌负荷(RCB)评估可能存在误差,需要结合专业医生的临床经验进行判断。
3. 关注二代ADC药物的应用前景
虽然传统的抗HER2药物可能受阻,但新一代抗体偶联药物(ADC),如德曲妥珠单抗(优赫得, Trastuzumab deruxtecan)和恩美曲妥珠单抗(赫赛莱, Trastuzumab emtansine),凭借其强大的“旁观者效应”和更强的渗透能力,可能为这类耐药亚型带来新转机。MedFind致力于帮助患者打破信息壁垒,获取全球前沿的诊疗资讯和药物获取渠道。
结语:精准诊疗,拒绝“一刀切”
医学的进步正是从这些“例外”中汲取教训的。HER2阳性乳腺黏液癌的耐药性研究提醒我们,癌症治疗早已进入“分子+病理”的双重精准时代。对于患者而言,了解自己的病理亚型,不仅是为了寻找希望,更是为了在焦虑中握住科学的舵柄,少走弯路。MedFind将始终陪伴在您的抗癌路上,为您提供最权威、最有温度的医学支持。
参考文献
- Han M, Schmolze D, et al. Poor response of HER2-positive mucinous carcinomas of breast to neoadjuvant HER2-targeted therapy. Ann Diagn Pathol. 2025 Feb;74:152396.
- Baretta Z, et al. HER2-positive mucinous carcinoma cases and response to targeted therapy. 2023.
- Zhan et al. Pathological response of mucinous breast cancer after neoadjuvant therapy. 2024.
