乳腺癌作为全球女性发病率最高的恶性肿瘤,其致死的主要原因并非原发病灶,而是向肺、骨、脑等远端器官的转移。长期以来,医学界一直在探索:究竟是什么在背后“推波助澜”,让癌细胞变得如此具有侵略性?近日,武汉大学李文化团队在国际权威期刊《Cancer Research》发表了重要研究成果,揭示了肿瘤微环境中的“代谢刹车”——乳酸脱氢酶B(LDHB)的缺失,正是驱动乳腺癌转移的关键诱因。这一发现不仅为理解癌症扩散提供了新视角,也为开发抗转移新药指明了方向。
肿瘤微环境:癌症滋生的“土壤”
要理解这项研究,首先要了解“肿瘤微环境(TME)”的概念。如果把癌细胞比作种子,那么肿瘤微环境就是它赖以生存的土壤。在乳腺癌的土壤中,存在着一种非常关键的间质细胞——癌症相关成纤维细胞(CAFs)。CAFs并非癌细胞,但它们会被癌细胞“黑化”,分泌各种蛋白质和生长因子,帮助癌细胞躲避免疫系统的攻击,并重塑周围的组织结构,为癌细胞的迁徙“修路搭桥”。
研究发现,CAFs 内部会发生剧烈的“代谢重编程”,即细胞获取能量的方式发生了改变。MedFind 资深主编解释道,这种代谢改变就像是给癌细胞换上了高性能引擎,让其具备了更强的生存和扩散能力。而武汉大学团队的研究重点,正是控制这一代谢过程的关键酶——LDHB。
LDHB:被忽视的“代谢平衡者”
乳酸脱氢酶B(LDHB)在人体中扮演着调节乳酸水平的重要角色。它通常负责将乳酸转化为丙酮酸,从而进入正常的三羧酸循环产生能量。你可以把它想象成一个“清道夫”,负责清理细胞内堆积的乳酸废水。
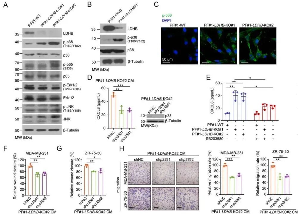
然而,在乳腺癌患者的 CAFs 中,LDHB 的表达往往显著下调,甚至完全缺失。这意味着“清道夫”罢工了,导致 CAFs 内部乳酸大量堆积。过去,科学家大多关注癌细胞自身的乳酸分泌,而李文化团队的研究则聚焦于这些辅助性的成纤维细胞,发现它们的代谢异常同样致命。

深度解析:从代谢异常到炎症爆发
当 LDHB 缺失后,CAFs 内部会发生一系列连锁反应,最终将其重编程为一种杀伤力更强的“炎性CAFs(iCAFs)”。具体机制如下:
- 乳酸堆积与信号激活:堆积的乳酸不仅仅是代谢产物,它还扮演了“信号分子”的角色。乳酸会破坏双特异性磷酸酶16(DUSP16)与 p38 蛋白之间的相互作用。
- 持续活化的p38通路:在正常情况下,DUSP16 是 p38 的“抑制开关”。由于乳酸的干扰,这个开关失效了,导致 p38 通路处于持续活化状态。
- 趋化因子CXCL8的大量分泌:持续活化的 p38 信号会指挥 CAFs 疯狂分泌一种名为 CXCL8(也称为白介素-8)的趋化因子。
这种以 CXCL8 高分泌为特征的炎症表型,就像是向癌细胞发出了“进攻信号”。CXCL8 能够直接增强乳腺癌细胞的侵袭力和迁移能力,让肿瘤变得极易扩散。简单来说,LDHB 的缺失撤掉了代谢上的“刹车”,引发了一场名为炎症的火灾,最终助长了癌细胞的疯狂蔓延。

临床意义:抗转移治疗的新曙光
这项研究的重大价值在于,它确定了 LDHB 是 CAFs 中的核心代谢调节因子,并揭示了代谢重编程如何转化为促转移的炎症信号。这为未来的精准治疗提供了多个潜在靶点:
1. 激活 LDHB 或逆转其沉默
由于部分乳腺癌患者中 LDHB 的缺失是由基因甲基化(即基因被“锁死”)导致的,使用去甲基化药物或通过基因治疗手段重新激活 LDHB 的表达,有望从源头上制止这种代谢紊乱。
2. 阻断 p38 信号通路
既然 p38 的过度活化是导致炎症和转移的直接原因,那么使用 p38 抑制剂(如在某些临床研究中探索的抑制剂)可能有助于抑制肿瘤微环境的“黑化”,从而限制转移。虽然目前此类药物在实体瘤中的应用仍在研究阶段,但该研究为其在乳腺癌中的应用提供了坚实的理论基础。
3. 中和 CXCL8 趋化因子
直接阻断 CXCL8 及其受体也是一种极具前景的策略。针对 CXCL8 的单克隆抗体或小分子拮抗剂可以阻断 CAFs 与癌细胞之间的“危险对话”,保护乳腺癌患者免受广泛转移的威胁。
患者启示:关注前沿研究与精准方案
对于正在与乳腺癌斗争的患者和家属来说,理解这些前沿研究虽然有一定的门槛,但它代表了医学的进步方向。传统的化疗往往侧重于杀死癌细胞,而这种基于微环境和代谢的研究,则旨在通过“改善土壤”来让癌症失去生存的基础。
目前,针对 p38 通路和 CXCL8 的相关靶向药物有些已进入早期临床试验阶段。患者在面临多线治疗耐药或晚期转移时,可以主动咨询主治医师,评估是否能够通过基因检测寻找相关的代谢标志物,甚至考虑参与匹配的全球新药临床试验,以获得更多的生存机会。
结语:让“救命指南”触手可及
武汉大学李文化团队的这项研究,再次证明了人类在攻克癌症转移难题上的坚定步伐。从代谢重编程到肿瘤微环境重构,每一个细微机制的破解,都可能转化为临床上的“救命药”。在MedFind,我们将持续关注全球最新的抗癌资讯与药物进展,致力于消除信息差。对于急需获取海外前沿药物或寻求全球专家问诊方案的患者,可以随时通过我们的平台获取专业支持。抗癌路上,您并不孤单。
参考文献
1. Li W, et al. LDHB Deficiency in Fibroblasts Induces Lactate-Mediated Inflammatory Reprogramming that Promotes Breast Cancer Metastasis. Cancer Research (2026). DOI: 10.1158/0008-5472.CAN-25-2792.
2. Sahai E, et al. A framework for advancing our understanding of cancer-associated fibroblasts. Nature Reviews Cancer (2020).
