对于无数被非小细胞肺癌(NSCLC)困扰的患者和家庭来说,肿瘤转移,尤其是远处转移,无疑是最大的噩梦,也是导致患者死亡的首要原因。当癌细胞从原发部位扩散到身体其他器官,五年生存率会骤降到令人心痛的5%左右。面对这样的困境,每一次医学研究的突破,都像是一束希望之光,照亮了患者寻求生机的道路。今天,我们将深入探讨一项来自上海中医药大学的突破性研究,它开发了一种革命性的“血管化肺肿瘤类器官芯片”,有望彻底改变我们对肺癌转移的理解,并加速抗转移药物的研发进程。
非小细胞肺癌转移:致命威胁与传统研究的局限
非小细胞肺癌在全球范围内都是发病率和死亡率最高的恶性肿瘤之一。其治疗的真正挑战,往往不是原发肿瘤本身,而是癌细胞的“搬家”能力——即肿瘤转移。癌细胞通过血液、淋巴系统扩散到骨骼、大脑、肝脏等其他器官,使得治疗变得异常复杂和困难。
长期以来,科学家们一直在努力寻找有效阻止或逆转肿瘤转移的方法。然而,现有的临床前研究模型,如传统的二维细胞培养(如Transwell侵袭实验)或简单的三维细胞球体,都难以真实、全面地模拟肿瘤转移过程中最关键的事件,特别是肿瘤细胞与血管之间的复杂“对话”。它们无法重现肿瘤细胞如何接触内皮细胞、如何穿透血管壁、如何进入血液循环。虽然动物模型能反映体内更复杂的环境,但要实时、微观地观察每一个癌细胞与血管的相互作用,就像在茫茫宇宙中追踪一颗微小的尘埃,难度极大。这些模型上的局限性,严重阻碍了抗转移药物的研发,让许多潜在的有效药物止步于实验室阶段。
革新性突破:血管化肺肿瘤类器官芯片的诞生
在这样的背景下,上海中医药大学交叉科学研究院的葛广波教授和郭兆彬研究员,携手阿德莱德大学的Chih-Tsung Yang研究员团队,在国际材料科学顶级期刊《Advanced Functional Materials》上发表了一项具有里程碑意义的研究成果——他们成功开发了一种名为“血管化肺肿瘤类器官芯片”(Vascularized Lung Tumoroid-on-Chip,简称VLTOc)的新型模型。这项创新不仅为抗肿瘤药物评估提供了一个前所未有的精准平台,更重要的是,它能够动态追踪肿瘤转移过程中一个至关重要的中间环节——“嵌合血管”的形成。
这项研究的突破性在于,它创造了一个高度模拟人体肺部微环境的体外系统,能够以前所未有的细节重现肿瘤细胞如何侵袭并“劫持”血管,形成混合了肿瘤细胞和内皮细胞的异常血管结构——嵌合血管。这种结构被认为是肿瘤远处转移的关键桥梁,也是预示患者预后不良的重要标志。
芯片模型的精巧设计与构建
那么,这个神奇的“血管化肺肿瘤类器官芯片”是如何构建的呢?研究团队巧妙地运用了微流控技术。想象一下,在一个比指甲盖还小的芯片上,他们用聚二甲基硅氧烷(PDMS,一种常见的生物相容性材料)构建了一个微观世界。首先,将预先培养好的肺癌类器官(可以理解为微缩版的肺部肿瘤)均匀分散在I型胶原蛋白凝胶中,然后注入芯片。待胶原凝胶化形成组织支架后,通过移除预埋的镍钛合金丝,在凝胶中央形成了一个精密的通道。随后,研究人员将人脐静脉内皮细胞(HUVECs)灌注到这个通道中,使其生长并形成一层具有完整屏障功能的微血管内壁。
这种精妙的配置,使得肺癌类器官能够与内皮细胞(构成血管内壁的细胞)直接接触,实现了肿瘤与血管之间最真实的交互界面。更值得一提的是,芯片内部还实现了连续的流体灌注,模拟了血液在血管中流动的生理剪切应力(4 dynes/cm²),这对于维持血管的生理功能和肿瘤类器官的稳定生长至关重要。这一切都旨在最大程度地模拟人体肺癌微环境的真实情况。


图1清晰展示了VLTOc模型的构建流程及其微观结构。通过这种精密的共培养系统,科学家们能够以前所未有的精度,动态观察肿瘤细胞如何侵袭血管并最终形成“嵌合血管”这一关键的转移前奏。
模拟真实生理环境:肿瘤类器官的稳定生长与血管通透性
一个好的模型,首先要能真实反映生物体的基本特征。研究团队在VLTOc中测试了三种不同肺癌细胞系(A549、H460、CTC-TJH-01)形成的类器官,发现它们在芯片中的生长动力学没有显著差异,这表明模型对不同来源的肺癌细胞具有良好的普适性。
更为关键的是,研究人员成功地在芯片上重现了肿瘤血管的一个重要特征——EPR效应(增强的渗透性和滞留效应)。简单来说,肿瘤区域的血管通常比正常血管更加“漏”,更容易让大分子物质(比如某些药物)渗透到肿瘤组织中,并且由于肿瘤组织淋巴回流差,这些物质更容易滞留在肿瘤内。实验结果显示,在肿瘤类器官存在的微血管,对70 kDa FITC-葡聚糖(一种模拟大分子物质)的通透性增加了约2倍,这完美地模拟了肿瘤血管的EPR效应,也暗示了为什么有些药物能够通过EPR效应更好地富集在肿瘤组织中,但同时,这种“渗漏”也为肿瘤细胞逃逸提供了便利。
此外,通过RNA测序(RNA-seq)技术(一种检测细胞内基因活性状态的方法),研究发现与传统的3D细胞球体相比,VLTOc中的肿瘤类器官激活了更多与肿瘤生长、转移和血管生成密切相关的基因,如PRRII、CDKI(肿瘤代谢)、MK167、CCN2(细胞增殖)、FLTI、MMPI(肿瘤转移)和CD93、ESMI(血管生成)。这表明VLTOc模型在基因表达层面上也更接近真实的肿瘤微环境,使其成为研究肿瘤生物学和药物作用机制的强大工具。

图2详细展示了VLTOc模型的验证结果,从肿瘤类器官的生长状态到微血管通透性的变化,以及基因表达的差异,都证明了该模型的高度生理相关性和准确性。
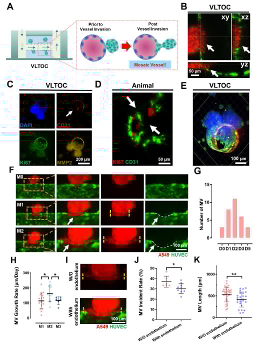
首次动态捕捉:肿瘤细胞侵袭血管“嵌合血管”的奥秘
这项研究最令人兴奋的成就之一,是在单细胞分辨率下,首次实时动态呈现了“嵌合血管”的形成过程。通过高精度的共聚焦显微镜三维重建,研究人员能够清晰地看到,红色的肿瘤细胞与绿色的内皮细胞如何交织生长,肿瘤细胞的“触手”如何伸入血管腔内,最终形成这种混合的嵌合血管结构。这种“现场直播”式的观察,为我们揭示了肿瘤转移初期最关键、最隐秘的步骤。
研究发现,有31%的微血管旁肿瘤类器官形成了嵌合血管,其中71%的形成发生在微血管建立后的前两天,这提示了转移过程的早期性和快速性。同时,Ki67(一种反映细胞增殖的标志物)和CD31(一种内皮细胞标志物)的共染色实验证实,在嵌合血管区域,不仅肿瘤细胞活跃,内皮细胞也呈现出增殖状态,这说明它们被肿瘤细胞“诱导”发生了变化。此外,MMP2(基质金属蛋白酶2)在肿瘤细胞和内皮细胞中均有表达,这种酶能够降解细胞外基质,为肿瘤细胞突破组织屏障打开通路,进一步提示内皮细胞在肿瘤侵袭过程中也扮演了“帮凶”的角色,发生了促侵袭的表型转变。

图3首次以惊人的细节展示了嵌合血管的形成过程,揭示了肿瘤细胞和内皮细胞在转移过程中的复杂互动,为理解肿瘤侵袭机制提供了直接证据。
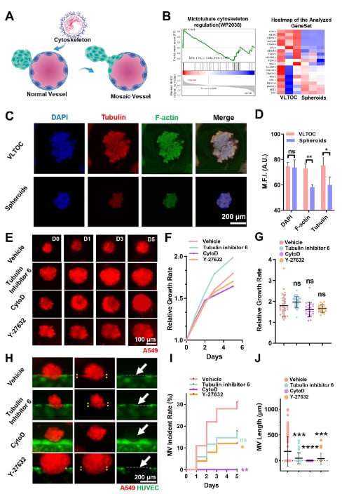
细胞骨架:驱动肿瘤转移的关键推手
既然嵌合血管的形成如此关键,那么它背后的驱动力是什么呢?研究团队通过基因集富集分析(GSEA)发现,在VLTOc模型中,与微管相关的通路显著上调。微管是细胞骨架的重要组成部分,就像细胞内部的“骨架”和“轨道”,对于细胞的形状维持、运动和分裂至关重要。这一发现提示细胞骨架的重塑可能在嵌合血管形成中扮演着重要角色。
为了验证这一推测,研究人员使用了多种细胞骨架抑制剂进行实验,包括微管蛋白抑制剂6(影响微管)、细胞松弛素D(影响F-肌动蛋白)和ROCK抑制剂Y-27632(影响肌动蛋白细胞骨架调节)。结果显示,尽管这些抑制剂并未显著影响肿瘤类器官自身的增殖,但它们都显著抑制了嵌合血管的形成率和扩张速度。其中,F-肌动蛋白抑制剂几乎完全消除了嵌合血管的形成。这强有力地证明了细胞骨架,尤其是F-肌动蛋白的重塑,是驱动嵌合血管形成的关键机制。这一发现为开发靶向肿瘤-血管相互作用、阻止肿瘤转移的新型药物提供了全新的靶点和思路。

图4的数据清晰地展示了细胞骨架在嵌合血管形成中的核心作用,为未来的抗转移药物设计提供了重要的理论依据。
评估抗肿瘤药物的利器:精准筛选与毒性洞察
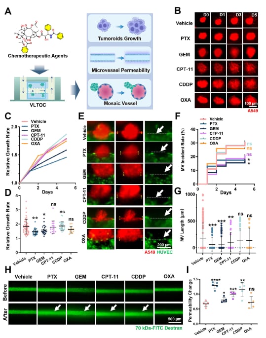
VLTOc模型不仅能深入解析肿瘤转移的机制,更重要的是,它被设计成一个高效、精准的抗肿瘤药物评估平台。传统的药物筛选往往只关注药物能否杀死肿瘤细胞,但VLTOc能够同时评估药物的抗肿瘤活性、抗转移潜力以及对健康血管的毒性,为药物研发提供了更全面的视角。
临床化疗药物的芯片验证
为了验证模型的药物预测能力,研究团队用五种临床常用的化疗药物进行了测试。结果显示,紫杉醇和吉西他滨能够显著抑制肿瘤类器官的生长,并有效减少嵌合血管的形成。而顺铂、伊立替康和奥沙利铂则对肿瘤类器官生长和嵌合血管形成没有显著影响。这种差异反映了不同药物的作用机制和特异性,也提示VLTOc能够区分药物的抗肿瘤和抗转移效果。
值得注意的是,除了奥沙利铂,其他所有药物都显著增加了健康微血管的通透性。这意味着,虽然有些药物可能对肿瘤有效,但它们也可能对正常血管产生一定的毒性,导致血管屏障功能受损。VLTOc模型能够同时量化药物的抗肿瘤疗效和血管毒性,这对于药物研发来说至关重要,能够帮助科学家们筛选出既有效又安全的药物,避免传统模型中因片面性评估而产生的偏差。

图5的实验结果不仅验证了VLTOc在药物筛选方面的潜力,更揭示了药物可能存在的血管毒性,为临床用药提供了更全面的参考信息。
与临床数据和机器学习的深度融合
一个好的临床前模型,其结果应该能够与真实的患者数据相吻合。这项研究将VLTOc模型的结果与来自“癌症基因组图谱”(The Cancer Genome Atlas,简称TCGA,一个巨大的癌症患者基因组数据库)的患者数据进行了对比,并结合了机器学习算法。研究人员基于VLTOc中差异表达的基因,建立了一个包含11个基因的预后模型。令人惊喜的是,这个模型能够将患者分为高风险组和低风险组,对患者一年生存期的预测准确度(AUC)高达0.82,表现出优异的临床预测能力。
更重要的是,模型对药物敏感性的预测结果显示,嵌合血管(MV)扩张程度与Onco-predict算法预测的药物敏感性呈高度正相关(相关系数r=0.9828,P=0.0027),而且这种相关性远优于仅基于肿瘤生长指标的预测(r=0.727,P=0.1638)。这表明,通过VLTOc模型观察到的嵌合血管形成动态,能够更准确地预测患者对某种药物的反应,从而为个性化肿瘤治疗和精准医疗开辟了新的方向。

图6的数据对比有力地证明了VLTOc模型的临床相关性和预测价值,为将实验室成果转化到临床应用奠定了坚实基础。
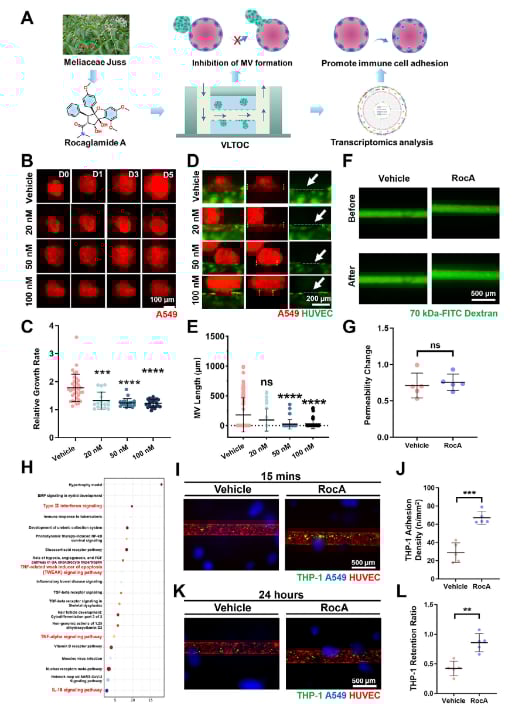
天然化合物Rocaglamide的机制研究与体内验证
VLTOc平台不仅能够评估已知药物,还能帮助我们深入理解新药物的作用机制,甚至发现新的抗癌分子。研究团队以天然化合物Rocaglamide(简称RoCA)为例,展示了VLTOc在机制研究方面的强大能力。
芯片上的初步探索
在VLTOc模型中,RoCA呈现出剂量依赖性地抑制肿瘤类器官生长和嵌合血管形成的效果。当浓度达到100 nM时,抑制效果最为显著。重要的是,在有效抑制肿瘤和转移的同时,RoCA并没有破坏微血管的屏障完整性,这表明它对健康血管的毒性较低,是一个有潜力的抗癌候选药物。
进一步的转录组学分析揭示了RoCA的作用机制:它能够激活II型干扰素信号、TWEAK信号和TNF-α信号通路。这些通路都与免疫反应和炎症密切相关,提示RoCA可能通过调节免疫系统来发挥抗癌作用。此外,免疫细胞粘附实验证实,经RoCA处理后,THP-1单核细胞(一种免疫细胞)在微血管壁上的稳定粘附显著增加。这意味着RoCA可能有助于招募免疫细胞到肿瘤部位,增强机体自身的抗肿瘤免疫力。

图7详细描绘了RoCA在VLTOc模型中的作用效果和潜在机制,展现了芯片在药物机制研究方面的强大功能。
小鼠模型中的体内验证
为了将芯片上的发现推向更可靠的结论,研究团队在A549荷瘤小鼠模型中验证了RoCA的体内效应。结果表明,当以2 mg/kg的剂量隔天给药14天后,RoCA能够显著抑制肿瘤生长,导致肿瘤体积和重量均显著降低。这与VLTOc模型中观察到的抗肿瘤效果高度一致。
更重要的是,免疫荧光染色显示,RoCA处理组小鼠肿瘤中的嵌合血管发生率显著降低,Ki67阳性增殖细胞减少,而CD45⁺免疫细胞(泛免疫细胞标志物)浸润增加。这些结果与VLTOc模型中的机制研究发现完美吻合,再次证实了RoCA不仅能直接抑制肿瘤生长和转移,还能通过增强免疫反应来发挥抗癌作用。同时,主要器官的H&E染色检查未见明显毒性,进一步支持了RoCA的安全性。体内外结果的高度一致性,极大地增强了VLTOc模型作为药物筛选和机制研究平台的可靠性。

图8展示了RoCA在动物模型中的抗肿瘤效果和对肿瘤微环境的影响,为RoCA作为潜在抗癌药物的开发提供了有力的体内证据。
展望未来:血管化肺肿瘤类器官芯片带来的希望
上海中医药大学团队开发的血管化肺肿瘤类器官芯片VLTOc,无疑为抗癌研究领域带来了革命性的进步。其核心创新和价值体现在以下几个方面:
- 精准重现肿瘤转移关键事件:VLTOc首次在体外模型中,以单细胞分辨率动态捕捉了嵌合血管的形成过程。嵌合血管是临床上已验证的不良预后标志,对其动态的实时观测,能够让我们更深入地理解肿瘤转移的奥秘。
- 揭示肿瘤转移新机制:研究通过芯片实验证实,嵌合血管的形成严重依赖于细胞骨架的重塑。这一发现不仅揭示了肿瘤侵袭血管的全新机制,也为科学家们开发靶向肿瘤-血管相互作用、阻止肿瘤转移的新型药物提供了明确的靶点。
- 多维度药物评估体系:VLTOc能够同时量化药物的抗肿瘤疗效、抗转移能力和对健康血管的毒性。这种多维度的评估体系,克服了传统模型片面性的缺陷,有助于更全面、更精准地筛选和评估潜在的抗癌药物。
- 高临床相关性与转化潜力:VLTOc模型的结果与TCGA患者数据和机器学习预测高度吻合,甚至在药物敏感性预测方面表现优异。同时,天然化合物Rocaglamide在芯片上的研究结果也得到了动物模型的高度验证。这充分证明了VLTOc模型具有极高的临床相关性和巨大的转化应用潜力。
MedFind深知癌症患者及家属在抗癌路上的艰辛与焦虑,我们致力于汇集全球前沿抗癌资讯、诊疗指南和药物信息,帮助患者了解最新的治疗方案和研究进展。这项血管化肺肿瘤类器官芯片技术,为抗转移药物的研发提供了高生理相关性、可量化、可实时观测的新工具,也为个性化肿瘤治疗和精准医疗开辟了新方向,预示着未来抗癌药物的筛选将更加高效、精准,有望将更多有效的抗转移药物带到患者身边。如果您正在为非小细胞肺癌的治疗而苦恼,或想了解更多前沿抗癌药物信息,MedFind可以提供AI辅助问诊服务,协助您了解国内外最新治疗方案,并提供抗癌药品跨境直邮服务,让您足不出户也能获得全球优质的抗癌药物,为您的抗癌之路增添一份力量和希望。
参考文献
A Vascularized Lung Tumoroid-on-Chip Model for the Accurate Assessment of Anti-Invasion Agents
