HER2阳性乳腺癌:多线治疗的希望与挑战
乳腺癌是女性最常见的恶性肿瘤之一,其中HER2阳性乳腺癌因其独特的生物学特性,曾被认为是预后较差的类型。然而,随着医学的飞速发展,特别是靶向治疗和抗体偶联药物(ADC)的问世,HER2阳性乳腺癌的治疗格局已发生翻天覆地的变化。越来越多的患者,即使面对晚期或复发转移,也能通过多线、个体化的治疗方案,实现长期带瘤生存,重获生活质量。本文将通过一个真实的病例,深入探讨一位65岁HER2阳性乳腺癌患者长达8年的抗癌历程,解析其多线治疗方案的选择、新药的应用以及专家对未来治疗趋势的洞见,旨在为广大患者和家属提供宝贵的参考信息,帮助大家更好地理解和应对HER2阳性乳腺癌的挑战。
什么是HER2阳性乳腺癌?
在深入探讨治疗方案之前,我们首先要了解什么是HER2阳性乳腺癌。HER2(人表皮生长因子受体2)是一种位于癌细胞表面的蛋白质,它像一个“信号接收器”,当它过度表达或基因扩增时,会不断接收生长信号,导致癌细胞快速分裂和增殖。这类乳腺癌通常恶性程度较高,进展迅速。但幸运的是,正因为HER2的“显眼”,科学家们得以开发出专门针对它的“靶向武器”,精准打击癌细胞,从而显著改善了HER2阳性乳腺癌患者的预后。
8年抗癌路:一位HER2阳性乳腺癌患者的治疗历程
这位65岁的女性患者,于2017年9月确诊为右乳浸润性导管癌,伴有右侧腋窝淋巴结肿大和胸壁皮下结节,属于局部晚期。免疫组化结果显示ER(+++)、PR(+++)、HER2(++),FISH检测证实HER2基因扩增,确诊为HR阳性、HER2阳性乳腺癌。患者还伴有高血压、冠心病、频发室性早搏等多种基础疾病,这为治疗带来了额外的挑战。
新辅助治疗(2017.9-2018.3):初战告捷,方案调整显智慧
患者最初接受了多西他赛、环磷酰胺、表阿霉素的化疗方案。然而,在治疗过程中出现了严重的IV度骨髓抑制(白细胞和中性粒细胞极低),并伴有发热,提示患者对该方案耐受性差。医生团队迅速调整策略,更换为靶向联合化疗方案:曲妥珠单抗(赫赛汀)联合多西他赛和卡铂(TCbHP方案)。曲妥珠单抗作为HER2靶向治疗的基石,能够精准阻断HER2信号通路。调整后的方案患者耐受性良好,肿瘤也得到了有效控制,右乳肿块从5.2cm缩小至2.8cm,为后续治疗奠定了基础。
一线维持治疗(2018.3-2018.8):兼顾心脏健康,内分泌治疗显效
由于患者的心脏功能问题(频发室性早搏),暂时无法进行手术。医生决定转为一线维持治疗,目标是控制肿瘤进展并改善心脏功能。第一阶段尝试了曲妥珠单抗联合卡培他滨,但患者出现重度呕吐,无法耐受。再次调整后,采用曲妥珠单抗联合内分泌药物来曲唑。内分泌治疗对于HR阳性乳腺癌患者尤为重要。经过5个月的治疗,肿瘤稳定(SD),心脏功能也得到明显改善,早搏次数显著下降。这体现了在治疗过程中,医生对患者整体状况的全面考量和个体化方案的灵活调整。
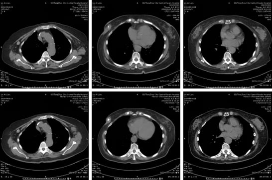
二线治疗(2018.8-2023.3):局部复发,靶向联合放疗精准打击
2018年8月,患者右乳下方出现多发皮肤结节,提示局部复发。此时,医生选择了全身靶向治疗与局部放疗相结合的策略。全身治疗方案为小分子酪氨酸激酶抑制剂(TKI)吡咯替尼联合内分泌药物氟维司群。吡咯替尼能够多靶点抑制HER2、EGFR等受体,进一步阻断癌细胞生长信号。局部放疗则针对复发病灶进行精准清除。经过治疗,皮肤结节明显缩小,红肿消退,疾病控制稳定,且无严重不良反应。这一阶段的治疗长达近5年,充分说明了多线治疗的有效性和患者的良好耐受性。
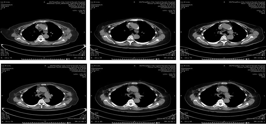
三线治疗(2023.3-2024.7):对侧乳腺新发病灶,双靶联合化疗再出击
2023年3月,患者左乳发现新发肿物及腋窝淋巴结肿大,经穿刺活检证实为左乳浸润性导管癌,同样是HER2阳性。考虑到患者年龄及基础疾病,她拒绝了手术。医生再次调整方案,采用了帕妥珠单抗、伊尼妥单抗双靶联合卡培他滨化疗。帕妥珠单抗是另一种HER2靶向药物,与曲妥珠单抗作用机制互补,形成双重阻断,能更有效地抑制HER2信号通路。伊尼妥单抗也是一种新型的HER2靶向药物。这一方案持续了10个周期,左乳肿物明显缩小,腋窝淋巴结也得到控制,评估为部分缓解(PR)。
四线治疗(2024.7-2025.2):ADC药物登场,恩美曲妥珠单抗显身手
2024年7月,患者因冠心病、房性早搏就诊心内科,治疗一度中断。待心脏问题稳定后,医生引入了抗体偶联药物(ADC)——恩美曲妥珠单抗(T-DM1)。ADC药物是一种“导弹式”的精准打击武器,它将靶向抗体(如抗HER2抗体)与高效化疗药物(如DM1)偶联,通过抗体识别癌细胞表面的靶点,将化疗药物精准递送至癌细胞内部,减少对正常细胞的损伤,从而提高疗效并降低全身性副作用。经过4个周期的T-DM1治疗,患者病情稳定(SD),仅出现轻度乏力、血小板减少,耐受性良好。

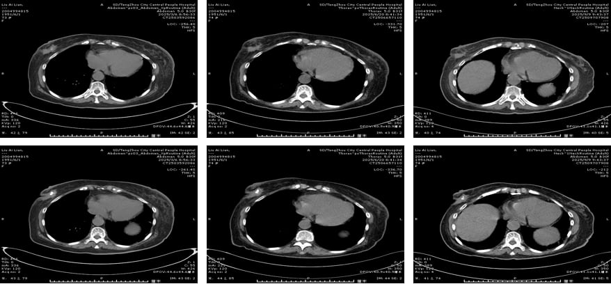
五线治疗(2025.3-至今):德曲妥珠单抗持续抗癌,疗效显著
2025年3月,患者开始接受目前最先进的ADC药物之一——德曲妥珠单抗(T-DXd)治疗。德曲妥珠单抗同样是ADC药物,它将抗HER2抗体与拓扑异构酶I抑制剂偶联,具有更高的药物抗体比(DAR),意味着每个抗体携带的化疗药物更多,且其化疗载荷在肿瘤微环境中释放后,还能穿透细胞膜,对周围的癌细胞产生“旁观者效应”,进一步增强抗肿瘤活性。截至目前,患者已接受9个周期的T-DXd治疗,左侧腋窝淋巴结较前变小,左乳不规则软组织密度范围缩小,病情持续稳定,且不良反应轻微,耐受性良好。这再次证明了新一代ADC药物在HER2阳性乳腺癌后线治疗中的卓越疗效和安全性。



专家深度解读:HER2阳性乳腺癌的治疗策略与未来
针对上述病例,多位医学专家进行了深入讨论,为我们揭示了HER2阳性乳腺癌治疗的最新进展和未来方向。
ADC药物的崛起:T-DM1与T-DXd
上海交通大学医学院附属同仁医院乳腺外科顾懿帆教授指出,该患者的成功治疗,很大程度上得益于治疗期间多种新药的陆续上市和医保政策的覆盖。特别是德曲妥珠单抗(T-DXd)在2024至2025年成为HER2阳性晚期乳腺癌治疗领域的“明星药物”。
DB系列研究:改变治疗格局
- DB03研究:这项研究将德曲妥珠单抗(T-DXd)与恩美曲妥珠单抗(T-DM1)进行了头对头对比。结果显示,对于前期使用过曲妥珠单抗或帕妥珠单抗出现耐药的患者,T-DXd已成为优选方案,其无进展生存期(PFS)和总生存期(OS)均显示出显著优势。PFS是指患者从治疗开始到疾病进展或死亡的时间,OS则是指患者从治疗开始到死亡的时间,这两个指标是衡量药物疗效的关键。
- DB04研究:该研究数据显示,对于Luminal型晚期乳腺癌HER2低表达患者,T-DXd也是一个很好的选择。这意味着即使HER2表达水平不高,T-DXd也能发挥作用,为更广泛的患者群体带来希望。
- DB09研究:这项最新研究在HER2阳性晚期一线乳腺癌治疗中取得了惊艳结果,T-DXd联合帕妥珠单抗可使PFS达到40个月。这预示着T-DXd有望从二线甚至后线治疗,逐步向前线甚至一线治疗推进,进一步延长患者的生存时间。
山东省肿瘤医院乳腺外科李超教授强调,不同的ADC药物,因其偶联载体、偶联比以及偶联药物的差异,疗效存在明显差别。T-DXd相较于其他ADC,在各线治疗及不同阶段均取得了不错的临床试验数据支持,值得在临床实践中逐渐应用。
HER2低表达患者的希望
南通大学附属肿瘤医院放疗科邰国梅教授提到,对于HER2低表达患者,以往医保适应症未涵盖抗HER2治疗,导致这部分患者的临床需求未被满足。但随着DB系列研究的推进,T-DXd等药物为HER2低表达患者带来了新的治疗选择,提高了治疗的可及性。
ADC与小分子TKI的选择考量
在晚期HER2阳性乳腺癌的二线治疗中,ADC药物(如T-DXd)与小分子TKI(如吡咯替尼)都是重要的选择。山东省肿瘤医院乳腺外科周正波教授指出,两者之间目前尚未开展大分子ADC与小分子TKI的头对头对比研究,因此在选择时需综合考量。
- 药物可及性与经济性:这是患者和家属首先要考虑的因素。
- 副作用谱:小分子TKI药物(如吡咯替尼)存在较为显著的腹泻风险,而T-DXd除了间质性肺炎外,其他不良反应相对较少,更易被患者接受。邰国梅教授分享的病例也印证了这一点:一位患者使用吡咯替尼时出现严重腹泻,后来改用T-DXd后未出现明显腹泻等副反应。
- 前期治疗史:如果前期新辅助或辅助阶段有小分子TKI应用且复发转移时间短,晚期阶段ADC可能更有优势;反之,若前期有ADC应用且复发转移时间近,则可能优先选择小分子TKI。
- 患者个体耐受性:医生会与患者充分沟通,根据患者的具体情况和偏好进行个体化权衡。
放疗与全身治疗的协同
邰国梅教授还从放疗科医生的角度强调了放疗在局部控制中的重要性。对于存在胸部寡进展或寡转移的患者,若需放疗,如何在降低放射性肺炎风险的同时保证疗效是关键。通过放疗技术进步、对正常组织保护的重视,以及寻找放射性损伤生物标志物,可以更好地实现局部治疗与全身治疗的协同,延长患者生存时间。
副作用管理:提升生活质量的关键
在长期的抗癌治疗中,副作用的管理至关重要,它直接影响患者的生活质量和治疗依从性。本病例中患者经历了多种副作用,但都得到了有效管理:
- 骨髓抑制:化疗的常见副作用,表现为白细胞、中性粒细胞、血小板下降,可能导致感染和出血风险增加。本例中患者初期出现IV度骨髓抑制,通过调整化疗方案得以改善。居家护理应注意避免感染,如勤洗手、避免去人多的地方、注意口腔卫生等。
- 脱发、恶心、呕吐:化疗常见副作用。脱发通常是可逆的,恶心呕吐可通过止吐药物有效控制。本例中患者初期出现I度恶心,后期卡培他滨导致重度呕吐,通过停药或调整方案解决。
- 腹泻:小分子TKI药物(如吡咯替尼)的常见副作用。可通过止泻药物(如蒙脱石散)、调整饮食(避免辛辣油腻、多渣食物)、补充电解质等方式缓解。
- 血小板减少:ADC药物(如T-DM1、T-DXd)可能引起。定期监测血常规,必要时可输注血小板或使用升血小板药物。患者应注意避免外伤,观察是否有皮肤瘀斑、牙龈出血等。
- 心脏毒性:部分靶向药物(如曲妥珠单抗)可能对心脏有影响,尤其对于有基础心脏病的患者。治疗前需评估心功能,治疗期间定期监测,出现症状及时告知医生。本例患者在治疗过程中出现频发室性早搏,医生及时调整方案并兼顾心脏功能,保障了治疗的顺利进行。
- 间质性肺炎:ADC药物(特别是T-DXd)的潜在严重副作用,虽然发生率不高,但需警惕。患者如出现咳嗽、气短、呼吸困难等症状,应立即就医。
患者和家属应与医生保持密切沟通,及时报告任何不适,以便医生评估并采取相应的处理措施。通过积极的副作用管理,可以最大程度地保障患者的治疗依从性和生活质量。
MedFind能为您做什么?
在HER2阳性乳腺癌的漫长抗癌路上,获取最新的药物信息、专业的治疗建议和可靠的购药渠道至关重要。MedFind致力于为癌症患者和家属提供全面的支持和服务:
- 抗癌药品代购与国际直邮:MedFind深知患者对创新药物的迫切需求。我们提供安全、便捷的海外购药渠道,确保您能及时获取到国内外最新上市的抗癌药物。
- AI辅助问诊:面对复杂的医学信息和治疗方案,MedFind的AI辅助问诊工具能帮助您快速理解病情、药物作用和潜在风险,为您提供个性化的初步咨询。
- 抗癌资讯和药物信息:MedFind平台持续更新最新的抗癌研究进展、药物信息和治疗指南,帮助您掌握前沿知识,做出更明智的决策。
我们希望通过专业、温暖、客观的服务,成为您抗癌路上的坚实后盾,与您一同战胜病魔。
结语
这位65岁HER2阳性乳腺癌患者长达8年的抗癌历程,是一个充满希望的典范。它不仅展示了现代医学在HER2阳性乳腺癌治疗领域的巨大进步,特别是以德曲妥珠单抗为代表的ADC药物所带来的突破性疗效,也凸显了多学科协作(MDT)、个体化治疗方案和全程管理的重要性。即使面对复杂的基础疾病和多次复发,通过医生团队的精准判断和患者的积极配合,依然能够实现长期带瘤生存,拥有高质量的生活。我们相信,随着更多新药的研发和治疗理念的更新,HER2阳性乳腺癌患者的未来将更加光明。如果您对文中的治疗方案或药物有进一步的疑问,或需要了解更多用药详情,欢迎随时咨询MedFind,我们将竭诚为您服务。
