亲爱的患者朋友和家属们,当癌症来袭,我们总在寻找更有效、更精准的治疗方法。放射治疗(放疗)作为重要的抗癌手段之一,在杀死癌细胞的同时,也常常让患者面临一个两难的困境:如何既能有效清除肿瘤,又能最大限度地保护身体的正常细胞,特别是那些对抗癌症至关重要的免疫细胞?今天,我们将深入解读一项来自北京大学的突破性研究,它揭示了一种名为硼中子俘获治疗(BNCT)的先进疗法,如何巧妙地解决了这一难题,为癌症患者带来了全新的希望。这项研究不仅为我们理解BNCT的作用机制提供了重要见解,也为未来的癌症治疗指明了新方向。MedFind致力于为广大癌症患者提供最新的抗癌资讯和药物信息,帮助大家了解前沿疗法,构建海外购药渠道。
传统放疗的困境:杀敌一千,自损八百?
在癌症治疗中,放疗就像一把双刃剑。它利用高能量射线直接破坏癌细胞的DNA,阻止其生长和分裂,从而达到缩小或清除肿瘤的目的。然而,这把剑在刺向癌细胞的同时,也难免会伤及无辜——周围的正常组织和免疫细胞。
- 免疫细胞的重要性: 我们的免疫系统是身体对抗疾病的天然防线,其中的T细胞、自然杀伤(NK)细胞、树突状细胞(DC)等,都是识别和清除癌细胞的关键力量。在放疗过程中,这些宝贵的免疫细胞往往对辐射高度敏感,容易受到损伤甚至被大量杀死。
- 高剂量与低剂量的矛盾: 医生们在临床上常常面临一个艰难的选择:如果使用高剂量放疗,虽然能更有效地杀死肿瘤,但免疫细胞的损失也会更大,可能削弱身体的长期抗癌能力;如果使用低剂量放疗,虽然对免疫细胞的损伤较小,但肿瘤控制效果又会大打折扣。这种“杀敌一千,自损八百”的局面,一直是传统放疗难以逾越的挑战。如何能在清除肿瘤的同时,又能保护并激活免疫系统,成为癌症治疗领域亟待解决的难题。
硼中子俘获治疗(BNCT)——精准“爆破”癌细胞的黑科技
在这样的背景下,硼中子俘获治疗(BNCT)作为一种新兴的、具有“单细胞精准杀伤”潜力的二元靶向放疗技术,受到了广泛关注。它被誉为癌症治疗领域的“黑科技”,有望打破传统放疗的困境。
BNCT的独特原理:靶向癌细胞的“微型核弹”
BNCT的治疗过程非常巧妙,可以简单理解为在癌细胞内部进行一场“微型核爆”:
- 硼药注射: 首先,患者会被注射一种特殊的含硼药物(如硼-10)。这种药物具有独特的“趋癌性”,会选择性地聚集在癌细胞内部,而对周围的正常细胞影响较小。
- 中子束照射: 随后,医生会用一种低能量的中子束对肿瘤区域进行照射。这种中子束本身对人体组织几乎没有伤害。
- 精准“爆破”: 当中子束遇到癌细胞内部聚集的硼-10原子时,会发生一种特殊的核反应,产生高线性能量转移(LET)的α粒子和锂离子。这些高能量粒子在癌细胞内部释放能量,其作用范围极短(仅为细胞直径的1-2倍),就像在癌细胞内部引爆了一颗“微型核弹”,精准地摧毁癌细胞的DNA和结构,而对紧邻的正常细胞和免疫细胞造成的附带损伤极小。
正是这种“肿瘤细胞精准爆破”的独特优势,使得BNCT在理论上被认为能够选择性地破坏肿瘤细胞,同时最大限度地保护肿瘤微环境中邻近的正常细胞与免疫细胞,成为一种兼具肿瘤清除与免疫细胞保护双重功效的新型放疗策略。
BNCT的临床应用现状与前景
令人振奋的是,BNCT在临床试验中已经展现出卓越的疗效,尤其对那些传统治疗方法难以奏效、无法手术的恶性肿瘤患者,如复发性头颈部癌、脑胶质瘤、黑色素瘤等。2020年,BNCT在日本获批用于局部晚期或复发不可切除头颈部癌的临床治疗,这标志着BNCT在癌症治疗领域迈出了重要一步。然而,尽管BNCT的临床前景广阔,其深层的放射生物学机制,特别是它如何保护免疫细胞并激活抗肿瘤免疫应答,仍未得到充分阐明。这限制了该疗法向主流临床应用的进一步推广。
北大研究的突破:BNCT如何实现“免疫细胞保护”与“强效抗癌”双赢?
为了填补这一研究空白,北京大学刘志博和曾泽贤教授团队在国际顶级期刊《自然通讯》(Nature Communications)上发表了一项重磅研究。这项研究通过严谨的实验设计,首次在体内直接证实了BNCT对免疫细胞的保护作用,并揭示了其诱导强效抗肿瘤免疫应答的免疫学机制。
实验设计与核心发现
研究团队在等效辐射剂量条件下,对比了BNCT与传统X射线照射对小鼠肿瘤模型中免疫细胞的影响。他们的核心发现令人惊喜:
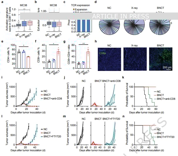
- 免疫细胞保护: BNCT对免疫细胞的活性影响极小,这意味着它在杀死癌细胞的同时,能够有效保护我们宝贵的免疫“战士”,使其免受传统放疗的损伤。
- 免疫原性死亡: BNCT能够触发肿瘤细胞发生“免疫原性死亡”。这是一种特殊的细胞死亡方式,癌细胞在死亡过程中会释放出多种“求救信号”,这些信号能够被免疫系统识别,从而进一步激活抗肿瘤免疫应答。
- 更强的抗肿瘤免疫应答: 最终,BNCT能够诱导产生比传统放疗更强大的全身性抗肿瘤免疫应答,形成长效的免疫记忆,有助于抑制肿瘤的复发和转移。
BNCT重塑肿瘤微环境,激活全身性抗癌免疫
为了更深入地理解BNCT如何发挥作用,研究团队还利用先进的单细胞转录组测序技术,对BNCT治疗后的肿瘤微环境进行了详细分析。结果显示:
- 树突状细胞(DC)增强: BNCT能够显著增强树突状细胞(DC)的抗原加工与提呈功能。DC细胞是免疫系统中的“侦察兵”,它们能捕获癌细胞释放的抗原,并将其呈递给T细胞,从而启动特异性免疫反应。
- T细胞活性提升: 研究发现,BNCT能显著增强CD8⁺T细胞的活性。CD8⁺T细胞是免疫系统中的“杀手”,它们能够直接识别并杀死癌细胞。研究还特别强调,CD8⁺T细胞是BNCT发挥肿瘤清除作用的关键效应细胞。
- 自然杀伤(NK)细胞细胞毒性增强: BNCT还能提升自然杀伤(NK)细胞的细胞毒性。NK细胞是免疫系统中的“第一道防线”,它们能够不分敌我地快速识别并清除异常细胞,包括癌细胞。


这些发现共同证实,BNCT不仅能直接杀伤癌细胞,更重要的是,它能够通过重塑肿瘤微环境,激活并增强患者自身的免疫系统,从而实现对肿瘤的持久控制。这为“免疫细胞保护是提升放疗疗效的核心机制”这一观点提供了坚实的理论依据。
BNCT的深远意义:为癌症治疗带来新策略
这项来自北京大学的最新研究,为我们深入理解硼中子俘获治疗(BNCT)的独特优势打开了一扇窗。它清晰地揭示了BNCT如何通过其精准的物理作用,在高效清除癌细胞的同时,巧妙地保护并激活了患者自身的免疫系统,从而诱导产生更强大、更持久的抗肿瘤免疫应答。
- 精准打击与免疫增强的结合: BNCT不再是简单的“以毒攻毒”,而是实现了“精准打击”与“免疫增强”的完美结合。它不仅直接消灭了癌细胞,更重要的是,它唤醒了患者体内沉睡的免疫“战士”,让它们参与到抗癌的持久战中。
- 未来治疗的潜力: 这一发现为BNCT与其他免疫疗法(如免疫检查点抑制剂)的联合应用提供了理论基础,有望进一步提升癌症治疗的整体效果。在未来,BNCT可能会成为多种癌症治疗方案中的重要组成部分,尤其对于那些传统放疗效果不佳或容易复发的肿瘤。
- 为患者带来新希望: 对于正在与癌症抗争的患者和家属来说,这项研究无疑带来了巨大的鼓舞。它意味着我们有了一种更智能、更温和、更有效的治疗选择,有望在提高治愈率的同时,最大程度地减少治疗带来的副作用,提升生活质量。
MedFind将持续关注BNCT等前沿抗癌技术的发展,并致力于为患者提供最新、最全面的治疗信息。如果您对BNCT或其他抗癌治疗方案有任何疑问,或希望了解更多关于海外购药渠道的信息,欢迎随时咨询MedFind,我们将竭诚为您服务,共同对抗癌症,点亮生命希望!
