什么是骨外骨肉瘤?一种“长错地方”的骨癌
当人们谈论骨肉瘤时,通常会联想到发生在骨骼系统内的恶性肿瘤。然而,有一种极为罕见的肿瘤,它的病理特征与骨肉瘤无异,却原发于骨骼之外的软组织中,这就是骨外骨肉瘤(Extraskeletal Osteosarcoma)。它是一种高度恶性的间叶源性肿瘤,其典型特征是肿瘤细胞能够产生肿瘤性的骨样组织、骨或软骨。这种“长错地方”的骨癌,因其罕见性和复杂性,给诊断和治疗带来了巨大挑战。
骨外骨肉瘤在所有软组织肉瘤中占比不到2%,在所有骨肉瘤中也仅占2%-5%,属于罕见病中的罕见病。了解它的特征、诊断方法和治疗策略,对于不幸罹患此病的患者和家属至关重要。下面,我们将通过一个真实的临床病例,带您深入了解这一疾病。
一个真实的病例:60岁男性腹壁的“不速之客”
一位60岁的男性患者,因发现下腹部出现一个逐渐增大的肿物已有两个月而前来就诊。这个看似普通的肿块,背后却隐藏着一个不寻常的诊断。
初步检查与发现
为了明确肿物的性质,医生首先为患者安排了B超检查。结果显示,在右下腹皮下探查到一个边界清晰、形态不规则的实性混合性肿块,大小约为59x53x39mm。超声提示性质待定,建议进行进一步检查以明确诊断。

B超影像显示皮下混合性肿块
随后,医生对肿物进行了手术切除。切除的组织标本大小为8x8x6cm,皮下肿物大小约为7x7x5.5cm。大体观察可见,肿物与周围组织界限清晰,切面呈灰白色,质地坚韧,并伴有出血灶。

病理学下的“真面目”
病理检查是肿瘤诊断的“金标准”。在显微镜下,这个肿物的复杂性才真正显现出来:
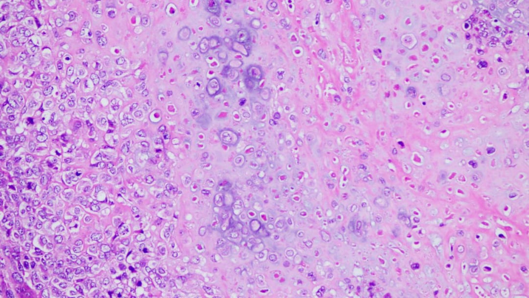
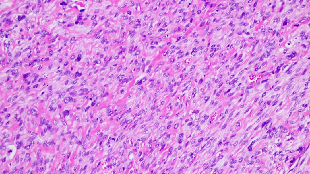
- 细胞形态多样:肿瘤组织由多种形态的细胞构成。大部分区域由交织分布的梭形细胞组成,呈现出纤维肉瘤样的外观;部分区域则呈现血管外皮瘤样结构;还有少部分卵圆形细胞围绕在骨样和软骨样基质周围。
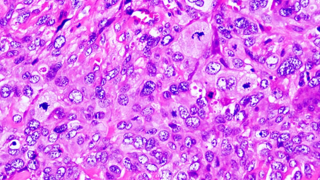
- 高度恶性特征:肿瘤细胞表现出高度的异型性,细胞大小不一,核深染,形态怪异。病理性的核分裂象(癌细胞分裂的标志)随处可见,这预示着肿瘤具有很强的增殖和侵袭能力。
- 关键诊断依据:最关键的发现是肿瘤组织中产生了花边状的骨样组织和软骨样基质,这是诊断骨肉瘤的决定性证据。此外,组织中还散在分布着破骨样多核巨细胞。

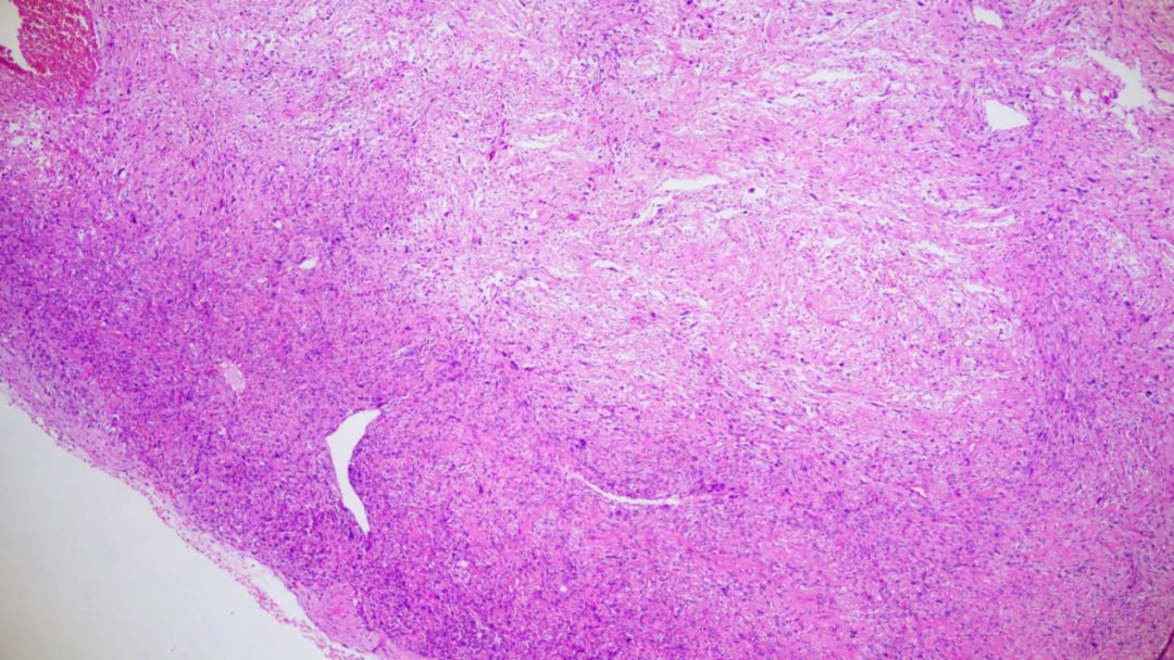
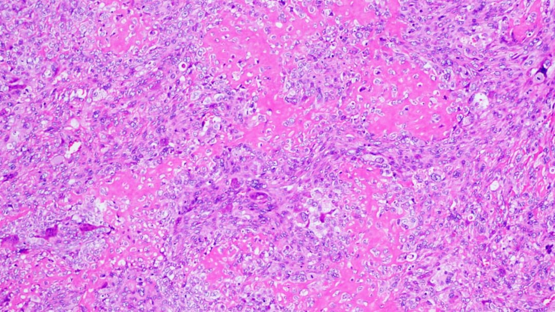
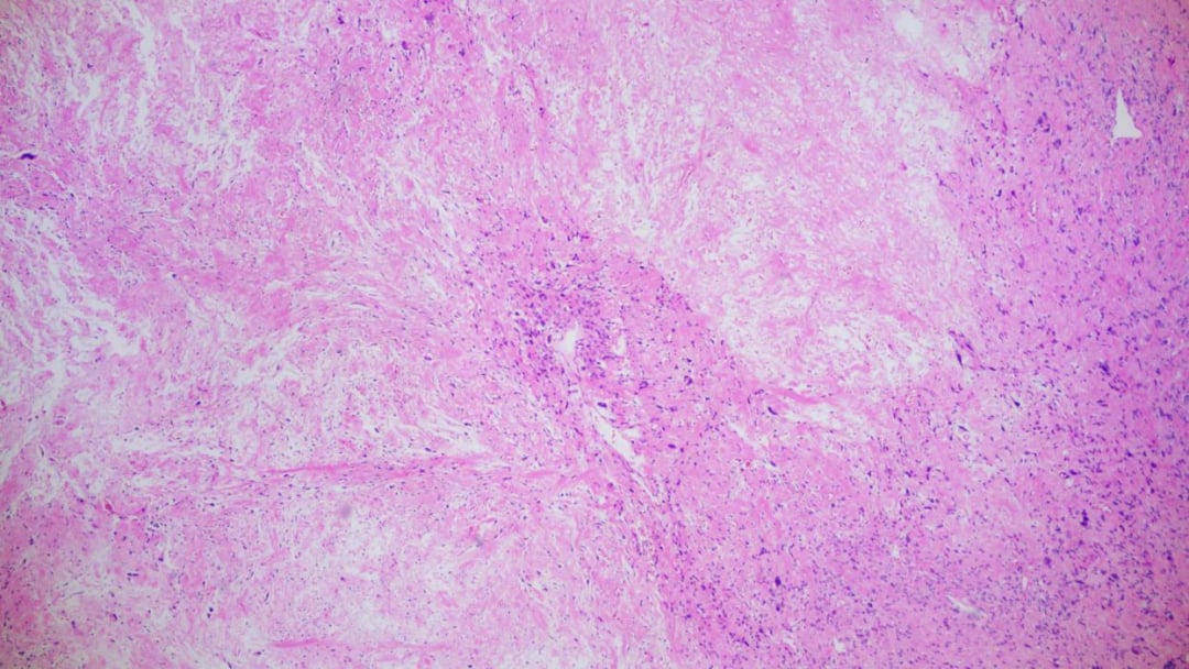
低倍镜下肿瘤边界较清晰

低倍镜下肿瘤疏密区相间

中倍镜下,肿瘤大部分区域呈梭形细胞纤维肉瘤样形态

中倍镜下可见花边状骨样组织

中倍镜下可见软骨样瘤组织

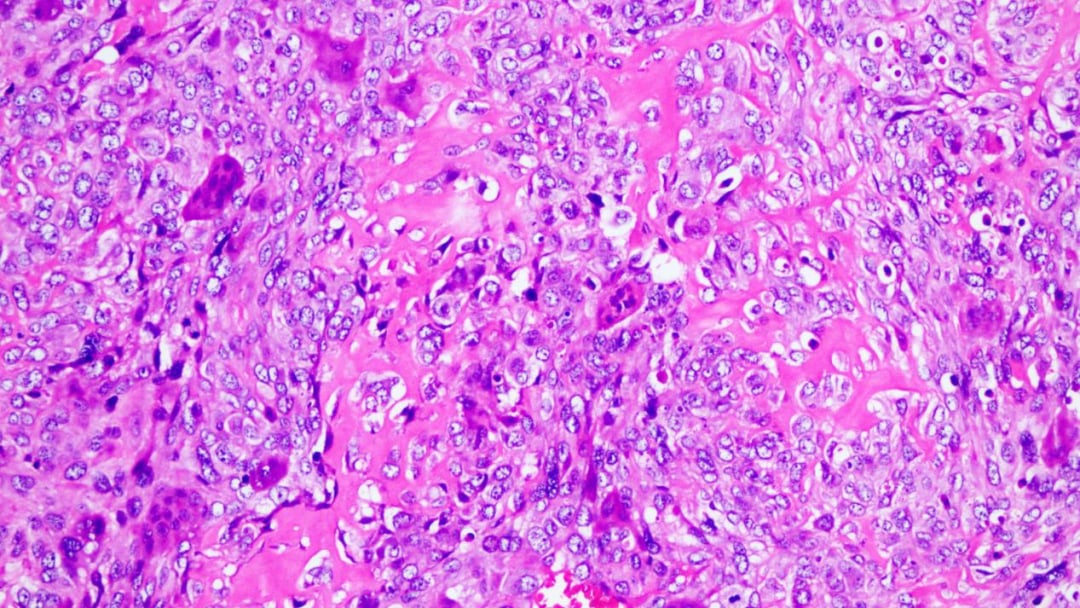
高倍镜下,可见骨样组织及破骨样多核巨细胞

高倍镜下,肿瘤细胞高度异型性,可见多个病理性核分裂象
免疫组化:锁定诊断的关键线索
为了进一步确认诊断并排除其他类型的软组织肿瘤,病理科医生进行了免疫组化染色。这项技术利用抗体来识别细胞表面的特定蛋白质(标志物),从而帮助判断肿瘤的来源和类型。
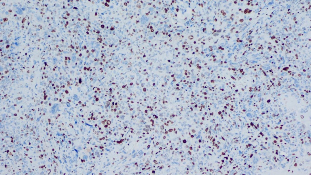
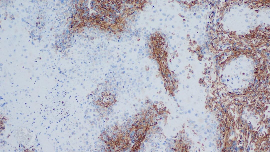
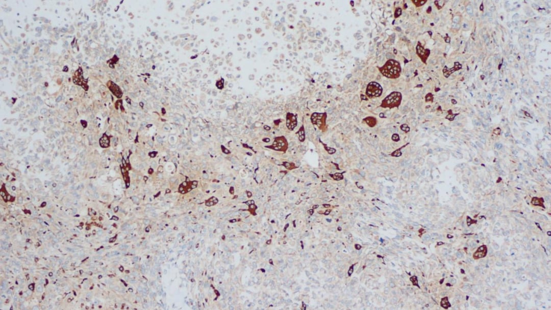
- SATB2(+):SATB2是成骨分化的关键标志物,其阳性表达强烈支持骨肉瘤的诊断。在本病例中,SATB2在成骨区域显著表达。
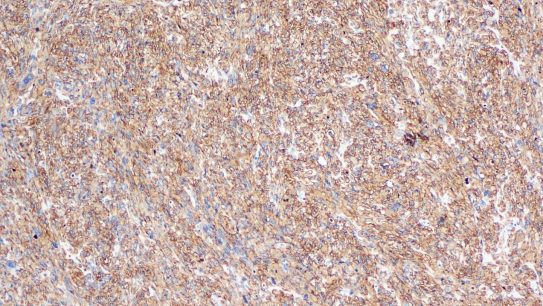
- SMA(+):SMA(平滑肌肌动蛋白)在纤维肉瘤样区域表达,反映了肿瘤的间叶源性特征。
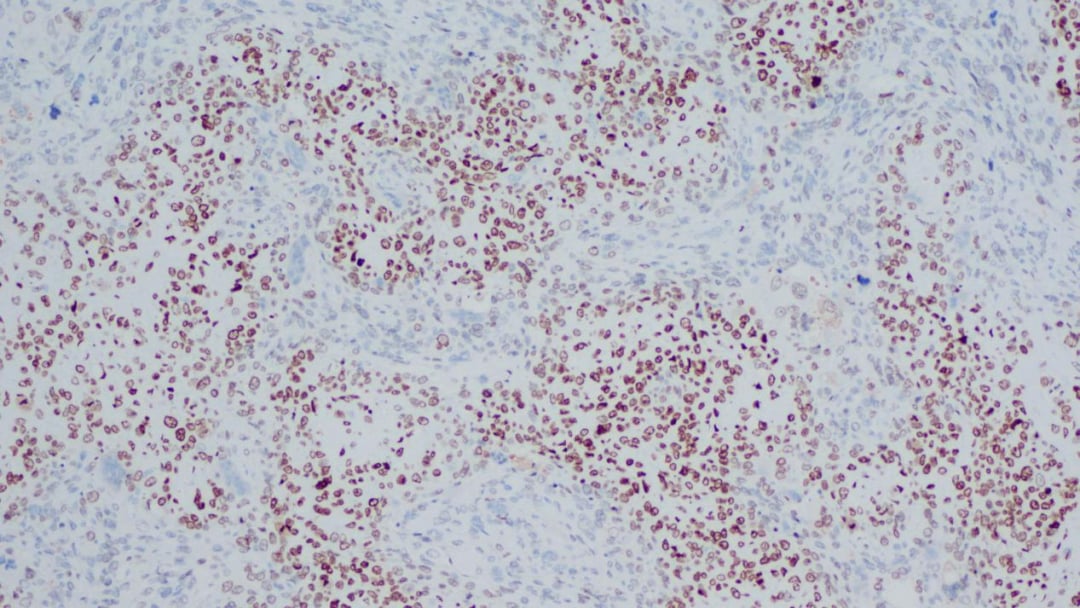
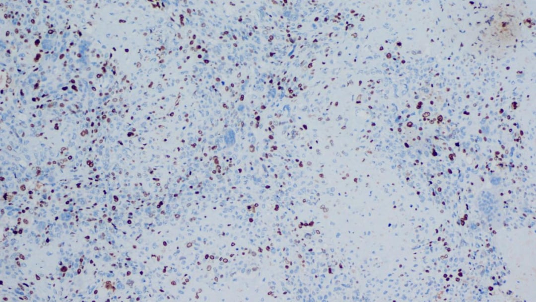
- Ki-67(约30%-50%+): Ki-67是细胞增殖的指标,其高表达率(30%-50%)再次证实了肿瘤的高速生长和恶性程度。
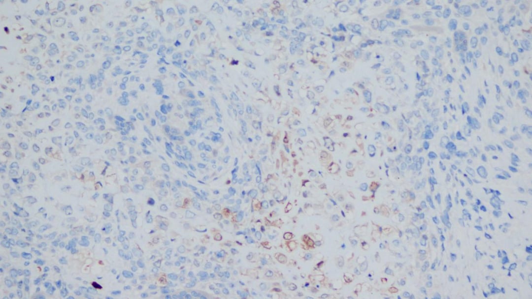
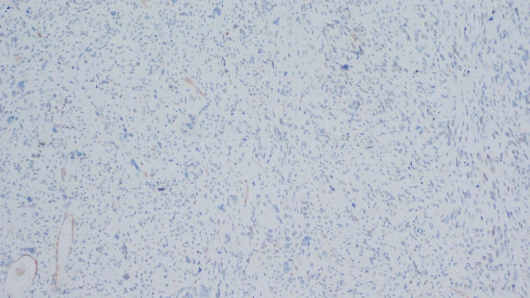
- 其他标志物:CD68在破骨样多核巨细胞中表达,而S-100在软骨样区域弱表达。同时,上皮标志物如CK-pan和EMA均为阴性,有助于排除癌源性的肿瘤。

SATB2在成骨区表达

SATB2在纤维肉瘤样区弱表达至不表达

SMA主要在纤维肉瘤样区表达

SMA在成骨区不表达

CD68主要在破骨样多核巨细胞表达

S-100在软骨样区弱表达

Ki67在纤维肉瘤样区高表达

Ki67在成骨区低表达
最终病理诊断:结合形态学和免疫组化结果,最终诊断为(下腹部肿瘤)骨外骨肉瘤。
全面解析:关于骨外骨肉瘤你需要知道的一切
临床特征与高危人群
骨外骨肉瘤的临床表现缺乏特异性,这往往导致早期诊断的困难。
- 发病年龄:主要发生于中老年人,平均发病年龄约为55岁,40岁以下的患者非常少见。
- 性别差异:男性发病率高于女性,男女比例约为2:1。
- 好发部位:最常见于四肢深部的大肌群,尤其是大腿肌肉,其次是腹膜后、臀部和肩部。少数情况下,也可发生于乳腺、肺、结肠等非常规部位。
- 主要症状:临床上通常表现为深部软组织内一个进行性增大的无痛或伴有轻微疼痛的肿块。当肿瘤体积巨大时,可能会压迫周围组织或导致皮肤破溃。
发病机制与诱因
骨外骨肉瘤的确切发病机制尚不完全清楚,但研究表明可能与以下因素有关:
- 放射治疗史:一个明确的风险因素是既往接受过放射治疗。部分患者在放疗区域内发生骨外骨肉瘤。
- 创伤史:约有10%-20%的患者报告肿瘤部位曾有过创伤史,但创伤与肿瘤发生之间的直接因果关系难以确定。
- 基因突变:最常见的遗传学改变是p53抑癌基因的突变,这破坏了细胞正常的生长调控机制,可能促进肿瘤的发生。
诊断与鉴别诊断
诊断骨外骨肉瘤的核心在于病理学检查,即在软组织肿瘤中找到肿瘤细胞直接产生的骨样组织或骨组织。然而,由于其形态多样,需要与多种其他可伴有骨化生(即在不该长骨头的地方长出骨头)的肿瘤进行鉴别,例如:
- 去分化脂肪肉瘤:这种肿瘤有时也会出现骨肉瘤样的区域,但通过充分取材,通常能找到高分化脂肪肉瘤的成分,并且其MDM2和CDK4基因扩增及蛋白表达是重要的鉴别点。
- 滑膜肉瘤、上皮样肉瘤等:这些肿瘤也可能出现局灶性骨化,但其骨化区域通常分化较好,缺乏骨肉瘤典型的细胞异型性和无序性。
- 骨化性肌炎:这是一种良性的反应性病变,通常有明确外伤史,镜下具有特征性的“环区现象”,中心为未分化的间质细胞,向外逐渐成熟为骨组织。
准确的鉴别诊断对于制定正确的治疗方案至关重要。对于复杂的病例,寻求多学科会诊或向经验丰富的病理中心咨询是必要的。如果您对诊断报告有疑问,可以考虑使用MedFind的AI问诊服务,获取专业的第二诊疗意见。
治疗方案与预后展望
骨外骨肉瘤是一种侵袭性强、预后较差的恶性肿瘤,治疗上需要采取积极的综合治疗策略。
治疗方法
1. 手术治疗:广泛性手术切除是治疗的基石。手术的目标是完整切除肿瘤,并保证切缘为阴性(即切除的组织边缘没有癌细胞残留),以最大限度地降低局部复发的风险。
2. 化学治疗:化疗是控制全身转移的重要手段。由于骨外骨肉瘤的生物学行为与骨内骨肉瘤相似,因此化疗方案也常参考后者,常用的药物包括多柔比星、顺铂、异环磷酰胺、甲氨蝶呤等。化疗可以在术前(新辅助化疗)进行,以缩小肿瘤、提高手术切除率;也可以在术后(辅助化疗)进行,以清除体内可能存在的微小转移灶。
3. 放射治疗:放疗主要用于手术切缘阳性或无法手术的患者,以控制局部病灶。对于某些部位的肿瘤,术前放疗也可以帮助缩小肿瘤,为手术创造条件。
预后情况
尽管采取了积极的综合治疗,骨外骨肉瘤的总体预后仍然不佳。它具有很高的局部复发和远处转移风险,最常见的转移部位是肺部。据统计,大多数患者在诊断后的2-3年内出现远处转移,5年生存率约为25%-40%。影响预后的因素包括肿瘤的大小、部位、组织学分级以及手术切除的彻底性。
面对严峻的预后,积极寻求规范化的治疗、探索新的治疗方案显得尤为重要。对于晚期或复发转移的患者,参加临床试验或尝试靶向治疗、免疫治疗等新疗法可能带来新的希望。在治疗过程中,获取可靠的药物信息和购买渠道至关重要。MedFind致力于为癌症患者提供全球最新的抗癌资讯和便捷的药品代购服务,帮助患者跨越信息和地域的障碍,获取最佳的治疗机会。
*本文内容(包括图片)整理自专业文献和临床病例分享,旨在提供疾病科普信息,不作为具体的医疗诊断或治疗建议。请务必在专业医师指导下进行诊断和治疗。
