肺转移癌治疗的困境与挑战
癌症的转移与复发是导致患者死亡的主要原因,而肺部作为最常见的转移器官之一,其治疗一直面临巨大挑战。尽管以CAR-T为代表的细胞疗法在血液肿瘤中取得了显著成功,但在应对实体瘤,尤其是肺部转移灶时,仍存在诸多瓶颈,如靶向性差、实体瘤浸润困难等。
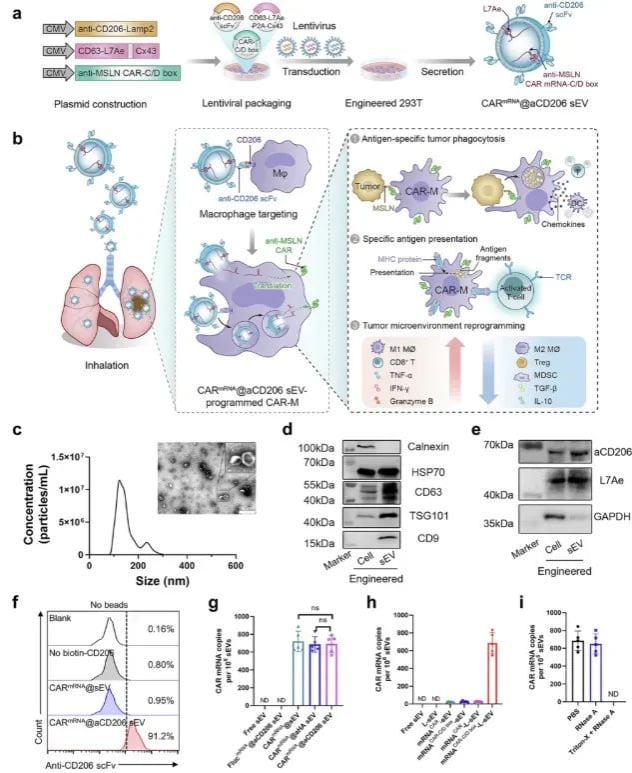
在此背景下,嵌合抗原受体巨噬细胞(CAR-M)疗法作为一种新兴的免疫治疗策略,备受关注。巨噬细胞具有强大的肿瘤浸润和吞噬能力,理论上是攻击实体瘤的理想“武器”。然而,传统的CAR-M疗法制备工艺复杂,且通过静脉注射后,大部分CAR-M细胞会被肝脏截留,难以高效抵达肺部病灶,限制了其临床应用。
创新吸入式疗法:精准“改造”肺内免疫细胞
为了攻克这一难题,黄曦教授团队独辟蹊径,设计了一种巧妙的“原位改造”方案。这项发表在国际顶尖期刊《自然·通讯》(Nature Communications)上的研究,详细介绍了一种创新的可吸入式基因递送系统。

该系统的核心是一种经过工程化改造的小细胞外囊泡(sEV)。研究团队在其表面整合了能够靶向巨噬细胞的抗体(抗CD206 scFv),并在其内部装载了编码CAR结构的mRNA。这种CAR结构能够特异性识别肿瘤细胞表面抗原——间皮素(mesothelin)。
当患者通过吸入方式给药后,这些被命名为“CARmRNA@aCD206 sEV”的微小囊泡能够高效地在肺部组织中富集,并精准地将CAR mRNA递送至肺部的巨噬细胞中。这一过程如同给肺内的巨噬细胞“装上导航和武器”,使其当场转变为具有强大抗癌能力的CAR-M细胞,直接在肿瘤微环境中发起攻击。
研究成果:有效抑制肿瘤并预防复发
在肺转移癌的小鼠模型中,这种创新的吸入式CAR-M疗法展现了卓越的治疗效果。研究结果显示:
- 有效抑制肿瘤生长: 经过改造的CAR-M细胞能够有效识别并吞噬表达间皮素的肿瘤细胞,显著抑制了肺部转移瘤的生长。
- 激发长效免疫记忆: 该疗法不仅能直接杀伤肿瘤,还能成功激活机体的适应性免疫反应,形成长效的免疫记忆,从而显著预防了肿瘤的复发。
- 延长生存时间: 接受治疗的小鼠生存时间得到显著延长,展示了该疗法巨大的临床应用潜力。
展望未来:细胞疗法的新篇章
黄曦教授团队的这项研究是细胞免疫治疗领域的一项重大突破。它通过“就地取材、原位改造”的创新思路,解决了传统细胞疗法在实体瘤治疗中的递送难题,为肺转移癌患者带来了全新的治疗希望。如果您对最新的癌症治疗方案或药物有任何疑问,可以尝试使用MedFind的AI问诊服务,获取专业的解答和建议。
这项安全、高效的吸入式给药方式,极大地推动了CAR技术在实体瘤治疗中的临床转化前景。虽然这项前沿技术距离广泛临床应用尚需时日,但它无疑为未来的肿瘤免疫治疗开辟了新的方向。关注MedFind抗癌资讯,我们将持续为您带来最新的科研进展。对于寻求当前已获批靶向药治疗方案的患者,可以访问我们的药品代购服务页面,了解更多选择。
