警惕!“子宫肌瘤”背后的罕见肿瘤
子宫肌瘤是女性最常见的良性肿瘤之一,但有时,酷似肌瘤的肿块背后可能隐藏着一种罕见的恶性潜能肿瘤——子宫炎性肌纤维母细胞瘤(IMT)。特别是其一种亚型,子宫平滑肌瘤样炎性肌纤维母细胞瘤(UL样IMT),因其在临床表现和组织形态上与普通子宫肌瘤高度相似,极易造成误诊。
IMT虽然大部分呈良性病程,但仍有约25%的复发风险和2%的转移可能。与普通平滑肌瘤不同的是,超过90%的子宫IMT携带ALK基因重排,这一分子特征不仅是鉴别诊断的关键,更意味着患者可能从靶向治疗中获益。因此,准确识别这种“伪装者”至关重要。

▲摘自《WHO(2020)女性生殖系统肿瘤分类》
病例深度解析:一例罕见的ALK::SYN3融合
近期,一名38岁的女性因月经量增多及子宫肿块增大入院,初步超声检查提示为子宫平滑肌瘤。然而,在腹腔镜手术切除肿块后,病理分析揭示了意想不到的结果。
病理特征:
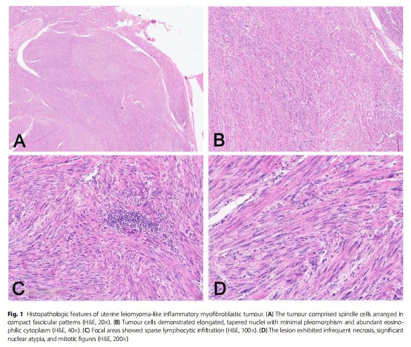
- 大体检查: 肿块切面呈灰白色,质地坚韧,具有漩涡状纹理,与典型肌瘤相似。
- 镜下检查: 肿瘤由短梭形细胞构成,排列成交叉束状,伴有少量淋巴浆细胞浸润,但缺乏黏液样基质。细胞异型性轻微,核分裂活性低。
- 免疫组化: 肿瘤细胞对平滑肌标志物(SMA、结蛋白)呈阳性,同时ALK(D5F3)蛋白也显示出阳性染色。

▲图1 子宫平滑肌瘤样炎性肌纤维母细胞瘤的组织病理学特征

▲图2 子宫平滑肌瘤样炎性肌纤维母细胞瘤的免疫组化
分子检测结果:
为了进一步明确诊断,医生进行了分子检测。荧光原位杂交(FISH)分析证实了ALK基因重排的存在。更深入的二代测序(NGS)技术精准地鉴定出一种极为罕见的融合类型——ALK::SYN3基因融合。这一发现最终将诊断指向了子宫平滑肌瘤样炎性肌纤维母细胞瘤(UL样IMT)。

▲图3 子宫平滑肌瘤样炎性肌纤维母细胞瘤的分子特征
基因检测:精准诊断与治疗的关键
该病例凸显了在诊断形态不典型的子宫梭形细胞肿瘤时,综合运用多种检测手段的重要性。据统计,UL样IMT的初始误诊率高达85%。
- 免疫组化(IHC): ALK蛋白染色是初步筛查的重要工具。
- 荧光原位杂交(FISH): 可明确是否存在ALK基因断裂重排,是区分IMT与平滑肌瘤的有力证据。
- 二代测序(NGS): 作为最全面的检测方法,NGS不仅能确认ALK重排,还能识别具体的融合伴侣基因(如本例中的SYN3),甚至在ALK阴性的病例中发现其他可靶向的基因融合(如PDGFRB, RET, ROS1),为患者寻找更多治疗可能。
面对复杂的病情和检测报告,患者和家属常常感到困惑。MedFind的AI问诊服务可以帮助您解读报告,了解更多治疗方案。

▲表1 所有已发表病例中子宫平滑肌瘤样炎性肌纤维母细胞瘤的临床和病理特征总结
UL样IMT的治疗与预后展望
准确的诊断直接关系到后续的治疗决策和患者预后。对于UL样IMT,手术切除是主要的治疗方法。然而,其诊断的核心意义在于揭示了潜在的靶向治疗机会。携带ALK基因重排的患者,可能从克唑替尼(Crizotinib)等酪氨酸激酶抑制剂(TKI)的靶向治疗中获益,尤其是在肿瘤复发、转移或无法手术的情况下。
尽管目前关于UL样IMT的长期预后数据有限,但通过精准的分子分型和风险评估,有望为患者制定更个体化的监测和治疗策略。总之,对于临床和病理上疑似子宫肌瘤但存在任何不典型特征的病例,进行包括ALK免疫组化和分子检测在内的全面评估,是避免误诊、指导治疗的关键一步。想了解更多关于ALK靶向药物的最新资讯和临床研究进展,可以访问MedFind抗癌资讯版块获取详细信息。
