导言:一例复杂的甲状腺癌病例
一名70岁女性患者因颈部淋巴结肿大及多发肺结节就医,最终被诊断为转移性甲状腺乳头状癌(PTC)。尽管经过了初步的分子检测,但常见的驱动基因如BRAF、RET等均未发现突变,这给后续的靶向治疗带来了巨大挑战。然而,一项关键的免疫组化检测(泛TRK)显示阳性,暗示了潜在的治疗机会。最终,通过结合DNA与RNA的全面基因组分析(CGP),研究人员成功鉴定出一种极为罕见的SQSTM1::NTRK3基因融合。这一发现不仅解开了该患者的致癌驱动之谜,也为她指明了新的治疗方向。
诊断之路:从常规检测到精准基因分析
甲状腺乳头状癌(PTC)是常见的内分泌系统恶性肿瘤,其治疗策略很大程度上依赖于对驱动基因的识别。对于这位患者,常规的BRAF V600E免疫组化检测结果为阴性,初步的分子检测也未能找到明确的靶点。这使得治疗一度陷入僵局。
然而,病理医生凭借组织学上的怀疑和泛TRK免疫组化的阳性信号,并未放弃寻找潜在靶点。他们决定采用更先进的检测手段——基于DNA和RNA的二代测序(NGS)。这一决策至关重要,因为仅基于DNA的检测panel可能因其局限性而错过罕见的基因融合事件。最终,RNA测序成功捕获了SQSTM1基因第5外显子与NTRK3基因第14外显子连接形成的融合转录本,证实了SQSTM1::NTRK3融合的存在。这一结果完美解释了泛TRK免疫组化阳性的原因,并确定了该融合是驱动肿瘤生长的关键因素。

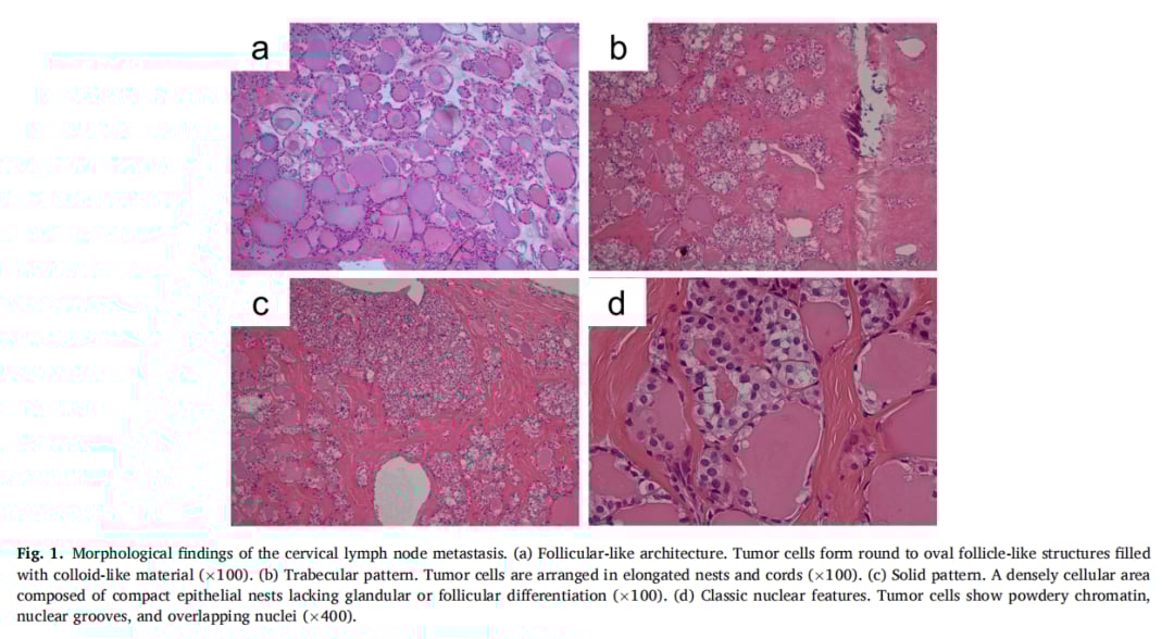
▲图1 颈部淋巴结转移的形态学结果
SQSTM1::NTRK3融合的治疗意义
NTRK基因融合是多种实体瘤(包括部分甲状腺癌)的致癌驱动因素,尤其在儿童或有放射史的甲状腺癌患者中较为常见,但在成人散发病例中则非常罕见。SQSTM1::NTRK3融合更是罕见中的罕见。
幸运的是,针对NTRK融合的靶向药物已经问世并取得了显著成功。这类药物被称为TRK抑制剂,其中最具代表性的是拉罗替尼(larotrectinib)和恩曲替尼(entrectinib)。它们能够精准地抑制由NTRK融合蛋白驱动的癌细胞生长,且在不同癌种中都显示出高效、持久的疗效。此前已有报道,携带SQSTM1::NTRK3融合的转移性甲状腺癌患者在接受拉罗替尼治疗后获得了部分缓解。如果您想了解更多关于拉罗替尼的价格和购买渠道,可以访问MedFind靶向药代购平台。
对于本案例中的患者,这一发现意味着她除了仑伐替尼之外,拥有了更精准、更具潜力的治疗选择。在面临复杂的治疗决策时,患者也可以利用MedFind AI问诊服务,获取专业的第二诊疗意见。

▲图2 免疫组织化学结果
对临床诊断的启示
这个病例为晚期甲状腺癌的诊断和治疗提供了宝贵的经验:
- 整合诊断的重要性: 结合组织病理学、免疫组化(如泛TRK筛查)和全面基因组分析是识别罕见可靶向基因变异的关键。
- RNA检测的价值: 对于怀疑存在基因融合但DNA检测阴性的病例,基于RNA的测序是不可或缺的补充,能有效避免漏诊。
- 组织样本保存: 妥善保存高质量的肿瘤组织样本(FFPE组织)至关重要,它为未来可能的回顾性、更先进的基因检测提供了可能。
结论
总而言之,本例罕见的SQSTM1::NTRK3融合甲状腺乳头状癌的成功诊断,凸显了在精准医疗时代,整合多种先进检测手段的巨大价值。它不仅为患者找到了潜在的有效治疗靶点,也再次证明了泛TRK筛查和全面的RNA测序在诊断流程中的重要作用。随着分子诊断技术的不断进步,越来越多的癌症患者将从个体化治疗中获益。更多关于甲状腺癌及其他癌症的最新诊疗信息,欢迎访问MedFind抗癌资讯获取。
