引言:鼻咽癌放疗的挑战与革新
鼻咽癌因其独特的解剖位置,紧邻脑干、脊髓、视神经等多个关键器官,其放射治疗一直是肿瘤学界公认的高难度挑战。如何在高效杀灭肿瘤细胞的同时,最大限度地保护周围正常组织,是治疗成功的关键。2018年发布的首个国际指南为全球鼻咽癌临床靶区(CTV)勾画提供了统一标准。然而,随着影像技术的发展和对肿瘤扩散模式认识的加深,更为精准、个体化的治疗策略成为可能。为此,汇集全球专家智慧的2024版国际共识指南应运而生,旨在进一步优化治疗方案,提升疗效并降低毒副作用。精准的放射治疗是鼻咽癌综合治疗的关键一环,常与化疗或靶向治疗联合应用以达到最佳疗效。了解最新的治疗进展对于患者至关重要,更多前沿的抗癌资讯,您可以在MedFind资讯中心找到。

新版指南的制定:汇聚全球专家共识
2024版指南的制定过程严谨而全面。研究团队首先对2008年至2023年间的相关文献进行了系统性回顾,筛选出70篇高质量研究。随后,一个由来自14个国家和地区的30位顶尖专家组成的委员会成立,通过多轮德尔菲调查法,对58个关键参数进行匿名投票和讨论,最终就大部分问题达成了共识或一致。这一过程确保了指南的科学性、权威性与全球适用性。
核心更新:诱导化疗后靶区勾画新策略
新版指南最显著的变化之一,是关于诱导化疗后肿瘤靶区的勾画建议。指南强烈推荐:
- 对于原发肿瘤和无淋巴结外侵犯的淋巴结,应基于化疗后的肿瘤体积进行勾画,处方剂量为70戈瑞(Gy)等效剂量。
- 对于伴有晚期淋巴结外侵犯的淋巴结,考虑到其较高的复发风险,则建议基于化疗前的肿瘤体积进行勾画,以确保充分的照射范围。
原发肿瘤临床靶区(CTVp)勾画要点
新指南对不同风险等级的原发肿瘤靶区勾画提出了更精细化的建议:
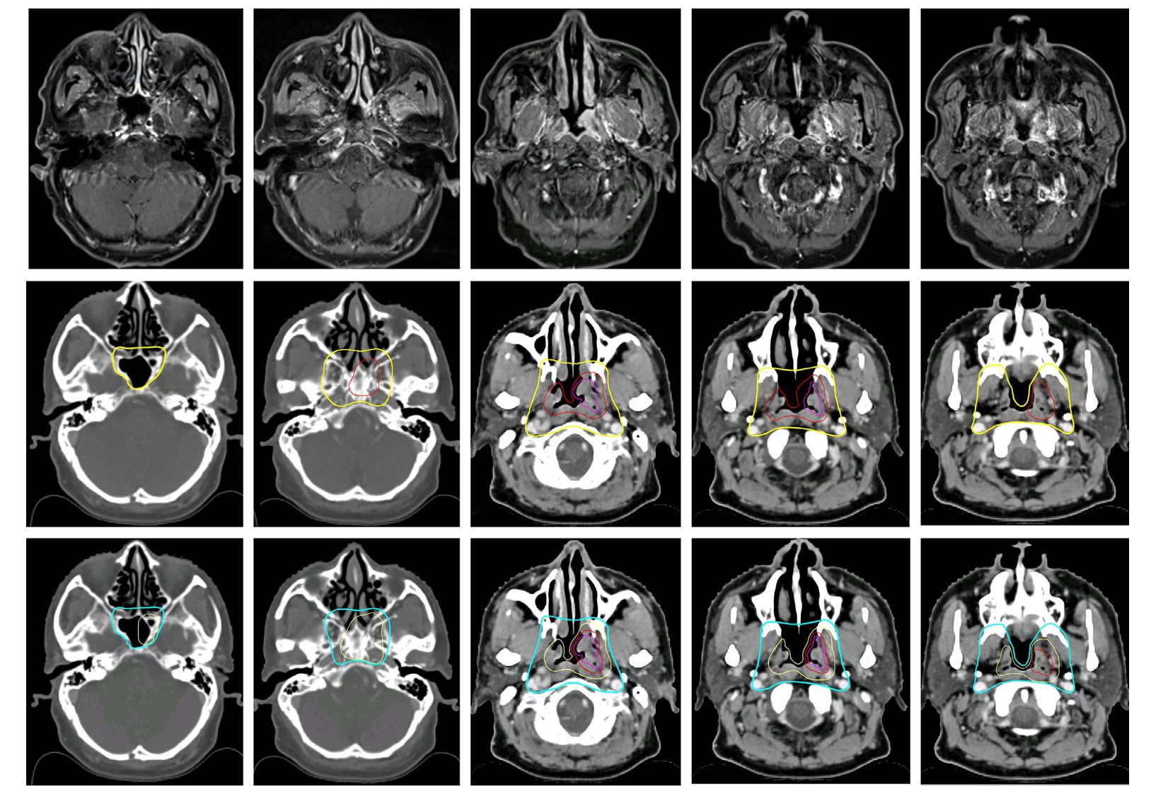
- 高危靶区(CTV-GTVp):即肉眼可见的肿瘤区域,处方剂量为70 Gy。关于其外放边界,专家意见存在分歧,因此指南提出了0-5毫米的灵活范围,允许各中心根据自身技术条件进行调整。
- 中危靶区(CTV1):处方剂量统一为60 Gy。其外放边界从过去的10毫米调整为8-10毫米,并强烈推荐将整个鼻咽部纳入此剂量水平的靶区。
- 低危靶区(CTV2):处方剂量为50 Gy。指南强调了“逐步考虑”和“选择性豁免”的理念,特别是对于单侧肿瘤,可以考虑豁免对侧部分结构的照射,以减少不必要的损伤。例如,对侧海绵窦、卵圆孔等区域在特定条件下可被豁免。

图1 T1偏侧肿瘤原发临床靶区的勾画
淋巴结临床靶区(CTVn)勾画要点
对于颈部淋巴结的靶区勾画,新指南同样进行了优化:
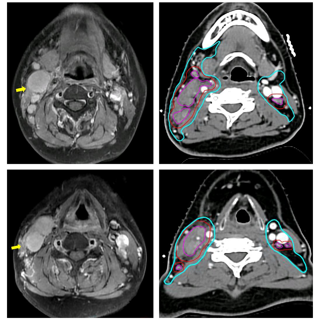
- 高危淋巴结靶区:对于无淋巴结外侵犯的患者,外放边界建议为0-5毫米;而对于有晚期淋巴结外侵犯的患者,则强烈推荐5-10毫米的外放边界,处方剂量为70 Gy。
- 可疑淋巴结:建议不设外放边界,处方剂量设定为60 Gy。
- 低危淋巴结靶区(选择性照射区域):处方剂量统一为50 Gy。指南明确了双侧咽后、II、III、Va区淋巴结仍需常规覆盖,而IV区、Vb-Vc区等则根据受累情况进行选择性覆盖。此外,指南还更新了部分淋巴结区域的解剖边界,如调整IV区前界以减少对甲状腺的照射。

图2 淋巴结临床靶区的勾画
新指南的意义与展望
2024版国际指南的发布,是鼻咽癌放射治疗迈向“精准化”和“个体化”的重要里程碑。它通过细化靶区勾画、降低选择性照射剂量,为安全地实施治疗减量提供了科学依据。然而,指南也指出其推荐主要基于亚洲非角化型癌的数据,在其他地区的适用性有待进一步验证。在制定复杂的治疗方案时,患者可以寻求多方意见。MedFind的AI问诊服务可以帮助您整理病情、理解治疗方案,为您的决策提供辅助。总体而言,这份指南不仅为临床实践提供了宝贵的参考,也为未来自动化勾画技术的发展奠定了坚实基础,将持续推动鼻咽癌放疗的标准化与规范化进程。
