食管鳞状细胞癌(ESCC),简称食管鳞癌,是我国高发的一种恶性肿瘤,占所有食管癌病例的90%以上。由于其恶性程度高、治疗手段有限,患者的五年生存率一直不甚理想,预后普遍较差。因此,寻找新的治疗靶点和策略,对于改善食管鳞癌患者的生存状况至关重要。
近期,一项发表在国际权威期刊《分子癌症》(Molecular Cancer)上的研究为我们带来了新的启示。研究人员发现了一种名为circLNF的新型环状RNA,它在食管鳞癌的发生发展中扮演了“加速器”的角色。

circLNF:食管鳞癌中的“隐形推手”
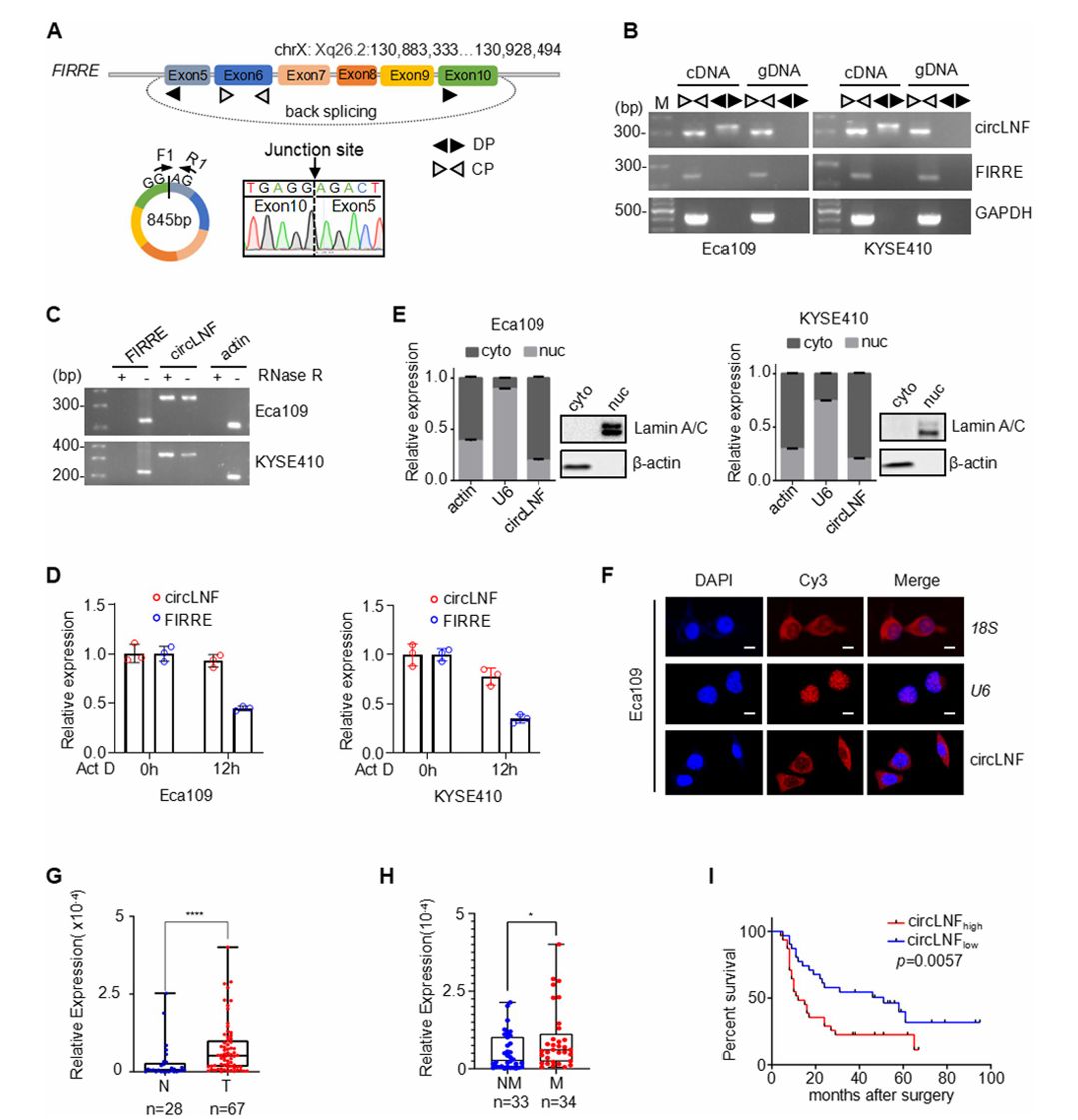
环状RNA(circRNA)是一类特殊的非编码RNA分子,因其稳定的闭环结构,在生命活动调控中发挥着重要作用。该研究团队通过深入分析发现,circLNF在食管鳞癌肿瘤组织中的表达水平显著高于癌旁正常组织。
更重要的是,circLNF的高表达与患者的淋巴结转移以及更短的总体生存期密切相关。这一发现表明,circLNF不仅参与了肿瘤的恶性进程,还可能成为一个预测食管鳞癌患者预后的潜在生物标志物。了解这些复杂的生物学机制,有助于患者更好地与医生沟通治疗方案。如有疑问,可以咨询MedFind AI问诊获取专业解答。

circLNF如何“作恶”?揭秘其促癌机制
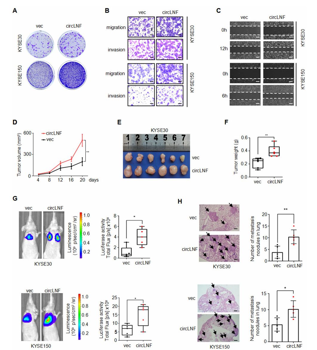
为了弄清circLNF在食管鳞癌中是如何发挥作用的,研究人员进行了一系列实验。结果证实,无论是在体外细胞实验还是在小鼠动物模型中,过量表达circLNF都能显著增强癌细胞的增殖、迁移和侵袭能力,促进肿瘤的生长与肺部转移。相反,当抑制circLNF的表达后,这些恶性行为则会受到明显遏制。
进一步的机制研究揭示了其背后的“阴谋”:
- 直接结合“帮凶”蛋白: circLNF能够通过其序列中的特定“CAUC”基序,像一把钥匙一样,直接与IGF2BP家族蛋白(包括IGF2BP1, IGF2BP2, IGF2BP3)这三个已知的促癌蛋白结合。
- 阻止“清道夫”工作: 在正常细胞中,一种名为TRIM25的E3泛素连接酶会像“清道夫”一样,标记并清除掉多余的IGF2BP蛋白。
- 稳定并放大促癌信号: circLNF通过与IGF2BP蛋白的结合,阻碍了“清道夫”TRIM25的识别和降解工作。这导致促癌的IGF2BP蛋白在肿瘤细胞内大量稳定存在,从而持续推动食管鳞癌的恶性进展。

临床意义与未来展望:circLNF能否成为新靶点?
总而言之,这项研究首次揭示了circLNF-IGF2BP-TRIM25这一全新的调控轴在食管鳞癌进展中的关键作用。它不仅加深了我们对环状RNA在癌症中作用机制的理解,更重要的是,为食管鳞癌的治疗提供了极具潜力的分子靶向治疗新靶点。
未来,针对circLNF或其下游IGF2BP蛋白开发靶向药物,有望为食管鳞癌患者提供一种全新的、更精准的治疗选择。虽然针对circLNF的靶向药尚未问世,但靶向治疗是癌症治疗的重要方向。患者可以访问MedFind抗癌资讯,随时了解最新的药物研发动态。对于目前已有成熟靶向药的患者,MedFind也能提供便捷可靠的海外靶向药代购服务,帮助患者第一时间获取前沿治疗方案。
