引言:认识胸膜间叶源性肿瘤
胸膜原发性间叶源性肿瘤是一类起源于胸膜组织的罕见肿瘤,种类繁多,其临床表现、病理特征和治疗方案各不相同。对于患者而言,获得准确的病理和分子诊断是制定有效治疗策略的基石。本文将系统梳理几种主要的胸膜间叶源性肿瘤,帮助患者和家属更好地理解这些复杂的疾病。
1. 孤立性纤维性肿瘤 (SFT)
什么是孤立性纤维性肿瘤?
孤立性纤维性肿瘤(SFT)是胸膜最常见的间叶源性肿瘤之一,但也可发生于肺、脑膜等部位。多数患者早期可能没有明显症状,部分患者会因肿瘤增大而出现咳嗽、胸痛、呼吸困难等。极少数情况下,SFT会引发低血糖等副肿瘤综合征。
病理学特征
SFT在外观上通常是边界清晰的实性肿块,大小不一。在显微镜下,其典型特征是肿瘤细胞疏密不均,排列成束状或片状,并伴有“鹿角状”的血管结构。根据肿瘤大小、细胞分裂活跃程度等指标,SFT可被分为低、中、高三个风险等级,这直接关系到患者的预后和复发风险。
诊断关键:免疫组化与分子检测
免疫组化检测在SFT的诊断中至关重要。STAT6蛋白的细胞核阳性表达是诊断SFT的“金标准”,具有极高的特异性和敏感性。分子层面,绝大多数SFT都存在特征性的NAB2::STAT6基因融合。此外,检测TERT启动子突变有助于评估肿瘤的侵袭性。

2. 钙化纤维性肿瘤 (CFT)
这是一种非常罕见的良性肿瘤,好发于胸膜,女性稍多见。CFT通常生长缓慢,无转移报道,预后良好。其镜下特征为密集的胶原纤维、稀疏的梭形细胞以及砂砾体样的钙化点。免疫组化上,CFT通常表达CD34,但不表达SFT的标志物STAT6。

3. 硬纤维瘤 (DT)
硬纤维瘤是一种具有局部侵袭性的纤维母细胞肿瘤,虽然不会远处转移,但容易在原位复发。当它发生在胸膜时,诊断需与其他梭形细胞肿瘤区分。其诊断线索包括:β-catenin (B-catenin)的细胞核表达和CTNNB1基因突变。准确诊断需要结合临床、影像、病理和分子检测结果。
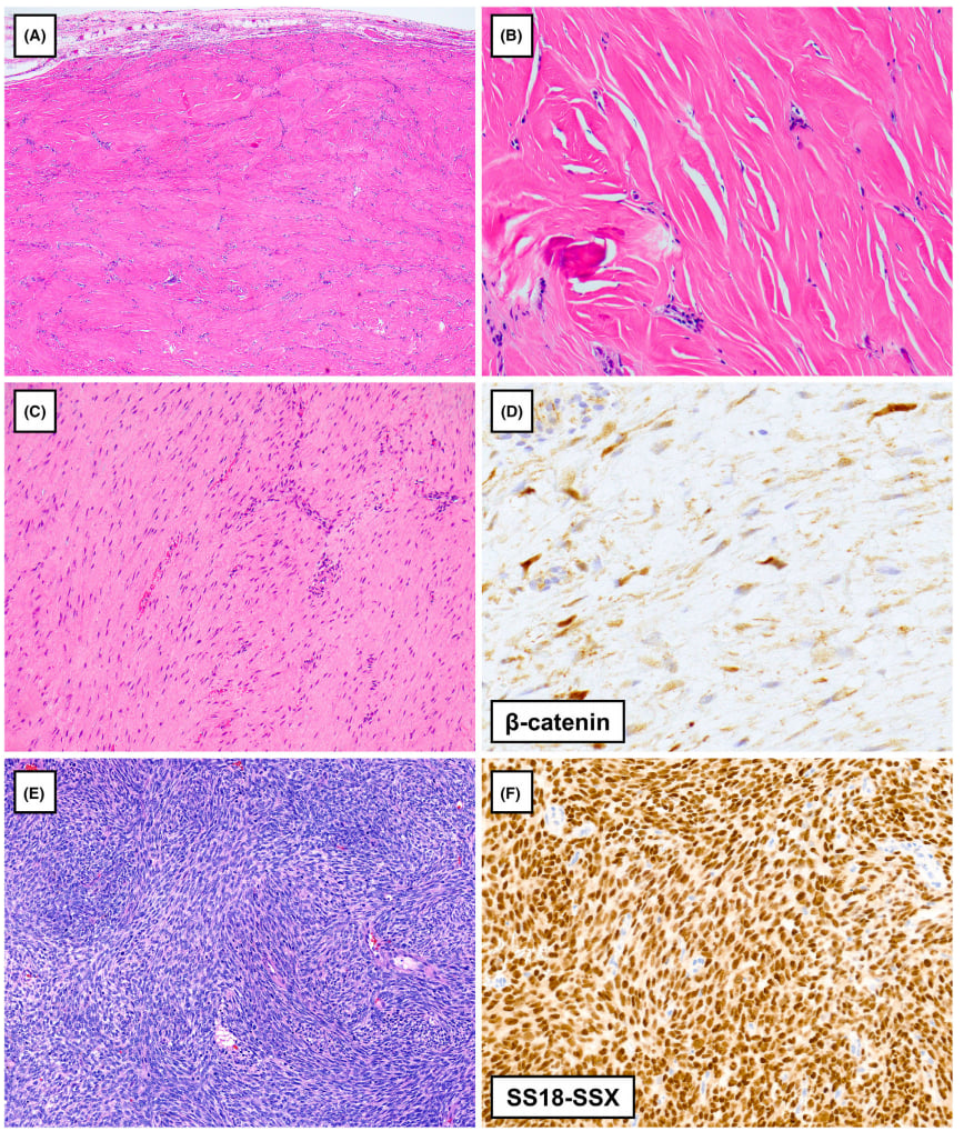
4. 滑膜肉瘤 (SS)
什么是滑膜肉瘤?
滑膜肉瘤是一种侵袭性较强的恶性肿瘤,尽管名字中带“滑膜”,但它可发生于身体任何部位,原发于胸膜的病例也时有报道。根据细胞形态,可分为单相型、双相型和低分化型。
诊断关键:免疫组化与分子检测
滑膜肉瘤的诊断极度依赖分子病理。特征性的t(X;18)染色体易位,导致SS18-SSX基因融合,是诊断滑膜肉瘤的决定性证据。针对这一融合蛋白的特异性抗体(SS18-SSX融合特异性免疫组化)检测,为诊断提供了高效且准确的工具。
5. 神经鞘瘤与恶性外周神经鞘肿瘤 (MPNST)
神经鞘瘤
神经鞘瘤是起源于神经鞘(Schwann)细胞的良性肿瘤,在胸腔内多见于后纵隔,原发于胸膜的较为罕见。其病理特征为高细胞区(Antoni A)和低细胞区(Antoni B)交替排列。免疫组化上,S-100和SOX10蛋白呈强阳性。
恶性外周神经鞘肿瘤 (MPNST)
MPNST是一种高度恶性的肉瘤,部分病例与I型神经纤维瘤病相关。其诊断标准较为严格,需要结合病史、组织形态和免疫组化结果。在免疫组化方面,H3K27me3表达的完全缺失是诊断MPNST的一个强烈提示。分子层面,常涉及NF1、CDKN2A等基因的突变。

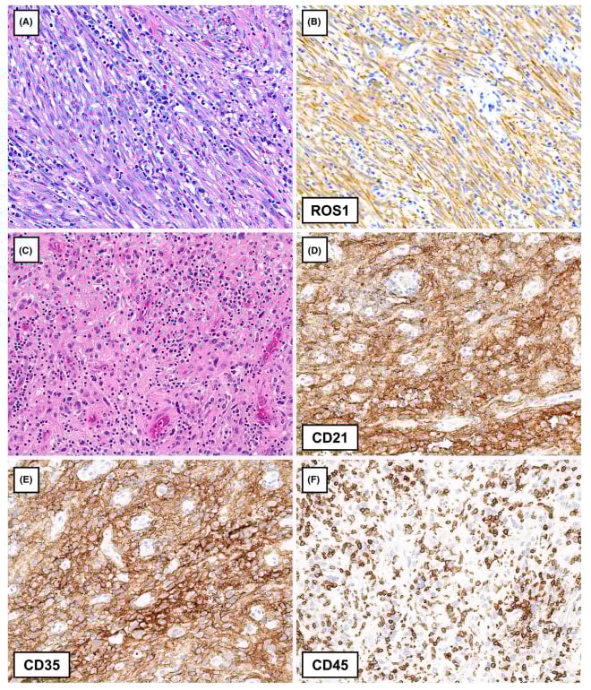
6. 炎性肌成纤维母细胞瘤 (IMT)
IMT是一种低度恶性潜能的肿瘤,特点是肿瘤细胞背景中伴有大量淋巴细胞、浆细胞等炎性细胞浸润。尽管多数IMT预后较好,但仍有复发和转移的风险。
诊断与治疗靶点
IMT的诊断和治疗价值在于其独特的分子特征。大约一半的病例存在ALK基因重排,其余病例可能涉及ROS1、NTRK3等基因融合。这些基因融合不仅是诊断的关键,更是精准靶向治疗的重要靶点。对于检测出这些融合基因的患者,使用相应的靶向药物(如ALK抑制剂、ROS1抑制剂、NTRK抑制剂)可能带来显著疗效。因此,对疑似IMT的病例进行全面的分子检测至关重要。

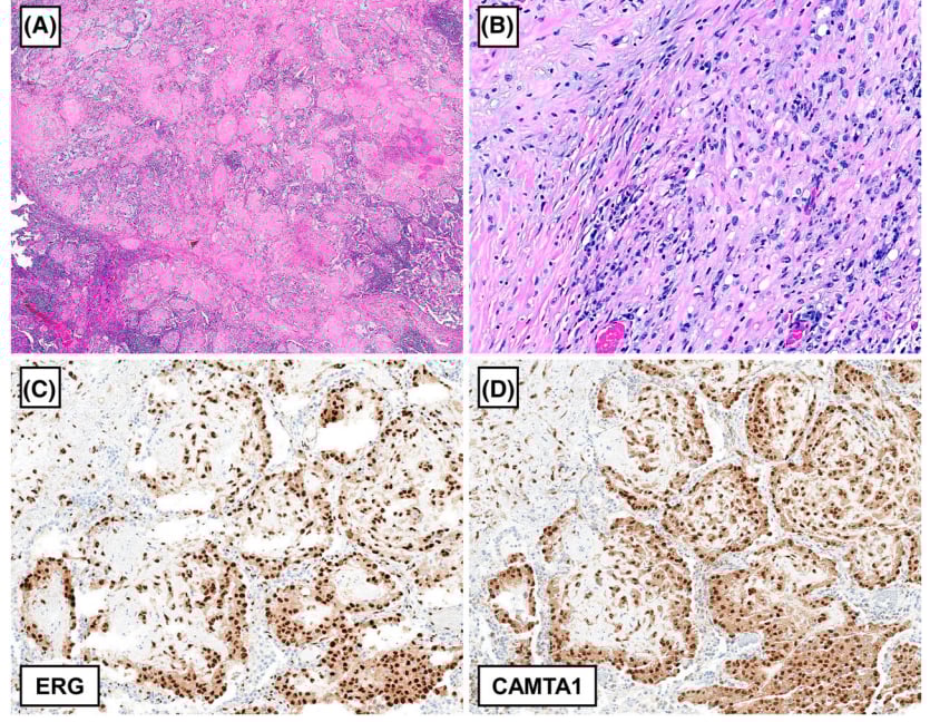
7. 其他罕见胸膜间叶源性肿瘤
- 滤泡性树突状细胞肉瘤 (FDCS): 一种罕见肉瘤,部分病例存在BRAF V600E突变,为靶向治疗提供了可能。
- 上皮样血管内皮瘤 (EHE): 一种罕见的恶性血管源性肿瘤,特征性分子改变为WWTR1::CAMTA1基因融合。
- 促纤维增生的小圆细胞肿瘤 (DSRCT): 一种高度侵袭性的恶性肿瘤,以EWSR1::WT1基因融合为特征。研究发现其可高表达雄激素受体(AR),提示AR可能成为其潜在的治疗靶点。


结语
胸膜间叶源性肿瘤的诊断是一项复杂且充满挑战的工作,它高度依赖于病理形态学、免疫组化和分子检测的综合分析。特别是分子检测,不仅能为部分肿瘤提供“一锤定音”的诊断依据,更能揭示如ALK、ROS1、NTRK、BRAF等潜在的治疗靶点,为患者的个体化精准治疗指明方向。如果您对特定基因突变的靶向药物价格、代购渠道或治疗方案有疑问,MedFind的专业团队和AI问诊服务将为您提供及时的信息和支持。
