在现代医学影像技术,特别是高分辨率CT的广泛应用下,肺结节的早期发现已成为可能,这为肺癌的早期诊断和干预提供了宝贵契机。然而,如何准确判断这些肺部异常的性质,尤其是区分其良恶性,始终是临床诊断中的一大挑战。恶性肺结节在CT影像上往往呈现出一些特有的征象。本文将详细解析九种常见的恶性肺结节影像学特征,帮助您更好地理解肺癌的早期诊断线索。
分叶征:恶性结节的生长印记
分叶征是指肺结节边缘呈现出不规则的、凹凸不平的分叶状轮廓,如同被雕刻的树叶。这种形态的形成,源于肿瘤内部生长速度的不均衡以及周围组织对肿瘤扩张的限制。根据分叶的深度,可细分为深分叶、中分叶和浅分叶。通常,弦弧距与弦长之比大于等于0.4为深分叶,小于等于0.2为浅分叶,介于0.2至0.4之间为中分叶。在恶性肺结节中,深分叶征的出现频率更高,是提示肺癌可能性的重要影像学标志。

毛刺征:肿瘤侵袭的放射状信号
毛刺征表现为肺结节或肿块边缘向周围肺实质伸展出多条细线状阴影,这些“毛刺”通常不与胸膜粘连,呈放射状排列,无分支,长短粗细不一。其病理基础可能包括病灶周围的小叶间隔水肿、小血管、小淋巴管、小气管被癌细胞浸润并阻塞扩张等。在恶性肺结节中,毛刺通常短而锐利,而良性病变如炎性结节或结核球的毛刺则可能相对细长且不规则。因此,毛刺征是鉴别肺癌的重要线索之一。

空泡征:结节内部的“气泡”警示
空泡征指在结节内部出现直径小于5mm的气体密度影或低密度影,这些“小气泡”可单个或多个存在,且在相邻的两个以上层面无法连续观察到。从病理角度看,空泡征可能代表肿瘤组织尚未完全侵犯的含气肺组织、未闭合或扩张的小支气管、乳头状癌结构间的含气腔隙,或是沿肺泡壁生长的癌组织未封闭肺泡腔,以及肿瘤坏死后形成的空洞。研究表明,空泡征在肺癌中的出现率显著高于良性结节,尤其在肺泡癌、腺癌和鳞癌中更为常见,是判断恶性肺结节的重要依据。

血管集束征:肿瘤的“营养”通道
血管集束征表现为一支或数支非小血管被牵拉,向病灶聚拢移位,并在病灶处中断或贯穿病灶。这是由于恶性肿瘤细胞会产生肿瘤生成因子,诱导新生血管形成,以满足其快速生长的营养需求。血供丰富的恶性肿瘤,其供血血管会代偿性增粗。尽管血管集束征并非肺癌所独有,但其出现强烈提示需要深入排查恶性病变的可能性。

胸膜凹陷征:胸膜被牵拉的信号
胸膜凹陷征,又称胸膜牵拉征,指脏层胸膜被病灶牵拉,呈现出喇叭状凹向肺内的形态。这通常是由于结节或肿块侵犯并牵拉脏层胸膜所致。不同病理类型的肺癌,如肺泡癌、腺癌、鳞癌和未分化癌,其引起胸膜凹陷征的程度和频率有所不同,这为侧面判断肺癌类型提供了一定线索。它是恶性肺结节的常见特征之一。

支气管截断征:气道被阻断的迹象
支气管截断征是指支气管因癌肿的侵蚀、破坏和占位,在CT影像上呈现出杯口状、平直或漏斗状的突然中断,远端肺纹理随之缺失。这是肺癌极具辨识度的CT征象之一。然而,需要注意的是,创伤性气管损伤、支气管闭锁、肺隔离症、支气管囊肿、支气管异物、支气管腺瘤等良性病变也可能出现类似表现,因此需要结合临床情况进行仔细鉴别。

磨玻璃成分:潜藏的“恶狼”信号
磨玻璃成分在CT影像上表现为肺内模糊的结节影,其密度较周围肺实质略增,但结节内的血管和支气管轮廓仍清晰可见。纯磨玻璃结节(pGGN)和部分实性结节(或称混合性结节,sGGN)都含有磨玻璃成分。大量研究表明,含有磨玻璃样成分的肺结节,尤其是部分实性结节,具有较高的恶性潜能,且不同磨玻璃成分比例的患者预后也各不相同。因此,对于这类结节,需持续密切关注其动态变化,警惕肺癌的可能。

蜂窝征:从磨玻璃到实性的演变
蜂窝征是指病灶内部密布着众多微小空泡,整体呈现出蜂窝状图案,通常为实性或倾向于实性密度。在早期,这类病灶常被误判为炎症。然而,随着研究深入,我们认识到这类病灶绝大多数具有恶性潜能,可能经历了从磨玻璃样改变向更致密实性病灶的演变。当部分区域尚未完全密实,呈现出类似蜂窝的外观时,这往往强烈提示黏液样癌的可能性较高。因此,对于具有这种独特影像学特征的病灶,应保持高度警惕,以便及时采取恰当的诊断与治疗措施,尤其是在肺癌的鉴别诊断中。

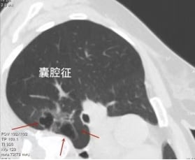
囊腔征:警惕囊腔型肺癌的伪装
囊腔征与空泡征不同,其内部空腔成分占据显著体积,远大于周围有形成分,初看易与肺大泡混淆。然而,囊腔征的壁部明显增厚,且常混杂有磨玻璃样成分,增厚不均匀,这与典型的薄壁肺大泡形成鲜明对比。因此,这并非简单的肺大泡,而是囊腔型肺癌的一种特殊表现。面对此类征象,细致入微的观察与准确的鉴别诊断至关重要,以确保及时识别潜在的恶性病变。

结语:综合评估,精准抗癌
综上所述,肺结节的恶性影像学征象识别是一个复杂而精细的诊断过程,它要求放射科医师具备敏锐的观察力和丰富的专业知识。从结节边缘的形态、内部密度的分布,到与周围组织的相互关系,每一个细节都可能成为判断结节性质的关键线索。随着影像技术的不断进步和人工智能辅助诊断系统的引入,我们对恶性肺结节的识别能力正在显著提升,为肺癌的早期发现和精准治疗开辟了更广阔的前景。然而,影像学检查虽是重要手段,但最终诊断仍需结合患者的临床病史、家族史以及必要的病理学检查进行综合评估,以确保诊断的准确性和治疗的有效性。对于确诊的肺癌患者,了解最新的治疗方案和靶向药信息至关重要。如果您在寻求海外靶向药代购或需要专业的AI问诊服务,可以进一步了解相关渠道,获取个性化的抗癌支持。
参考来源:
1.肺结节诊治中国专家共识(2024年版)
2.本溪市中心医院
3.1. MacMahon H, Naidich DP, Goo JM, et al. Guidelines for Management of Incidental Pulmonary Nodules Detected on CT Images: From the Fleischner Society 2017[J]. Radiology. 2017, 284(1): 228-243.
