引言:肝癌治疗的挑战与机遇
肝细胞癌(HCC)的治疗,尤其对于中期(如BCLC B期/CNLC IIb期)患者,常常面临挑战。如何在现有肝癌诊疗指南的框架下,结合患者的具体情况进行个体化治疗,甚至实现肿瘤降期转化,是临床实践中的重要课题。本文将通过一例真实的肝癌病例,探讨指南与实践的结合,特别是转化治疗的应用。
患者基线情况与诊断分期
患者郭某某,男性,66岁,因体检发现肝脏巨大占位(约8.1×11.6×10.8cm)就诊。
主要病史:
- 既往有高血压、糖尿病史10余年,规律服药。
- 否认肝炎病史,但检查提示HBsAg(+),HBV DNA为3.5×103IU/ml。
- 无吸烟、饮酒史。
体格检查:ECOG 0分,肝功能Child-Pugh A级(5分)。
肿瘤标志物:AFP 2.70μg/L(阴性),PIVKA-II 5280.86mAU/mL(显著升高)。
影像学与病理:

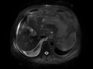
图1. PET-MRI 功能影像特征

图2. 超声造影声像特征
肝脏穿刺活检病理证实为肝细胞癌。

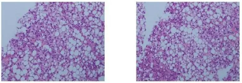
图3. 穿刺病理HE染色特征
诊断与分期:原发性肝细胞癌,BCLC B期 / CNLC IIb期。
病例特点与异质性分析
该病例具有以下特点:
- BCLC B期细分属于B2(肿瘤负荷大,超出米兰标准)。
- 影像学(PET-MRI)呈高摄取。
- 肿瘤标志物呈AFP阴性、PIVKA-II阳性模式。
- 病理提示可能合并非酒精性脂肪性肝病(NAFLD)背景(大量脂肪空泡)。
- 免疫组化:CK7(1+), Ki-67(5%+)。
- 无肝硬化背景,无大血管侵犯。
这些特征提示了该肝癌病例的异质性,可能涉及HBV与NALFD等多重病因。
治疗决策:指南建议与临床实践的考量
根据最新的国内外肝癌诊疗指南:

图4. 国家卫生健康委2024版指南建议

图5. BCLC 2024版指南建议
对于BCLC B期/CNLC IIb期肝癌,TACE(经动脉化疗栓塞术)是首选推荐。然而,国内指南也提供了手术和系统治疗选项,BCLC指南则对系统治疗是否优于TACE以及TARE(经动脉放射性栓塞)的可行性提出了疑问。
基因检测的必要性:指南对此未明确。但考虑到患者AFP阴性及可能的NAFLD背景,基因检测(如关注IL-17、TGFβ通路)或有价值。需要注意的是,此类HCC可能对单一免疫治疗反应不佳。若考虑免疫联合,双免或CAR-T可能是潜在方向。获取相关抗癌资讯有助于了解最新研究进展。

图6. NAFLD/NASH相关肝细胞癌的诊疗建议
治疗目标:鉴于患者无肝硬化、无大血管侵犯等相对有利因素,治疗目标设定为积极争取转化治疗,以期获得手术切除机会。但这并非意味着盲目堆砌多种治疗手段。
个体化序贯治疗方案详解
结合患者的多组学分析结果,医疗团队制定了如下个体化序贯治疗方案:
- TKI预处理:提前一周口服靶向药多纳非尼(Donafenib)。对于需要获取多纳非尼等靶向药物的患者,了解海外代购渠道和价格信息至关重要。
- 精准TACE:在TKI预处理后实施精细化TACE。
- SBRT巩固:TACE术后4周评估,随后进行SBRT(大分割放疗)。
- 免疫治疗介入:放疗结束后2周,联合PD-L1抑制剂。
- 转化手术:再次评估(4周后),确认达到转化标准,成功实施手术切除。
- 术后辅助:进入靶向(多纳非尼)联合免疫(PD-L1抑制剂)维持治疗阶段。

图7. 患者个体化的序贯治疗方案示意图
治疗效果评估与成功转化
经过上述多模式序贯治疗,患者肿瘤显著缩小,成功达到手术切除标准。

图8. 患者转化前MRI对比

图9. 患者转化后MRI对比
术后随访显示,患者目前处于无瘤状态,PIVKA-II指标逐步恢复正常。
术后管理与未来展望
患者目前接受靶向联合免疫的维持治疗。关于转化成功后是否可以停药,仍是肝癌治疗领域需要进一步探索的问题。对于复杂的病情和治疗决策,寻求专业的AI问诊或多学科团队的意见可能有助于制定更优化的后续管理策略。
结语:超越指南的个体化精准治疗
该病例的成功转化治疗展示了在遵循肝癌诊疗指南原则的基础上,根据患者个体特征(如AFP阴性、PIVKA-II阳性、可能的NAFLD背景)进行精准评估和多模式序贯治疗的重要性。这不仅需要医生对指南的深刻理解,更需要超越指南、勇于探索个体化治疗方案的智慧和勇气。获取最新的肝癌治疗资讯和药物信息,对于优化临床决策至关重要。每一个病例都是独特的,从患者身上学习,不断反思和优化治疗策略,是推动肝癌治疗进步的关键。
