近年来,健康饮食的理念深入人心,其中橄榄油凭借其“地中海饮食核心”、“有益心血管”等美誉,成为众多家庭厨房的常备品。然而,科学研究的进步总在不断刷新我们的认知。一项发表在权威期刊《Cancer Research》上的重磅研究,却给三阴性乳腺癌(TNBC)患者带来了新的思考:过量摄入橄榄油,可能不仅无益,反而会促进肿瘤向肺部转移。这一发现无疑为我们敲响了警钟,提醒我们健康饮食绝非“一刀切”,而是需要根据个体情况和疾病类型进行精准选择。本文将深入剖析这项研究的来龙去脉,揭示橄榄油“双面性”背后的科学机制,并为广大三阴性乳腺癌患者及家属提供最前沿、最实用的饮食建议,帮助大家在抗癌路上做出更明智的决策。
三阴性乳腺癌(TNBC):一个不容忽视的挑战
要理解橄榄油与肿瘤转移的关系,我们首先需要了解三阴性乳腺癌(Triple-Negative Breast Cancer, TNBC)。这是一种恶性程度高、进展快、易复发转移的特殊亚型乳腺癌。它的名字来源于癌细胞缺乏雌激素受体(ER)、孕激素受体(PR)以及人表皮生长因子受体2(HER2)的表达。这意味着,针对这些靶点的传统内分泌治疗和HER2靶向治疗对其无效,因此治疗选择相对有限,主要依赖化疗、免疫治疗和PARP抑制剂等。
TNBC的特点与治疗困境:
- 高侵袭性:TNBC肿瘤细胞通常具有较强的增殖能力和侵袭性,更容易发生早期转移。
- 易复发转移:与其他乳腺癌亚型相比,TNBC在治疗后更容易在短期内复发,并且肺、肝、脑是常见的转移部位。一旦发生转移,患者的预后将显著恶化。
- 治疗选择有限:由于缺乏特异性靶点,TNBC的治疗主要以全身化疗为主,近年来免疫检查点抑制剂和PARP抑制剂的获批为部分患者带来了新希望,但仍有大量患者面临治疗瓶颈。
- 肥胖与TNBC:长期以来,肥胖被认为是TNBC的重要风险因素。研究显示,肥胖女性患TNBC的风险比正常体重女性高出35%-50%,且转移和死亡风险会增加30%-40%。这提示我们,生活方式,尤其是饮食,在TNBC的发生发展中扮演着关键角色。
正是在这样的背景下,关于饮食因素如何影响TNBC进展的深入研究显得尤为重要,特别是像橄榄油这样被广泛认为是“健康”的食物。
颠覆认知!高脂饮食并非全然相同:橄榄油的“双面性”
传统的观念认为,高脂饮食可能通过导致肥胖进而增加癌症风险。然而,脂肪的种类繁多,不同的脂肪酸对人体和肿瘤的影响可能截然不同。这项由美国爱荷华大学研究团队进行的实验,正是为了揭示这一差异。
小鼠实验设计与惊人发现:
研究人员巧妙地设计了一组对比实验。他们将小鼠分为三组,分别喂食:
- 橄榄油高脂饮食:主要成分是橄榄油,富含单不饱和脂肪酸。
- 可可脂高脂饮食:主要成分是可可脂,富含饱和脂肪酸。
- 低脂饮食:作为对照组。
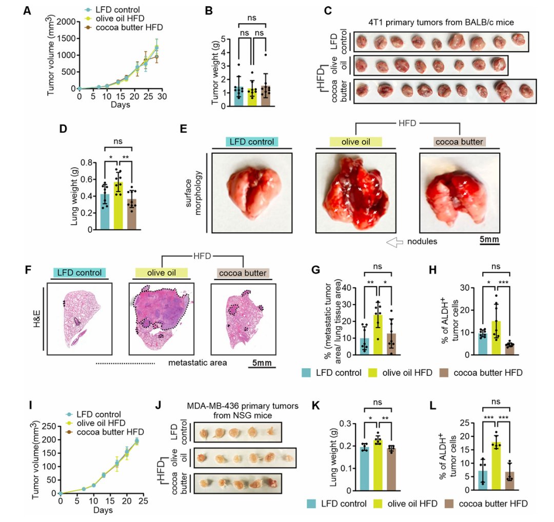
在持续4个月的喂养后,所有小鼠都成功地出现了肥胖。有趣的是,两组高脂饮食的小鼠在体重、内脏脂肪量、血糖和瘦素水平等传统肥胖指标上并没有显著差异。然而,当研究团队给这些小鼠植入TNBC肿瘤细胞后,意想不到的结果出现了:
- 只有喂食橄榄油高脂饮食的小鼠,出现了显著增强的TNBC肺转移。
- 通过病理切片观察,该组小鼠肺部的肿瘤结节数量更多、转移面积更大。
- 更令人担忧的是,这些肿瘤组织中代表癌细胞干性的醛脱氢酶(ALDH)活性明显升高,这预示着癌细胞的侵袭和扩散能力变得更强。
这项研究首次清晰地指出,并非所有的高脂饮食都以相同的方式影响癌症进展。即使都能导致肥胖,但橄榄油中的某些成分可能对TNBC的转移有着独特的“推波助澜”作用。这无疑是对我们现有健康饮食认知的重大挑战。

罪魁祸首浮出水面:橄榄油中的“油酸”
既然两种高脂饮食的结果天差地别,那么究竟是橄榄油中的什么成分在发挥作用呢?研究团队通过精密的代谢组学分析,最终将“罪魁祸首”锁定在油酸(Oleic Acid)上。
油酸的特点与促转移作用:
- 橄榄油的主要成分:油酸是橄榄油中最主要的脂肪酸,其含量通常高达70%以上,是橄榄油独特风味和健康特性的重要来源。
- 血清水平显著升高:研究发现,喂食橄榄油高脂饮食的小鼠,其血清中的油酸水平显著高于可可脂高脂饮食组,这是两种饮食组最核心的代谢差异。
- 直接促进癌细胞侵袭:进一步的体外实验证实,油酸正是促进TNBC转移的“元凶”。当研究人员直接用油酸处理4T1、MDA-MB-231等TNBC细胞时,发现癌细胞的侵袭能力显著增强。而饱和脂肪酸(如棕榈酸)则无法达到这种效果。
- 增强癌细胞“扩散能力”:油酸不仅促进癌细胞侵袭,还会导致癌细胞内脂质积累,并上调Bmi-1、Mmp9等与癌细胞侵袭和转移密切相关的基因表达。这些基因的激活,使得癌细胞拥有更强的“扩散能力”,能够突破组织屏障,进入血液循环,最终形成新的转移灶。
这项发现极大地深化了我们对饮食脂肪与癌症关系链条的理解。它不再停留在“高脂饮食有害”的模糊概念,而是精准指向了橄榄油中含量丰富的特定脂肪酸——油酸,及其在三阴性乳腺癌转移中的关键作用。

拨开迷雾:FABP5介导的“油酸-癌细胞转移”信号通路
油酸是如何进入癌细胞并启动一系列促转移过程的呢?研究团队通过深入探究,发现了一个关键的“中介”——脂肪酸结合蛋白5(FABP5)。正是这个蛋白,搭建起了油酸与TNBC转移之间的桥梁。
FABP5在TNBC中的独特作用:
- TNBC细胞中高表达:研究发现,与其他人乳腺癌亚型相比,TNBC细胞中FABP5的表达量显著更高。这一高表达特性,使得FABP5成为TNBC特有的一个重要分子。
- 油酸的“运输员”:油酸进入体内后,并非随意地进入癌细胞。它需要通过FABP5的“运输”才能被TNBC细胞有效吸收和利用。FABP5就像一个专门的载体,将油酸从细胞外运送到细胞内部。
“油酸-FABP5-PKC-ALDH”信号通路:
一旦油酸被FABP5运输进入TNBC细胞,便会启动一个复杂的信号通路,最终促进癌细胞的干性和转移能力。这个通路可以概括为:
- 油酸与细胞膜脂质整合:进入细胞的油酸会被整合到细胞膜的脂质结构中,从而生成二酰甘油(DAG)。
- 激活蛋白激酶C(PKC):二酰甘油(DAG)是激活蛋白激酶C(PKC)的关键分子。PKC是一类在细胞生长、分化和凋亡中发挥重要作用的酶,其异常激活常常与肿瘤的发生发展有关。
- 上调ALDH活性:被激活的PKC会进一步导致醛脱氢酶(ALDH)的活性显著上调。ALDH是一种特殊的酶,其高活性被认为是癌症干细胞的标志之一。癌细胞干性增强,意味着癌细胞具有更强的自我更新、增殖和抵抗治疗的能力,同时也更容易发生转移。
- 最终结果:这一系列的分子事件,即“油酸-FABP5-PKC-ALDH”信号通路的激活,最终显著增强了TNBC癌细胞的干性和转移能力。
关键证据:敲除FABP5可阻断转移:
为了进一步证实FABP5在这个通路中的核心作用,研究团队运用CRISPR基因编辑技术,特异性地敲除了TNBC细胞中的FABP5基因。结果令人振奋:
- 当TNBC细胞失去FABP5后,油酸再也无法有效地促进癌细胞的侵袭。
- 在小鼠模型中,敲除FABP5显著抑制了肿瘤的转移。
这一关键性发现,不仅完美地解释了油酸如何通过FABP5通路促进TNBC转移,也明确指出FABP5是这一过程中不可或缺的“开关”。
临床启示与患者指导:TNBC患者需谨慎对待橄榄油
这项研究的意义远不止于实验室的发现,它为三阴性乳腺癌的临床治疗和患者饮食管理提供了重要的指导。
FABP5高表达与TNBC患者预后:
研究团队在临床数据库中发现,TNBC患者的肿瘤组织中FABP5的表达水平显著高于其他乳腺癌亚型。更重要的是,FABP5的高表达与患者较差的预后密切相关——在多个临床数据库中,FABP5高表达的乳腺癌患者,总体生存率明显降低。这进一步印证了FABP5在TNBC进展中的重要作用,并提示它可能是一个有价值的预后标志物。
给TNBC患者的饮食建议:
这项研究并非全盘否定橄榄油的健康价值。对于普通人群,适量摄入橄榄油仍然是健康饮食的一部分,有益于心血管健康。然而,对于特定的高危人群,尤其是已确诊的TNBC患者,尤其是合并肥胖的患者,这项研究提醒我们:
- 避免过量摄入橄榄油:鉴于橄榄油中高含量的油酸可能通过FABP5通路“助力”TNBC转移,患者应在医生或营养师的指导下,合理控制橄榄油的摄入量。这并非意味着完全禁止,而是要避免“多多益善”的误区。
- 选择均衡的脂肪来源:患者应更加关注脂肪的种类和来源,选择更均衡的脂肪摄入。可以考虑多元化的植物油,如菜籽油、葵花籽油(含有较多的亚油酸,但也要注意适量),或者富含Omega-3脂肪酸的鱼油(如深海鱼类),它们具有抗炎和潜在的抗肿瘤作用。
- 个性化饮食是关键:每个患者的身体状况、肿瘤分期、伴随疾病以及基因背景都不同。因此,健康饮食没有“一刀切”的标准答案。建议TNBC患者积极与肿瘤医生和专业的营养师沟通,制定个性化的饮食方案。他们可以根据患者的具体情况,提供更精准的饮食指导,包括脂肪摄入量、种类以及其他营养素的平衡。
- 保持健康体重:无论何种饮食类型,保持健康的体重对于TNBC患者都至关重要。肥胖本身就是多种癌症的风险因素,通过健康饮食和适度运动来管理体重,依然是抗癌过程中的重要一环。
新的治疗靶点:FABP5抑制剂的潜力:
除了饮食指导,这项研究还为TNBC的治疗带来了新的希望。由于FABP5在TNBC中特异性高表达,且是油酸促转移的关键中介,开发针对FABP5的抑制剂,有望成为阻断肥胖相关TNBC转移的新策略。未来,结合FABP5抑制剂与PD-1/PD-L1等免疫治疗、化疗,可能会进一步提升TNBC的治疗效果,为患者带来更精准、更有效的抗癌方案。
结语:精准营养,助力抗癌新征程
橄榄油的“双面性”故事,生动地提醒我们,健康饮食是一个复杂而精微的科学体系。对于普通人群而言的“健康明星”,在特定疾病状态下可能需要重新审视其摄入策略。这项研究的核心价值,在于揭示了“饮食脂肪类型”而非仅仅“肥胖本身”对癌症进展的选择性影响,它强调了在探讨饮食与癌症关系时,我们不能只关注热量或脂肪总量,更要关注脂肪的具体种类和个体的肿瘤亚型差异。这正是精准医学和精准营养的理念在抗癌领域的重要体现。
对于正与三阴性乳腺癌抗争的患者而言,无需过度恐慌。科学研究旨在发现问题,更在于提供解决方案。只要在专业医生的指导下,通过MedFind等平台获取最新权威资讯,并与营养师共同制定合理且个性化的饮食方案,合理控制橄榄油等富含油酸的食物摄入,保持饮食均衡,就能更好地管理疾病风险。同时,这一研究发现的FABP5-PKC-ALDH通路,也为开发更有效的抗转移药物提供了新的方向,让我们对未来TNBC的治疗充满更多期待。科学的进步,永远是患者前行路上的坚实后盾。
