卵巢癌,被称为女性生殖系统的“隐形杀手”,其早期症状不明显,导致许多患者确诊时已是晚期。尽管手术和铂类化疗(如顺铂)是标准的治疗方案,但令人沮丧的是,大多数患者在治疗后会复发,并逐渐对铂类药物产生耐药性,这被称为铂类耐药性卵巢癌(PROC)。一旦进入铂类耐药阶段,患者的治疗选择会大幅减少,生存率也随之降低,成为临床上亟待攻克的难题。长久以来,医学界一直在寻找能够有效逆转这种耐药性的新方法。
好消息是,一项由南方医科大学第十附属医院(东莞市人民医院)喻志强教授和新加坡国立大学赵志浩博士等研究人员共同主导的前沿研究,为铂耐药卵巢癌患者带来了新的希望。他们成功开发出一种名为CMZ-Pt-SA@HA的创新型纳米激动剂。这款纳米药物通过独特的“POP”三步策略,能够同时击破肿瘤细胞在化疗过程中形成的三重防御机制,不仅有效逆转了顺铂耐药,还协同激活了机体的抗肿瘤免疫反应。这项突破性研究成果已在国际顶级期刊《ADVANCED MATERIALS》上发表,预示着卵巢癌治疗未来可能迎来一次重大变革。
卵巢癌:隐匿的“女性杀手”与铂类耐药的致命困境
卵巢癌知多少:发病机制与传统治疗
卵巢癌是女性生殖系统最常见的恶性肿瘤之一,其发病率在妇科肿瘤中仅次于宫颈癌和子宫内膜癌,但死亡率却高居首位。这是因为卵巢位于盆腔深部,早期病变通常没有明显的症状,使得约70%的患者在初次诊断时已是晚期,癌细胞已经扩散到盆腔、腹腔甚至更远的器官。在治疗方面,手术切除肿瘤是基础,术后通常会配合以顺铂(CisPt)为代表的铂类药物进行化疗。顺铂通过与肿瘤细胞的DNA结合,形成DNA-顺铂加合物,进而破坏DNA结构和功能,最终诱导癌细胞死亡。
铂类耐药:治疗路上的“拦路虎”
尽管铂类化疗在初期能取得较好的效果,但许多卵巢癌患者在一段时间后会出现复发,并且对铂类药物产生耐药性,这被称为“铂类耐药性卵巢癌”(PROC)。对于这些患者来说,传统的化疗药物往往效果甚微,治疗进入瓶颈期。铂类耐药的形成是一个复杂的过程,肿瘤细胞会进化出多种精妙的机制来逃避药物的杀伤作用,主要包括以下“三重防御屏障”:
- 屏障一:阻止药物接触——药物外排与解毒。肿瘤细胞会增强自身的药物外排泵功能,将进入细胞内的顺铂快速泵出;同时,细胞内会产生更多的解毒物质(如谷胱甘肽),中和顺铂的毒性,从而阻止顺铂与DNA结合。
- 屏障二:修复DNA损伤——DNA修复机制增强。即使顺铂成功与DNA结合并造成损伤,耐药肿瘤细胞也会迅速启动或增强其DNA修复机制,尤其是核酸剪切修复(NER)途径,修复制顺铂造成的DNA损伤,让癌细胞得以存活。
- 屏障三:抵抗细胞死亡——阻断细胞凋亡与免疫逃逸。肿瘤微环境(TME)常常处于缺氧状态,这会促进癌细胞的存活。同时,耐药肿瘤细胞还会通过抑制免疫通路(如cGAS-STING通路),逃避免疫系统的监视和清除,阻断顺铂诱导的细胞凋亡,使其难以被彻底清除。
针对单一屏障的治疗效果有限,因此,开发能够同时攻克这三道屏障的治疗方法,是逆转铂类耐药、提高卵巢癌患者生存率的关键。
攻克耐药,重燃希望:CMZ-Pt-SA@HA纳米激动剂的创新设计
什么是CMZ-Pt-SA@HA?新型纳米药物的诞生
为了应对铂类耐药性卵巢癌的挑战,喻志强教授和赵志浩博士团队创新性地设计了一种基于金属有机框架(MOF)的纳米激动剂——CMZ-Pt-SA@HA。听起来很复杂,我们可以这样理解:
- MOF(金属有机框架):这是一种新型的纳米材料,由金属离子和有机配体组装而成,结构高度有序且多孔,就像一个微型“笼子”,非常适合用来包裹和递送药物。
- CMZ-Pt-SA@HA的组成:这个纳米激动剂集合了多种活性成分,包括氧化钙纳米载体(CaO2)、锰锌骨架结构(Mn-ZIF-8,其中含有Mn2+和Zn2+)、组蛋白去乙酰化酶抑制剂SAHA、化疗药物顺铂,并通过透明质酸(HA)进行包裹。
这种精巧的设计赋予了CMZ-Pt-SA@HA多重功能:它能有效靶向肿瘤细胞,可控地释放药物,并通过表观遗传调控和金属催化活性,对肿瘤细胞产生协同杀伤作用。更值得一提的是,CMZ-Pt-SA@HA还具有基于Mn2+的磁共振成像(MRI)能力,这意味着它不仅能治疗,还能通过影像学手段对治疗效果进行实时监测,展现出巨大的诊疗一体化开发潜力。



“POP”三步策略:精准打击肿瘤耐药
CMZ-Pt-SA@HA攻克肿瘤三重防御的关键在于其独创的“POP”三步策略,每一步都针对一个耐药屏障,实现多维度的协同打击:
- “Pre-target”(预靶向):增强DNA-顺铂加合物的形成。这一步旨在增加肿瘤细胞内顺铂的浓度,并确保其能更有效地与DNA结合。
- “On-target”(正靶向):阻断DNA修复。在顺铂造成DNA损伤后,这一步能有效抑制肿瘤细胞的DNA修复机制,让损伤无法被修复,最终导致癌细胞死亡。
- “Post-target”(后靶向):诱导细胞凋亡并激活免疫反应。在前两步的基础上,这一步通过解除肿瘤微环境中的不利因素、直接损伤细胞器并激活免疫通路,诱导癌细胞彻底凋亡,并唤醒机体自身的抗肿瘤免疫力。
深入解析:CMZ-Pt-SA@HA如何击破三重耐药屏障
屏障一与二:增强杀伤,抑制修复
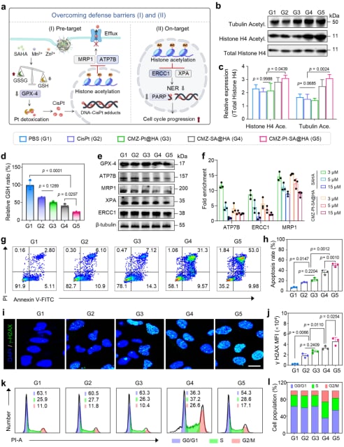
CMZ-Pt-SA@HA在肿瘤微环境(TME)中能够响应性降解,并释放出其中的活性成分,协同作用克服耐药屏障I和II,从而加重DNA损伤,抑制癌细胞生长。
- 打破屏障一:增强顺铂的“杀伤力”
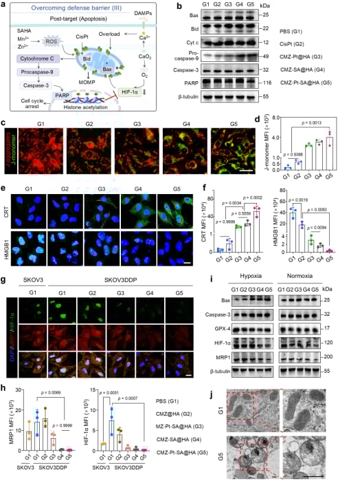
首先,CMZ-Pt-SA@HA中的Mn2+、Zn2+离子和SAHA能够氧化肿瘤细胞内保护性物质谷胱甘肽(GSH)。谷胱甘肽是肿瘤细胞解毒顺铂的主要方式,将其氧化后,肿瘤细胞对顺铂的解毒能力大大降低,使得更多的顺铂能够在细胞内累积并发挥作用。同时,SAHA作为一种组蛋白去乙酰化酶抑制剂,能够促进组蛋白乙酰化。这在分子层面表现为,SAHA能下调负责顺铂外排的ATP酶(如ATP7B)和多药耐药相关蛋白1(MRP1)的表达。简单来说,就是SAHA能减少癌细胞将顺铂泵出细胞外的能力。双重作用下,肿瘤细胞内的顺铂浓度显著升高,与DNA结合的机会大大增加,有效克服了第一道“预靶向”耐药屏障。 - 打破屏障二:阻止DNA损伤的“自我修复”
一旦顺铂与DNA结合造成损伤,耐药肿瘤细胞会立即启动DNA修复机制。其中,核酸剪切修复(NER)途径是修复顺铂引发DNA损伤的主要方式。而CMZ-Pt-SA@HA中的SAHA再次发挥关键作用。它通过诱导组蛋白乙酰化,下调NER途径中的关键修复蛋白(如切除修复交叉互补组鼠修复缺陷互补1,ERCC1,和着色性干皮病组A,XPA)的表达。这意味着癌细胞修复DNA损伤的能力被大幅削弱,受损的DNA无法得到及时修复,导致DNA损伤持续累积,并进一步诱导细胞周期停滞。这样,第二道“正靶向”耐药屏障也被成功攻克,癌细胞的自我修复能力被彻底抑制。

屏障三之破:激活凋亡,唤醒免疫
第三道耐药屏障最为复杂,涉及肿瘤细胞抵抗死亡和逃避免疫监视。CMZ-Pt-SA@HA通过多重机制,不仅诱导了癌细胞的彻底凋亡,还激活了机体的抗肿瘤免疫反应。
- 诱导细胞凋亡:引爆癌细胞的“定时炸弹”
CMZ-Pt-SA@HA通过一系列协同作用,成功激活了Bid蛋白,这是启动线粒体外膜通透性转换(MOMP)的关键。MOMP是细胞凋亡过程中的一个重要事件,它能引发细胞色素c(Cyt c)从线粒体中释放,进而激活一系列的Caspase蛋白级联反应(Caspase-9–Caspase-3–PARP),最终导致G2/M细胞周期阻滞和细胞凋亡。具体而言,以下机制共同促成了这一过程:- 氧化应激:SAHA、Mn2+和Zn2+共同作用,提高了细胞内的活性氧(ROS)水平。ROS的过量堆积会对细胞器造成损伤,尤其是线粒体,引发氧化应激。
- 钙超载:细胞内钙离子(Ca2+)水平的升高导致钙超载,进一步损伤线粒体功能。
- 直接损伤:顺铂自身也会直接损伤线粒体膜。
- 缓解乏氧:CMZ-Pt-SA@HA还能通过其氧化钙成分供应氧气,并结合表观遗传调控作用,下调缺氧诱导因子-1α(HIF-1α)的表达。HIF-1α在肿瘤乏氧环境中会促进癌细胞的生存,抑制其表达有助于促进细胞凋亡。同时,这还促进了Bax蛋白的激活,进一步加剧线粒体功能障碍。
- 通过这些协同作用,CMZ-Pt-SA@HA成功激活了癌细胞的凋亡通路,攻克了耐药屏障III中抵抗细胞死亡的部分。
- 激活cGAS-STING通路,重塑免疫微环境:
铂耐药性癌细胞常常会抑制STING通路的活性,从而实现免疫逃逸,这同样是第三道防线的重要组成部分。CMZ-Pt-SA@HA在化疗期间增强了DNA损伤,导致受损的双链DNA(dsDNA)向细胞质泄漏。细胞内的cGAS蛋白能够感知这些异常的dsDNA,进而激活STING通路,促进关键的抗病毒和抗肿瘤细胞因子——干扰素-β(IFN-β)的分泌。此外,CMZ-Pt-SA@HA中的Mn2+和Zn2+离子还能通过调节先天免疫反应,进一步放大cGAS-STING信号传导,从而持续有效地抑制肿瘤,并唤醒机体对肿瘤的免疫反应,成功攻克了第三道耐药屏障中的免疫逃逸部分。
临床前研究:CMZ-Pt-SA@HA的卓越疗效与安全性
这项研究在多个临床前小鼠模型中对CMZ-Pt-SA@HA的治疗效果和安全性进行了全面评估,结果令人鼓舞。
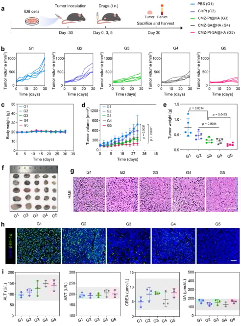
ID8皮下瘤模型:肿瘤显著消退,免疫全面激活
研究人员首先在ID8皮下瘤小鼠模型中测试了CMZ-Pt-SA@HA的抗肿瘤效果。结果显示,CMZ-Pt-SA@HA展现出极其强大的抗肿瘤活性,治疗后一些小鼠的肿瘤甚至出现了持续消退。治疗结束时,接受CMZ-Pt-SA@HA治疗组的平均肿瘤重量仅为对照组(PBS组)的约四分之一,肿瘤抑制效果显著。更重要的是,在评估生物安全性方面,CMZ-Pt-SA@HA给药后,小鼠的肝肾功能指标(如丙氨酸氨基转移酶ALT、天冬氨酸氨基转移酶AST、肌酐CREA和尿酸UA)均保持在正常范围内,主要器官的组织病理学分析也未发现明显损伤,这充分证明了CMZ-Pt-SA@HA具有良好的生物安全性,为未来的临床转化奠定了基础。
除了直接抑制肿瘤生长,CMZ-Pt-SA@HA还能通过诱导DNA损伤并触发cGAS-STING通路,激活小鼠的全身免疫反应。其免疫调节作用具体体现在:
- 增强树突状细胞成熟:与对照组相比,树突状细胞的成熟度增加了1.8倍,这些细胞是启动适应性免疫反应的关键。
- 促进细胞毒性T淋巴细胞浸润:进入肿瘤区域的细胞毒性T淋巴细胞(CTL,即“杀伤性T细胞”)数量增加了2.8倍,它们是直接攻击癌细胞的主力军。
- 巨噬细胞极化转变:促炎性M1型巨噬细胞比例增加,M2/M1比例降低了10.1倍,这意味着肿瘤微环境中的巨噬细胞从支持肿瘤生长的M2型转变为抗肿瘤的M1型。
- 增强抗肿瘤免疫记忆:效应记忆T细胞增加了2.6倍,这有助于机体在未来再次遭遇癌细胞时,能够迅速作出免疫反应。
- 缓解免疫抑制:调节性T细胞(Treg)减少了3.0倍,这类细胞是肿瘤微环境中重要的免疫抑制细胞,其数量减少有助于解除免疫抑制,让免疫系统更好地发挥作用。
这些协同的免疫调节作用,极大地提升了肿瘤清除效果,表明CMZ-Pt-SA@HA不仅是一种化疗药物,更是一种能够有效调动免疫系统的“化疗-金属免疫疗法”。

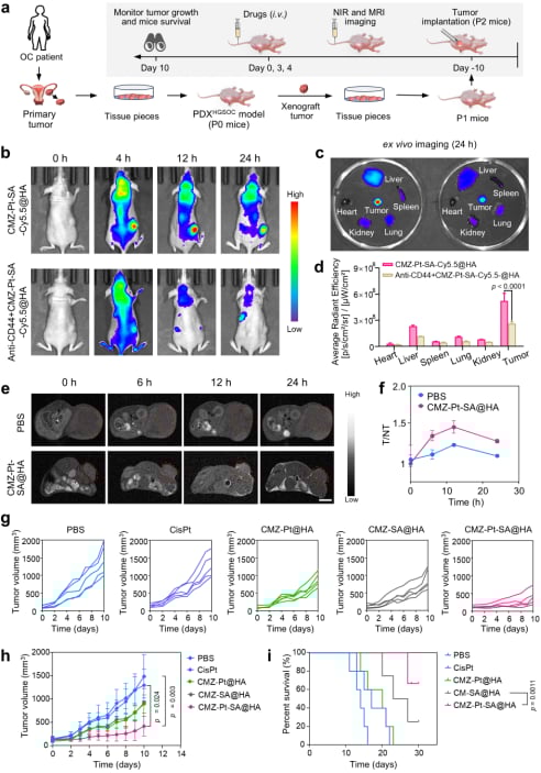
患者来源异种移植(PDX)模型:更贴近临床的验证
为了进一步验证CMZ-Pt-SA@HA在更接近人类临床情况下的疗效,研究人员采用了高级别浆液性卵巢癌(HGSOC)患者来源异种移植(PDX)小鼠模型。HGSOC是卵巢癌中最常见且最具侵袭性的亚型,占所有卵巢癌相关死亡病例的70%-80%。许多HGSOC患者对铂类化疗存在天然抗药性,或在治疗过程中产生耐药。PDX模型是将患者的肿瘤组织直接移植到免疫缺陷小鼠体内生长,能够更好地保留原发肿瘤的生物学特性和药物敏感性,因此其结果更具临床参考价值。
在此模型中,研究首先确认了CMZ-Pt-SA@HA通过透明质酸(HA)与肿瘤细胞表面CD44受体相互作用,实现精确的肿瘤靶向性。同时,Mn2+介导的MRI功能也再次得到展现。治疗结果显示,接受CMZ-Pt-SA@HA治疗的小鼠中,有80%的肿瘤体积能够稳定保持在500立方毫米以下,展现出良好的抗肿瘤活性。生存期分析也表明,CMZ-Pt-SA@HA治疗后的小鼠拥有更长的生存期。这进一步证实了CMZ-Pt-SA@HA对于难治性HGSOC的强大抑制作用。

联合PD-L1抗体:高效抑制卵巢癌腹膜转移,开启免疫治疗新篇章
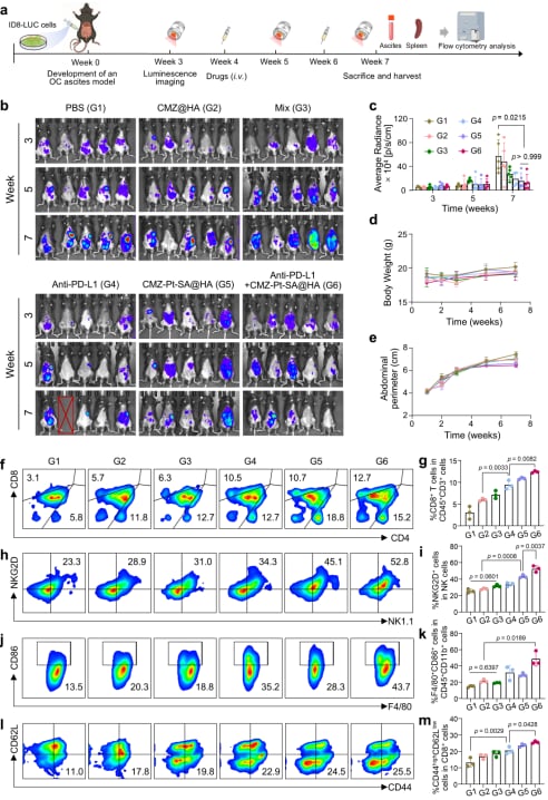
卵巢癌的腹膜转移是导致患者死亡的主要原因之一。超过三分之一的卵巢癌患者在确诊时就已出现腹水,而在疾病复发时,几乎所有患者都会出现腹水。腹水中的肿瘤细胞、免疫细胞以及各种可溶性因子,都会促进腹膜转移并增加对化疗的抵抗。因此,开发能够有效抑制腹水引起的腹膜转移的治疗方法至关重要。
研究人员在一个模拟卵巢癌腹膜转移的ID8-LUC小鼠腹水模型中,探索了CMZ-Pt-SA@HA与PD-L1抗体联合治疗的潜力。PD-L1抗体是一种免疫检查点抑制剂,通过阻断PD-1/PD-L1通路,解除肿瘤对免疫系统的抑制。结果显示,CMZ-Pt-SA@HA与PD-L1抗体的联合治疗具有显著优于单一疗法的肿瘤抑制效果,与对照组相比,肿瘤抑制率达到了76.9%,甚至能有效消除腹部壁上的可见转移性病变。更重要的是,这种联合疗法相比单纯使用PD-L1抗体,具有更高的安全性,显著降低了死亡率。
免疫反应测定结果也令人振奋,联合治疗显著增加了腹水中的CD8+ T细胞(杀伤性T细胞)、活化的NK细胞(自然杀伤细胞,NKG2D+)和M1巨噬细胞数量,这些都是强大的抗肿瘤免疫细胞。同时,它还激活了全身免疫记忆。总体而言,CMZ-Pt-SA@HA与PD-L1阻断剂的联合应用,成功抑制了卵巢癌中由腹水引发的腹膜转移,并在临床应用方面展现出巨大的潜力,为卵巢癌的免疫治疗开辟了新的道路。

MedFind展望:未来可期的铂耐药卵巢癌治疗新策略
研究总结与转化潜力
这项创新性的研究成果,为铂类耐药性卵巢癌的治疗带来了令人振奋的希望。CMZ-Pt-SA@HA纳米激动剂通过其精巧的设计和“POP”三步策略,实现了多层次、多维度的抗肿瘤作用:它不仅通过表观遗传重编程和金属催化作用,增强了顺铂对肿瘤细胞的杀伤力,抑制了癌细胞的自我修复,还通过激活cGAS-STING通路,唤醒了机体的抗肿瘤免疫反应,从而协同逆转了顺铂耐药。此外,其自带的MRI诊断功能,也使其具备了诊疗一体化的巨大转化潜力。据研究团队所知,CMZ-Pt-SA@HA是首个将化疗-金属免疫疗法应用于耐药肿瘤的平台,其独特的作用机制和显著的临床前疗效,无疑为铂耐药卵巢癌的治疗提供了全新的思路和实用的框架。
局限性与未来方向
当然,任何前沿研究都会存在一定的局限性。目前,CMZ-Pt-SA@HA尚未在其他类型的耐药肿瘤模型中进行评估。未来的研究工作将需要扩大测试的模型范围,以验证其在更广泛的耐药肿瘤中的有效性。同时,探索更多的联合策略,例如与其他靶向药物或免疫疗法结合,有望进一步提高其治疗效果。
MedFind:与您同行,探索前沿抗癌方案
对于正在与卵巢癌,特别是铂类耐药性卵巢癌抗争的患者及其家属来说,每一次医学突破都意味着一份新的希望。像CMZ-Pt-SA@HA这样的创新疗法,虽然目前尚处于临床前研究阶段,但它展现出的潜力无疑是巨大的。MedFind一直致力于为癌症患者和家庭提供最前沿、最准确的抗癌资讯和药物信息,帮助大家了解像CMZ-Pt-SA@HA这样最新的研究进展。我们深知患者获取高质量信息的迫切需求,因此,MedFind不仅分享诊疗指南和药物信息,更希望在未来,当这些创新疗法走向临床时,能够为您提供专业的海外购药渠道咨询和国际直邮服务,让您能够及时、安全地获取到全球最新的抗癌药物。
如果您对卵巢癌的最新治疗进展、药物信息有疑问,或者在寻找海外购药渠道方面需要帮助,欢迎随时通过MedFind平台进行AI辅助问诊或获取更多抗癌资讯。我们始终秉持专业、温暖、客观的态度,为您的抗癌之路提供最坚定的支持和最值得信赖的帮助。
