对于癌症患者而言,面对单一癌症的诊断和治疗已是巨大挑战,而如果同时被诊断出两种原发性恶性肿瘤,即“双原发癌”,其复杂性和治疗难度将成倍增加。本文深度解析了一例罕见的同步双原发性食管鳞状细胞癌(ESCC)和胃腺癌(GAC)的临床诊疗过程。通过采用先进的下一代测序(NGS)检测技术,医生得以精准识别肿瘤的分子特征,并指导实施了以信迪利单抗为核心的联合放化疗个性化方案,最终取得了令人鼓舞的治疗效果。
这篇案例报告不仅为临床医生处理上消化道双原发恶性肿瘤提供了宝贵的经验,同时也向患者和家属展示了在缺乏标准指南的情况下,如何利用精准医学手段(如NGS)来制定最优化、最有效的治疗策略。了解这些前沿的诊断和治疗方法,对于寻求复杂癌症个性化治疗方案的患者至关重要。
双原发食管癌与胃癌:罕见且复杂的诊疗挑战
食管癌和胃癌是全球范围内发病率和死亡率最高的消化道恶性肿瘤。然而,同步发生食管鳞状细胞癌(ESCC)和胃腺癌(GAC)的双原发癌病例极为罕见,文献报道其发生率仅在 0.8% 至 1.5% 之间。这种罕见性带来了两大核心挑战:
1. 诊断的困境:原发还是转移?
在临床实践中,医生首先需要确定这两种肿瘤是独立的“双原发癌”,还是其中一个肿瘤转移到另一个部位。错误的判断将导致完全不同的治疗路径。传统的影像学和病理学检查虽然是基础,但在区分高度相似的恶性肿瘤时往往存在局限性。本案例中,PET-CT成像显示食管中段、胃窦及区域淋巴结均存在高代谢灶,但要最终确认独立起源,需要分子生物学证据。
2. 缺乏标准化的治疗指南
由于病例稀少,目前针对食管-胃双原发癌尚无特定的、权威的治疗指南。此外,由于上消化道重建的复杂性,这类患者往往不适合接受根治性手术。因此,临床治疗策略主要依赖于多学科团队(MDT)的经验,并倾向于采用放疗、化疗和免疫治疗的联合方案。
病例深度解析:NGS如何指导个性化治疗?
本案例的主角是一位 78 岁的女性患者,因进食疼痛就诊,最终被诊断为 IIB 期食管鳞状细胞癌和 IIIA 期胃窦腺癌。考虑到患者的高龄和肿瘤的复杂性,手术被排除,治疗重点转向非手术的精准联合治疗。
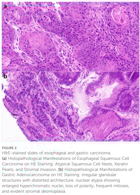
2022 年 3 月 31 日,正电子发射断层扫描-计算机断层成像(PET-CT)显示食管中段(最大标准摄取值SUVmax=13.4)、胃窦(SUVmax=15.1)及区域淋巴结(SUVmax=4.0)存在高代谢灶,证实为无转移的双原发癌。组织病理学检查显示浸润性食管鳞状细胞癌伴角化珠及胃窦腺癌伴促纤维增生性间质。

▲图1 患者入院前后的影像学表现

▲图2 食管癌和胃癌的HE染色切片
为了制定精准的治疗方案,医生对患者的食管癌和胃癌组织样本进行了全面的下一代测序(NGS)检测。NGS技术能够同时检测数千个与癌症相关的基因突变、单核苷酸变异(SNVs)和拷贝数变异(CNVs),从而深入了解肿瘤的分子生物学特征。
NGS检测:揭示肿瘤的独立起源与分子特征
检测结果显示,尽管两种肿瘤组织中均观察到 19p 和 21q 染色体扩增,但关键的驱动基因变异却截然不同,这有力地支持了“双原发癌”的诊断,而非转移:
- 食管鳞状细胞癌(ESCC)的分子特征: 存在 MCL1、RECQL4、NKX2-1、PARP10、RSPO1、MUCL 和 WTIP 等基因扩增。其中,MCL1 扩增与抗凋亡能力增强相关,可能影响肿瘤对治疗的反应。
- 胃腺癌(GAC)的分子特征: 表现为 APC 和 PRKG1 基因缺失,以及 ARRDC1 和 NRARP 基因扩增。APC 基因缺失是 Wnt 信号通路激活的常见原因,通常预示着预后不良。
关键结论: 尽管存在共同的染色体变异,但缺乏共同的驱动基因共突变,提示这两种肿瘤起源独立,需要针对性的治疗。
共同的染色体变异:19p和21q扩增的临床意义
NGS检测发现的 19p 和 21q 染色体扩增是本案例的一个重要发现。尽管它们在两种肿瘤中都存在,但其发挥的作用可能不同:
- 19p 染色体扩增: 在食管癌中,可能通过激活 RAS 信号通路来促进肿瘤侵袭性;而在胃癌中,则可能与细胞周期调控密切相关。
- 21q 染色体扩增: 尽管报道较少,但可能增强肿瘤的恶性程度。例如,RUNX1 扩增与食管癌的侵袭性和转移潜力相关;ETS2 扩增在胃癌中则可能通过激活 RAS/MAPK 通路促进增殖并导致化疗耐药。

▲图4 食管和胃肿瘤组织中的染色体变异和基因突变拷贝数
这些分子层面的差异,进一步强调了在治疗前进行全面基因组分析的重要性,以预测肿瘤的行为和对特定治疗的敏感性。
个体化治疗方案:放化疗联合信迪利单抗免疫治疗的成功实践
基于患者高龄、肿瘤复杂性以及 NGS 提供的分子信息,多学科团队决定采用功能引导的根治性放化疗联合免疫治疗的序贯方案。
第一阶段:同步放化疗降低肿瘤负荷
患者接受了同步放化疗,方案包括:
- 化疗药物: 顺铂联合白蛋白结合型紫杉醇(每周方案)。这种方案在局部晚期食管鳞状细胞癌中已被证明安全且抗肿瘤活性良好。
- 放疗技术: 影像引导放疗(IGRT),根据肿瘤的代谢活性和异质性定制放疗剂量(食管计划靶区体积:55.8 Gy;胃计划靶区体积:50.4 Gy)。
同步放化疗成功地显著降低了食管和胃部的肿瘤负荷,为后续的巩固治疗创造了最佳条件。
第二阶段:信迪利单抗巩固免疫治疗
在放化疗后,患者接受了 4 个周期的化疗联合信迪利单抗(Sintilimab)巩固治疗。信迪利单抗是一种 PD-1 抑制剂,属于免疫检查点抑制剂,通过解除肿瘤对免疫系统的抑制,激活患者自身的免疫细胞来攻击癌细胞。
免疫治疗在老年患者中的耐受性和安全性至关重要。本案例中,信迪利单抗的应用不仅显著改善了患者的状况,且未发生严重的治疗相关毒性,这与既往临床研究(如 ORIENT-15 研究)的结果一致。信迪利单抗在局部晚期胃腺癌的围手术期治疗中也显示出良好的疗效,因此被纳入该患者的个性化方案中。

▲图3 患者管理期间的关键临床事件、诊断评估、治疗干预和后续结果的时间线总结
治疗结果与临床获益
经过联合治疗后,患者的病情达到了部分缓解(Partial Response, PR)和疾病稳定(Stable Disease, SD)。随访期间,患者生活质量良好,未发生主要不良事件。这一成功的临床结局突显了放化疗联合免疫治疗作为缺乏明确遗传靶点的老年双原发癌患者个体化方案的巨大潜力。
对于许多面临复杂癌症或罕见突变的患者,标准的治疗路径可能不再适用。此时,寻求海外新药和靶向药获取渠道,结合精准的基因检测结果,是优化治疗选择的关键一步。
NGS检测在复杂癌症诊疗中的核心价值
本病例报告的核心价值在于强调了 NGS 检测在处理复杂、多原发恶性肿瘤时的不可替代性。NGS不仅帮助医生确认了食管癌和胃癌的独立起源,避免了将其中一个误诊为转移瘤,更重要的是,它揭示了肿瘤特异性的分子弱点,为未来的靶向治疗提供了潜在的参考方向。
1. 区分双原发癌与转移癌
通过对比两种肿瘤组织中的基因组变异,特别是驱动基因的差异,NGS 提供了分子层面的证据,支持了双原发癌的诊断。这对于制定根治性而非姑息性的治疗策略至关重要。
2. 发现潜在的靶点
虽然本例患者没有发现共同的“可靶向”驱动基因,但 NGS 揭示了 ESCC 中的 MCL1 扩增和 GAC 中的 APC 缺失。这些信息虽然未直接指导本次治疗中的靶向药物选择,但为未来如果疾病进展,可考虑针对这些通路的新型抑制剂提供了线索。
3. 指导联合治疗策略
在没有明确靶点的情况下,NGS 结果帮助医生理解了肿瘤的侵袭性和恶性程度(例如 21q 扩增与高侵袭性相关),从而坚定了采用高强度、多模式联合治疗(放化疗+免疫治疗)的决心,以期达到最佳的局部控制和全身抗肿瘤效果。
食管癌与胃癌的分子机制差异与治疗前沿
尽管食管癌和胃癌都属于上消化道肿瘤,但它们的分子机制和治疗策略存在显著差异,尤其是在不同病理类型中。
食管鳞状细胞癌(ESCC)的分子特征
ESCC 在亚洲地区更为常见,其发生与吸烟、饮酒和营养不良等因素密切相关。ESCC 的基因组特征通常表现为复杂的拷贝数变异和染色体不稳定。除了本例中提到的 19p 和 21q 扩增外,TP53、CDKN2A 等基因的突变也十分常见。治疗上,ESCC 对放化疗较为敏感,近年来免疫检查点抑制剂(如信迪利单抗、帕博利珠单抗等)的加入,显著改善了晚期患者的预后。
胃腺癌(GAC)的分子特征
GAC 的发病机制与幽门螺杆菌感染、高盐饮食等因素相关。GAC 的分子分型复杂,根据 TCGA 分型可分为 MSI(微卫星不稳定)、EBV(EBV阳性)、CIN(染色体不稳定)和 GS(基因组稳定)四种亚型。本例中发现的 APC 缺失和 Wnt 通路激活,常见于 CIN 亚型,这类肿瘤通常具有较高的异质性。
针对 GAC 的治疗,除了传统的化疗和手术,靶向治疗(如 HER2 阳性使用曲妥珠单抗)和免疫治疗(如 PD-1/PD-L1 抑制剂)也发挥着越来越重要的作用。信迪利单抗在胃癌中的应用,正是基于其在 PD-1/PD-L1 通路上的阻断作用,为不适合手术或存在高风险的患者提供了新的希望。
老年癌症患者的治疗考量与未来方向
本案例患者已达 78 岁高龄,这使得治疗方案的选择必须更加谨慎,充分平衡疗效与毒性。
1. 毒性与耐受性管理
同步放化疗的毒性较大,尤其对于老年患者,可能引发骨髓抑制、消化道反应等。本案例中采用的白蛋白结合型紫杉醇和顺铂的每周方案,相比传统的三周方案,通常具有更好的耐受性。同时,免疫治疗信迪利单抗的加入,在保证疗效的同时,也维持了患者良好的生活质量。
2. 精准放疗技术
采用影像引导放疗(IGRT)和基于代谢活性的剂量定制,确保了放疗的精准性,最大限度地保护了周围正常组织,降低了并发症的风险。
3. 多学科协作(MDT)的重要性
对于双原发癌这种复杂病例,MDT 模式是成功的关键。肿瘤内科、放疗科、病理科和基因检测专家共同协作,才能将 NGS 的分子数据转化为可执行的临床治疗方案。
未来,随着基因组学研究的深入,可能会发现更多针对 19p/21q 扩增或 MCL1/APC 变异的靶向药物。对于国内尚未上市的创新药物,患者可以通过国际直邮服务,实现治疗方案的全球同步。
总之,本例食管-胃双原发癌的成功诊疗,为复杂癌症的精准治疗提供了重要的临床证据。它强调了在肿瘤异质性高、缺乏标准指南的情况下,NGS 检测是制定个体化、功能引导的联合治疗策略的基石。
