食管鳞状细胞癌(ESCC),这个听起来就让人心生恐惧的疾病,长久以来都是癌症治疗领域的一块“硬骨头”。它通常被发现时已是中晚期,治疗后又极易复发和转移,无数患者和家庭因此陷入绝望。面对现有放化疗、靶向治疗等手段难以突破的疗效瓶颈,医学界一直在努力寻找更有效、更精准的治疗方案。而癌细胞之所以能够如此疯狂地生长和扩散,离不开其独特的“能量供应系统”——糖酵解和自噬。这两大“能量引擎”协同驱动,为肿瘤细胞的无限增殖提供动力,但长期以来,我们都缺乏能够同时精准打击这两条通路的有效药物。然而,近日发表在国际权威期刊《Research》上的一项振奋人心的研究,为食管鳞癌的治疗点亮了新的希望。来自河北医科大学第四医院等机构的科研团队,从一种名为“木鳖子”的天然产物中,发现了一种具有巨大抗癌潜力的化合物——**p-羟基肉桂醛**(英文简称**CMSP**)。这项研究不仅揭示了**CMSP**通过双重阻断癌细胞的糖酵解与自噬过程来“饿死”肿瘤细胞的独特机制,更预示着一种全新的食管鳞癌精准治疗策略即将诞生,为患者带来了延长生存的曙光。MedFind平台始终关注全球最前沿的抗癌研究,致力于将这些创新成果以最通俗易懂的方式呈现给每一位需要的患者和家属。
食管鳞癌:一个“硬骨头”的困境
食管癌是全球范围内常见的恶性肿瘤之一,尤其在中国,食管鳞癌占据了食管癌的大多数类型。它以其高度侵袭性、早期症状不明显、诊断时多为中晚期的特点,成为预后最差的消化道肿瘤之一。当确诊时,很多患者已经错过了最佳手术时机,即使接受了手术、放疗和化疗等综合治疗,高复发率和转移风险仍像一把达摩克利斯之剑,悬在患者头顶。这种“确诊即中晚期,治疗后易复发”的残酷现实,让无数患者和家属陷入身心俱疲的困境,迫切地呼唤着更有效、毒性更小、更精准的治疗方案。
现有治疗手段的局限性与挑战
目前,食管鳞癌的治疗主要包括外科手术、放射治疗、化学治疗(化疗)、靶向治疗和免疫治疗等。然而,每种方法都有其局限性:
- 手术: 适用于早期患者,但中晚期患者往往无法彻底切除,且术后并发症和复发风险高。
- 放疗和化疗: 常常作为辅助或新辅助治疗,可以缩小肿瘤、缓解症状,但其毒副作用大,对患者身体伤害严重,且癌细胞容易产生耐药性。
- 靶向治疗: 虽然精准,但目前针对食管鳞癌的有效靶点相对较少,且患者中靶点突变率不高。此外,癌细胞也可能通过其他途径绕过靶点,产生耐药。
- 免疫治疗: 近年来取得了突破,但并非所有患者都能从中获益,响应率存在个体差异。
面对这些挑战,医学界一直在探索新的治疗策略。其中,干扰癌细胞的代谢途径,尤其是糖酵解和自噬,被认为是极具潜力的方向。因为它们是癌细胞赖以生存和增殖的“生命线”。
癌细胞的“能量引擎”:糖酵解与自噬
癌细胞之所以能够无限增殖并侵袭周围组织,很大程度上是因为它们拥有异常活跃的代谢模式,其中最重要的两种就是糖酵解和自噬。
- 糖酵解:癌细胞的“快速充电站”
- 正常细胞在有氧条件下主要通过氧化磷酸化(效率高)获取能量,而在缺氧时才进行糖酵解。但癌细胞却不同,即使在有氧条件下,它们也偏爱通过糖酵解来快速分解葡萄糖,产生大量乳酸,这个现象被称为“瓦氏效应”(Warburg effect)。糖酵解虽然能量效率不高,但它能迅速为癌细胞提供大量能量和合成新的细胞组分所需的原材料,支持其快速增殖和分裂。它就像癌细胞的“快速充电站”,源源不断地输送能量。
- 自噬:癌细胞的“内部回收站”与“生存保障”
- 自噬是细胞自我降解和回收利用受损细胞器、错误折叠蛋白质的过程,对维持细胞内环境稳态至关重要。在正常细胞中,自噬有助于清除废物、抵抗压力。但在癌细胞中,自噬却被“劫持”了。当癌细胞面临营养匮乏、缺氧或抗癌治疗压力时,它们会激活自噬,通过“自食其力”来获取能量和原材料,从而抵抗逆境,继续生存甚至产生耐药。它就像癌细胞的“内部回收站”和“生存保障系统”,在关键时刻救癌细胞于水火。
更重要的是,糖酵解与自噬这两个过程并非孤立存在,而是相互关联、协同作用。糖酵解产生的代谢产物可以影响自噬,反之亦然。因此,如果能找到一种药物,同时精准地“关闭”这两个癌细胞的“能量引擎”,无疑将对癌细胞造成致命打击,彻底“饿死”癌细胞。
木鳖子提取物CMSP:天然产物中的抗癌新星
在这项突破性研究中,科研团队将目光投向了天然产物。他们从我国传统药用植物——**木鳖子**中,成功分离出了一种名为**p-羟基肉桂醛**(英文缩写**CMSP**)的天然化合物。令人兴奋的是,实验结果表明,**CMSP**正是那个我们一直在寻找的、能够同时精准打击食管鳞癌细胞糖酵解与自噬的“秘密武器”。
CMSP的独特抗癌机制:双重靶向,精准打击
这项研究系统地阐明了**CMSP**治疗食管鳞癌的完整分子机制,其作用路径清晰而巧妙:
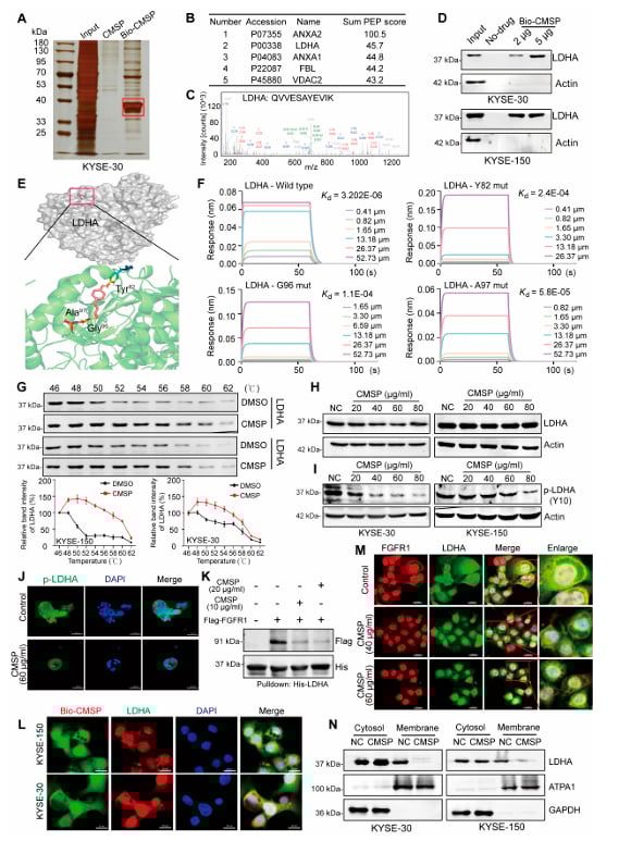
- 精准锁定核心靶点:LDHA
- 研究发现,**CMSP**在细胞内能够特异性地结合糖酵解过程中的一个关键酶——乳酸脱氢酶A(**LDHA**)。**LDHA**是癌细胞进行糖酵解的关键限速酶,它将丙酮酸转化为乳酸,维持癌细胞高速糖酵解的运转。**CMSP**通过与**LDHA**上的特定氨基酸残基(如Tyr⁸²、Gly⁹⁹、Ala⁹⁷)结合,直接干扰其功能。值得注意的是,**CMSP**并不影响**LDHA**的总体表达量,而是通过一种更巧妙的方式来抑制其活性。
- 阻断磷酸化:关闭糖酵解“开关”
- **CMSP**通过阻断**LDHA**的膜转位,抑制其与另一种重要的信号分子——成纤维细胞生长因子受体1(FGFR1)的相互作用。FGFR1通常会介导**LDHA**的Y10位点磷酸化,激活**LDHA**,使其高效工作。而**CMSP**正是通过阻止这一关键的磷酸化过程,从而“关闭”了**LDHA**的活性“开关”。一旦**LDHA**磷酸化受阻,食管鳞癌细胞的糖酵解水平便显著降低,导致乳酸生成量减少,细胞代谢模式也随之从糖酵解为主向氧化磷酸化转变,能量供应受到严重影响。
- 釜底抽薪:通过抑制糖酵解,进一步抑制自噬
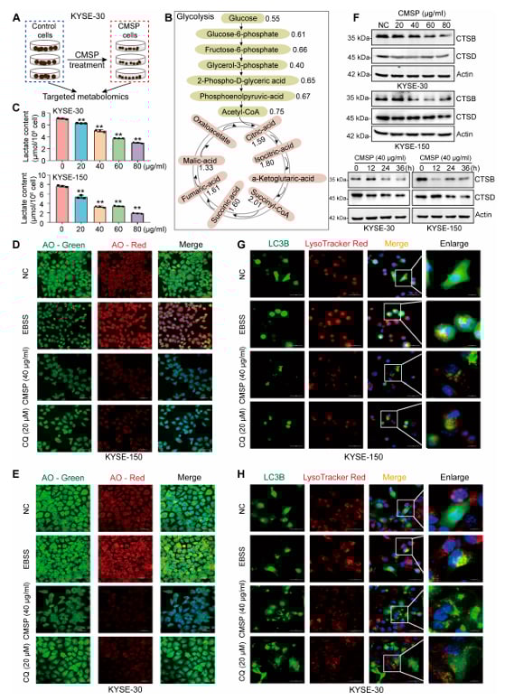
- 更令人惊叹的是,**CMSP**的抗癌作用并未止步于糖酵解。由于糖酵解的抑制导致乳酸生成减少,这直接影响了细胞内的pH值,进而阻碍了溶酶体的酸化。溶酶体是细胞内的“消化器官”,负责降解自噬体中的内容物,是自噬流(即自噬的全过程)完成的关键环节。溶酶体酸化障碍导致其功能受损,自噬体虽然形成,但无法与溶酶体融合降解,最终导致自噬流受阻,癌细胞无法通过自噬获得生存所需的物质。
- 双管齐下:调控AMPK/mTOR通路,抑制自噬起始
- 除了通过溶酶体酸化阻碍自噬流,**CMSP**还被发现能够通过调控AMPK/mTOR通路,从源头上抑制自噬的起始。当**CMSP**抑制糖酵解后,细胞内的AMP/ATP比值降低,这导致能量感受器AMPK(AMP活化蛋白激酶)的活性下降(表现为Thr¹⁷²位点磷酸化水平降低)。AMPK通常会激活自噬,而其活性的降低,进一步抑制了自噬的起始。同时,mTOR(哺乳动物雷帕霉素靶蛋白)的活性则会升高(表现为p-mTOR和p-P70S6K表达升高),mTOR是自噬的负调控因子,其活性升高同样抑制了自噬的发生。这种双重机制,确保了自噬过程被有效抑制,使得癌细胞彻底失去了“生存保障”。
- 通过这一系列精妙的机制,**CMSP**实现了对食管鳞癌细胞糖酵解与自噬的双重阻断,最终导致肿瘤细胞因能量枯竭和废物堆积而走向凋亡。这一发现,无疑为食管鳞癌的治疗开辟了一条全新的、高效的精准治疗路径。
-
严谨的科学证据:体外与体内实验揭示卓越疗效
- 这项研究的价值不仅在于提出了创新的抗癌机制,更在于通过一系列严谨、可靠的体外细胞实验和体内动物实验,全面验证了**CMSP**的卓越疗效和良好的安全性。
-
体外细胞实验:精准识别癌细胞,诱导凋亡
- 研究团队首先在实验室中对**CMSP**进行了初步评估:
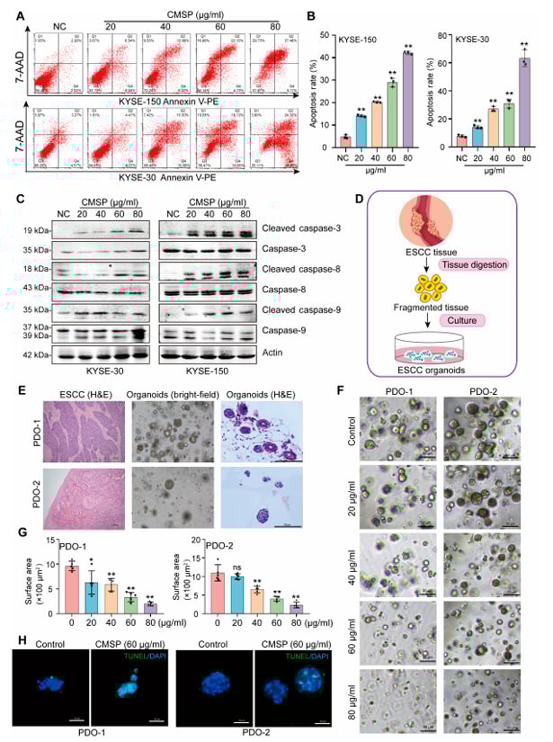
- 显著的肿瘤特异性: 实验显示,**CMSP**能够以剂量依赖的方式,显著降低KYSE-30、KYSE-150等多种食管鳞癌细胞系的活力,有效抑制癌细胞增殖。而对于正常食管上皮细胞(HEEC),**CMSP**的毒性则非常轻微。这表明**CMSP**具有良好的肿瘤选择性,能精准打击癌细胞而不伤害正常细胞,这是任何抗癌药物都梦寐以求的特性。
- 强大的凋亡诱导能力: 流式细胞术和Western blot检测证实,**CMSP**处理后,癌细胞内裂解型caspase-3、caspase-8、caspase-9等关键凋亡蛋白的表达水平显著上调,并促进凋亡小体的形成,明确证实了**CMSP**能够有效诱导食管鳞癌细胞进入程序性死亡——凋亡。
- 患者来源类器官模型验证: 为了更贴近临床真实情况,研究还采用了患者来源的食管鳞癌类器官模型。在这种“微型肿瘤”模型中,**CMSP**同样能剂量依赖性地抑制类器官的生长,并破坏其结构完整性,TUNEL染色结果显示凋亡阳性细胞比例显著升高。这为**CMSP**的临床转化潜力提供了强有力的支持。
-
机制探索:代谢重编程与自噬受阻的直观证据
- 为了深入揭示**CMSP**的作用机制,研究团队采用了多种先进技术:
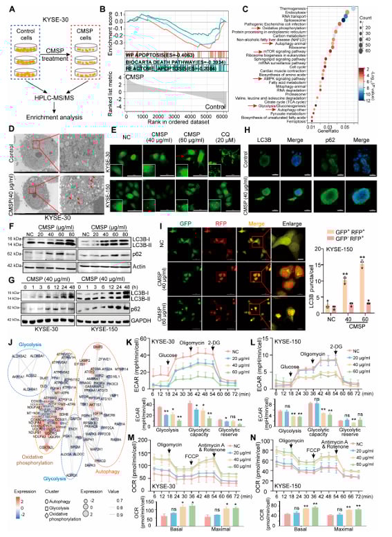
- 蛋白质组学分析: 发现**CMSP**处理后,自噬、糖酵解、AMPK通路等与能量代谢和细胞自我消化相关的生物学过程出现显著差异,为后续机制研究提供了重要线索。
- 自噬流受阻证据: 电子显微镜观察到细胞内自噬泡数量明显增多,共聚焦显微镜下GFP-LC3B斑点积累,以及自噬标志物LC3B-II和p62蛋白呈剂量和时间依赖性升高。这些都是自噬发生,但随后被阻断,无法完成降解的典型表现。
- 糖酵解抑制证据: Seahorse分析仪检测证实,**CMSP**显著降低了细胞外酸化率(糖酵解的标志),减少了糖酵解通量,同时提升了氧消耗率,表明细胞代谢模式正从糖酵解向更健康的氧化磷酸化转变。
- 挽救实验: 通过使用自噬激活剂雷帕霉素和糖酵解刺激剂寡霉素,部分逆转了**CMSP**的抗癌效果。这进一步从功能上证实,**CMSP**确实是通过双重抑制自噬与糖酵解来协同诱导食管鳞癌细胞凋亡。
- 靶点鉴定: 生物素标记探针pull-down结合质谱分析、分子对接和生物层干涉法等技术,最终成功锁定**LDHA**作为**CMSP**的直接作用靶点,并揭示了其结合位点和分子亲和力。
- 溶酶体功能受损: 靶向代谢组学检测显示糖酵解中间产物和乳酸生成减少。吖啶橙和LysoTracker染色结果提示溶酶体pH升高,自噬体与溶酶体共定位受阻,证实了**CMSP**通过影响溶酶体功能来抑制自噬。
- AMPK/mTOR通路调控: **CMSP**处理后,AMP/ATP比值降低,AMPK磷酸化水平下降,mTOR磷酸化水平升高,这些变化均与自噬抑制相符,且能被雷帕霉素逆转。
-




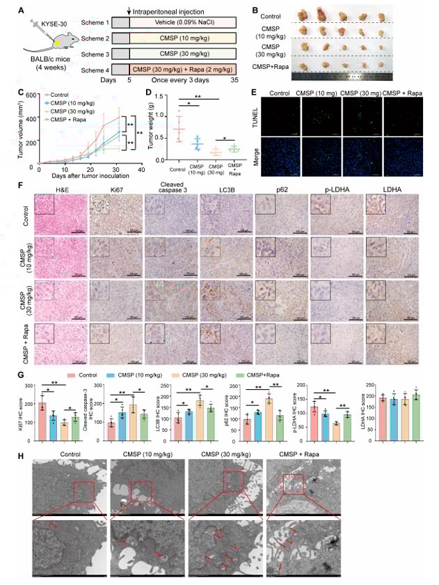
体内异种移植模型:安全有效,抗癌潜力巨大 - 为了验证**CMSP**在活体内的抗肿瘤效果和安全性,研究团队还在BALB/c小鼠食管鳞癌异种移植模型中进行了实验。这是一种将人类癌细胞植入免疫缺陷小鼠体内,模拟肿瘤生长的模型,能够很好地预测药物的体内效果。
- 显著抑制肿瘤生长: 小鼠被给予**CMSP**治疗后,移植瘤的体积和重量较对照组显著降低,呈现出明显的剂量依赖性。这意味着**CMSP**在体内能够有效抑制肿瘤的生长。
- 自噬抑制的关键作用: 联合使用自噬激活剂雷帕霉素后,**CMSP**的抗肿瘤效果被部分逆转,这进一步证实了**CMSP**的抗肿瘤作用确实依赖于对自噬的抑制。
- 分子层面的一致性: TUNEL染色显示**CMSP**处理组肿瘤凋亡阳性细胞比例显著升高。免疫组化检测结果也与体外实验高度一致:肿瘤细胞增殖标志物Ki67表达降低,自噬标志物LC3B、p62和裂解型caspase-3表达升高,磷酸化LDHA(p-LDHA)表达降低,而总LDHA表达量无明显变化。这从分子层面再次印证了**CMSP**的抗癌机制。
- 良好的体内安全性: 更重要的是,研究发现**CMSP**处理组小鼠的体重、肝、肾、肺等主要脏器功能均无明显异常。血清中肝功能指标(AST、ALT)、肾功能指标(尿素、肌酐)水平与对照组相比也无显著差异。这为**CMSP**未来进入临床试验提供了重要的安全性依据,也彰显了天然化合物在药物开发中的独特优势——通常毒性相对较低。
-
CMSP的临床转化前景与MedFind的赋能
- 这项关于木鳖子提取物**CMSP**的研究,无疑是食管鳞癌治疗领域的一次重大突破。它不仅成功发掘出一种兼具疗效与安全性的食管鳞癌候选药物,更重要的是,它开创了一种全新的治疗策略:通过精准双重靶向癌细胞的糖酵解和自噬两大能量通路,达到“饿死癌细胞”的目的。
- 从实验室到临床,任何一种新药的诞生都需要经历漫长而严谨的验证过程。**CMSP**虽然目前仍处于临床前研究阶段,但其在体外和体内实验中展现出的卓越抗癌效果和良好的安全性,已经为其未来的临床转化奠定了坚实的基础。我们期待未来能有更多针对**CMSP**的毒理学研究和临床试验(包括I期、II期、III期临床试验),以进一步评估其在人体内的安全性、有效性和最佳剂量。一旦这些试验取得成功,**CMSP**有望为食管鳞癌患者带来革命性的治疗选择,显著改善他们的预后和生活质量。
- 天然产物是人类药物的重要宝库,许多经典的抗癌药物如紫杉醇等都来源于植物。**CMSP**的发现再次证明了天然化合物在现代医药开发中的巨大潜力。这种来源于自然的“力量”,往往具有独特的分子结构和作用机制,为我们对抗癌症提供了新的思路和工具。
- 我们MedFind平台始终致力于追踪全球最新的抗癌研究进展,为患者和家属提供前沿的药物信息和治疗策略。尽管**CMSP**目前仍处于临床前研究阶段,但其展现出的巨大潜力,无疑为食管鳞癌患者点燃了新的希望。MedFind会持续关注其后续的临床转化进程,一旦有新的进展,我们将第一时间更新信息,并协助患者了解最前沿的治疗选项。
- 如果您或您的家人正面临食管鳞癌的挑战,对包括**CMSP**这类创新疗法在内的前沿抗癌信息感兴趣,欢迎随时访问MedFind网站,或联系我们的专业团队。我们深知时间对于癌症患者的重要性,MedFind愿成为您抗癌路上的坚实后盾,为您提供最及时、最准确的帮助,共同迎接抗癌治疗的新篇章。





体内异种移植模型:安全有效,抗癌潜力巨大