黑色素瘤,这种恶性程度极高的皮肤癌,常常让患者及家属感到焦虑与绝望。尽管近年来免疫治疗取得了显著进展,但肿瘤内部的“乏氧微环境”却像一道无形的屏障,大大削弱了治疗效果,使得许多患者的抗癌之路充满挑战。好消息是,一项来自中山大学巢晖教授团队的突破性研究,为攻克这一难题带来了全新希望!他们创新性地设计出一种“自产氧”的纳米颗粒——Ir-MnII/III纳米颗粒,不仅能巧妙地逆转肿瘤内部的缺氧状态,还能通过一系列精密的生物学机制,协同启动多种抗癌通路,最终有望实现对黑色素瘤的强效光免疫治疗。这项刊登在国际顶尖期刊《ACS Nano》上的研究,为我们揭示了未来黑色素瘤治疗的新方向,为无数患者点燃了重生的希望之光。
黑色素瘤:狡猾的“皮肤杀手”与现有治疗挑战
黑色素瘤是一种起源于黑色素细胞的恶性肿瘤,虽然在皮肤癌中发病率相对较低,但其恶性程度极高,容易发生淋巴结转移和远处器官转移,预后差。早发现、早治疗是关键,但一旦发展到晚期,治疗难度将显著增加。
黑色素瘤的危害不容小觑
黑色素瘤可以出现在身体的任何部位,包括皮肤、黏膜、眼部等。它具有生长迅速、转移广泛、对传统放化疗不敏感等特点。未经及时有效治疗,会严重威胁患者生命。因此,医学界一直在努力寻找更有效、更精准的治疗方案。
传统治疗的局限性与免疫治疗的瓶颈
对于早中期黑色素瘤,手术切除是主要的治疗手段。然而,对于晚期或转移性黑色素瘤,情况则复杂得多。传统化疗和放疗效果有限,且副作用大。近年来,靶向治疗和免疫治疗的兴起为黑色素瘤患者带来了新的希望。特别是免疫检查点抑制剂(如PD-1/PD-L1抑制剂),通过激活患者自身的免疫系统来攻击癌细胞,取得了令人瞩目的疗效。然而,并非所有患者都能从免疫治疗中获益,其中一个主要原因就是肿瘤内部复杂的微环境,尤其是“乏氧微环境”的存在。
肿瘤“乏氧微环境”:免疫治疗的幕后黑手
肿瘤细胞生长速度快,往往对氧气需求量大,但肿瘤内部血管生成异常,导致供血不足,从而形成缺氧(或称乏氧)环境。这种乏氧微环境不仅直接促进肿瘤的生长和侵袭,更重要的是,它会显著抑制抗肿瘤免疫反应。缺氧状态下,肿瘤细胞会分泌多种免疫抑制因子,例如上调缺氧诱导因子1α(HIF-1α)和程序性死亡配体1(PD-L1),这些分子会像“免疫刹车”一样,阻止免疫细胞识别和杀伤癌细胞,甚至将免疫细胞“策反”为肿瘤的帮凶。此外,许多光动力疗法(PIT)需要氧气才能产生活性氧(ROS)来杀伤肿瘤,但肿瘤内的缺氧环境会使得这类疗法效果大打折扣,甚至在治疗过程中进一步加剧缺氧,形成恶性循环。
中山大学创新突破:Ir-Mn纳米颗粒——缺氧肿瘤的“氧气供给站”
面对肿瘤乏氧这一“顽疾”,中山大学巢晖教授团队与广东药科大学冯韬副教授的联合研究团队,提出了一种全新的解决方案。他们设计了一种独特的Ir-MnII/III纳米颗粒,能够像一个精密的“智能武器”,在肿瘤内部精准发挥作用,扭转缺氧状态,并多重打击癌细胞。

(深度解析医学证据,DeepEvidence为你支撑决策)
自组装纳米颗粒:巧妙的设计原理
这项研究的创新之处在于其纳米颗粒的设计。研究团队将一种具有双光子响应特性的铱配合物(Ir-OH,作为光敏剂)与免疫佐剂锰离子(Mn离子)巧妙结合,通过精确控制气氛条件,实现了两者的配位驱动自组装,形成了这种新型的Ir-MnII/III纳米颗粒。这种纳米颗粒不仅结构稳定,更重要的是具备了“智能响应”的特性。
“pH-光级联响应”:精准打击肿瘤的关键
这个纳米颗粒最厉害的地方在于它的“pH-光级联响应”能力。想象一下,纳米颗粒就像一个带有智能传感器的“潜伏者”。当它进入酸性的肿瘤微环境(特别是肿瘤细胞内部的溶酶体环境,这里pH值较低)时,它会像收到指令一样,开始逐渐解离,释放出混合氧化态的锰离子(Mn2+/Mn3+)和光敏剂Ir-OH。接着,在特定波长(双光子)的光照下,这些被释放的活性成分才能被“激活”,精准地在肿瘤部位发挥作用。这种双重响应机制确保了药物的精准靶向,避免了对正常组织的损伤。

图1. 氧自给型纳米颗粒Ir–MnII/III NPs的制备方法
三重机制协同出击:纳米颗粒如何全面歼灭癌细胞?
Ir-MnII/III纳米颗粒的抗癌能力并非单一,它通过协同启动“自产氧逆转乏氧”、“诱导双重细胞死亡”和“激活cGAS-STING免疫通路”这三重机制,对肿瘤进行全方位的打击。
机制一:自产氧逆转乏氧,重塑免疫抑制微环境
这是该纳米颗粒最核心的突破之一。在双光子光照的激活下,被释放的Mn离子能够有效催化肿瘤细胞内部的“内源性自产氧”反应。这意味着纳米颗粒能够在肿瘤内部源源不断地产生氧气,从而显著逆转肿瘤的乏氧状态。当肿瘤环境不再缺氧时,那些导致免疫抑制的“幕后黑手”——HIF-1α和PD-L1的表达就会明显下调。这就像移除了免疫细胞上的“刹车”,让它们能够重新活跃起来,识别并攻击癌细胞,从而重塑肿瘤内部的免疫抑制微环境,为后续的免疫治疗打下坚实基础。

图2. 光照下Ir–MnII/III NPs逆转细胞内乏氧微环境并促进 ROS 生成
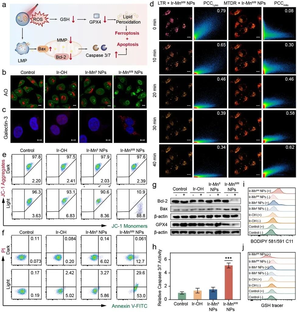
机制二:光动力+类芬顿反应,诱导双重细胞死亡(凋亡与铁死亡)
在自产氧的同时,纳米颗粒的另一个重要作用是高效诱导癌细胞死亡。Ir-OH光敏剂介导的光动力治疗(PDT)会在光照下产生活性氧(ROS),结合锰离子介导的“类芬顿反应”(芬顿反应能高效产生活性氧),两者协同作用,产生大量的ROS。这些过量的ROS会首先导致溶酶体膜透化(LMP),损害细胞内的“消化系统”。随后,Ir-OH会转移到细胞的“能量工厂”——线粒体,进一步破坏线粒体功能,同时激活两种重要的细胞死亡通路:
- 铁死亡(Ferroptosis):这是一种新型的细胞程序性死亡方式,特点是铁离子依赖性的脂质过氧化累积,导致细胞膜损伤。纳米颗粒产生的ROS和锰离子都能有效促进铁死亡的发生。
- 线粒体凋亡(Apoptosis):这是细胞的“程序性自杀”机制。线粒体损伤会触发凋亡信号通路,导致癌细胞有序地死亡。
这种“双管齐下”的细胞杀伤机制,能高效诱导免疫原性细胞死亡(ICD),促使癌细胞释放出损伤相关分子模式(DAMPs)。这些DAMPs就像“危险信号”,能够进一步警示和激活免疫系统,募集更多的免疫细胞参与抗癌。

图3. 乏氧环境中Ir–MnII/III NPs光动力激活线粒体凋亡和铁死亡的核心机制
机制三:激活cGAS-STING通路,放大全身抗肿瘤免疫
更令人兴奋的是,Ir-MnII/III纳米颗粒还能进一步放大抗肿瘤免疫效应。当线粒体在被纳米颗粒损伤后,会释放出线粒体DNA(mtDNA)。这种mtDNA在细胞内被免疫系统识别为“危险信号”,它会与纳米颗粒释放的Mn2+离子协同作用,激活细胞内的一个关键免疫通路——“环磷酸鸟苷-腺苷酸合成酶(cGAS)-干扰素基因刺激因子(STING)通路”。cGAS-STING通路是机体天然免疫的重要组成部分,一旦被激活,就会启动强烈的I型干扰素反应,从而诱导产生一系列抗肿瘤免疫效应因子,进一步增强免疫细胞对癌细胞的杀伤能力,实现全身性的抗肿瘤免疫响应。

图4. 乏氧环境中Ir–MnII/III NPs激活ICD和cGAS-STING通路实现抗肿瘤免疫
小鼠模型揭示强大疗效:原发与远端肿瘤均获显著抑制
这项研究不仅仅停留在理论层面,研究团队还在小鼠原位B16-F10黑色素瘤模型中,对Ir-MnII/III纳米颗粒的光免疫治疗效果进行了严格的验证。结果令人鼓舞!
生长抑制率(TGI)数据解读:希望的数字
在经过双光子照射后,这种纳米颗粒对小鼠体内的原发肿瘤和远端肿瘤的生长抑制率(TGI, Tumor Growth Inhibition)分别高达80.5%和83.7%。这意味着纳米颗粒不仅能有效控制原发肿瘤的生长,对身体其他部位可能存在的转移性肿瘤(远端肿瘤)也显示出强大的抑制作用。如此高的肿瘤生长抑制率,在临床前研究中是非常罕见的,预示着该疗法具有巨大的临床转化潜力,有望为黑色素瘤患者带来显著的生存获益。
免疫微环境的重塑:肿瘤战场的新变化
为了深入了解纳米颗粒如何发挥作用,研究人员还对小鼠近端瘤、远端瘤和脾脏的免疫细胞进行了流式细胞术分析。结果显示,Ir-MnII/III纳米颗粒能够显著促进树突状细胞(DC)的成熟——DC是启动免疫反应的关键“指挥官”;同时,它还能促进巨噬细胞向M1型极化——M1型巨噬细胞具有强大的抗肿瘤活性;更重要的是,它能显著提升细胞毒性T细胞(CTLs)的浸润——CTLs是直接杀伤癌细胞的“主力军”,并有效降低调节性T细胞(Tregs)的比例——Tregs是免疫抑制的“帮凶”。这些免疫细胞的积极变化,共同构成了全身性的抗肿瘤免疫响应,表明纳米颗粒成功重塑了肿瘤内部的免疫抑制微环境,使其转变为有利抗癌的“战场”。

图5. 原位小鼠B16F10黑色素瘤模型中Ir–MnII/III NPs双光子光照后的抗肿瘤效果

图6. 原位小鼠B16F10黑色素瘤模型中Ir–MnII/III NPs的光免疫治疗逆转免疫抑制微环境能力
高度安全性:未来临床应用的基础
除了卓越的疗效,这项研究还初步证实了Ir-MnII/III纳米颗粒具有良好的生物安全性。在小鼠模型中,并未出现明显的体重下降或器官损伤。这一点对于未来将此疗法推向临床应用至关重要。只有在确保安全性的前提下,才能进一步开展人体试验,最终惠及广大患者。
MedFind展望:点燃未来治疗的希望之光
这项由中山大学巢晖教授团队带来的研究,无疑为黑色素瘤的光免疫治疗领域注入了新的活力,也为我们理解和攻克肿瘤乏氧难题提供了全新的视角。通过巧妙的纳米设计,实现pH-光级联响应、内源性自产氧、多重细胞死亡诱导以及免疫通路的激活,这一系列精密的协同作用,共同构建了一个高效、精准的抗肿瘤策略。
对于广大黑色素瘤患者及其家属而言,这项研究代表着未来治疗的无限可能。虽然目前仍处于实验室研究阶段,距离真正应用于临床还需要漫长的转化过程,包括进一步的临床前研究和严格的人体临床试验,但它无疑为我们描绘了一个充满希望的未来图景。我们坚信,随着科学技术的不断进步,像Ir-MnII/III纳米颗粒这样的创新疗法终将走向临床,成为患者对抗癌症的有力武器。
MedFind将持续关注全球最新的抗癌研究进展和药物信息,致力于为患者提供最前沿、最准确的癌症资讯。如果您对最新的抗癌药物、治疗方案有疑问,或者在寻求海外购药渠道时遇到困难,MedFind随时准备为您提供专业、温暖的帮助与支持,共同点燃抗癌的希望之光。
