引言:癌症免疫治疗的挑战与新思路
癌症免疫治疗,特别是利用人体自身免疫系统对抗肿瘤的策略,近年来取得了革命性的进展。然而,即便是如CAR-T细胞疗法这样的基因工程化细胞疗法,在治疗实体瘤时仍面临制造复杂、成本高昂、以及肿瘤微环境(TME)免疫抑制性强等诸多挑战。与此同时,溶瘤病毒(Oncolytic Viruses, OVs)作为另一种新兴的免疫疗法,虽然能选择性感染并裂解肿瘤细胞,同时激活宿主免疫反应,但其静脉递送后容易被血液中的抗体中和,难以在肿瘤部位高效富集,且免疫激活作用往往受限于肿瘤内部的“冷”环境。
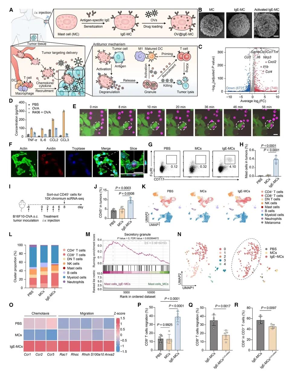
为了克服这些瓶颈,科学家们一直在探索更智能、更精准的药物递送系统。浙江大学顾臻教授、俞计成教授联合中国医科大学刘福囝教授团队,提出了一种巧妙且高效的解决方案:利用人体内天然存在的免疫细胞——**肥大细胞**(Mast Cells, MCs)——作为活体递送载体,实现**溶瘤病毒**(OVs)的肿瘤精准投递与协同免疫激活。这项突破性的研究以“Sensitized mast cells for targeted drug delivery and augmented cancer immunotherapy”为题,发表在国际顶尖期刊《Cell》上。
传统免疫疗法的局限性回顾
在深入了解这项新技术之前,我们首先需要理解现有疗法的痛点:
- CAR-T 疗法:虽然在血液肿瘤治疗中表现出色,但其针对实体瘤的疗效受限。主要原因包括实体瘤的异质性、复杂的制造工艺、高昂的成本,以及肿瘤微环境中的免疫抑制细胞和分子(如TGF-β、MDSCs)阻碍了T细胞的浸润和功能发挥。
- 溶瘤病毒(OVs):OVs的优势在于其双重机制——直接杀伤肿瘤细胞和激活免疫。然而,当OVs通过静脉注射进入体内时,它们很容易被血液中的中和抗体识别并清除,导致到达肿瘤部位的病毒数量极少。此外,即使病毒到达肿瘤,如果肿瘤本身是免疫“冷”肿瘤(缺乏免疫细胞浸润),病毒激活的免疫反应也可能不足以产生持久的抗肿瘤效果。
顾臻教授团队的策略,正是旨在解决OVs的“递送效率低”和“免疫激活不足”这两个核心问题。
肥大细胞(MCs):天然的“抗原导向”活体递送平台
肥大细胞(MCs)是人体免疫系统中的重要成员,它们在过敏反应中扮演着关键角色。当MCs表面受体FcεRI结合了抗原特异性IgE后,一旦再次遇到对应的抗原,就会迅速发生“脱颗粒”反应,释放出大量炎症介质。研究团队正是巧妙地利用了MCs的这一天然特性,将其改造为抗原依赖的肿瘤靶向递送系统。
IgE-MCs 的制备与肿瘤归巢机制
该研究的核心步骤是体外致敏。研究人员首先利用肿瘤表达的特定抗原(例如模型抗原OVA或人源**HER2**)作为“过敏原”,然后用对应的肿瘤抗原特异性IgE在体外致敏骨髓来源或外周血来源的肥大细胞,从而生成“IgE-MCs”。
此时,IgE-MCs的表面被IgE饱和。当这些IgE-MCs被静脉注射回体内后,它们会像寻找过敏原一样,循着肿瘤局部高浓度的可溶性或膜结合抗原迁移。实验数据显示,在24小时内,IgE-MCs即可在抗原阳性病灶富集5–10倍,而对抗原阴性组织几乎不驻足。
这一过程赋予了MCs强大的抗原依赖性“肿瘤归巢”能力,极大地提高了药物在肿瘤部位的浓度,解决了OVs静脉注射后富集不足的问题。

【主要内容】
抗原门控的溶瘤病毒(OVs)精准释放
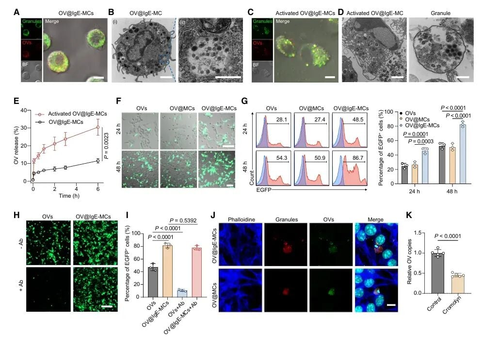
仅仅将载体送到肿瘤部位还不够,更重要的是实现药物的“可控释放”。研究团队将溶瘤腺病毒(OVs)预先装载到MCs的颗粒中,形成OV@IgE-MCs复合体。
当OV@IgE-MCs到达肿瘤部位并识别到高浓度的肿瘤抗原时,IgE-FcεRI交联会触发经典的脱颗粒信号通路(Syk-PLCγ-MAPK/NF-κB/STAT3级联)。这一信号瞬间激活,导致MCs的颗粒与内吞体融合,最终以“出芽”的方式将装载的OVs连同颗粒内容物一并外排。
关键在于,这一释放过程是完全受“抗原密度门控”的。只有当瘤内抗原浓度达到或超过一定阈值(≥1 µg ml⁻¹)时,脱颗粒才会发生。血清中低浓度的抗原不会误触发这一反应,从而确保了OVs的“肿瘤特异性释放”,极大地提高了治疗的安全性,避免了全身性的病毒扩散或过敏反应。

图1 IgE-MCs的制备和表征

图2 OV@IgE-MCs 的制备与表征
机制解析:CCL3-CCR5 轴重塑肿瘤微环境
这项研究的精妙之处不仅在于精准递送,更在于其强大的协同免疫激活作用。MCs在脱颗粒释放OVs的同时,还会瞬间释放出大量的炎症介质,包括TNF-α、IL-6、CCL2,尤其是趋化因子**CCL3**(MIP-1α)。
炎症介质的释放与免疫“冷”肿瘤的“加热”
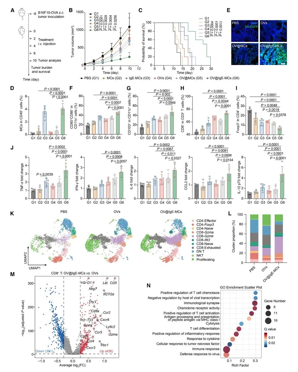
许多实体瘤,特别是那些对免疫检查点抑制剂(ICIs)不敏感的肿瘤,通常被称为免疫“冷”肿瘤,因为它们缺乏有效的免疫细胞(如CD8⁺T细胞)浸润。MCs脱颗粒释放的炎症介质,特别是CCL3,能够迅速改变肿瘤微环境的免疫状态,实现从“冷”到“热”的转变。
单细胞测序结果显示,经过IgE-MCs处理后,瘤内的MCs簇高表达Ccl3、Ccl4、Tnf等炎症因子。更重要的是,CD8⁺T细胞簇同步上调了CCR5、CXCR3等趋化因子受体以及迁移相关基因。这表明MCs释放的趋化因子正在积极地招募和激活T细胞。
CD8+ T 细胞的招募与激活
研究通过Transwell实验和基因敲除实验,明确了CCL3-CCR5轴是MCs与T细胞对话的关键桥梁。
- CCL3的招募作用:实验证明,激活的IgE-MCs对CD8⁺T细胞的趋化作用(chemotaxis)可以被CCL3中和抗体或CCR5拮抗剂完全阻断。
- 关键性验证:如果使用CRISPR技术敲除Ccl3基因的IgE-MCs,其几乎完全失去了招募T细胞的能力,导致瘤内CD8⁺T细胞浸润下降了60%。
因此,OV的局部释放与CCL3介导的T细胞招募形成了一个强大的正反馈循环:
- IgE-MCs精准递送OVs到肿瘤。
- OVs裂解肿瘤细胞,释放新抗原。
- MCs脱颗粒,释放CCL3等趋化因子。
- CCL3招募大量效应性CD8⁺T细胞进入肿瘤。
- T细胞被新抗原激活,协同OVs杀伤肿瘤。
流式细胞术和scRNA-seq分析均证实,在OV@IgE-MCs治疗组中,瘤内效应性CD8⁺T细胞(Gzma⁺Gzmk⁺Ifit3⁺)的比例从37.6%显著上升至52%,而T细胞耗竭亚群显著减少。同时,T细胞分泌的IFN-γ和Granzyme B等关键效应分子水平翻倍,显示出T细胞功能得到了极大的增强。
临床前疗效验证与未来潜力
为了验证OV@IgE-MCs平台的实际抗肿瘤效果,研究团队在多种具有挑战性的临床前模型中进行了测试。
多种癌症模型中的显著疗效
研究使用了四种不同的肿瘤模型,包括:
- B16F10-OVA皮下瘤模型(黑色素瘤)
- B16F10-OVA肺转移模型
- 免疫抑制性4T1-OVA乳腺癌模型
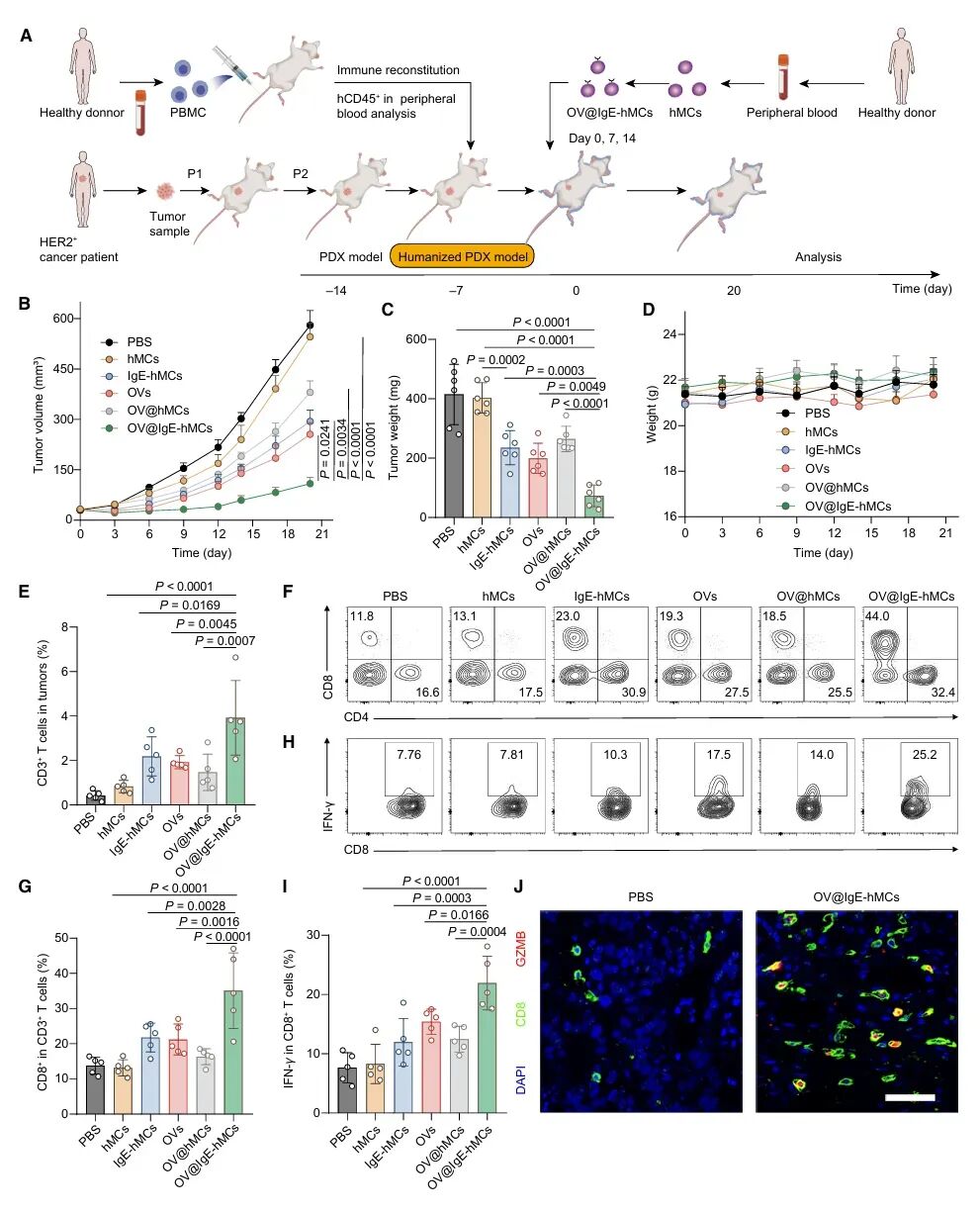
- 人源化HER2⁺PDX模型(人源肿瘤异种移植模型)
在所有这四组模型中,OV@IgE-MCs治疗组均显著抑制了肿瘤生长,并显著延长了动物的生存期。更重要的是,在整个治疗过程中,未观察到全身性的过敏反应或病毒在肝脏、脾脏等非靶向器官的复制,证明了该递送系统的安全性和精准性。
此外,研究还通过反向验证进一步强调了MCs脱颗粒和CCL3的重要性。当使用DSCG(一种抑制脱颗粒的药物)处理,或使用Ccl3缺失的MCs进行治疗时,抗肿瘤疗效和T细胞浸润水平同步丧失,再次确认了“抗原门控释放”和“CCL3介导的免疫重塑”是疗效产生的两大支柱。

图3 OV@IgE-MC抑制B16F10-OVA肿瘤生长并引发抗肿瘤免疫反应

图4 OV@IgE-MC 在 B16F10-OVA 肿瘤肺转移模型中的抑制作用

图5 OV@IgE-MCs 在人源化 PDX 模型中的抗肿瘤作用
个体化治疗的展望与挑战
顾臻教授团队通过“肿瘤抗原-IgE-MCs”这一简洁、可模块化的体外致敏步骤,成功地将天然免疫细胞改造为兼具“抗原导向归巢-药物可控释放-趋化因子微环境重塑”三重功能的活体递送平台。
这种方法最大的优势在于其**个体化**和**模块化**潜力。理论上,只需更换特异性IgE,该平台就可以针对任何表达已知肿瘤抗原(如HER2、PD-L1、或患者特有的新抗原)的实体瘤进行精准打击,无需复杂的基因工程改造,有望大幅降低细胞疗法的制造成本和复杂性。
对于正在寻求更有效治疗方案的癌症患者及其家属而言,这项研究无疑带来了新的希望。虽然目前仍处于临床前研究阶段,但它预示着未来实体瘤治疗可能实现真正的精准化和高效化。
在等待这类前沿技术进入临床的同时,患者和家属应积极了解当前已获批的、针对特定靶点的先进治疗方案。例如,针对HER2阳性癌症,目前已有多种成熟的靶向药物和抗体偶联药物(ADCs)可供选择。了解最新的**癌症治疗标准**和**用药指导**,是制定下一步治疗计划的关键。如果您对目前已有的靶向药、免疫疗法或国际前沿的治疗方案(如针对特定突变的药物)感兴趣,可以通过专业的医疗信息平台获取详细的药物信息和海外用药选择。
此外,这项研究也再次强调了肿瘤抗原检测的重要性。未来,精准的抗原谱分析将是指导这类个体化细胞递送疗法的基石。对于正在考虑或已经接受免疫治疗的患者,持续关注最新的**临床研究**进展,并结合自身的基因检测结果,将有助于做出最优化、最及时的治疗决策。
总而言之,这项研究为解决实体瘤免疫治疗中的两大核心难题——精准递送和免疫抑制——提供了一个优雅且高效的解决方案,为下一代**个体化癌症免疫治疗**的发展奠定了坚实的基础。
我们鼓励患者和家属积极咨询专业的医疗机构,获取最新的治疗方案和药物信息,例如通过AI辅助问诊服务了解自身病情对应的国际前沿药物选择,或通过药物信息与指南资讯平台了解特定靶向药的**真实效果**和**副作用**。
