什么是肺大细胞神经内分泌癌(LCNEC)?
肺大细胞神经内分泌癌(LCNEC)是一种罕见但侵袭性极高的高级别神经内分泌肿瘤,约占所有原发性肺癌的3%。该病多发于有长期吸烟史的老年男性,由于其起病隐匿且缺乏典型临床症状,多数患者在确诊时已属晚期,预后普遍较差。数据显示,超过一半的患者在初诊时就已发展至IV期,并伴有骨、脑或肝转移,五年总生存率仅为17.5%左右。因此,探索更有效的治疗方案,改善晚期LCNEC患者的生存质量,是当前临床面临的重要挑战。对于这类罕见且棘手的癌症,获取最新的治疗方案和药物信息至关重要。MedFind致力于提供全球前沿的抗癌资讯,帮助患者和家属做出更明智的决策。
病例分享:替尼泊苷如何逆转晚期LCNEC病情?
本文将通过一例真实的临床案例,展示替尼泊苷(Teniposide)联合化疗方案在治疗伴有脑转移的晚期LCNEC患者中所取得的显著成效。
患者基本情况与诊断
患者为一名55岁男性,因持续头痛20余天就医,最终被确诊为肺癌。PET-CT检查显示,其右肺门、纵膈存在多发糖代谢增高团块,同时在左侧颞叶及基底节区发现多发转移灶,并伴有右侧胸腔少量积液。通过支气管镜病理活检及免疫组化分析,最终诊断为:原发性支气管肺癌(右下肺 LCNEC),临床分期为T4N2M1(IV期),伴有胸膜及脑转移。
详细治疗方案与过程
针对患者的具体情况,医生制定了以化疗联合放疗的综合治疗方案。患者共接受了4个周期的化疗和两个阶段的脑部放疗。核心化疗方案如下:
- 替尼泊苷(Teniposide) 100mg,d1-d3
- 卡铂(Carboplatin) 450mg,d1
- 信迪利单抗(Sintilimab) 200mg,d1
- 司莫司汀(Semustine) 100mg,每6周一次(前两个周期使用)
复杂的治疗方案往往让患者感到困惑。如果您对自己的病情或治疗方案有疑问,可以尝试MedFind的AI问诊服务,获取专业的第二诊疗意见。
惊人的治疗效果:影像学证据
经过4个周期的综合治疗后,影像学复查结果显示,患者的病情得到了显著控制,疗效评价为部分缓解(PR)。
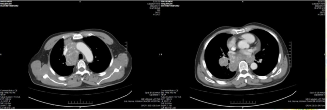
肺部病灶变化:
治疗前(2024-5-14),右肺门区可见明显肿块。治疗后(2024-7-17),右下肺门区肿块较前显著缩小,阻塞性肺炎及肺不张得到缓解,纵隔转移淋巴结也明显缩小,胸腔积液减少。

图1:治疗前肺部影像

图2:治疗后肺部影像
脑部转移灶变化:
治疗前(2024-5-14),头部影像显示脑内多发结节肿块,考虑为转移瘤。经过治疗后(2024-7-17),脑内多发转移瘤较前明显缩小、数量减少,且活性降低,显示出卓越的颅内病灶控制效果。

图3:治疗前头部影像

图4:治疗后头部影像
替尼泊苷治疗LCNEC的优势与前景
对于晚期LCNEC,特别是IV期患者,化疗是主要的治疗手段。临床上常参照小细胞肺癌(SCLC)的方案,如依托泊苷联合铂类(EP/EC方案)。然而,本案例的成功揭示了替尼泊苷在治疗LCNEC,尤其是脑转移患者中的独特优势。替尼泊苷具有良好的血脑屏障透过率,能够有效作用于颅内病灶,这对于脑转移患者而言至关重要。该病例的诊疗结果证实,含替尼泊苷的化疗方案不仅安全有效,还为患者带来了切实的生存获益。
专家观点总结
本例晚期转移性LCNEC患者的成功治疗,为临床提供了宝贵的现实依据,验证了替尼泊苷联合铂类化疗在控制肺癌脑转移病灶方面的显著效果。此外,研究表明替尼泊苷还可能激发肿瘤免疫原性,与PD-1抑制剂等免疫治疗药物产生协同增效作用。未来,基于替尼泊苷的个体化联合治疗方案,有望为晚期LCNEC患者带来更大的生存希望。对于需要替尼泊苷等靶向药物或化疗药物的患者,寻找可靠的购买渠道是一大难题。MedFind提供专业的海外靶向药代购服务,确保药物的正品与安全,为患者的生命续航。
