弥漫性中线胶质瘤(DMG)的挑战
弥漫性中线胶质瘤(Diffuse Midline Glioma, DMG)是一种罕见且具有高度侵袭性的中枢神经系统恶性肿瘤,主要发生在脑干、丘脑和脊髓等关键中线部位。根据世界卫生组织(WHO)的分类,携带H3K27M突变的DMG被定义为最高级别的4级肿瘤。这种肿瘤在成人中尤为罕见,患者预后极差,中位生存期通常不足一年,给治疗带来了巨大挑战。因此,探索有效的治疗方案以改善患者预后显得至关重要。
患者诊断历程
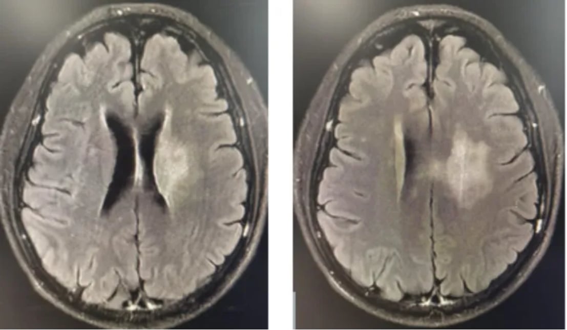
本案例的主人公是一位61岁的男性患者,因出现“左眼视物模糊、左眼睑下垂及左眼球固定”等症状长达两个月而就医。初步的MR检查显示,其中脑、丘脑等多个部位存在异常信号,初步考虑为低级别胶质瘤。为了进一步明确诊断,患者接受了PET/MR检查和立体定向中脑病变活检术。最终,术后病理结果结合免疫组化分析,明确诊断为:弥漫性中线胶质瘤(DMG),H3K27M突变型,WHO 4级。


图1 初诊影像学
详细治疗方案与疗效追踪
初次治疗:放疗联合替尼泊苷
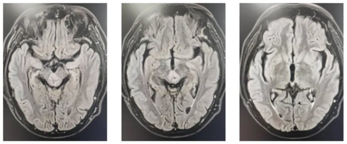
确诊后,患者于2023年6月开始了首次治疗,采用了脑局部适形调强放疗(IMRT)联合同期化疗的方案。化疗药物选择了替尼泊苷(Teniposide)。在为期一个多月的同步放化疗期间,患者耐受性良好,未出现明显的血液毒性反应,且左眼睑下垂的症状有所改善。治疗结束后的影像学复查显示,脑内多处病灶较治疗前明显缩小,治疗效果显著。

图2 首次治疗后复查影像学
随后,患者继续接受了12个疗程的替尼泊苷单药辅助化疗,病情持续稳定。
肿瘤进展后的二线治疗
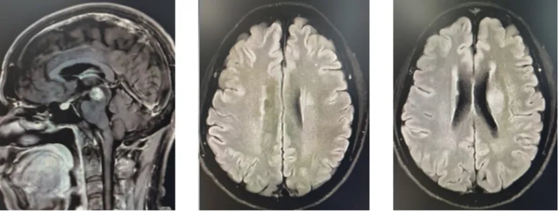
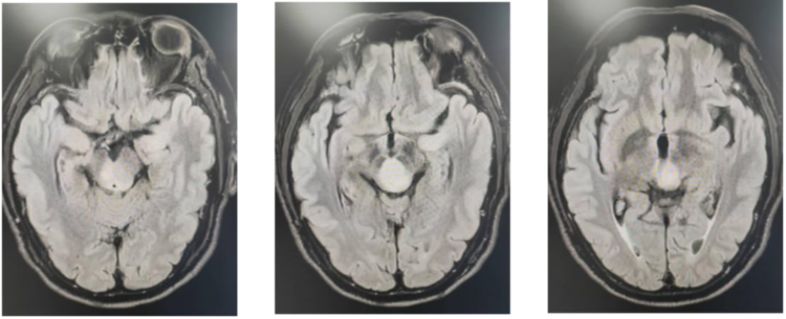
不幸的是,在2024年5月的复查中,MR影像提示部分病灶范围较前增大,表明肿瘤出现进展。面对疾病进展,医疗团队迅速调整策略,为患者制定了再程放化疗方案。此次治疗在放疗的基础上,联合使用了替尼泊苷和替莫唑胺(Temozolomide)两种化疗药物。经过新一轮的同步治疗和后续的维持化疗,患者的病情再次得到有效控制。最近的MR复查结果令人鼓舞,显示病灶范围较前缩小,疗效评价为部分缓解(PR)。

图3 进展前影像学

图4 二线治疗后影像学
治疗总结与临床启示
截至目前,该患者的总生存期(OS)已达到20个月,且生活质量良好,这对于H3K27M突变型DMG患者而言是一个非常积极的结果。本案例的成功之处在于:
- 初次治疗有效:放疗联合替尼泊苷单药化疗方案,为患者争取到了长达12个月的无进展生存期(PFS)。
- 进展后治疗仍显效:在肿瘤进展后,再程放疗联合替尼泊苷和替莫唑胺的双药化疗方案,再次成功控制了肿瘤,实现了病情的缓解。
- 药物选择的关键:替尼泊苷作为一种脂溶性高、易于透过血脑屏障的化疗药物,在本案例中展现了其在治疗中枢神经系统肿瘤方面的潜力和价值。
该病例充分展示了在无法手术切除的DMG治疗中,以放疗为基础,联合替尼泊苷等化疗药物的综合治疗模式具有重要的临床价值。对于癌症患者而言,获取有效的治疗药物是关键。MedFind致力于为患者提供海外靶向药和化疗药物的代购服务,详情可访问MedFind全球药房。
随着对胶质瘤分子机制研究的不断深入,未来有望涌现更多新型靶向疗法和免疫疗法。如果您对自己的病情或治疗方案有疑问,可以尝试MedFind的AI问诊服务,获取专业的第二诊疗意见。同时,更多关于胶质瘤的前沿治疗资讯和诊疗指南,您也可以在MedFind官网找到。
