妇科肿瘤治疗新时代:生物标志物引领精准打击
对于子宫内膜癌、卵巢癌、宫颈癌等妇科恶性肿瘤患者而言,“千人一方”的传统治疗模式正逐渐成为过去。如今,我们进入了精准医疗时代,而“生物标志物”检测正是开启这扇大门的关键钥匙。它就像一份详细的“癌细胞说明书”,揭示了肿瘤的独特弱点,从而指导医生选择最有效的靶向药物或免疫疗法。近日,美国病理学家协会(CAP)发布了2024年最新版妇科肿瘤生物标志物检测指南,为临床诊断和治疗提供了最前沿的依据。本文将为您深入浅出地解读这份指南的核心内容,帮助您和您的医生共同制定最佳治疗决策。

面对复杂的检测报告和多样的治疗选择,患者和家属常常感到困惑。如果您需要专业的第二诊疗意见,可以考虑使用MedFind的AI问诊服务,帮助您更好地理解病情和治疗方案。
关键生物标志物深度解析
1. HER2检测:为靶向治疗(如德曲妥珠单抗)指明方向
HER2(人表皮生长因子受体2)是控制细胞生长的“开关”之一。在部分妇科肿瘤(尤其是子宫内膜浆液性癌和癌肉瘤)中,这个“开关”会过度活跃,导致癌细胞失控性增殖。通过免疫组化(IHC)和FISH检测可以明确HER2的状态。
- 治疗意义:HER2阳性意味着患者可能从HER2靶向治疗中获益。经典药物如曲妥珠单抗,以及新一代抗体药物偶联物(ADC)如德曲妥珠单抗(T-DXd)和恩美曲妥珠单抗(T-DM1),都为HER2阳性患者带来了显著的生存改善。
- 检测要点:值得注意的是,不同的靶向药物可能对应不同的HER2判读标准。例如,判断是否适用德曲妥珠单抗(T-DXd)时,其HER2评分标准与传统用于曲妥珠单抗的标准有所不同。因此,清晰的检测报告和正确的判读至关重要。

2. MMR/MSI检测:免疫治疗的“通行证”
MMR(错配修复)系统是细胞内负责修复DNA复制错误的“校对员”。当这套系统出现故障(即MMR缺陷,dMMR),会导致基因组中出现大量错误累积,形成一种被称为“微卫星高度不稳定”(MSI-H)的状态。
- 治疗意义:dMMR/MSI-H的肿瘤细胞表面会呈现出更多异常蛋白,更容易被免疫系统识别。因此,这类患者通常对帕博利珠单抗等免疫检查点抑制剂反应良好,免疫治疗能有效“唤醒”自身免疫细胞去攻击癌细胞。
- 筛查意义:MMR检测也是筛查林奇综合征(一种遗传性癌症综合征)的重要手段,对患者及其家属的健康管理具有重要意义。对于子宫内膜癌,指南推荐优先使用MMR免疫组化检测。
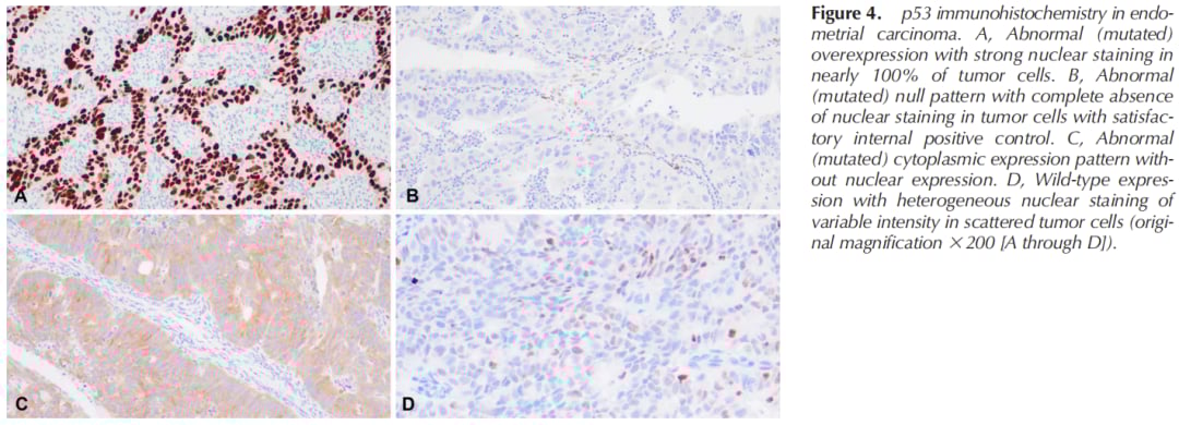
3. p53状态:评估预后与分子分型
p53蛋白被誉为“基因组的守护者”,能抑制肿瘤的形成。当其编码基因TP53发生突变时,p53蛋白功能失常,往往预示着肿瘤恶性程度更高、预后更差。p53免疫组化检测结果分为“正常(野生型)”和“异常(突变型)”两种模式。
- 临床应用:在子宫内膜癌的分子分型中,p53状态是区分预后极差的“拷贝数高型”(即p53异常型)与其他亚型的关键指标,直接影响后续治疗策略的制定。

4. PD-L1检测:解锁免疫治疗潜力
PD-L1是癌细胞用来伪装自己、逃避免疫系统攻击的“伪装衣”。如果肿瘤细胞高表达PD-L1,就意味着它在积极地抑制免疫系统的功能。检测PD-L1的表达水平(通常用联合阳性评分CPS表示)可以预测免疫检查点抑制剂的疗效。
- 治疗指导:在复发或转移性宫颈癌中,PD-L1表达阳性(CPS≥1)是使用帕博利珠单抗治疗的重要前提。
5. FOLR1检测:卵巢癌治疗新靶点
FOLR1(叶酸受体α)是在多种实体瘤(尤其是卵巢癌)中过度表达的一种蛋白,而在正常组织中表达很低,这使其成为一个理想的治疗靶点。
- 治疗药物:针对这一靶点,抗体药物偶联物索米妥昔单抗(Mirvetuximab soravtansine, MIRV)应运而生。FDA已批准其用于治疗FOLR1阳性、铂类耐药的卵巢癌、输卵管癌或原发性腹膜癌患者。
- 阳性标准:FOLR1阳性的定义非常严格,要求至少75%的肿瘤细胞呈现中度至强度的膜染色。
6. 激素受体(ER/PgR)检测
雌激素受体(ER)和孕激素受体(PgR)的检测在妇科肿瘤中同样重要,尤其是在子宫内膜癌中。检测结果阳性表明肿瘤的生长可能依赖激素,这类患者可能从内分泌治疗中获益。
结论与展望
2024年CAP指南的更新,全面反映了妇科肿瘤精准治疗的最新进展。通过对HER2、MMR、p53、PD-L1、FOLR1等一系列生物标志物的综合检测与解读,医生能够为每位患者量身定制个性化的治疗方案,从而实现疗效最大化和副作用最小化。了解这些前沿信息,将帮助您更主动地参与到自己的治疗决策中。想了解更多关于妇科肿瘤的前沿资讯和诊疗指南,欢迎访问MedFind资讯中心。
获取最新的靶向药物和免疫药物是实现精准治疗的关键一步。MedFind致力于为患者提供海外靶向药代购服务,搭建生命信息的桥梁,确保您能及时、便捷地获得最前沿的治疗选择。
